Introducción
El tromboembolismo pulmonar (TEP) es una entidad que puede resultar difícil de diagnosticar clínicamente debido a que los síntomas y signos de los pacientes son generalmente inespecíficos. Sin embargo, su detección es importante, ya que es una patología con alta tasa de morbimortalidad1,2.
Clásicamente se han empleado para su diagnóstico la gammagrafía de ventilación-perfusión y la arteriografía pulmonar, aunque actualmente la técnica de imagen de elección en el protocolo diagnóstico del TEP es la angiografía por tomografía computarizada (angio-TC) pulmonar3.
Los avances técnicos que hicieron posible la realización de la angio-TC pulmonar se han aplicado también en los estudios torácicos de rutina, lo cual ha permitido un aumento en el hallazgo casual de TEP en exploraciones de TC realizadas con otros propósitos4-9.
Muchos de los pacientes en los que se diagnostica un TEP incidental tienen factores de riesgo para presentar una enfermedad tromboembólica (alteraciones de la coagulación, cirugía reciente, enfermedad neoplásica subyacente, tratamiento con fármacos protrombóticos, etc.)4-9.
Por todo ello el propósito de nuestro estudio fue la evaluación de los TEP detectados de forma casual en nuestro hospital, para analizar los factores de riesgo asociados, sus características clínicas y radiológicas y su evolución.
Material y métodos
Se llevó a cabo un estudio retrospectivo de 5.429 informes de TC torácicas con contraste intravenoso que se habían realizado en nuestro hospital durante un período de 19 meses, entre abril de 2005 y octubre de 2006, con el objetivo de identificar el número de TEP informados. Se excluyeron del estudio todas las angio-TC realizadas por sospecha clínica de TEP o por patología de la aorta torácica.
Los estudios estándar de tórax se hicieron empleando un equipo de TC helicoidal de una fila de detectores (Helicat II, Philips) o un TC multidetector (TCMD) (Somaton Sensation 10, Siemens Medical System). En el aparato de TC de una fila de detectores se realizaron cortes de 8,8 mm de grosor con un intervalo de 8 mm, un factor de paso de 1,5, 120 kVp, 120 mAs y rotación de 1 segundo. En el aparato multidetector se empleó una colimación de 3 mm, con rotación de 0,5 segundos y un avance de la mesa de 20,4 mm por rotación, 100 kVp y 100 mAs de referencia con modulación de dosis (Care Dose 4D, Siemens Medical Solutions). Las reconstrucciones en este aparato se realizaron con cortes de 7-8 mm de espesor para el diagnóstico inicial. En ambos casos los estudios se realizaron en dirección craneocaudal, desde el estrecho torácico superior hasta el diafragma y administrando 100 ml de contraste yodado a una velocidad de 2 ml/s, con un retraso de 30 segundos tras la administración del contraste.
Todas las imágenes obtenidas fueron valoradas en placas impresas y sólo las exploraciones realizadas en el TCMD se revisaron también en una estación de trabajo Wizard con software Syngo, tras la reconstrución de las imágenes con un grosor de 4 mm y un intervalo de 2 mm.
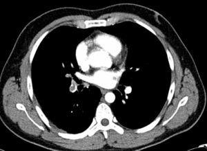
De esta forma se identificaron 18 pacientes con un diagnóstico radiológico de TEP (fig. 1) que no había sido sospechado en el examen clínico, lo que supone un 0,33% de los informes revisados. Los 18 estudios fueron evaluados por dos observadores que confirmaron el diagnóstico de TEP en todos los pacientes y valoraron su extensión.
Fig. 1. Corte de 8 mm de grosor de una tomografía computarizada torácica con contraste intravenoso a la altura de ambas arterias lobares inferiores: defecto de repleción en arterias del lóbulo inferior derecho y lóbulo medio.
En todos ellos se realizó un estudio retrospectivo de las historias clínicas, donde valoramos:
1. Si eran pacientes ingresados o ambulantes, el motivo de la solicitud de la TC y la existencia de factores de riesgo o enfermedades asociadas. Además, en los pacientes oncológicos se revisó el tipo de cáncer, el estadio tumoral y su tratamiento.
2. El tipo de TC donde se había hecho el estudio, el grosor de corte, la extensión del TEP y su existencia en estudios previos.
3. Los síntomas clínicos en relación con el TEP, si había enfermedad venosa asociada, si se trató el TEP tras ser informado y la evolución del paciente.
Resultados
Se identificaron 18 pacientes con signos sugestivos de TEP en la TC y sin sospecha clínica del mismo, con una edad media de 61 años (26-88 años). De ellos 9 eran mujeres y 9 varones, con una edad media de 54 y 69 años respectivamente.
Cinco de los pacientes estaban ingresados en el momento del diagnóstico y 13 (72,2%) eran ambulantes.
Analizamos qué proporción de pacientes con el diagnóstico de TEP representan este grupo de diagnósticos casuales, encontrando que durante ese mismo periodo se diagnosticaron en nuestro hospital un total de 138 TEP, por lo que los diagnosticados de forma casual representan un 13% del total.
Todos los pacientes tenían como mínimo un factor de riesgo para el desarrollo de una enfermedad tromboembólica: 16 pacientes (88,8%) tenían una enfermedad neoplásica de base (8 de ellos estaban en tratamiento quimioterápico o lo habían terminado durante los últimos tres meses), una enferma tomaba anticonceptivos orales y permanecía largo tiempo en reposo y otro presentaba hipertensión pulmonar y cardiopatía isquémica.
La indicación para la realización de la TC en los pacientes neoplásicos fue la estadificación inicial o el seguimiento de su enfermedad, mientras que en los pacientes sin cáncer la indicación fue en una de ellos el estudio de una neuropatía de miembros inferiores y en el otro un control de un aneurisma de aorta abdominal.
Entre los 16 pacientes con neoplasia había 5 de pulmón (31,2%), 3 de ovario, 2 uroteliales, 2 de próstata y un paciente cada uno con neoplasia gástrica, uterina, rectal, de mama y un linfoma no Hodgkin. Un paciente tenía una doble neoplasia prostática y de pulmón. En 12 casos (75%) presentaban un estadio avanzado de su enfermedad, 7 de ellos con enfermedad metastásica en el momento del diagnóstico del TEP.
La mitad de estos 16 pacientes habían llevado tratamiento con fármacos antineoplásicos de riesgo para generar trombosis durante los tres meses previos al desarrollo del TEP: en 5 pacientes (62,5%) se empleó un tratamiento con compuestos que contenían platino (4 de los pacientes estaban con tratamiento en curso en el momento de diagnosticarse el TEP y el tercero lo había terminado hacía dos meses), otros dos estaban en tratamiento con un agente antiangiogénico (Bevacizumab) y un paciente estaba siendo tratado con CPT-11. En dos de esos pacientes el recuento de plaquetas en el hemograma previo al inicio de la quimioterapia estaba por encima de lo normal, y en 4 más por encima de 250.000 plaquetas por mm3.
En 4 (22%) de los 18 pacientes con el diagnóstico de TEP incidental el estudio de imagen se había realizado en el aparato de TC de una fila de detectores y en los 14 restantes (77%) en el TCMD. En dos de los pacientes en los que se realizó el estudio en la TC de una fila de detectores se hizo una angio-TC para confirmar la sospecha del estudio convencional.
En los 18 estudios evaluados se confirmó el diagnóstico de TEP por ambos observadores. Ninguno de los pacientes presentaba signos de TEP crónico. En 13 de los 18 pacientes (72.2%) la afectación fue unilateral (en 7 derecha y en 6 izquierda) mientras que 5 tenían afectación pulmonar bilateral. Con respecto a la extensión del TEP 16 sujetos (88,8%) tenían una afectación central (afectación proximal que alcanza a las arterias pulmonares principales o las lobares) y dos presentaron sólo una distribución periférica (segmentaria). En estos dos últimos casos el estudio se había realizado en la TCMD. En ningún caso se diagnosticó afectación aislada de arterias subsegmentarias.
Al revisar las 18 historias clínicas se identificaron dos pacientes con TC torácicas previas en las que ya había imágenes sugestivas de TEP. Éstas habían pasado desapercibidas, y por tanto no fueron informadas. En esos casos el defecto de repleción se localizaba en una arteria pulmonar principal y una lobar, respectivamente.
Sólo 6 (33%) de los 18 pacientes con TEP presentaba síntomas clínicos relacionados con el mismo: tres referían disnea, dos dolor torácico y uno ambos síntomas.
En 9 pacientes no se detectó enfermedad venosa en miembros inferiores, en 4 no se estudió y en 5 se detectó trombosis venosa asociada: 4 presentaban trombosis venosa profunda en miembros inferiores (en tres casos unilateral y en uno bilateral) y en un paciente se diagnosticó trombosis de la vena mesentérica superior y de la vena renal izquierda en la TC toracoabdominal.
Una vez diagnosticado el TEP 12 pacientes (66,6%) recibieron tratamiento anticoagulante, mientras que 5 casos no se anticoagularon, si bien en tres de ellos se instauró profilaxis con heparina de bajo peso molecular. Un paciente se perdió durante el seguimiento, y este dato no se encontraba en la historia clínica.
Igualmente, la evolución faltaba en este último paciente reseñado. De los restantes 17 pacientes se realizó un seguimiento medio de 8 meses (entre 5 y 17 meses) desde el diagnóstico del TEP hasta su última visita en consulta o hasta el exitus. Cuatro pacientes (22,2%) fallecieron durante el seguimiento, en dos de ellos la causa del exitus estaba relacionada con el TEP. Los otros 13 presentaban buena evolución en relación con el TEP, y ninguno de los pacientes tratados sufrió una complicación hemorrágica.
En los 5 pacientes no tratados la evolución fue satisfactoria, con un seguimiento que osciló entre 5 y 12 meses. Contamos con controles de imagen en tres de ellos: en uno el defecto de repleción permanecía sin cambios, en otro había cambiado ligeramente de localización y el tercer paciente presentaba hemoptisis importante debida a una neoplasia de pulmón de reciente diagnóstico, en el que se había observado un trombo pequeño en la arteria interlobar derecha en la TC de estadificación. Tras ceder la hemoptisis se reevaluó con una angio-TC para decidir la necesidad de instaurar tratamiento anticoagulante, demostrándose que el trombo había desaparecido de su localización primitiva y sólo era evidente un defecto de repleción subsegmentario en una rama del segmento 6 derecho.
Discusión
El tromboembolismo pulmonar es el resultado de la obstrucción de la circulación arterial pulmonar por un émbolo procedente, en la mayoría de los casos, del sistema venoso profundo de las extremidades inferiores (grandes venas proximales) y con menor frecuencia de las pélvicas. Por ello, cada vez se tiende más a utilizar el término de enfermedad tromboembólica venosa (ETV), que engloba la trombosis venosa profunda y el TEP, su consecuencia más grave1,2.
El TEP es un problema de salud muy importante con una incidencia anual de hasta 60-70 casos/100.000 habitantes; alrededor de la mitad de esos pacientes desarrollan la ETV en el hospital, siendo una causa frecuente de muerte intrahospitalaria. Además, el TEP es de difícil diagnóstico, pues según algunas series autópsicas sólo el 30% de los TEP con un desenlace fatal se habían diagnosticado en vida1,2.
Las neoplasias y sus tratamientos específicos son uno de los principales factores de riesgo para tener una enfermedad tromboembólica. El riesgo absoluto va a depender del tipo de tumor, el estadio o la extensión del mismo y del tipo de tratamiento quimioterápico, siendo numerosos los fármacos antineoplásicos que se asocian a un mayor riesgo de trombosis1,2,10,11. Además, la edad, los antecedentes de cirugía y/o inmovilización previa y otras patologías asociadas también van a influir en la probabilidad de presentar complicaciones tromboembólicas, como ocurre en los pacientes no oncológicos1,2. Todos los pacientes de nuestro estudio presentaban algún factor de riesgo de tromboembolismo, siendo el más frecuente la enfermedad neoplásica. Éste es el principal antecedente que se describe en todos los estudios que analizan los factores de riesgo de TEP no sospechados detectados por TC4,5,7,8. De los pacientes oncológicos, la mitad estaban, o habían estado recientemente en tratamiento con fármacos con conocido potencial protrombótico, y el 75% de ellos se encontraba en un estadio avanzado de su enfermedad en el momento del diagnóstico del TEP. Ambos factores se han relacionado con un mayor riesgo de ETV en ese tipo de pacientes11,12. Aunque la mayoría de los pacientes que desarrollaron el TEP durante el tratamiento estaban recibiendo compuestos de platino, es destacable la existencia de dos sujetos en tratamiento con fármacos antiangiogénicos. La mayor difusión que en el futuro tendrán estos agentes antiangiogénicos, que poseen un demostrado potencial trombótico, probablemente de lugar a un incremento de fenómenos de ETV relacionados con ese grupo de fármacos13,14. Otro de los datos relacionados con un aumento de la incidencia de ETV en pacientes con cáncer es la existencia de unos niveles de plaquetas en sangre elevados, o en el rango alto de la normalidad antes del inicio de la quimioterapia11. De los pacientes que presentaron el TEP en el curso de la quimioterapia o después de la misma, la mayoría tenían valores de plaquetas por encima de 250.000 por mm3. Aunque el riesgo de TEP asociado a diferentes tipos de cáncer varía según las poblaciones estudiadas15, nuestros datos coinciden con los de otros autores, que señalan el de pulmón y los de origen ginecológico como unos de los más relacionados con ETV9,11.
En la literatura existen varios estudios4-9 que comunican un aumento progresivo en la detección del TEP incidental en la última década, generalmente relacionado con los avances técnicos que han permitido una mayor rapidez y mejor calidad de imagen en las TC realizadas, tanto mediante TC de una fila de detectores4-6 como con la TCMD7-9. No obstante, con esta última se diagnostican un mayor número de casos debido a una mejor visualización de los vasos pulmonares periféricos y una optimización del contraste. Además, los estudios realizados en TCMD evitan la necesidad de realizar otra prueba para confirmar el hallazgo. Nuestro estudio concuerda con estos datos, ya que en 14 de los 18 casos detectados la exploración se había realizado en la TCMD.
Aunque la incidencia de TEP detectados en las TC de rutina en nuestra serie retrospectiva es baja (de sólo el 0,33%) respecto a la de otras series, el número de TEP diagnosticados de forma casual representa sin embargo un porcentaje no despreciable (el 13%) de los diagnosticados en nuestro hospital.
Cuando revisamos las historias clínicas de los pacientes incluidos en nuestro estudio evaluamos también las imágenes de las TC torácicas previas. En la mayoría de los casos no se identificaron imágenes sugestivas de TEP. Sólo en dos pacientes había signos de TEP en una TC previa y no se había informado del mismo, siendo en ambos casos un trombo de localización central. Los dos trabajos que realizan una búsqueda activa retrospectiva de TEP en TC torácicas realizadas con otra finalidad encuentran tasas altas de TEP no diagnosticados en la lectura inicial de los estudios; así en el trabajo de Gladish9 de 16 casos sólo 4 habían sido diagnosticados inicialmente (el 25%), y en el de Engelke8 de 56 enfermos con TEP no sospechado clínicamente sólo 17 (el 31%) se habían diagnosticado en la primera lectura, siendo en ambos estudios la mayoría de los émbolos no detectados de localización periférica.
El TEP es difícil de diagnosticar clínicamente debido a que los síntomas y signos de los pacientes son con frecuencia inespecíficos1,2. Como la mayoría de los pacientes de nuestro estudio eran oncológicos en estadio avanzado, la clínica debida a su enfermedad probablemente contribuyó a que pasara desapercibida la relacionada directamente con el TEP. Cuando sí se pudieron diferenciar, los síntomas más frecuentes fueron la disnea y el dolor torácico.
Como se ha comentado anteriormente, la causa más frecuente del TEP son émbolos procedentes del sistema venoso profundo de los miembros inferiores, y en menor medida de las venas pélvicas. Aunque en el estudio de Gladish et al9 se demostró la presencia de una trombosis venosa profunda en el 60% de los pacientes con diagnóstico incidental de TEP, en nuestro trabajo, al igual que en el de otros autores4,7, esta cifra es menor, demostrándose sólo en el 27,7% (5 pacientes), si bien en 4 no se estudiaron los miembros inferiores en busca de trombos.
La bibliografía refiere que generalmente se suele pautar tratamiento anticoagulante tras un diagnóstico de TEP incidental o en TEP subsegmentarios aislados4,6,16 y nuestros datos concuerdan con esta afirmación, ya que se administró tratamiento anticoagulante en la mayoría de ellos (66,6%). Sin embargo, en 5 casos el médico receptor del informe decidió no tratar embolismos pulmonares de pequeño tamaño, asintomáticos, con ausencia de enfermedad trombótica de miembros inferiores y con patología neoplásica asociada. La evolución clínica y radiológica de estos enfermos ha sido buena, incluso con desaparición del trombo detectado en uno de ellos. Es difícil extraer conclusiones de la literatura que permitan asegurar en qué pacientes este manejo es seguro16,17, y parece necesario establecer un seguimiento más prolongado de los mismos. La profilaxis antitrombótica, empleada en la mayoría de ellos, puede ser un paso intermedio entre la ausencia de tratamiento y la anticoagulación en pacientes sin síntomas ni enfermedad venosa y con una adecuada reserva cardiopulmonar.
La mortalidad atribuible al TEP fue de dos enfermos y ocurrió en pacientes mayores con neoplasia avanzada. Otros dos pacientes fallecieron en la evolución, pero la causa del exitus no estuvo relacionada directamente con el TEP, sino que se consideró que era debida a la progresión neoplásica. Sin embargo, la evolución en el resto de pacientes fue satisfactoria sin eventos tromboembólicos en los tratados y sin tratar, y sin complicaciones hemorrágicas. Esta evolución tan dispar nos obliga a considerar el diagnóstico casual de TEP como un problema potencialmente grave, pero al mismo tiempo, en determinados pacientes, como un hallazgo radiológico que puede no condicionar necesariamente el pronóstico del paciente.
Existen varias limitaciones en nuestro trabajo. El criterio de inclusión de los pacientes fue tener un informe con el diagnóstico de TEP incidental, por lo que no se revisó el resto de las TC torácicas sin este diagnóstico que habían sido realizadas durante el periodo del estudio. Además, durante el periodo revisado en el aparato de TCMD no se realizaron de forma rutinaria reconstrucciones finas, ya que la mayoría de los diagnósticos se evaluaron sobre placas impresas. Es probable que hayan pasado desapercibidos un alto número de pacientes que sí mostrarán TEP en sus estudios, tal y como encuentran otros autores en el análisis retrospectivo dirigido de las imágenes de TC torácica de sus pacientes8,9. Aunque los pacientes oncológicos tienen más riesgo de presentar una enfermedad tromboembólica debido al propio tumor y a los fármacos antineoplásicos, un alto porcentaje de éstos dentro de nuestro trabajo está probablemente sesgado por el alto número de estudios que se les realiza a lo largo de su evolución.
Conclusiones
El hallazgo casual de un TEP no sospechado clínicamente puede ser frecuente en pacientes oncológicos y en el curso de ciertos tratamientos quimioterápicos, lo cual puede dificultar su diagnóstico clínico. Por tanto, deben evaluarse cuidadosamente de forma rutinaria todas las imágenes con contraste de los estudios de tórax, especialmente en esos pacientes, e independientemente de la técnica utilizada, en busca de signos de TEP.
Probablemente la TCMD tiene una mayor capacidad de detección de TEP de forma casual.
La evolución de estos TEP puede ser muy variable, desde causar la muerte hasta permanecer estables o resolverse sin tratamiento.





