Introducción
La valoración de las arterias renales es un factor clave en el estudio del paciente con patología nefrológica. En personas aquejadas de hipertensión, la etiología vascular aparece en menos del 5% de los afectados; sin embargo, su identificación es importante dado su potencial tratamiento1-3. Similar criterio es aplicable en pacientes que padezcan un deterioro progresivo de la función renal3, sobre todo si son portadores de un trasplante.
Aunque la causa más común de patología de la arteria renal es la relacionada con el desarrollo de estenosis de etiología ateromatosa, hay también enfermedades infrecuentes capaces de provocar afectación a este nivel y que deber ser consideradas sobre todo en aquellos enfermos de menos edad2.
La evaluación mediante técnicas de imagen de la anatomía vascular y de su patología se ha basado clásicamente en la arteriografía con sustracción digital (ASD). Pese a seguir siendo considerada como patrón oro, la ASD no es una técnica exenta de riesgos y complicaciones debido a su carácter invasivo3,4. Es por ello por lo que se han intentado desarrollar técnicas menos agresivas y con suficiente grado de fiabilidad como para resultar aceptables en la valoración inicial de estos pacientes. La ecografía Doppler, realizada por manos expertas, es una técnica útil en la evaluación del paciente nefrológico. Sin embargo, y aun con las limitaciones derivadas de su menor disponibilidad, la resonancia magnética (RM) se ha ido implantando como técnica de chequeo previo a la ASD, al demostrar su potencialidad en la evaluación de estructuras vasculares de diversos territorios5.
El actual desarrollo de los equipos de tomografía computarizada multicorte (TCMC) está relanzando esta modalidad de imagen en el ámbito del diagnóstico vascular. Los nuevos equipos dotados de múltiples detectores proporcionan un notable incremento de resolución en el eje longitudinal z6, permiten la obtención de un elevado volumen de imágenes de naturaleza cuasi-isotrópica en cortos períodos de tiempo y posibilitan las reconstrucciones multiplanares de calidad2,7-9. Además, la brevedad de las exploraciones disminuye la posibilidad de aparición de artefactos motivados por movimientos del paciente, así como las dosis de contraste yodado a administrar8,10. Todas estas razones están haciendo de la TCMC una técnica alternativa aplicable al estudio vascular10,11, especialmente en la valoración de la aorta y de sus ramas principales7.
Determinar la precisión de la TCMC en el diagnóstico vascular resulta, por tanto, de gran interés. Presentamos nuestra experiencia en el estudio de un grupo de pacientes con nefropatía, en los que se detectó patología vascular renal en TCMC que posteriormente fue contrastada con la práctica de ASD.
Pacientes y métodos
En un período de 24 meses (de enero de 2005 a diciembre de 2006) practicamos 290 exploraciones sucesivas de TCMC a pacientes aquejados de patología nefrológica, con objeto de conocer el estado de sus arterias renales. Estas exploraciones motivaron la posterior realización de 30 procedimientos de ASD para ratificar la etiología vascular como causa de la enfermedad y, en su caso, como paso previo a la realización de un procedimiento percutáneo terapéutico. Nuestro estudio retrospectivo para evaluar la fiabilidad de la TCMC en el diagnóstico vascular se ha centrado en estos 30 pacientes. Se trataba de 18 hombres y 12 mujeres, con una media de edad de 62,7 años (rango: 37-80 años). Diecinueve pacientes presentaban hipertensión arterial (HTA), 8 insuficiencia renal crónica (IRC) y 3 mostraban tanto HTA como IRC. De los 8 pacientes con IRC, 2 eran portadores de un injerto renal. La demora media entre la realización del TCMC y la ASD fue de 84,6 días (rango: 11-293 días).
Previamente a la realización de todos los procedimientos los pacientes fueron debidamente informados, aceptaron voluntariamente someterse a los mismos y se obtuvo su consentimiento informado. Además, en la realización de este estudio se han respetado las normas éticas del Comité de Ética e Investigación Clínica de nuestro hospital, así como de la Declaración de Helsinki de 1975 con la revisión de 2000.
Aspectos técnicos de la tomografía computarizada multicorte
Los 290 estudios de TCMC se realizaron en un equipo dotado de 10 detectores Somatom Sensation 10 de Siemens, y para la adquisición de las imágenes se emplearon los parámetros descritos en la tabla 1. La exploración tomográfica abarcó las áreas abdominal y pélvica hasta la sínfisis del pubis. La inclusión de esta zona en la exploración permitía conocer el estado de las arterias ilíacas y femorales comunes, lo que resultó de utilidad cuando se requirió de la realización posterior de una ASD. Para conseguir el adecuado teñido de las arterias renales se empleó la técnica de embolada de prueba o bolus tracking. El cursor para la determinación de los valores de densidad se ubicó en la aorta, al nivel de duodécima vértebra dorsal o de la cuarta vértebra lumbar en los pacientes portadores de injerto renal pélvico. El umbral de inicio de la exploración fue de 120 UH. La inyección de contraste se realizó con una bomba de infusión, a través del acceso venoso de la región antecubital. Se administraron 80 ml de contraste no iónico (300 mg de yodo/ml) con un flujo de inyección de 5 ml/s, y un bolo final de 20 ml de suero fisiológico.
Además de las reconstrucciones axiales convencionales, en todos los pacientes se realizaron reconstrucciones multiplanares (MPR), proyecciones de máxima intensidad de señal (MIP) y reconstrucciones volumétricas o volume rendering (VR). Estas imágenes se obtuvieron en diferentes planos espaciales y con distintos espesores de reconstrucción. Las MPR se realizaron con espesores de reconstrucción de 1 mm, y las MIP de entre 5 y 10 mm, según los casos. Las reconstrucciones VR abarcaron rangos de entre 5 y 30 mm de espesor de corte. Dichas proyecciones se realizaron aplicando segmentación ósea no automática cuando fue requerido, y respetando los parámetros estándar de reconstrucción suministrados en el equipo de TCMC. En este trabajo de posproceso se empleó el software de reconstrucción A 70 A en 229 exploraciones y syngo CT 2006 G en 61 ocasiones.
Cuando se detectaron estenosis hemodinámicamente significativas u otro tipo de patología de las arterias renales se sugirió la necesidad de realizar una ASD.
Aspectos técnicos de la arteriografía con sustracción digital
Las 30 ASD se realizaron con un arco para arteriografía ARC-600 aplicado a un sistema de imagen digital S&S Inficom FC2000MP. En primer lugar se practicó un estudio arteriográfico aórtico. El abordaje arterial se realizó a través de la vía femoral derecha en 28 pacientes, de la izquierda en un caso y de la braquial derecha en un paciente que presentaba severas estenosis de ejes ilíacos. A través del acceso arterial se ubicaba un catéter de tipo pig-tail de 4 o 5 French al nivel de la primera vértebra lumbar, y se realizaba una ASD de la aorta abdominal mediante la administración de 45 ml de contraste yodado no iónico (300 mg de yodo/ml) a flujo de 15 ml/s. En aquellos pacientes en los que se detectó patología arterial renal se practicaron estudios selectivos de los vasos patológicos, siempre y cuando el calibre de los mismos permitiera su abordaje. Para la realización de estos procedimientos se emplearon catéteres de tipo Renal o Sos Omni Selective de 4 o 5 French. Se realizaron series posteroanteriores y oblicuas que permitieron la correcta evaluación de las posibles estenosis renales. En estas series se administraban 8 ml de contraste a 4 ml/s.
Finalmente, en aquellos pacientes en los que se confirmó la existencia de estenosis potencialmente tratables se realizaron procedimientos de angioplastia (APT) o colocación de endoprótesis.
Criterios de valoración vascular
La evaluación del estado de las arterias renales incluyó tanto los vasos renales principales como las arterias accesorias o polares. En total se estudiaron 71 arterias renales: 56 principales y 15 accesorias (13 izquierdas).
Para la determinación del grado de estenosis arterial, tanto en TCMC como en ASD se estableció la razón entre el diámetro interno del punto más angosto y el de la zona más próxima de arteria sana, según la ecuación4:
Grado de estenosis (%) = (1 - [diámetro de la estenosis/diámetro de la arteria sana]) ´ 100
Se evitó realizar mediciones en las zonas de dilatación posestenótica. En función del grado de estenosis los vasos renales se clasificaron en12:
1. Grado 0: arteria renal normal.
2. Grado I: estenosis inferior al 50%.
3. Grado II: estenosis igual o superior al 50%, pero inferior al 70%.
4. Grado III: estenosis severa preoclusiva, mayor del 70%.
5. Grado IV: oclusión de la arteria renal.
Las estenosis de grado II se consideraron hemodinámicamente significativas1 (fig. 1). La presencia de dilatación arterial posestenótica, la disminución del tamaño renal, el adelgazamiento de la cortical renal y el nefrograma retrasado y persistente fueron interpretados también como signos indirectos relacionados con la presencia de patología vascular2,9.
Fig. 1. (A) Reconstrucción de tipo máxima intensidad de señal (MIP) coronal en la que se muestran sendas estenosis de grado II en los ostia de las arterias renales principales. Hay calcificaciones profusas, pero que no impiden la correcta evaluación, y una dilatación posestenótica en la arteria derecha. En el lado izquierdo se identifica también un vaso accesorio de características normales. (B) Angiografía con sustracción digital (ASD) en la que se corroboran los hallazgos de la tomografía computarizada multicorte con estenosis en los vasos arteriales. (C) Estenosis de grado III en el ostium de la arteria renal izquierda; MIP coronal. (D) Detalle de la estenosis arterial de alto grado, preoclusiva, en la ASD.
También se valoraron signos sugestivos de enfermedad de tipo displasia fibromuscular, tales como la presencia de arterias renales con estenosis y dilataciones alternantes (fig. 2). Otros tipos de patología con repercusión vascular fueron también tenidos en consideración. Hubo que valorar en este contexto posibles estenosis posquirúgicas en los dos pacientes portadores de trasplante, y también se consideró la hipotética presencia de disecciones arteriales espontáneas. Las displasias fibromusculares y las disecciones espontáneas se valoraron al menos como estenosis de grado II. Las estenosis posquirúgicas se valoraron de forma similar a las de etiología ateromatosa.
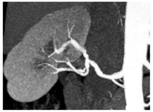
Fig. 2. Proyección coronal de tipo máxima intensidad de señal de riñón y arteria renal derecha. Se aprecian las típicas dilataciones y estenosis en "collar de cuentas" de la displasia fibromuscular.
Todas las exploraciones de TCMC y ASD fueron realizadas y evaluadas por dos radiólogos dedicados al diagnóstico vascular. Las ASD se realizaron con conocimiento de los resultados de la TCMC. En todos los casos se realizó doble lectura y se estableció consenso en caso de discrepancia.
Análisis estadístico
Con los resultados de estenosis obtenidos con TCMC y ASD, categorizados en los 5 grados descritos con anterioridad, se calculó el índice de concordancia para uso descriptivo, y con objeto de valorar el acuerdo sin intervención del azar se estimó el índice kappa (k) y su intervalo de confianza al 95%: sin acuerdo (£ 0), insignificante (0,01-0,20), baja (0,21-0,40), moderada (0,41-0,60), buena (0,61-0,80) y muy buena (0,81-1,00). Por otro lado, con el fin de calcular la sensibilidad, la especificidad, los pacientes correctamente diagnosticados o la exactitud, el valor predictivo positivo (VPP) y el negativo (VPN), y los cocientes de probabilidad positivos (CPP) y negativos (CPN), así como el intervalo de confianza al 95% de todos ellos, se consideraron como verdaderos negativos (VN) aquellos casos valorados como grado 0 y I en TCMC y en ASD, y como verdaderos positivos (VP) los casos valorados en ambas como grado II o superior. Los casos valorados como grado II o superior en TCMC, y que en ASD resultaron grado 0 o I, se consideraron falsos positivos (FP). Finalmente, los casos valorados como grado 0 o I en TCMC y que resultaron en ASD estenosis de grado II o superior se consideraron falsos negativos (FN).
Resultados
Todas las exploraciones de TCMC se consideraron adecuadas para realizar una valoración arterial óptima, salvo en un caso que requirió de una segunda prueba debido a un error técnico. Se trataba de un paciente portador de un injerto renal en la pelvis, en el que en un primer estudio no se ubicó correctamente el cursor de detección de embolada de la prueba al nivel de bifurcación aórtica.
En las TCMC se determinó la presencia de 19 arterias renales normales, 15 estenosis de grado I, 25 estenosis grado II, 10 estenosis de grado III y dos oclusiones arteriales. Los resultados del diagnóstico realizado con la TCMC en relación con la ASD se exponen en la tabla 2. En 56 ocasiones el diagnóstico conseguido con la TCMC fue igual al de la ASD, con una concordancia del 78,8%; k = 0,72 (IC 95%: 0,59-0,84). Es de destacar que todas las estenosis de grado III fueron detectadas con TCMC, y que en 9 de los 10 casos (90%) en que se sugirió esta posibilidad, el diagnóstico fue certero. Por otro lado, la TCMC sobrevaloró estenosis en 13 ocasiones (18,3%).
En TCMC se detectaron signos de displasia fibromuscular en tres arterias renales, y fueron clasificadas como estenosis de grado II. Estos hallazgos fueron corroborados tras la realización de la ASD. De los dos pacientes portadores de sendos injertos renales, en uno se diagnosticó correctamente una estenosis de grado III en la anastomosis quirúrgica de la arteria del injerto (fig. 3). En el otro paciente, la arteria del injerto presentaba un aspecto filiforme, en el límite de resolución de la TCMC. Se decidió, por tanto, cotejar su evaluación con la práctica de una ASD en la que se descartó de forma tajante una estenosis significativa potencialmente tratable. También se diagnosticó en la TCMC una disección espontánea de arteria renal, pero sin embargo esta lesión no se confirmó en la ASD (fig. 4). En el resto de casos en los que se detectó patología arterial se consideró la causa ateromatosa como factor etiológico.
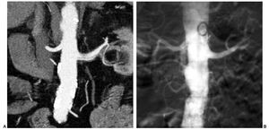
Fig. 3. (A) Reconstrucción oblicuo coronal de máxima intensidad de señal centrada en la anastomosis quirúrgica entre la arteria ilíaca y la arteria renal de un injerto renal a nivel pélvico. Estenosis grado III en la arteria del injerto (flecha). (B) Angiografía con sustracción digital (ASD) en la que se demuestra la estenosis preoclusiva en el punto de la anastomosis. (C) En la ASD de control, tras la realización de una APT con balón de 6-20 mm, se aprecia una mínima estenosis residual.
Fig. 4. (A) Reconstrucción coronal de máxima intensidad de señal en la que se identifica una imagen de doble pared en la vertiente inferior de la arteria renal principal izquierda, que sugiere una disección espontánea. (B) En la angiografía con sustracción digital se observa una arteria íntegra y de características normales, descartándose el diagnóstico inicial de disección. El hallazgo muy probablemente fue motivado por un artefacto de vigoroso pulso arterial.
En 13 pacientes se encontraron uno o varios signos indirectos de patología vascular renal, asociados a las estenosis arteriales detectadas en la TCMC. En 5 pacientes se encontraron dilataciones arteriales posestenóticas, en 7 disminución del tamaño renal, en un caso disminución del espesor de la cortical y en 4 retraso en la captación de contraste. En 11 pacientes (84,6%) se confirmó la patología vascular como responsable de la nefropatía, y en dos casos, ambos con disminución del tamaño renal, la posterior valoración angiográfica no determinó una estenosis arterial hemodinámicamente significativa.
En la evaluación vascular realizada con TCMC respecto de la ASD se obtuvieron los siguientes resultados: 28 VP, 33 VN, 9 FP y un FN. Los 9 FP correspondieron a una falsa disección espontánea y 8 estenosis de tipo ateromatoso, de las cuales 4 exhibían exuberantes placas lipídicas calcificadas y las otras 4 presentaron estenosis de grado I, pero próximas al 50%. En función de estos datos, los resultados obtenidos fueron: sensibilidad 96,6% (IC 95%: 80,4-99,8%), especificidad 78,6% (IC 95%: 62,8-89,2%), exactitud 85,9% (IC 95%: 75,2-92,7%), VPP 75,7% (IC 95%: 58,4-87,6%), VPN 97,1% (IC 95%: 82,9-99,9%), CPP 4,51 (IC 95%: 2,51-8,07%) y CPN 0,04 (IC 95%: 0,01-0,30%).
De los 30 pacientes a los que se practicó ASD, en 17 (56,6%) se realizaron además procedimientos terapéuticos percutáneos. Estos procedimientos se practicaron sobre 18 arterias y consistieron en: APT con balón de dilatación en 4 casos, colocación de endoprótesis en 11 y APT con posterior colocación de endoprótesis en otros tres casos. Estos procedimientos se practicaron en 8 arterias con estenosis de grado III, en 9 casos de estenosis grado II y en un caso de estenosis de grado I. Una arteria renal accesoria de pequeño calibre, pero con estenosis de grado III, no fue susceptible de recibir tratamiento.
Discusión
En los pacientes con patología renal, la posibilidad de que la misma sea debida a una alteración del flujo arterial no es elevada. Así, aparece en menos del 5% de los afectados por hipertensión arterial (HTA), y sin embargo su diagnóstico es importante, puesto que la causa vascular resulta potencialmente tratable y curable1-3. Aunque entre el 60-90% de las estenosis son de etiología ateromatosa y afectan a las proximidades del ostium arterial2,13, también hay otras patologías que asientan en las arterias renales. La displasia fibromuscular aparece en pacientes jóvenes con HTA, afecta a segmentos arteriales distales a los ostia, y la realización de una angioplastia con balón de dilatación puede resultar curativa4. Enfermedades sistémicas, tales como la neurofibromatosis y algunas vasculitis2, también pueden provocar un compromiso vascular renal, e incluso hay patologías agudas que pueden asentar sobre las arterias renales. Así, la aparición brusca de dolor en el flanco e HTA en un hombre joven, a veces asociado a hematuria, constituyen la presentación clínica típica de una disección espontánea de la arteria renal. Aunque este cuadro es infrecuente y su sintomatología puede resultar confusa, la ausencia de un tratamiento adecuado puede devenir en un infarto renal14. Finalmente, en pacientes trasplantados en los que el injerto renal esté desarrollando un deterioro progresivo de su función, la detección de una estenosis arterial potencialmente tratable con técnicas percutáneas es de importancia trascendental, pues permitirá recuperar el flujo vascular de dicho órgano10.
La ASD continúa considerándose como el patrón oro en la valoración vascular3,4,13. Sin embargo, debido al desarrollo de modalidades de imagen no invasivas, su uso va quedando reservado a la confirmación de un diagnóstico sugerido por otras técnicas o como paso previo de un procedimiento terapéutico. Aunque la ecografía Doppler se ha mostrado muy útil en la evaluación vascular renal, los métodos de imagen que parecen ofrecer los mejores resultados diagnósticos son la RM y la TC15.
La RM ha demostrado su eficacia en el ámbito vascular y el desarrollo de secuencias angiográficas 3D contrastadas con gadolinio ha incrementado mucho su potencial diagnóstico. Aunque la principal y más clara limitación de la RM viene derivada de su baja disponibilidad y alto coste5,10, la técnica angiográfica renal presenta otros inconvenientes que deben considerarse. Su incapacidad para la detección del grado de calcificación de las placas lipídicas puede tener una importancia relativa a la hora de planificar previamente un posible tratamiento percutáneo. Por otro lado, y pese a que el uso de los contrastes con base de gadolinio siempre se ha considerado seguro, estas moléculas presentan osmolaridad elevada y, por tanto, nefrotoxicidad, notablemente superior a igualdad de dosis que la demostrada por los contrastes yodados isoosmolares16. Dado que los estudios vasculares tienden a realizarse con dosis de contraste superiores a las convencionales, y que las exploraciones vasculares renales se practican en pacientes que presentan diferentes grados de alteración de la función renal, el cuidadoso manejo y la adecuada hidratación son de obligado cumplimiento para garantizar el uso fiable del gadolinio. De hecho, la posibilidad de que un paciente con insuficiencia renal previa desarrolle un fallo renal agudo tras la realización de un estudio angiográfico con RM es una complicación seria e infrecuente, pero constatada17,18. Por otro lado, el progresivo incremento en la aparición y comunicación de casos de fibrosis sistémica nefrogénica supone un factor más para cuidar escrupulosamente el manejo del paciente con una nefropatía. Esta patología, que se manifiesta en sujetos con función renal terminal y en hemodiálisis, parece estrechamente relacionada con la realización de una RM contrastada con gadodiamida y presenta en la actualidad un pronóstico incierto19.
El desarrollo de los nuevos equipos de TCMC, con elevada resolución espacial en el eje longitudinal z, han posibilitado un aumento muy sustancial en su capacidad de análisis tridimensional y multiplanar2,6-9. Con el progresivo incremento en el número de detectores se han ido disminuyendo los tiempos de exploración, las dosis de radiación y las de contraste a administrar, y además se ha mejorado la capacidad diagnóstica en estructuras vasculares de calibre progresivamente menor8,10.
La obtención de una buena exploración de TCMC requiere la adecuada sincronización entre el intervalo de obtención de la imagen y el momento de mayor concentración de contraste en el árbol vascular a estudio, lo que en nuestro equipo lo proporciona la técnica de embolada de prueba. Pese a que se han propuesto múltiples protocolos para el uso de medios de contraste con diferentes concentraciones de yodo y con distintos flujos de administración de los mismos, no se han encontrado claras ventajas con los medios más ricos en yodo a la hora de obtener un diagnóstico más certero20. En lo referente a los flujos de administración, volúmenes de entre 3 y 5 ml/s a través de un acceso venoso adecuado se consideran óptimos10. Nosotros hemos optado por usar 80 ml de contraste con concentración intermedia de yodo (300 mg/ml) inyectado a alto flujo (5 ml/s) en un intento de concentrar la mayor cantidad de contraste en el mínimo volumen intravascular y compensar de esta forma la relativamente baja dosis administrada. En nuestra experiencia, el empleo conjunto de una embolada de prueba e inyección de contraste a alto flujo ha permitido la obtención de exploraciones diagnósticas de calidad técnica óptima con dosis de contraste razonablemente bajas, lo que consideramos de especial interés en estos pacientes con función renal alterada.
Además de las imágenes axiales convencionales en TCMC se pueden generar reconstrucciones con diferentes espesores de corte y en distintos planos, útiles en diferentes aspectos de la evaluación vascular. Así, el MPR resulta muy adecuado para establecer el grado de las estenosis, sobre todo en vasos con afectación de alto grado y con placas profusamente calcificadas10,12. El MIP es muy útil en la valoración de arterias muy finas y los VR, pese a sobrevalorar las estenosis, son de interés a la hora de llevar a cabo una evaluación inicial del territorio a explorar que permita diseñar el mejor enfoque espacial de los estudios MIP o MPR10,21. Nosotros realizamos una evaluación conjunta de las diferentes modalidades de imagen obtenidas, lo que a nuestro juicio, y acorde con lo apuntado por otros autores, propicia una mayor exactitud diagnóstica en la determinación del grado de estenosis12,22. Por otro lado, la aparición de signos indirectos de repercusión hemodinámica probablemente también deba ser tenido en consideración. Aunque de aparición inconstante, en el 84,6% de ocasiones en que constatamos su presencia se relacionaron con una patología vascular significativa. El conjunto de imágenes generadas en el trabajo de posprocesado posibilita además la planificación de posteriores procedimientos terapéuticos, permitiendo de este modo seleccionar tanto los accesos vasculares más adecuados como las técnicas percutáneas más idóneas, bien sea la práctica de una APT o la colocación de una malla12. En este contexto, y pese a que la presencia de profusas calcificaciones murales disminuyen el rendimiento de la tomografía22, su detección y valoración mediante TCMC son también útiles en la planificación previa a la terapéutica10.
Nuestro estudio se ha realizado en una selección de 30 pacientes sobre un total de 290 individuos aquejados de nefropatía, en los que se determinó la etiología vascular de su padecimiento tras la práctica de una TCMC. Existe por tanto un sesgo provocado por el propio criterio de selección del grupo de pacientes que motiva una predecible elevada prevalencia de enfermedad vascular y que debe ser considerado a la hora de valorar los resultados obtenidos. Por otro lado, la elevada demora entre la realización de la TCMC y la ASD, apreciada en algunos casos, pueda quizá haber afectado a nuestros resultados en el sentido de penalizar la exactitud diagnóstica de la TCMC, dado que, en cualquier caso la tendencia de la enfermedad vascular se inclinaría hacia la progresión. Finalmente, y como factor también a tener en cuenta respecto de las limitaciones de nuestro estudio, creemos interesante apuntar el hecho, ya señalado por otros autores, de que quizá la ASD no constituya el patrón de referencia tan exacto como hasta ahora ha venido siendo considerado3.
En un riguroso y reciente estudio prospectivo multicéntrico sobre el valor de la angiografía por TC y RM se han comunicado unos valores de sensibilidad y especificidad para la tomografía del 64 y 92%, respectivamente3. En nuestro trabajo hemos obtenido unos valores de sensibilidad y especificidad de 96,6 y 78,6%, destacando la acusada diferencia en los valores de sensibilidad. Una de las causas de este hecho puede estar en la mayor prevalencia de la enfermedad observada en nuestra serie, un 40,9 frente a un 20%. Sin embargo, probablemente la razón más importante se deba a la baja proporción de exploraciones incluidas en el estudio, en las que la valoración arterial se realizó con TCMC. Esta conclusión también puede apoyarse en los resultados obtenidos por otros autores que han evaluado la patología arterial renal con TCMC, y que pese a presentar criterios de selección de pacientes diferentes a los nuestros aportan cifras de sensibilidad y especificidad del 100 y 97,3%, que estarían confirmando el gran progreso que ha supuesto la tecnología multicorte en el diagnóstico tomográfico vascular renal23. Dado que la consecución de una elevada sensibilidad es de radical importancia en una técnica con la que se pretenda realizar cribado13, parece por tanto que la TCMC puede ser de utilidad en este entorno. Además, es de reseñar que a mayor grado de estenosis, mayor es también la concordancia entre los resultados obtenidos con TCMC y ASD. En nuestra serie la concordancia entre TCMC y ASD en el diagnóstico de estenosis de grado III fue del 90%, de tal forma que todas las estenosis que requerían de un inminente tratamiento fueron correctamente identificadas. En este contexto cabe también destacar la utilidad demostrada por la TCMC en la valoración de las anastomosis vasculares de los injertos renales10, tal como pudimos comprobar en dos pacientes.
La relativamente baja especificidad de nuestra serie quizá se haya visto condicionada por el limitado número de pacientes derivado del criterio de inclusión en el estudio. De los 9 casos clasificados como FP, 4 ocurrieron en arterias con placas lipídicas con abundante presencia de calcio, lo cual corrobora la ya apuntada dificultad que entraña la valoración de las placas profusamente calcificadas. Otros 4 FP correspondieron a arterias con estenosis de grado I, pero próximas al 50%, lo que indica una cierta tendencia a la sobrevaloración que se hace especialmente patente en estas lesiones limítrofes. Finalmente, uno de los FP correspondió a una falsa disección. El origen de este diagnóstico erróneo pudo ser debido a un artefacto de movimiento motivado por el ciclo cardíaco y variaciones en el flujo arterial pulsátil, que, según se ha descrito, provocan movimientos en el tercio proximal de las arterias renales. Estos movimientos pueden mostrar una amplitud de desplazamiento craneocaudal de más de 2 mm, lo que es realmente significativo si se tiene en cuenta que las arterias renales principales miden unos 6 o 7 mm. Además, estos movimientos pulsátiles son más acusados en el lado izquierdo y en pacientes con HTA24. La importancia del conocimiento de este fenómeno radica en el hecho de evitar un falso diagnóstico de disección que pueda conducir a la adopción de actitudes terapéuticas urgentes innecesarias.
En conclusión, y pese a las limitaciones de nuestro estudio, creemos que la TCMC es una técnica sensible para diagnosticar estenosis vasculares hemodinámicamente significativas, y útil por tanto como técnica de cribado. Aunque presenta también una elevada especificidad, en nuestra experiencia hemos observado una cierta tendencia a la sobrevaloración de las estenosis. Finalmente, permite valorar las paredes arteriales, la presencia de calcificaciones y la anatomía vascular abdominal y pélvica, resultando de utilidad en la planificación de posibles procedimientos terapéuticos percutáneos.
Declaración de conflicto de intereses.
Declaro no tener ningún conflicto de intereses.
Correspondencia:
JOSÉ JAVIER ECHEVARRÍA.
Servicio de Radiodiagnóstico. Sección Vascular Intervencionista. Hospital de Galdakao-Usánsolo. Barrio Labeaga s/n. 48960 Galdakao. Vizcaya. España.
OSEJAVIER.ECHEVARRIAURAGA@osakidetza.net
Recibido: 28-III-2007
Aceptado: 3-VIII-2007










