Introducción
La dilatación de las venas epidurales lumbares es un hallazgo radiológico poco frecuente normalmente asociado a lesiones vasculares, principalmente malformaciones arteriovenosas, fístulas y venas varicosas, y raramente secundaria a la obstrucción y compresión de la vena cava inferior (VCI).
Clínicamente el cuadro es indistinguible de cualquier proceso que pueda comprometer la salida de las raíces nerviosas a través de los forámenes de conjunción y que cause dolor lumbar o radicular localizado, como son las lesiones osteodiscales.
Presentamos el caso de un varón de 55 años con compresión de la VCI por un conglomerado de adenopatías retroperitoneales (linfoma no Hodgkin folicular de bajo grado), que se inició con clínica de parestesias y dolor en la cara posterior de muslos y glúteos.
Aunque el dolor radicular o lumbar secundario a la dilatación del plexo venoso epidural lumbar por oclusión de la VCI es un hallazgo muy infrecuente, debe ser considerado dentro de los posibles mecanismos etiológicos1,2.
Presentación del caso
Se trata de un varón de 55 años que acudió a Urgencias por cuadro de dolor y parestesias de dos meses de evolución en la cara posterior de los muslos y los glúteos en relación con la deambulación, asociado a disfunción eréctil.
Al ingreso, los datos analíticos (hemograma, bioquímica y orina) y la exploración neurológica, que incluyó los reflejos osteotendinosos y cutaneoplantares, así como la sensibilidad en miembros inferiores, fueron normales. En la radiografía simple de abdomen se apreció un aumento de la densidad en la pelvis. El estudio ecográfico abdominal demostró una masa sólida retroperitoneal compatible con adenopatías. La tomografía computarizada abdominal con contraste oral e intravenoso confirmó la presencia de una masa con densidad de partes blandas que se extendía desde las arterias renales hasta la pelvis, rodeando y comprimiendo los grandes vasos. El resultado anatomopatológico de la biopsia quirúrgica de una adenopatía inguinal fue de linfoma no Hodgkin folicular.
Se realizó una resonancia magnética (RM) de la columna lumbar (sin y tras contraste intravenoso) y se observaron, además de la masa retroperitoneal que comprimía la VCI, unas imágenes puntiformes y lineales hipointensas en todas las secuencias que ocupaban el espacio epidural adyacente al muro posterior de las vértebras lumbosacras, que se extendían a través de los agujeros de conjunción hacia las partes blandas perivertebrales (figs. 1-3). Esta alteración correspondía a estructuras vasculares dilatadas dependientes del plexo venoso epidural vertebral.
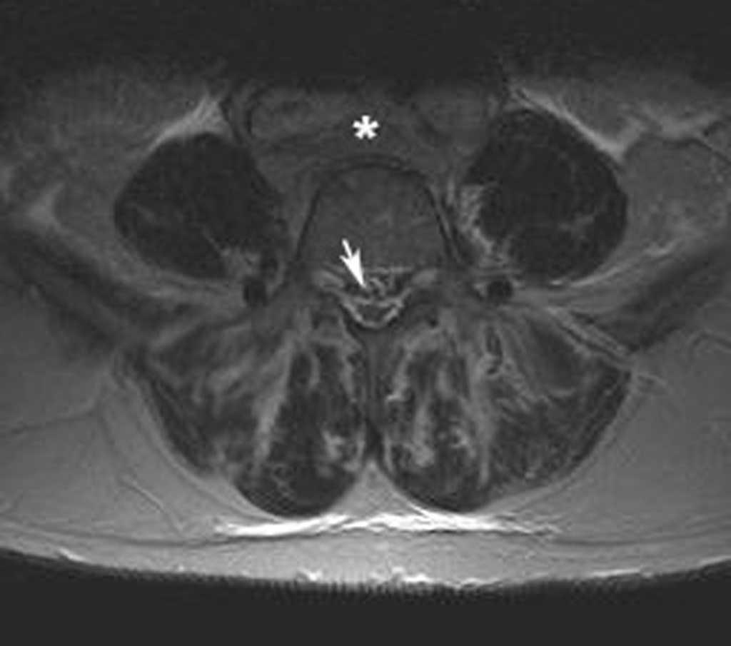
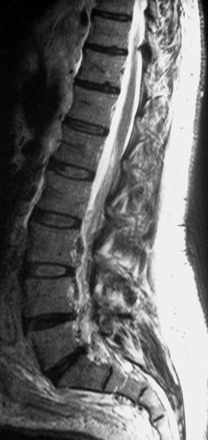
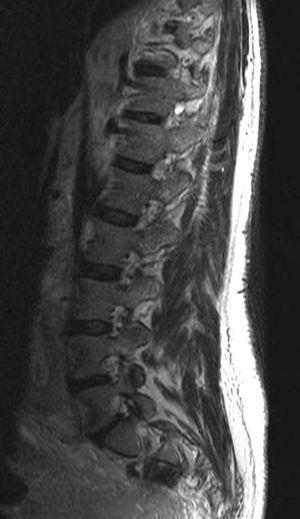
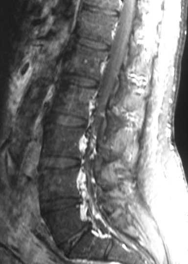
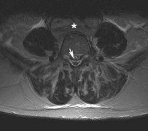
Fig. 1. Resonancia magnética ponderada en T1 (A) sagital línea media, (B) parasagital y (C) axial. (A) Aumento de la grasa epidural que comprime el saco tecal debido a lipomatosis (flecha); (B) imágenes hipointensas puntiformes en el espacio epidural anterior que corresponden a estructuras vasculares dilatadas del plexo lumbosacro (flechas); (C) masa retroperitoneal que engloba grandes vasos (asterisco). Se objetiva la presencia de lipomatosis (flecha blanca) y las estructuras vasculares dilatadas (punta de flecha blanca).
En el estudio evolutivo no existen cambios: persisten tras el tratamiento quimioterápico la masa retroperitoneal y la dilatación vascular del plexo venoso epidural, así como los síntomas de lumbalgia y radiculalgia. El paciente será reevaluado tras un próximo ciclo de quimioterapia.
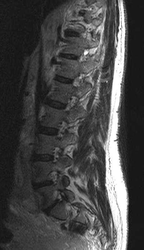
Fig. 2. Resonancia magnética ponderada en T2 (A) sagital línea media y (B) parasagital. En el espacio epidural anterior (A) y en los forámenes de conjunción (B) se aprecian estructuras vasculares con aspecto serpinginoso y arrosariado (flechas).
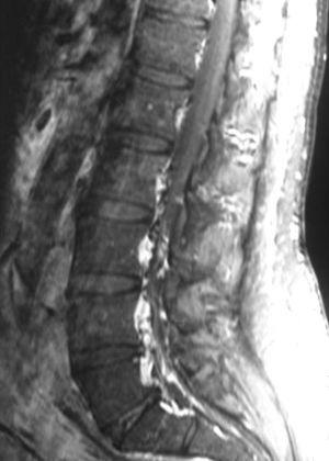
Fig. 3. Resonancia magnética tras contraste intravenoso: (A) sagital línea media y (B) axial. Se aprecia masa retroperitoneal (asterisco) y dilatación secundaria de las venas radiculares. Nótese la deformidad del saco tecal provocada por lipomatosis epidural (flechas).
Discusión
La dilatación del plexo venoso lumbar epidural por oclusión de la VCI es una causa infrecuente de lumbalgia o radiculalgia.
El sistema venoso vertebral consiste en vasos intra y extrarraquídeos que se comunican entre sí a través de las venas radiculares3. En cada nivel, las venas radiculares que conectan el sistema venoso vertebral interno o epidural y el externo atraviesan el agujero intervertebral por encima y por debajo del pedículo. La vena situada por debajo del pedículo es importante porque se asocia con la salida de la raíz nerviosa. El retorno venoso dentro del plexo epidural procede de una ruta superior o inferior dependiendo del nivel anatómico. A la altura o por encima de L2, el drenaje venoso va por una ruta ascendente hacia la vena ácigos en el lado derecho y hacia la vena hemiácigos en el lado izquierdo. Por debajo de L2, el drenaje venoso va por una ruta inferior o descendente hacia las venas iliolumbares, que son tributarias de las ilíacas comunes.
Aunque no se conoce con exactitud el mecanismo por el que la oclusión de la VCI puede producir dilatación del plexo venoso epidural, se piensa que la oclusión puede aumentar el flujo en la vena ácigos y hemiácigos, y esto repercute en las venas internas epidurales produciendo su dilatación, ya que el plexo venoso epidural carece de válvulas venosas.
La compresión de las raíces nerviosas por las venas epidurales dilatadas del plexo lumbosacro puede producir síntomas inespecíficos como lumbalgia, ciática, claudicación neurógena, retención urinaria e incontinencia de esfínteres, que son indistinguibles de los originados por otras causas de compresión radicular.
La RM permite establecer el diagnóstico de este proceso y su origen sin necesidad de recurrir a estudios invasivos como la arteriografía, a partir de la visualización de imágenes tubulares con vacío de señal en el espacio epidural y agujeros de conjunción. La angio-RM arterial y venosa añadida a la RM estándar mejora la sensibilidad para detectar esta alteración y diferenciarla de otros procesos vasculares como fístulas durales espinales4,5.
Es importante identificar la causa de la dilatación de las venas epidurales para valorar el tratamiento adecuado.
Conclusión
La dilatación del plexo venoso lumbar epidural por compresión de la VCI, aunque es infrecuente, es una causa a considerar dentro del diagnóstico etiológico de dolor lumbar o radicular. Su diagnóstico y origen puede establecerse de forma no invasiva mediante RM.











