INTRODUCCION
La espondilitis anquilosante (EA) es un proceso inflamatorio que afecta fundamentalmente al esqueleto axial, pero que también puede afectar a las articulaciones periféricas y a las estructuras extraarticulares.
El diagnóstico precoz de la EA se basa en la demostración radiológica de sacroileítis. La interpretación de la radiografía convencional puede ser difícil, debido a la complejidad anatómica de las articulaciones sacroilíacas (ASI). Además, si el diagnóstico de EA se basa solamente en la presencia radiográfica de sacroileítis, puede retrasarse bastantes años, ya que suele haber un intervalo prolongado entre el establecimiento de los síntomas y la presencia de hallazgos radiográficos1,2. Las radiografías simples pueden valorar el espacio articular (cartílago) y estructuras óseas, pero no cuantifican la inflamación2.
A todo lo anterior hay que añadir que no existe ningún marcador de laboratorio que refleje de manera precisa la actividad de la enfermedad y la respuesta al tratamiento en la EA1. Así mismo, la documentación de los cambios estructurales en la EA es esencial, no sólo para el diagnóstico, sino también para el manejo y pronóstico3.
Algunos autores afirman que la resonancia magnética (RM) puede rellenar el vacío existente entre la aparición de los síntomas y la visualización de la sacroileítis en la radiografía convencional. La RM es la única técnica que puede detectar lesiones inflamatorias en la columna y en las ASI de pacientes con EA, mediante la utilización de secuencias STIR y tras la administración de gadolinio3-8. No se ha descrito la utilidad de la RM en la detección de lesiones en la articulación coxofemoral de pacientes con EA.
La RM permite, además, valorar la actividad de la enfermedad, según la magnitud de los cambios estructurales1,2, y valorar la respuesta al tratamiento3,9.
En este trabajo se pretende describir los hallazgos que se visualizan en la RM de pacientes con EA en nuestro medio y valorar la capacidad para detectar cambios tras el tratamiento. Así mismo, describimos la afectación inflamatoria observada en las articulaciones coxofemorales, considerada como factor de mal pronóstico y no descrita hasta el momento en la literatura.
MATERIAL Y MÉTODOS
Características de los pacientes
Se describen los hallazgos en RM en 13 pacientes diagnosticados de EA que se encontraban en seguimiento por la Unidad de Reumatología del Hospital Universitario Reina Sofía y que presentaban características clínicas de EA agresiva. Se realizó una RM basal al comienzo del estudio y otra a los seis meses de comenzar tratamiento con adalimumab.
Características técnicas
Las imágenes se obtuvieron en un equipo Sigma Gemshow (Siemens) de 1,5 Tesla. Las secuencias utilizadas para valorar la presencia de inflamación espinal fueron:
1. Spin Eco T1 (TR: 360, TE: 18), 3 mm de grosor de corte.
2. STIR (TR: 3200, TE:43,6), 3 mm de grosor de corte.
3. Posteriormente, se administra gadolinio y se obtienen secuencias potenciadas en Spin Eco T1 con saturación grasa (TR: 600, TE: 18), 3 mm de grosor de corte.
Se obtienen imágenes separadas de la mitad superior e inferior de la columna vertebral, comenzando por la superior. Se estudian únicamente cortes en plano sagital.
Para valorar la afectación sacroilíaca y de la articulación coxofemoral se utilizan las siguientes secuencias:
4. STIR (TR: 3200, TE: 43,6), 3 mm de grosor de corte.
5. Spin Eco T1 con saturación grasa (TR: 600, TE: 18), 3 mm de grosor de corte, tras la administración de gadolinio.
Ambas articulaciones se estudian únicamente en plano coronal.
Valoración de hallazgos y cambio tras el tratamiento
La evaluación de los hallazgos en columna se realizó atendiendo a la presencia de realce tras la administración de contraste en secuencias T1 y a la existencia de lesiones hiperintensas en STIR (indicativas de edema de medula ósea). Su medida se realiza mediante el sistema de puntuación ASspiMRIa (tabla 1). En dicha puntuación se valoran la aparición de hiperintensidad en STIR y la captación de contraste en secuencias T1 como signos de actividad inflamatoria en columna. Este sistema evalúa los cambios espinales basándose en las alteraciones que aparecen en una unidad vertebral (UV). Dicha región se define como la zona comprendida entre dos líneas virtuales dibujadas a través de la mitad superior de un cuerpo vertebral y la mitad inferior del adyacente4.
Los cambios inflamatorios espinales agudos se evaluaron en un rango que oscila entre cero (normal) y 6 (captación, edema de médula ósea y destrucción de cuerpo vertebral mayor del 50%)4. Gracias a dicha puntuación y a la alta sensibilidad al cambio de la resonancia se puede, además, valorar la respuesta al tratamiento, simplemente comprobando cómo cambia la puntuación a lo largo del tiempo4,10. Para evaluar la presencia de actividad inflamatoria en ASI y coxofemorales se comprobó la existencia o no de hiperintensidad en STIR y captación de contraste, asignando una puntuación de 0 si eran normales, 1 si la afectación era unilateral y 2 si era bilateral.
La presencia de cambios tras el tratamiento se valora comparando las puntuaciones obtenidas en el ASspiMRI-a en la primera y en la segunda exploración (para la afectación espinal) y se valoró si la presencia de realce y edema de médula ósea se mantenía (en el caso de ASI y coxofemorales) o había disminuido de puntuación.
RESULTADOS
Se estudian un total de 13 pacientes, 12 hombres y una mujer. La edad media fue de 40,15 años (rango: 23-62).
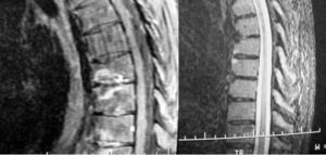
La afectación inflamatoria se manifestó, en todos los casos, como hiperintensidad en secuencia STIR y captación de contraste en secuencias T1. Doce pacientes presentaron afectación inflamatoria en la columna, ASI o caderas (figs. 1, 2 y 3).
Fig. 1.--Diferentes grados de afectación inflamatoria en cuerpos vertebrales. Secuencias STIR y SE T1 con contraste paramagnético.
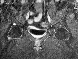
Fig. 2.--Afectación inflamatoria sacroilíaca. Secuencia STIR.
Fig. 3.--SE T1 con supresión grasa y contraste paramagnético. Se aprecia captación de contraste en acetábulo derecho.
Tras realizar la primera resonancia, se observó una afectación vertebral en 10 pacientes (76,7%). El ASspiMRIa de mayor valor obtenido fue de 6 (en 1 paciente). La afectación de ASI se demostró en 6 pacientes (46%) y la afectación de caderas en 3 (22,2%).
De estos 13 pacientes, sólo 8 se sometieron a una segunda RM a los 6 meses, debido a que 5 se negaron a repetirse la exploración (su estado clínico era malo, con dolor e importantes alteraciones posicionales en la columna, lo que hacía la resonancia difícil de soportar).
La segunda resonancia, transcurridos seis meses, mostró afectación vertebral en 2 pacientes (15,38%), afectación sacroilíaca en 2 (15,38%) y afectación coxofemoral en 1 (7,69%). El ASspiMRIa de mayor valor obtenido fue de 1 (en 2 pacientes).
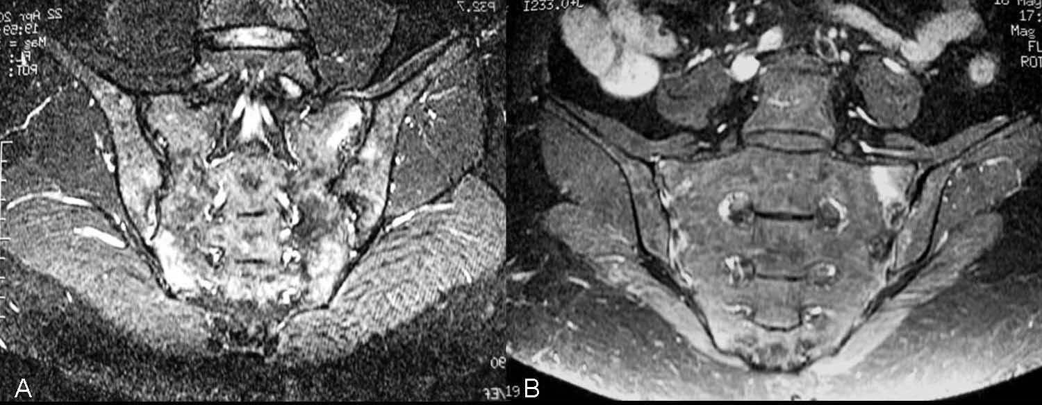
Doce pacientes mostraron una disminución de la puntuación ASspiMRIa, y una menor afectación en ASI y coxofemorales en la RM realizada tras el tratamiento (fig. 4). En el paciente restante, con puntuaciones de 0 en columna, sacroilíacas y caderas, no se modificaron las mismas tras el tratamiento.
Fig. 4.--Disminución de la afectación inflamatoria en articulaciones sacroiliacas tras el tratamiento. A: basal. B: transcurridos seis meses.
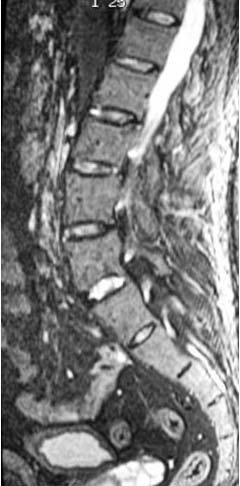
Dos pacientes presentaron afectación de elementos posteriores vertebrales, hecho no contemplado en la puntuación ASspiMRIa. En nuestro estudio, dichos pacientes son considerados, tal y como indica dicho sistema de puntuación, como puntuación 0 (normal). Así mismo, existió afectación discal en tres pacientes (tabla 2) (fig. 5).
Fig. 5.—SE T1 con supresión grasa y contraste paramagnético.Hiperintensidad discal L5-S1.
DISCUSION
La EA pertenece a un grupo de enfermedades relacionadas entre sí, agrupadas bajo el término de espondiloartritis, y que comparten determinadas manifestaciones clínicas y la asociación con el antígeno HLA-B27. La EA es una de las enfermedades reumáticas más comunes en España. Sin embargo, el diagnóstico precoz y la valoración de la respuesta al tratamiento de esta enfermedad ha sido siempre uno de los grandes retos.
Los criterios diagnósticos de EA se basan en la combinación de síntomas característicos más la demostración inequívoca de sacroileítis en radiografías de, al menos, grado 2 bilateral o 3 unilateral2,11. Las radiografías son generalmente normales cuando el paciente comienza a tener sus primeros síntomas y son necesarios varios años para que la sacroileítis evolucione desde el punto de vista radiográfico. Así, el diagnóstico de EA se retrasa de 8 a 11 años tras el desarrollo de los primeros síntomas2,11. Esto conlleva un intervalo de tiempo en el cual el paciente se expone a tratamientos inadecuados y a continuas pruebas diagnósticas que intentan esclarecer el origen de los síntomas que padece.
Actualmente, la introducción de las nuevas terapias biológicas ha supuesto un cambio en el tratamiento de los pacientes con EA, cambio del que se podrían beneficiar los pacientes desde una etapa precoz de su enfermedad, si ésta fuera diagnosticada a tiempo. Además, la introducción de dichas terapias ha hecho necesario el monitorizar si el paciente experimenta o no mejoría. Una de las formas de monitorizar dicha respuesta se basa en la demostración de la mejoría en los cambios radiográficos sugestivos de sacroileítis. Sin embargo, se ha demostrado que la radiografía simple no es sensible a dichos cambios hasta pasados varios meses1,2,4.
Diversos autores han demostrado que la RM puede ser la respuesta a estos dos problemas3,4,10,11. Por un lado, la demostración de edema de médula ósea y captación de contraste permite valorar la presencia de inflamación vertebral y en ASI de forma precoz, mucho antes de que en la radiografía aparezcan signos de sacroileítis o afectación inflamatoria vertebral2,4,12. Además, la resonancia permite valorar la actividad de la inflamación, según el sistema de puntuación ASspiMRIa (propuesto por Braun et al4).
Nuestro estudio se ha realizado con el objetivo de comprobar si los hallazgos descritos por varios autores2,3,7,8,12 en la afectación inflamatoria aguda en la EA se observan también en pacientes de nuestro medio. Efectivamente, comprobamos cómo la afectación vertebral, sacroilíaca y de caderas se manifiesta mediante la aparición de hiperintensidad en STIR y la captación de contraste en T1. Tal y como dichos autores describen, se aprecia una afectación en cuerpos vertebrales y en ASI2,3,7,8,12. Hemos observado, sin embargo, dos hechos que no habían sido descritos por estos autores. En primer lugar, en 3 pacientes apreciamos la existencia de hiperintensidad en discos intervertebrales sin existencia de lesión destructiva vertebral adyacente. Este hecho puede corresponder a una afectación inflamatoria discal en el contexto de la afectación vertebral en la EA. En segundo lugar, hemos observado también la afectación de elementos posteriores vertebrales. En algunos casos, ésta era la única afectación en la columna, por lo que, según el sistema de puntuación propuesto por Braun et al4 a estos pacientes les correspondería el nivel 0 (estudio normal) de afectación, a pesar de presentar alteraciones en la columna. Este hecho, junto con la presencia en algunos pacientes de la afectación discal ya descrita podría hacer pensar en la utilidad de incorporar estos dos hallazgos como parte del sistema de puntuación originalmente propuesto.
No hemos encontrado tampoco en la literatura ninguna referencia a la demostración de afectación inflamatoria en la EA en articulaciones coxofemorales. Dicha afectación se considera un factor de mal pronóstico en la enfermedad. Hasta ahora la valoración de la articulación de la cadera se llevaba a cabo, como ocurría con las ASI, mediante la radiografía simple. Dicha técnica, como ya hemos visto, no es sensible al cambio hasta pasados varios meses tras la instauración de los síntomas1,4. Sería útil poder detectar la afectación de cadera de manera precoz, ya que se podría instaurar un tratamiento más agresivo con antelación. En nuestro estudio hemos mostrado cómo también es posible detectar cambios en las articulaciones coxofemorales mediante RM, por lo que creemos que el estudio inicial mediante RM de un paciente afecto de EA debería incluir, desde el comienzo, las articulaciones coxofemorales.
Mientras que el sistema de puntuación para valorar la afectación espinal ha sido perfectamente descrito por Braun et al4, no hemos encontrado en la literatura ningún método para valorar la afectación inflamatoria en las ASI (que frecuentemente aparecen afectadas) ni en las articulaciones coxofemorales. En nuestro estudio, la afectación sacroilíaca y de caderas se ha valorado exclusivamente desde el punto de vista cualitativo, lo que no permite, a nuestro entender, una correcta valoración de la respuesta al tratamiento en casos en los que los pacientes sólo presentaban afectación de sacroilíacas desde el comienzo. Sería interesante en próximos estudios ahondar en la posibilidad de una gradación de la afectación inflamatoria de ASI y coxofemorales. Ello permitiría, en aquellos pacientes en los que dichas articulaciones fueran las únicas con afectación inflamatoria, valorar la respuesta al tratamiento de forma similar a como se realiza con el ASspiMRa.
CONCLUSIONES
La RM abre nuevas posibilidades para el manejo de los pacientes con EA. Por un lado, permite el diagnóstico precoz, ahorrando al paciente años de tratamientos de prueba y ahorrando al sistema sanitario el coste de múltiples pruebas diagnósticas para intentar explicar los síntomas que presentan dichos enfermos. Por otro lado, permite una valoración rápida y objetiva de la respuesta al tratamiento, por lo que el paso a un nuevo escalón terapéutico más agresivo se podrá realizar con mayor celeridad, evitando tratamientos poco efectivos.











