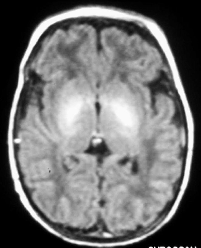
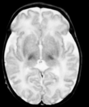
Fig. 1.Resonancia magnética.Secuencia T1 en plano axial. Hiperintensidad de señal que de forma simétrica afecta a núcleos palidales y subtalámicos.
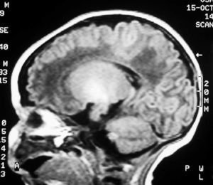
Fig. 2. Resonancia magnética. Secuencia T1 en plano sagital. Hiperintensidad de señal que de forma simétrica afecta a núcleos palidales y subtalámicos.
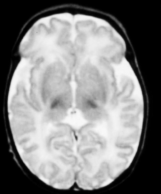
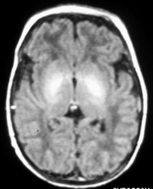
Fig. 3. Resonancia magnética.Secuencia T2 turbo en plano axial. Tenue hiperseñal al nivel de núcleos palidales de forma bilateral.
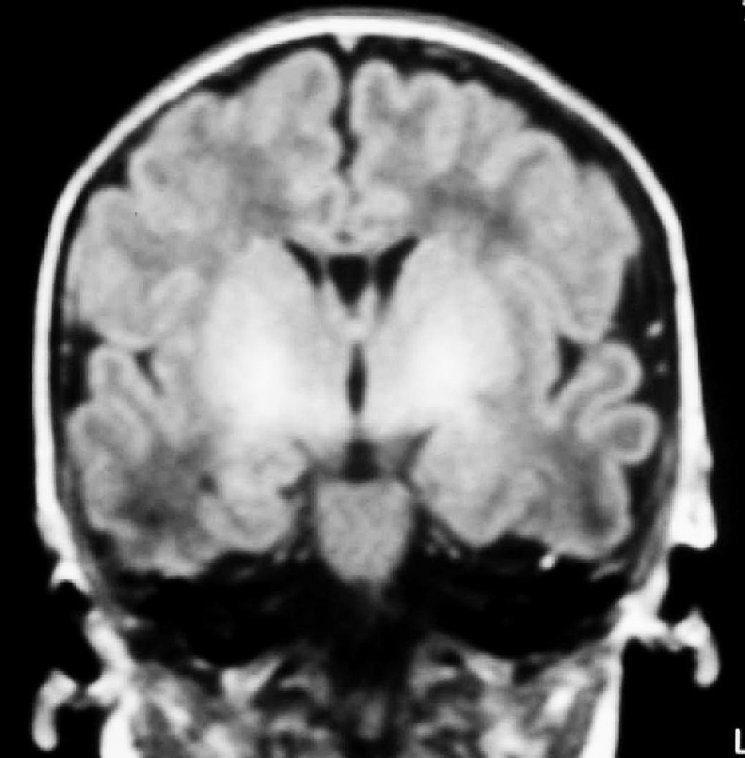
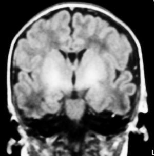
Fig. 4. Resonancia magnética. Secuencia FLAIR en plano coronal. Hiperintensidad de señal bilateral y simétrica localizada en globus pallidus.
Recién nacido varón de 4 días de edad, que ingresa en cuidados intensivos por ictericia.
Corresponde a un segundo embarazo, de 40 semanas de gestación, sin anomalías en su curso. El parto fue eutócico. El padre se encontraba afecto de anemia hemolítica por esferocitosis.
En la exploración física llama la atención una ictericia, así como una bilirrubina de 34 mg/dl (de predominio indirecto) y una microesferocitosis en las pruebas de laboratorio.
A las 48 horas de su ingreso presenta una crisis de hipertonía, motivo por el que se realiza una resonancia magnética.
Comentario en la página 525








