INTRODUCCIÓN
El concepto de enfermedad inflamatoria intestinal (EII) abarca los procesos inflamatorios crónicos del intestino, de etiología desconocida, que afectan primariamente al tracto digestivo. Dentro de la EII se distinguen dos entidades patológicas, la enfermedad de Crohn (EC) y la colitis ulcerosa (CU).
Aunque la endoscopia con biopsia es el método de diagnóstico más sensible y específico en la actualidad, en ocasiones no es posible alcanzar el íleon terminal, donde en un alto porcentaje de pacientes se encuentra la única localización de la EC.
El papel del radiólogo en el estudio de la EII es extraordinariamente importante, puesto que el análisis de los hallazgos por imagen aporta datos objetivos que van a servir para solventar situaciones o dudas que tienen trascendencia desde el punto de vista del tratamiento del paciente. De ahí que la finalidad de las técnicas de imagen sea confirmar el diagnóstico de la EII, localizar las lesiones, evaluar su extensión y severidad, definir la presencia de actividad inflamatoria y también evaluar las posibles complicaciones extraintestinales sentando, en aquellas situaciones en que sea necesario, la indicación quirúrgica1-3.
De entre todas las técnicas de imagen nos vamos a centrar fundamentalmente en los estudios baritados, la tomodensitometría o tomografía computarizada (TC) y en la resonancia magnética (RM).
El estudio con bario en sus diferentes modalidades proporciona información muy detallada de la mucosa. Sin embargo, la presencia de lesiones adicionales no sospechadas, que sólo pueden ser documentadas por TC o RM tiene un alto impacto en el manejo clínico de estos pacientes4, condicionando cambios en el tratamiento en el 28% de los casos según Fisherman5 y en el 62% según Turetschek6.
La TC define con precisión la afectación transmural de la EC y detecta las potenciales complicaciones extraluminales tales como abscesos, adenopatías y afectación mesentérica.
La RM es una técnica que surge con un gran potencial en el estudio del intestino delgado, fundamentalmente en pacientes de este tipo, puesto que no supone radiación ionizante. Se trata de una patología inflamatoria crónica, de carácter recurrente, en pacientes jóvenes con una gran esperanza de vida, en los que hay que minimizar la exposición a radiaciones ionizantes, y probablemente en un futuro no lejano la RM va a ejercer un importante papel en el estudio de estos pacientes. En concreto la RM ha demostrado gran precisión en el estudio de las fístulas anorrectales, a la hora de determinar y diferenciar los trayectos fistulosos7,8.
ENFERMEDAD DE CROHN
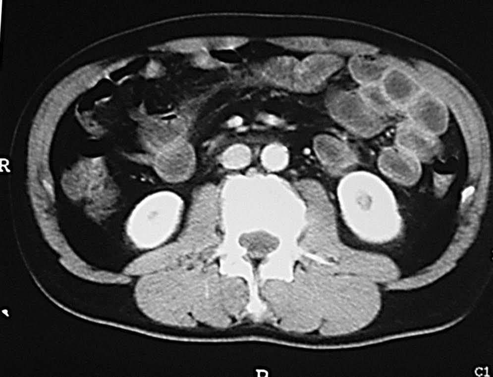
La EC se define como un proceso transmural inflamatorio crónico de etiología desconocida. De carácter recurrente, segmentario y granulomatoso, tiende a provocar complicaciones tales como abscesos y trayectos fistulosos. Se localiza en cualquier segmento del tracto digestivo, desde la boca al ano, aunque asienta de forma preferente en el íleon terminal, en íleon proximal y colon ascendente (fig. 1). Se acepta que en un 55% de los casos hay afectación del íleon terminal y del colon, en un 30% de los casos sólo de intestino delgado y que la afectación exclusiva del colon acaece en un 15%9.
Fig. 1.--Enfermedad de Crohn, afectación segmentaria del tracto digestivo con localización duodenal (A) e ileal (B) en el mismo paciente.
La EC afecta predominantemente a adultos jóvenes. En la pasada década su incidencia y prevalencia han aumentado hasta 5 veces más que la CU10.
Desde el punto de vista clínico, el inicio es insidioso, con diarrea, dolor y pérdida de peso, aun cuando a veces hay una forma aguda que simula la apendicitis.
Los hallazgos radiológicos se basan en el sustrato anatomopatológico, cuyo conocimiento es imprescindible para el radiólogo. En primer lugar, la hipertrofia de folículos linfoides a nivel de la submucosa va a justificar a la larga una ulceración de la mucosa que reviste esos folículos linfoides hipertróficos y van a aparecer las úlceras aftoides, que si no son patognomónicas, sí que son muy específicas de la EC. Se trata de lesiones claramente delimitadas, separadas por zonas de mucosa normal en el contexto de afectación discontinua y asimétrica de la pared intestinal, que son específicas de la EC11.
Esas ulceraciones superficiales se van a transformar en fisuraciones longitudinales y transversas que dejan entre sí islotes de mucosa edematosa y tumefacta dando lugar al patrón en "empedrado". Estas ulceraciones fisurantes evolucionan a ulceraciones penetrantes en "espina de rosal", que son perforaciones encubiertas con un trayecto fistuloso que la TC puede poner de manifiesto como una pequeña dilatación adyacente a la ulceración11,12 y son la base de los futuros trayectos fistulosos.
La contracción mantenida de la muscularis mucosa condiciona el espasmo que se define como el concepto de signo de "la cuerda" a nivel del íleon terminal o el signo del "asa orgullosa". El asa está separada del resto de estructuras intestinales no sólo por el espasmo, sino por la afectación de la grasa mesentérica en relación con el proceso inflamatorio de estas estructuras, lo que justifica el concepto de "asa orgullosa". En la TC también se identifica el aspecto estriado característico de la grasa mesentérica en relación con el componente de edema y de inflamación y la presencia de adenopatías mesentéricas5,12.
Como consecuencia de la afectación asimétrica y discontinua de la pared intestinal se encuentra una rectificación y enderezamiento del borde mesentérico y una serie de saculaciones antimesentéricas similares a las de la esclerodermia aun cuando presentan un mecanismo patogénico diferente13.
A partir de las ulceraciones penetrantes surgen los trayectos fistulosos de todo tipo y condición: fístulas enteroentéricas, enterocutáneas, enterocólicas, colocólicas, anorrectales, etc., que son muy características de este proceso. Y a partir de esos trayectos fistulosos pueden surgir abscesos, cuyas características varían entre abscesos plenamente conformados, con pared gruesa e irregular, nivel hidroaéreo en su interior, que incluso pueden detectarse clínicamente puesto que justifican la prominencia de la pared abdominal y abscesos entre asas, más difíciles de demostrar si no es mediante TC13.
En fases avanzadas la mucosa es atrófica con alguna discreta zona de estenosis y con presencia de pólipos hipertróficos de aspecto regenerativo.
La EC es una entidad imprevisible tanto desde el punto de vista clínico como desde el punto de vista evolutivo. Es esencial definir la actividad de la enfermedad, puesto que el objetivo del clínico debe ser obtener la remisión y no una simple mejoría clínica. Pero el mismo concepto de actividad resulta esquivo, puesto que no existe un marcador único14. A la hora de establecer una clasificación los datos analíticos y clínicos no resultan del todo objetivos. Son los hallazgos radiológicos, nuestros criterios semiológicos, los que van a posibilitar el llevar a cabo una clasificación que resulta útil al estar basada en criterios objetivos y que va a tener trascendencia para solventar dilemas que tienen interés desde el punto de vista del tratamiento de este tipo de pacientes15.
La clasificación (fig. 2) establece cuatro subtipos3:
Fig. 2.--Clasificación según el grado de actividad de la enfermedad inflamatoria intestinal.
-- Activo inflamatorio.
-- Fistulizante-perforante.
-- Fibroestenótico.
-- Reparativo-regenerativo.
Estos subtipos van a requerir un tratamiento diferente. Por ejemplo, la presencia de un cuadro obstructivo en un paciente con un subtipo activo-inflamatorio va a justificar un tratamiento médico intenso y continuado, mientras que ese mismo cuadro obstructivo en un paciente con un subtipo fibroestenótico no va a ser susceptible de tratamiento médico, va a requerir tratamiento quirúrgico o algún tipo de maniobra intervencionista. Lo mismo ocurre con el subtipo fistulizante-perforante, donde van a ser los hallazgos radiológicos los que definan si ese paciente sigue un tratamiento médico, si se intensifica el mismo con azatioprina o ciclosporina o si, por el contrario, habrá que llevar a cabo un tratamiento quirúrgico. Es preciso matizar que no son subtipos estanco, sino que en un mismo paciente pueden coincidir varios de estos subtipos en una u otra situación3. A continuación se van a analizar los criterios semiológicos desde el punto de vista radiológico de cada uno de estos subtipos.
Subtipo inflamatorio activo
En la etapa inicial los hallazgos propios de la EII en el tránsito baritado son muy sutiles, tal vez discreto grado de espasmo con cierto grado de irritabilidad o alteración de la distensibilidad. De ahí que el estudio baritado tiene que ser realizado con una técnica exquisita, con sumo detalle, con compresión cuidadosa de cada una de las diferentes asas (fig. 3).
Fig. 3.--Enfermedad de Crohn, fase activa inflamatoria. (A) Discreto enderezamiento, rectificación y engrosamiento de pliegues intestinales a nivel de las asas yeyunales. (B) La correlación de tomografía computarizada (TC) muestra la hiperemia y la estratificación tan propias de la situación inflamatoria activa de la pared intestinal.
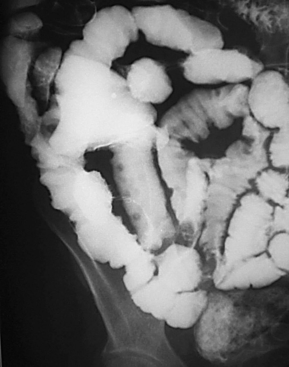
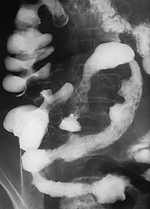
En la fase activa hay presencia de úlceras superficiales o aftoides (fig. 4). Pueden evolucionar haciéndose ulceraciones fisurantes longitudinales y transversales, dejando entre sí islotes de mucosa normal, constituyendo el concepto de patrón en "empedrado" (fig. 5).
Fig. 4.--Enfermedad de Crohn, fase activa inflamatoria. (A) En el estudio baritado, a nivel de íleon distal se observan pequeñas imágenes puntiformes de cúmulo de bario rodeadas de un halo de edema, que corresponden a úlceras superficiales o aftoides. (B) Correlación endoscópica.
Fig. 5.--Enfermedad de Crohn, fase activa inflamatoria. (A) Ulceraciones longitudinales y transversales que dejan entre sí islotes de mucosa edematosa, constituyendo el patrón en "empedrado" en el estudio baritado. (B) Correlación microscópica: ulceración fisurante rodeada del infiltrado inflamatorio, lesión claramente delimitada y rodeada de mucosa normal.
Al nivel de íleon terminal el espasmo justifica el signo de "la cuerda" (fig. 6). En relación no sólo con el espasmo, sino con una proliferación fibroadiposa del mesenterio aparece el signo del "asa orgullosa" en el estudio con bario, cuyo sustrato fisiopatológico ilustra la TC (fig. 7).
Fig. 6.--Enfermedad de Crohn, fase activa inflamatoria. (A) En el tránsito baritado: signo de "la cuerda" a nivel del íleon terminal. (B) La correlación en tomografía computarizada (TC) muestra engrosamiento mural, hiperemia y estratificación.
Fig. 7.--Enfermedad de Crohn, fase activa inflamatoria. (A) Signo del "asa orgullosa" en el tránsito intestinal. (B) Correlación tomodensitométrica: separación del asa intestinal del resto en relación con proceso inflamatorio de la grasa mesentérica.
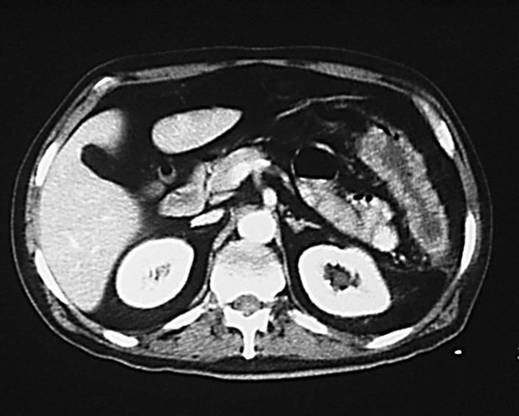
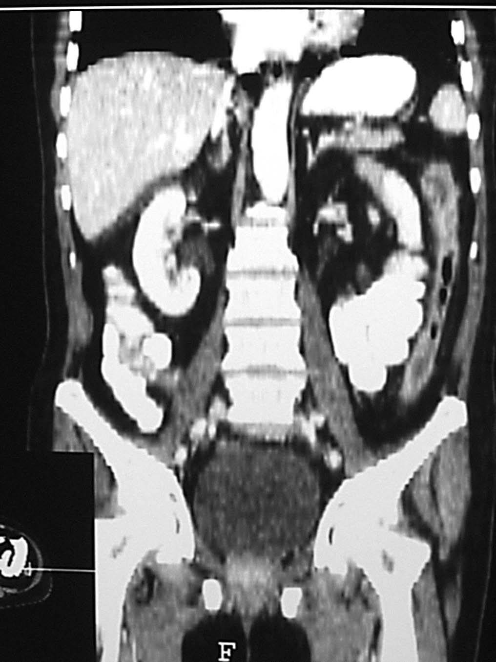
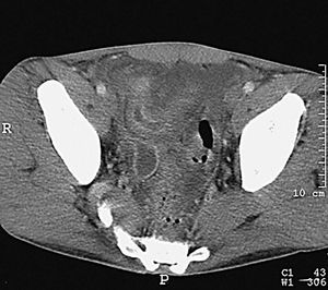
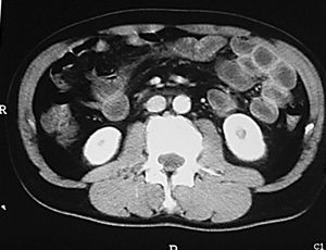
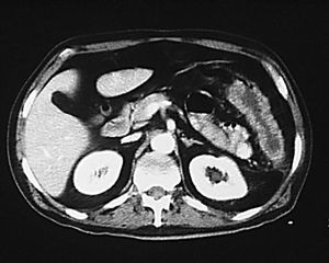
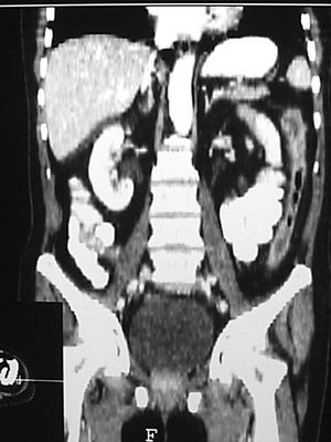
Los hallazgos en la TC y la RM sugestivos de EC en fase activa son la hiperemia, característica de un proceso inflamatorio y la estratificación de la pared intestinal (fig. 8). El concepto de hiperemia que depende de la prominencia, tortuosidad y dila-tación de los vasa recta, se traduce por el signo del "peine" (fig. 9), descrito por Meyers y McGuire16 en estudios tomodensitométricos de pacientes en fase activa de la EC. Si bien no es un signo patognomónico de la EC, la hiperemia a nivel de las asas intestinales es marcador de actividad17. La estratificación de la pared intestinal justifica un aspecto en "diana" (fig. 3B) con una zona de alto valor de atenuación interna que corresponde a la mucosa, otra zona también de alto valor de atenuación periférica que corresponde a la muscular-serosa y una zona intermedia entre ambas, de menor valor de atenuación que corresponde a la submucosa edematosa en relación con la ectasia linfática12.
Fig. 8.--Ileocolitis granulomatosa. (A) La resonancia magnética (RM) en secuencia potenciada en T1, tras la administración de gadolinio endovenoso, en corte de orientación axial, muestra engrosamiento mural del íleon terminal y del polo cecal que se realza con contraste. (B) Correlación en el plano coronal.
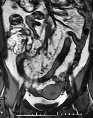
Subtipo fistulizante perforante
En este suptipo (fig. 10) hay también un proceso inflamatorio activo y aparece estriación de la grasa mesentérica en relación con edema e inflamación, pero las ulceraciones fisurantes se hacen más profundas (úlceras en "espina de rosal"). Estas ulceraciones penetrantes van a ser la base de las futuras fístulas y también de las complicaciones extraluminales, como pueden ser abscesos o masas inflamatorias.
Fig. 9.--Enfermedad de Crohn, fase activa inflamatoria. (A) El signo del peine en la resonancia magnética (RM), secuencia potenciada en T1, imagen de orientación coronal. (B) Secuencia potenciada en T2, corte coronal, muestra prominencia y dilatación de los vasa recta.
Fig. 10.--Enfermedad de Crohn. El subtipo fistulizante-perforante se caracteriza por la presencia de ulceraciones penetrantes en el contexto de un proceso inflamatorio activo a nivel de la pared. (A) Estudio baritado que revela la existencia de ulceraciones penetrantes. (B) Correlación microscópica de una de esas ulceraciones penetrantes, con su aspecto serpinginoso y anfractuoso, irregular, rodeada por el infiltrado inflamatorio.
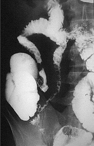
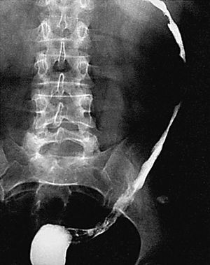
Para los pacientes con EC el riesgo de padecer una fístula durante su vida se sitúa entre el 20 y el 40%. En el caso de las fístulas perianales el riesgo es acumulativo y aumenta con el paso de los años: del 21% a los 10 años, al 26% después de los 20 años de enfermedad18. En el diagnóstico por imagen de las fístulas anorrectales la fistulografía está siendo reemplazada por la RM, que ha demostrado gran precisión a la hora de determinar y diferenciar los trayectos fistulosos y abscesos8,19,20. Las ventajas de la RM frente a la TC son la mayor resolución tisular en el estudio de partes blandas de la región pélvica y la mayor resolución espacial.
Subtipo fibroestenótico
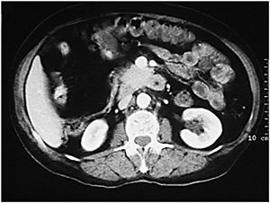
Se caracteriza por la existencia de zonas de estenosis segmentarias, generalmente no muy largas, con dilatación preestenótica. Las posibles complicaciones de carácter oclusivo no tienen tendencia a la resolución únicamente con tratamiento médico. Desde el punto de vista tomodensitométrico en este subtipo los hallazgos clásicos de la fase inflamatoria aguda están ausentes. Hay engrosamiento mural, pero éste es uniforme, sin que haya estratificación ni aspecto en "diana" y tampoco hay fenómenos hiperémicos. Las ulceraciones murales se definen porque el bario penetra en esas zonas. Asimismo, se aprecia el aspecto estriado característico de la grasa mesentérica en relación con el componente de edema y de inflamación y la presencia de adenopatías mesentéricas. El carácter excéntrico del proceso se pone de manifiesto con la afectación asimétrica y discontinua de la pared intestinal, la rectificación del borde mesentérico de las asas intestinales y la existencia de pseudosaculaciones en el borde antimesentérico.
Subtipo regenerativo
Se trata del último patrón a considerar (fig. 11), en el que la mucosa es atrófica con alguna discreta zona de estenosis y con presencia de pólipos hipertróficos de aspecto regenerativo.
Fig. 11.--Enfermedad de Crohn: presencia de pólipos regenerativos en el tránsito baritado, propios del subtipo regenerativo.
Existen situaciones en las que la EC está localizada exclusivamente a nivel del colon, colitis granulomatosa, hasta en un 19% de los casos. Esta situación plantea problemas de diagnóstico diferencial por imagen con otra entidad de distinto significado, pronóstico y tratamiento, como la CU.
Desde el punto de vista clínico hay ciertas diferencias con la CU, puesto que en la colitis granulomatosa no suele haber sangre en heces, no hay afectación rectal, la sigmoidoscopia, por ello, es normal aun cuando sí que son muy frecuentes las fístulas perianales y en general perirrectales. En contraposición, las manifestaciones extracolónicas son menos frecuentes que en la CU y tampoco suele presentarse la complicación de perforación libre del colon. A diferencia de la CU, la colitis granulomatosa no es curable con la colectomía e ileostomía u otra técnica que implique un reservorio ileal, por la tendencia de esta entidad a recurrir a dicho nivel.
Desde el punto de vista de los hallazgos radiológicos, éstos van a ser similares a los que ya hemos consignado. Pequeñas imágenes puntiformes de cúmulo de bario que corresponden a las úlceras aftoides, el patrón en "empedrado" por la desestructuración mucosa y la ausencia de afectación de la ampolla rectal son los hallazgos de imagen que cabe esperar en el estudio baritado.
Desde el punto de vista tomodensitométrico (fig. 12) y de la RM los criterios semiológicos son más o menos similares: el engrosamiento mural y la hiperemia característica de una situación inflamatoria activa. Se describe el hecho de que el engrosamiento mural del colon suele ser más marcado en la colitis granulomatosa que en la ulcerosa, lo mismo que la irregularidad de los contornos, que suele ser también más acentuada en los casos de colitis granulomatosa.
Fig. 12.--Enfermedad de Crohn. A) La tomografía computarizada (TC) muestra la afectación del colon de carácter segmentario.(B) En la reconstrucción en plano coronal (MPR) puede apreciarse el marcado engrosamiento mural del colon descendente.
COLITIS ULCEROSA
La CU es otro proceso inflamatorio de etiología desconocida de la mucosa recto-cólica, que suele iniciarse a nivel de la mucosa rectal y progresa en sentido ascendente. Suele afectar también a pacientes jóvenes, del sexo femenino, con un cierto predominio por la raza blanca y judíos. La evolución del proceso suele ser crónica en un 70% de los casos, aun cuando en un 15% puede tener un curso fulminante y en un 10% hay un solo brote y una ulterior remisión. En un 40% de los casos está limitada al recto, y en un 30% la afectación es difusa.
Desde el punto de vista clínico hay una sintomatología característica: fiebre, dolor abdominal, pero sobre todo diarrea con presencia de sangre y ya que siempre hay afectación rectal, la sigmoidoscopia es positiva. Hay también una serie de manifestaciones extracolónicas que son propias de esta entidad.
Desde el punto de vista macroscópico, la mucosa de un paciente con CU presenta un aspecto difusamente hemorrágico con la presencia de ulceraciones múltiples, a partir de las cuales pueden surgir las complicaciones que ya conocemos: la dilatación tóxica, la perforación del colon, y en fases ya muy evolucionadas y crónicas con una pancolitis, la posibilidad de una degeneración neoplásica.
Desde el punto de vista anatomopatológico hay criterios diferenciales muy específicos con respecto a la colitis granulomatosa. Se trata de una inflamación exudativa, pero las lesiones son continuas, sin áreas intermedias normales, de distribución circunferencial y simétrica. De forma característica hay afectación de la mucosa, a veces por contigüidad de la submucosa, pero no es una inflamación transmural. No hay granulomas, aun cuando a veces nos encontremos con pseudopólipos y también con la posibilidad de que exista una ileítis por reflujo, situaciones éstas que pueden provocar problemas de diagnóstico diferencial.
En una fase inicial hay edema e hiperemia con descamación de células inflamatorias que obliteran las criptas de Lieberkhün, dando lugar a los microabcesos crípticos, que son patognomónicos de esta enfermedad. A partir de estos microabscesos crípticos surgen las ulceraciones en "T" o ulceraciones en "botón deración. En fases más avanzadas existe una contracción crónica de la muscularis mucosa, y a partir de ahí aparecen las posibles complicaciones: dilatación tóxica o incluso en casos crónicos muy evolucionados, la posibilidad de degeneración neoplásica.
Así pues, los hallazgos radiológicos característicos en la fase inicial de la CU son el edema, la hiperemia, con pérdida de la radiolucencia normal de la mucosa (ya que resulta difícil definir de una manera nítida la imagen lineal de esta estructura). La presencia de secreciones abundantes en el interior de la luz del colon con un escaso contenido de moco justifica que el bario llegue casi a flocular, de ahí ese aspecto granular tan característico y la falta de haustración en relación con la relajación de las tenias. Los microabscesos crípticos tienen un aspecto moteado característico y su evolución normal son las ulceraciones en "T" o en "botón de camisa" que el estudio de doble contraste pone en relieve (fig. 13). El aspecto de doble pared del marco cólico, que se define como en "vía de tren" está en relación también con la presencia de las úlceras en "T" o en "botón de camisa"20.
Fig. 13.--Colitis ulcerosa. (A) Microabscesos crípticos en el estudio con doble contraste y su evolución normal a ulceraciones en "T" o en "botón de camisa". (B) El aspecto de doble pared del marco cólico se define como en "vía de tren".
En la TC también se definen estas ulceraciones con aspecto en "vía de tren" de la pared del marco cólico. El aspecto estratificado de la pared del colon se ha denominado clásicamente como signo de la "diana" o del "doble halo". El anillo central de baja densidad corresponde al edema en la submucosa, con relación al componente inflamatorio activo. En las fases subaguda o crónica esta baja densidad de atenuación en la submucosa corresponde al depósito graso21.
Los hallazgos característicos de una fase más avanzada son la presencia de pseudopólipos con islotes de mucosa que se localizan entre las ulceraciones. En la TC esos pseudopólipos destacan de la mucosa de aspecto denudado como prominencias. Éstos pueden ser de todo tipo y condición: pseudopólipos lineales, pseudopólipos más abigarrados y grandes con un aspecto velloso.
El aspecto final de la CU se caracteriza por la apariencia rígida del colon, por la contracción mantenida de la muscularis mucosa que justifica esa pérdida de la haustración (es el colon en "tubería de plomo" [fig. 14]) y el aspecto atrófico de la ampolla rectal20. El característico signo del "halo graso", depósito de grasa al nivel de la submucosa, se ve también en las situaciones de EII, aun cuando se define como más propio de la CU13,22. También es típico el aumento de la distancia recto-sacra, estando esa zona ocupada por grasa con un componente inflamatorio, con edema, y la presencia de pequeñas imágenes correspondientes a ganglios linfáticos.
Fig. 14.--Aspecto final de la colitis ulcerosa con esa apariencia rígida, carente de haustración por la contracción mantenida de la muscularis mucosa.
Típicamente la afectación difusa de colon o del colon descendente distingue a la CU de la EC, ya que raramente afecta al colon derecho de forma exclusiva. Asimismo, la afectación circunferencial y simétrica de la pared intestinal, de forma continua y difusa caracteriza la CU en todos los estudios de imagen13.
DIAGNÓSTICO DIFERENCIAL DE LA ENFERMEDAD INFLAMATORIA INTESTINAL
Aun cuando la CU y la EC van a constituir la mayor parte de las enterocolitis que nos vamos a encontrar en la práctica clínica, hay que considerar que en nuestros días, y en relación con la inmigración, los viajes, la terapia antibiótica indiscriminada, las situaciones de inmunodeficiencia, bien sea por trasplante de órganos o síndrome de inmunodeficiencia adquirida, la patología infecciosa del tracto digestivo es muy frecuente, con distintos agentes causales: Ameba, Shigella, Salmonella, Citomegalovirus, Yersinia, etc. y hay que consignar que la capacidad de respuesta del tubo digestivo frente a una amplia gama de agresiones resulta un tanto limitada. Por ello, algunas de las manifestaciones que estamos considerando podrían depender de otras etiologías, y en esas situaciones será necesario recurrir al diagnóstico bacteriológico o incluso al diagnóstico histológico. Pero no obstante, con los criterios que hemos comentado va a ser hasta cierto punto posible diferenciar la CU de la colitis granulomatosa22.
En resumen, lo característico de la CU es la afectación contigua, circunferencial y simétrica, presencia de microabscesos crípticos, en contraposición a lo que ocurre con la EC: afec tación discontinua y asimétrica de la pared intestinal con carácter excéntrico, presencia de granulomas, siendo frecuentes las aftas y las ulceraciones fisurantes, penetrantes, en "espina de rosal", así como también la enfermedad perianal. Mientras que en el caso de la CU es frecuente, desde el punto de vista radiológico, el aspecto granular en fases iniciales y las úlce ras en "T" o en "botón de camisa", dándose con mayor frecuencia complicaciones tales como la dilatación tóxica y la posibilidad de la degeneración neoplásica. Por otra parte la CU es susceptible de tratamiento quirúrgico que puede resultar curativo.
CONCLUSIONES
En conjunto, hay que consignar que en la fase inicial el diagnóstico de la EII radica todavía en la colonoscopia, ileoscopia y en el estudio baritado convencional: el tránsito digestivo o bien la enteroclisis. La TC y la RM son útiles, pero más en las fases avanzadas, donde valoran no sólo la lesión intestinal, sino también la patología extraluminal: los abscesos, la proliferización fibroadiposa, el aumento de la vascularización de los vasa recta y la presencia de adenopatías mesentéricas. La TC y la RM presentan una serie de ventajas importantes: evalúan la extensión transmural del proceso, pueden definir qué es lo que ocurre más allá de una estenosis severa en contraposición a lo que ocurre con el estudio baritado, definen las complicaciones intraperitoneales extraintestinales, todo ello aportando una información tridimensional, y como son exploraciones que se realizan tras la administración de contraste endovenoso también añaden, por tanto, información de carácter vascular.
El papel del radiólogo es proporcionar datos objetivos que van a solventar los dilemas que tienen trascendencia desde el punto de vista terapéutico. La clasificación mostrada, según los hallazgos de imagen, posibilita la toma de decisiones terapéuticas y la comparación de resultados, tanto de los distintos protocolos de tratamiento como de los distintos equipos de investigación. Los subtipos reseñados (activo inflamatorio, fistulizante-perforante, fibroestenónico y reparativo regenerativo) no son compartimentos estanco, sino que en un mismo paciente pueden coincidir varios de ellos en una u otra situación. Por ello, la labor del radiólogo es reflejar en los informes los criterios semiológicos que posibiliten el establecimiento de uno u otro de estos subtipos. Nuestra misión es, por tanto, trascendente e importante.





























