La hemorragia de Duret es aquella que ocurre en la línea media del troncoencéfalo y afecta principalmente al mesencéfalo y la protuberancia por compresión laterolateral del tronco por una hernia uncal. Su infrecuente visualización hace que el servicio de Radiología tenga un papel clave en su diagnóstico precoz, ayudando a clínicos y cirujanos a valorar su extensión y otras alteraciones asociadas, si bien se ha comprobado su elevada mortalidad, independientemente de la causa y el tratamiento recibido.
Presentamos un caso de una mujer de 77 años con antecedentes de diabetes mellitus, hipertensión arterial e insuficiencia renal crónica secundaria a hiperparatiroidismo, que acude a urgencias tras una caída casual en su domicilio, con golpe directo en la región facial y parietal derechas. Aproximadamente una hora después del impacto, comienza con vómitos, desaturación y pérdida del nivel de consciencia.
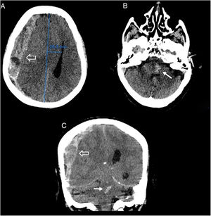
En la exploración clínica presenta un Glasgow de 4/15, presión arterial de 223/97mmHg, pH de 7,3 y un potasio de 6,3 mmol/l. Dado el rápido deterioro clínico, se solicita una tomografía computarizada (TC) craneal sin contraste por vía intravenosa (IV), visualizando un gran hematoma subdural agudo hemisférico derecho con signos severos de herniación subfalcina y transtentorial descendente (fig. 1A y C), focos hemorrágicos en mesencéfalo y protuberancia asociados (hemorragia de Duret), con extensión al acueducto de Silvio (fig. 1B y C).
Imágenes de TC craneal sin contraste intravenoso, cortes axiales (A y B) y coronal (C). Se identifica una colección hemorrágica extraaxial derecha de densidad mixta con morfología en semiluna en relación con un hematoma subdural agudo hemisférico derecho, de espesor máximo de 2cm (flecha hueca). Dicha colección ejerce marcados efectos expansivos condicionando una herniación subfalcina con desviación de la línea media hacia la izquierda de aproximadamente 25mm y colapso casi completo del sistema ventricular derecho, así como borramiento de las cisternas basales en relación con herniación transtentorial descendente, que asocia focos centrales hiperdensos en la protuberancia y el mesencéfalo, sugerentes de hemorragia de Duret (flecha fina), que se extiende al acueducto de Silvio.
Ante estos hallazgos, se contacta con Neurocirugía para valorar el drenaje del hematoma subdural, el cual desestiman por el mal pronóstico y las enfermedades de base de la paciente. Ingresa en Medicina Intensiva y fallece a la semana.
Las hemorragias traumáticas del tronco encefálico se pueden agrupar según etiologías primarias o secundarias. Las primarias se asocian comúnmente con el evento traumático, en cambio, las secundarias se relacionan con la hernia transtentorial por hipertensión intracraneal intratable, manifestándose como hemorragias de Duret1.
Estas últimas fueron descritas en 1874 por el neurólogo francés Henri Duret (1849-1921). No son frecuentes y su etiología es controvertida, si bien la mayoría de los autores afirman que son el resultado de la afectación del tronco cerebral a raíz de una herniación traumática del uncus que, al desplazarse inferiormente, ocasiona un estiramiento anteroposterior de la arteria basilar y de los pequeños vasos que penetran por la sustancia perforada posterior, con rotura de los últimos2. Por otro lado, dado que las venas son más comprimibles que las arterias, la hernia puede provocar congestión venosa y un infarto posterior en las venas de drenaje del tronco encefálico anterior, seguido de conversión hemorrágica1.
En un estudio realizado entre 2010 y 2021, la edad media de estos pacientes era de 69 años, teniendo el 87,5% un diagnóstico previo de hipertensión arterial y el 75% manteniendo una terapia anticoagulante, existiendo en la mayoría de casos un antecedente traumático3. La incidencia general en los estudios de imagen es del 5 al 10% de todas las hemorragias cerebrales1.
Para su diagnóstico, la tomografía computariazada (TC) craneal sin contraste inicial juega un papel esencial, dado que mostrará la apariencia clásica de la hemorragia de Duret: una hemorragia única pequeña ubicada en la línea media del bulbo raquídeo o la protuberancia, cerca de la unión pontomesencefálica. A menudo estas hemorragias pueden ser múltiples o incluso extenderse a los pedúnculos cerebelosos4.
Igualmente apreciaremos una herniación transtentorial descendente, la segunda herniación intracraneal más frecuente, y en el 75% de los casos se asocia un hematoma subdural agudo3 como consecuencia de la hipertensión arterial y de dicha herniación, que se visualizará en las pruebas de imagen como una colección hiperdensa extraaxial con morfología en semiluna, que puede ocasionar, también, herniación subfalcina5.
Dado que las hemorragias de Duret se han considerado un evento fatal e irreversible, esto a veces desalienta la continuación del tratamiento, también porque la descompresión quirúrgica puede provocar igualmente más hemorragia por reperfusión1. Sin embargo, el retiro temprano de la atención elude una verdadera evaluación de los resultados de tales lesiones, porque ha habido casos raros en la literatura que documentaron buenos resultados funcionales.
FinanciaciónEste trabajo no ha recibido ningún tipo de financiación.
Conflicto de interesesLos autores declaran no tener ningún conflicto de intereses.





