El síndrome de Herlyn-Werner-Wunderlich, más conocido como el síndrome de obstrucción hemivaginal con agenesia renal ipsilateral (OHVIRA), es una enfermedad rara caracterizada por anomalías de los conductos müllerianos y mesonéfricos. Su presentación clínica es inespecífica, incluyendo dolor pélvico crónico y disfunción menstrual, que puede confundirse fácilmente con otras entidades con abordajes terapéuticos distintos. Es crucial reconocer esta patología para garantizar un diagnóstico y tratamiento adecuado, mejorando la calidad de vida de las pacientes afectadas1,2.
Presentación del casoPresentamos el caso de una niña prepuberal de 10 años en seguimiento pediátrico que fue diagnosticada prenatalmente de riñón izquierdo único. Durante el seguimiento ecográfico posnatal, se detectó una estructura tubular con contenido líquido-anecoico en la pelvis, con estrechamiento hacia la uretra derecha, planteando inicialmente un diagnóstico diferencial entre resto mesonéfrico/uracal atípico, riñón derecho ectópico y atrófico. Se repitió la ecografía posteriormente (fig. 1.), en la que se identificó la presencia de un útero bicorne bicollis con colección líquida cerca de la vagina. La resonancia magnética (RM) confirmó un útero didelfo con hemivagina derecha ciega y hemivagina izquierda permeable (fig. 2). Se realizó vaginoscopia para confirmar la permeabilidad de la hemivagina izquierda y, actualmente, está en lista de espera para tratamiento definitivo con vaginoplastia.
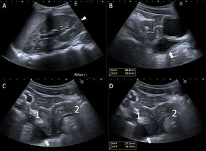
Ecografías abdominopélvicas. A) Riñón izquierdo único, compensador (cabezas de flecha, delimitando sus bordes). B) Colección líquida paravesical de 48 x 18mm con ecos finos internos (flecha). C y D) Malformación uterina con aparente útero bicorne bicollis con ambos cuerpos uterinos en anteflexión (1. derecho: 27mm / 2. izquierdo: 24mm), cada uno lateralizado hacia un lado, con colección adyacente a útero derecho (flecha). Ambos endometrios centrados.
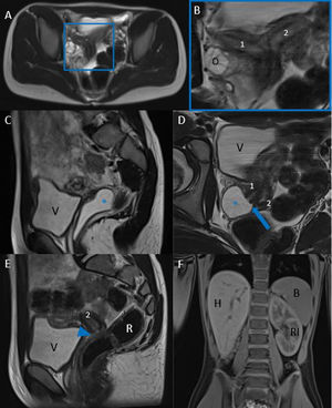
RM de pelvis. A) Secuencias potenciadas en T2 axial y B) ampliación de la A) centrada en la región de interés. Útero didelfo con tabique vaginal derecho con morfología infantil prepuberal. Los cuerpos uterinos (1 derecho/2 izquierdo) se encuentran en anteflexión, cada uno lateralizado hacia un lado. C) Secuencia potenciada en T2 sagital oblicuo y D) secuencia potenciada en T2 coronal oblicuo centrado en el cérvix del útero derecho. Cuello de útero derecho (1, flecha) con desembocadura en hemivagina derecha dilatada y con contenido hiperintenso (líquido) en su interior (*), correspondiente con la imagen quística descrita en ecografías previas. No demuestra contacto con el periné. E) Secuencia potenciada en T2 sagital oblicua centrada en hemivagina izquierda. Cuello de útero izquierdo (2) con continuidad con una estructura alargada colapsada (punta de flecha) que alcanza periné, sugestiva de corresponder a hemivagina izquierda, aparentemente permeable. F) Secuencia T1 VIBE tras la administración de contraste en fase parenquimatosa objetivándose riñón izquierdo único, compensador.
B: bazo, H: hígado, O: ovario derecho, R: recto, RI: riñón izquierdo, V: vejiga.
Este caso destaca la importancia de la evaluación ecográfica pre y posnatal ante la presencia de agenesia renal, buscando posibles anomalías genitourinarias asociadas. El síndrome OHVIRA se caracteriza por la tríada de útero doble o didelfo, obstrucción cervicovaginal unilateral y anomalías renales ipsilaterales, como agenesia renal (más frecuente), pero también pueden observarse riñones duplicados, riñones displásicos, bandas rectovesicales o ectopia cruzada fusionada1,3.
El diagnóstico de este síndrome es fundamentalmente radiológico, siendo la RM el gold standard para evaluar la morfología uterina, las estructuras pélvicas y las posibles anomalías renales asociadas. Los hallazgos característicos en la RM incluyen la presencia de un útero doble y, menos frecuentemente un útero bicorne bicollis (útero único con dos cuernos uterinos y dos cuellos cervicales), obstrucción cervicovaginal unilateral con hemivagina obstruida y anomalías renales ipsilaterales, como hemos comentado anteriormente y presentaba nuestra paciente. Durante el periodo neonatal, la ecografía es habitualmente la técnica de imagen que establece el diagnóstico de sospecha, ya que el útero está todavía bajo la estimulación hormonal materna y muestra un miometrio y endometrio prominentes, difícilmente evaluables en la infancia prepuberal. El diagnóstico diferencial debe considerar otras anomalías de los conductos müllerianos, como la agenesia renal unilateral aislada y la atresia cervical unilateral. Además, cuando la obstrucción uterovaginal resulta en una dilatación significativa, el diagnóstico por imagen diferencial puede incluir masas anexiales benignas como un cistadenoma o un endometrioma, así como aquellas de comportamiento maligno2,4,5.
Es importante destacar que el diagnóstico precoz del síndrome OHVIRA, como en el caso de esta paciente prepuberal, es crucial para prevenir complicaciones graves en la edad adulta. A menudo, los pacientes con esta condición permanecen sin diagnosticar hasta después de la menarquia, cuando comienzan a manifestar síntomas como dolor abdominal cíclico, dismenorrea y hematocolpos debido a la obstrucción de la hemivagina. Sin embargo, el diagnóstico temprano permite la intervención quirúrgica oportuna para prevenir complicaciones a largo plazo, como infecciones pélvicas recurrentes, endometriosis, infertilidad y complicaciones obstétricas durante el embarazo1,2,5.
Finalmente, respecto al tratamiento de elección, la vaginoplastia en un solo tiempo con resección trasvaginal del septo obstruido seguido de anastomosis de la mucosa vaginal. En algunos casos, puede ser necesaria la hemihisterectomía. Además del tratamiento quirúrgico, la supresión menstrual con anticonceptivos orales combinados puede ser recomendada para prevenir una mayor acumulación de líquido en la hemivagina antes de la intervención quirúrgica5.
Consentimiento informadoSe obtuvo el consentimiento informado del paciente y tutores.
Contribuciones del autor- 1.
Responsable de la integridad del estudio: EPP.
- 2.
Concepción del estudio: EEP.
- 3.
Diseño del estudio: EEP, AAM, PBT.
- 4.
Obtención de los datos e imágenes: EEP, AAM.
- 5.
Búsqueda bibliográfica: EEP.
- 6.
Redacción del trabajo: EEP, PBT, AAM.
- 7.
Revisión crítica del manuscrito con aportaciones intelectualmente relevantes: EEP, PBT, AAM.
- 8.
Aprobación de la versión final: EEP, PBT, AAM.
El presente artículo no ha recibido ayudas específicas provenientes de agencias del sector público, sector comercial o entidades sin ánimo de lucro.
Conflicto de interesesLos autores declaran que no tienen ningún conflicto de intereses.








