INTRODUCCION
El fibroma desmoplásico es un tumor óseo raro, de comportamiento localmente agresivo. Poco referido en la literatura, fue descrito por primera vez por Jaffe en 19581 como una entidad independiente. Se trata de un tumor primario benigno, muy similar al tumor desmoide de partes blandas. Presentamos dos nuevos casos y describimos su comportamiento radiológico, y en especial su comportamiento en el estudio de resonancia magnética (RM) en uno de ellos.
CASO 1
Mujer de 57 años que acude a nuestro hospital por un cuadro de dolor y claudicación en la extremidad inferior izquierda de varios meses de evolución. En la exploración clínica, no había cambios inflamatorios en las partes blandas ni sensación de masa, y las exploraciones neurológica y vascular fueron normales. En la radiografía anteroposterior de cadera izquierda (fig. 1) se visualizaba una lesión lítica en la metáfisis proximal del fémur. No se identificaba ningún tipo de matriz ósea en el interior, y estaba centrada y alineada en el eje longitudinal del hueso. La zona de transición era estrecha y el borde esclerótico, y contenía bandas o septos internos de esclerosis. No se visualizaba reacción perióstica, siendo de apariencia benigna. En este momento se incluyó dentro del diagnóstico diferencial la displasia fibrosa, el quiste óseo simple y el fibroma óseo, sin poder descartar que se tratase de un sarcoma de bajo grado.
Fig. 1.--Radiografía simple de fémur izquierdo. Lesión lítica metafisaria, sin matriz ósea interna y de borde esclerótico.
Se realizó a continuación un estudio mediante tomografía computarizada (TC) (fig. 2), obteniendo cortes axiales sin contraste y posteriores reconstrucciones multiplanares. Los hallazgos eran similares a la radiografía simple, mostrando una lesión lítica, mínimamente expansiva y con septos gruesos, sin provocar destrucción de la cortical ni masa de partes blandas, y provocando un leve festoneado endostal. En este caso no se realizó resonancia magnética (RM) y se practicó una biopsia percutánea con el resultado histológico de fibroma desmoplásico. A continuación se le realizó una biopsia quirúrgica y fue tratada mediante curetaje y relleno de la cavidad con cemento tipo Norian.
Fig. 2.--Tomografía computarizada (imagen axial y reconstrucción coronal). Se identifica un reborde grueso esclerótico y finos septos internos sin lisis de la cortical o reacción perióstica.
En el informe anatomopatológico, describían varios fragmentos similares, unos blanquecinos grisáceos y otros parduscos espiculados de aspecto óseo. En las secciones microscópicas, se evidenciaba una neoformación no productora de hueso, constituida por fibroblastos y haces colágenos con luces vasculares compatible con el diagnóstico histológico de fibroma desmoplásico.
Tras cinco años, la paciente sigue asintomática y sin evidencia de recurrencia tumoral.
CASO 2
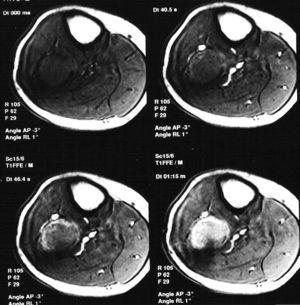
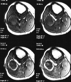
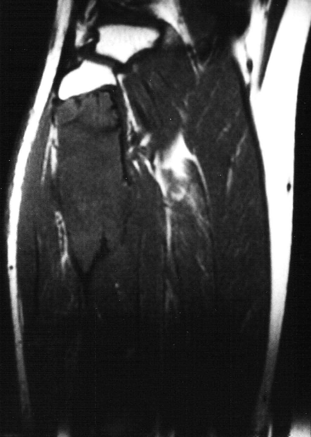
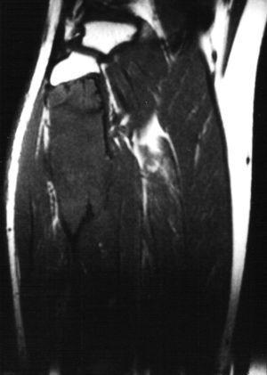
Paciente varón de 15 años, que fue remitido a consultas de traumatología por genu valgo. No tenía antecedentes de interés, salvo crisis asmáticas en la infancia, y la presencia de una lesión lítica ya conocida en el peroné, que sugería el diagnóstico diferencial de displasia fibrosa o quiste óseo aneurismático como primeras posibilidades. La lesión parecía haber crecido respecto a estudios previos. En la radiografía simple (fig. 3), se identificaba una gran lesión lítica expansiva que afectaba predominantemente a la metáfisis proximal del peroné derecho, extendiéndose caudalmente a la diáfisis, y limitada superiormente por la placa de crecimiento. No tenía matriz ósea interna y la zona de transición, al menos en la zona inferior, era estrecha. En el interior presentaba un patrón de múltiples septos con cierto adelgazamiento endostal. En la TC (fig. 4) la cortical estaba muy adelgazada, con focos de discontinuidad sin identificar masa de partes blandas, y presentaba finos septos internos. Se realizó un estudio mediante RM con un equipo de 1,5T (Gyroscan Philips Intera). En la RM el tamaño aproximado de la lesión era de 8,5 x 3,3 x 3 cm (craneocaudal x anteroposterior x lateromedial). La lesión insuflaba el peroné sin visualizar masa de partes blandas. En la secuencia T1-ES (TR/TE 460/15) se comportaba hipointensa de forma homogénea (fig. 5). En la secuencia STIR (1688/15) (fig. 6) parecía tener dos componentes, con diferentes intensidades de señal. El superior hipointenso y el inferior levemente hiperintenso. En la secuencia dinámica T1 (TR/ TE 460/15) tras gadolinio itravenoso (figs. 7 y 8) presentaba un leve realce periférico del componente superior en fase tardía con prácticamente nulo realce en fase precoz y, sin embargo, un intenso realce del componente inferior en fase precoz, seis segundos después de que el contraste se identificase en el interior de los vasos arteriales, con realce persistente en fase tardía (fig. 9). Se realizó una gammagrafía ósea de cuerpo completo en proyecciones anterior y posterior en tres fases. En la fase vascular se observaba un incremento en la llegada del radiotrazador del pool sanguíneo a la región proximal del peroné derecho. La imagen tardía mostraba una hipercaptación en el extremo proximal de dicho hueso. Descartaba la posibilidad de quiste óseo, que no suelen mostrar captación en la gammagrafía y aconsejaban descartar otro tipo de tumoración ósea. No se visualizaron otras lesiones a distancia. En estos momentos el diagnóstico diferencial propuesto fue de fibroma condromixoide, fibroma desmoplásico y quiste óseo aneurismático, a pesar de la ausencia de niveles líquido-líquido. A continuación se realizó una biopsia abierta, con diagnóstico de fibroma desmoplásico. En el estudio macroscópico se identificaban varios fragmentos blanquecinos de consistencia ósea. En el estudio microscópico, se identificó una proliferación de células elongadas, separadas de abundantes fibras de colágeno. La densidad celular era muy variable en función del campo estudiado, lo mismo que la disposición de las fibras de colágeno, bien onduladas o con gran laxitud. Las células tenían núcleos ovoideos, sin aparentes nucleolos y sin figuras mitóticas. Algunos de los remanentes óseos atrapados en la muestra tenían actividad osteoclástica, sin ver en ningún momento atipias.
Fig. 3.--Radiografía lateral de la rodilla derecha. Gran lesión lítica expansiva en la metáfisis proximal del peroné derecho sin halo esclerótico, con septos internos, sin matriz ósea y limitada superiormente por la placa de crecimiento.
Fig. 4.--Tomografía computarizada sin contraste. Presencia de finos tabiques internos incompletos.
Fig. 5.--Secuencia coronal T1-ES. La lesión aparece homogéneamente hipointensa, de comportamiento expansivo, limitada superiormente por la phisis.
Fig. 6.--Secuencia STIR coronal. Se diferencian los dos componentes. El superior hipointenso con una halo de hiperseñal y el inferior hiperintenso sin asociarse a masa de partes blandas.
Fig. 7.--Secuencia dinámica T1-ES tras la administración de gadolinio intravenoso de la vertiente superior de la lesión. Leve realce periférico en fase tardía con ausencia de realce significativo en fase precoz. Se visualiza el trayecto de la biopsia.
Fig. 8.--Secuencia dinámica T1-ES tras la administración de gadolinio intravenoso de la vertiente inferior de la lesión. Marcado realce en fase precoz.
Fig. 9.--Secuencia coronal T1 con supresión grasa tras la administración de gadolinio intravenoso en fase tardía. Realce homogéneo de la vertiente inferior de la lesión y realce periférico de la superior.
DISCUSION
El fibroma desmoplásico es una neoplasia benigna del hueso, caracterizada por abundante formación de colágeno y ausencia significativa de celularidad o pleomorfismo. Sus características histológicas recuerdan a las de los tumores desmoides de partes blandas, fibromas centrales o fibromas no odontogénicos, y en algunos casos a los fibrosarcomas de bajo grado2.
Algunos autores lo consideran un tumor «semimaligno» debido a su infiltración local y elevada tasa de recurrencias. Suponen el 0,13% de los tumores óseos benignos3.
Es más frecuente en la segunda y terceras décadas de la vida, presentándose el 75% de los casos en menores de 30 años1,2,4-6, y afecta de forma similar a hombres y mujeres2,3,6, aunque tiende a presentarse en hombres en edades más tempranas. En los casos de fibroma desmoplásico de la calota, se recoge una mayor incidencia en mujeres (proporción de 5 a 1), siendo el parietal el hueso más afectado7. Los síntomas son inespecíficos y similares a los de otros tumores, siendo los más frecuentes el dolor o signos inflamatorios de semanas a meses de evolución. Algunas veces (12%) tienen antecedentes de traumatismo o de fractura patológica3,8. No se conoce la causa, sin embargo algunos autores sugieren como causas los traumatismos previos o la dependencia hormonal3,9. Típicamente asientan en la mandíbula (22%) y en los huesos tubulares largos: fémur (15%), radio (12%), tibia (9%), húmero2,3. Menos frecuentemente en el maxilar, escápula, cúbito, vértebras, peroné, clavícula, costillas, esternón10, calcáneo6 o en el hueso temporal9.
En los huesos tubulares, lo típico es una afectación de la porción más central de las metáfisis, aunque puede afectar a cualquier localización, siendo excepcional la afectación epifisaria4. En estos casos hay que hacer diagnóstico diferencial con el tumor de células gigantes. Se han descrito fracturas patológicas en el 9-18% de los casos.
En los huesos planos las lesiones tienden a ser grandes, provocando adelgazamiento o destrucción de una o de ambas tablas, sin reacción perióstica, simulando al más frecuente granuloma eosinófilo (aunque éste suele tener el margen más lobulado)7. En la mandíbula tiende a afectar su vertiente más posterior, sobre todo en el ángulo, siendo en algunos casos multifocal11.
En algunos artículos se le ha relacionado con otros procesos como la enfermedad de Paget de larga evolución, la displasia fibrosa y los tumores malignos como el osteosarcoma, fibrosarcoma o el condrosarcoma, así como a diferentes anomalías cromosómicas12.
En la radiografía simple aparece como una lesión osteolítica de aspecto trabeculado, en pompas de jabón o con patrón en panal de abeja2, de tamaño variable, con lesiones incluso superiores a los 10 cm y sin matriz mineralizada. Sin embargo, algunos autores han encontrado mineralización parcial del componente extraóseo del tumor3.
La zona de transición entre el tumor y el hueso normal es típicamente bien definida, pero no esclerótica (75%)5,6. Otros autores describen un halo denso esclerótico periférico de hueso reactivo4,13. El mayor diámetro del tumor suele estar alineado en el eje largo del hueso, siendo frecuentes la expansión ósea y el festoneado endostal, simulando al fibroma no osificante, al fibroma condromixoide, al quiste óseo aneurismático, al tumor de células gigantes o a la displasia fibrosa2,13. En algunas ocasiones simula un hemangioma, debido a las trabeculaciones internas. Cuando afecta a los cuerpos vertebrales el diagnóstico diferencial hay que hacerlo con el plasmocitoma, condroma, condrosarcoma, ependimoma o con el tumor neurogénico4.
En algunas ocasiones aparecen como lesiones de gran tamaño, con trabeculación irregular y masa de partes blandas simulando a un fibrosarcoma14 o a las metástasis de tumores renal o tiroideo. La ruptura de la cortical se ve en el 30% de los casos y no debe ser interpretada como un signo de malignidad5,8. En estos casos generalmente se acompaña de masa de partes blandas.
En la angiografía son generalmente hipovasculares, pero también se han publicado algunas formas hipervasculares5,15.
La TC es útil para determinar la continuidad del córtex, ver la extensión de la invasión de partes blandas, si asocia o no matriz ósea y es el método de imagen preferido cuando afecta a huesos planos15.
La RM permite una clara delimitación entre el hueso normal y el tumoral. Generalmente aparece hipointenso tanto en las secuencias T1 como T2, como los linfomas o los tumores fibrosos, debido a la densa matriz conectiva, y para algunos autores debido a la relativa hipocelularidad, lo que significa una disminución de los protones móviles6. Otros autores recogen otros hallazgos, como la presencia de una pseudocápsula, focos de necrosis, niveles líquido-líquido dentro del tumor8 y, en ocasiones, un comportamiento hiperintenso en las secuencias T22,4. En nuestro caso se identificaban dos componentes diferentes dentro de la misma lesión de diferente señal en las secuencias T2. El componente superior es hipointenso y el inferior de intensidad intermedia. En las secuencias dinámicas postgadolinio intravenoso, el componente superior mostraba un leve realce periférico en fase tardía con prácticamente nulo realce en fase precoz y el componente inferior presentaba intenso realce en fase precoz, que persistía en fases tardías.
La tasa de recurrencia publicada está en torno al 48%3; sin embargo, no en todos los casos el tratamiento quirúrgico era el mismo.
Macroscópicamente suele tener un aspecto blanquecino o grisáceo, y ser de consistencia firme. Normalmente se separa fácilmente del hueso. El córtex suele estar expandido o erosionado2. Histológicamente es similar al tumor desmoide de pared abdominal o al llamado desmoide perióstico, y está compuesto por fibroblastos fusiformes homogéneos de núcleos alargados u ovoides. Las células carecen de hipercromasía, plemorfismo o atipia y las figuras mitóticas son raras o ausentes. Las células están separadas por densas fibras de colágeno. En los estudios de ultraestructura, se han aislado tres tipos celulares: fibroblastos, miofibroblastos o células mesenquimales4. En raras ocasiones se visualizan áreas salteadas de infiltrados inflamatorios.
Muchas veces resulta difícil diferenciarlo del fibrosarcoma de bajo grado, y la presencia ocasional de algunas figuras mitóticas no significa necesariamente tumor maligno. En estos casos el control clínico y radiológico ayuda al diagnóstico.
Respecto al tratamiento, la mayoría de los autores recomiendan una resección amplia, dejando un halo de tejido sano rodeando al tumor, debido a la posibilidad de un crecimiento infiltrativo hacia partes blandas que es de hasta un 48%3,4,8,16. En raras ocasiones se han descrito metástasis, pero son más frecuentes en tumores con múltiples recurrencias3. Sin embargo, la recurrencia local no es infrecuente. La tasa de recurrencias oscila entre el 55-78% después de procedimientos sin resección tumoral y del 17% tras resección tumoral3,11. Al igual que en los desmoides de pared abdominal, la histología de la recurrencia es la misma que la del tumor original.
En los tumores vertebrales suele ser imposible la resección completa, por lo que se suele realizar exéresis parcial y artrodesis, con resultados satisfactorios en algunos casos4,13.
Algunos autores proponen la terapia con tamoxifeno bien de forma primaria sin cirugía o de forma coadyuvante, pues recientemente se han encontrado receptores hormonales intratumorales9.
Respecto a la administración de radioterapia posquirúrgica, no queda claro, ya que la mayoría de los pacientes son jóvenes y se incrementa la posibilidad de desarrollar sarcomas postirradiación3.
AGRADECIMIENTOS
Al Dr. Luis Larrea Bilbao, Jefe del servicio de Radiodiagnóstico del Hospital de Cruces por su colaboración.













