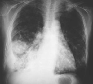
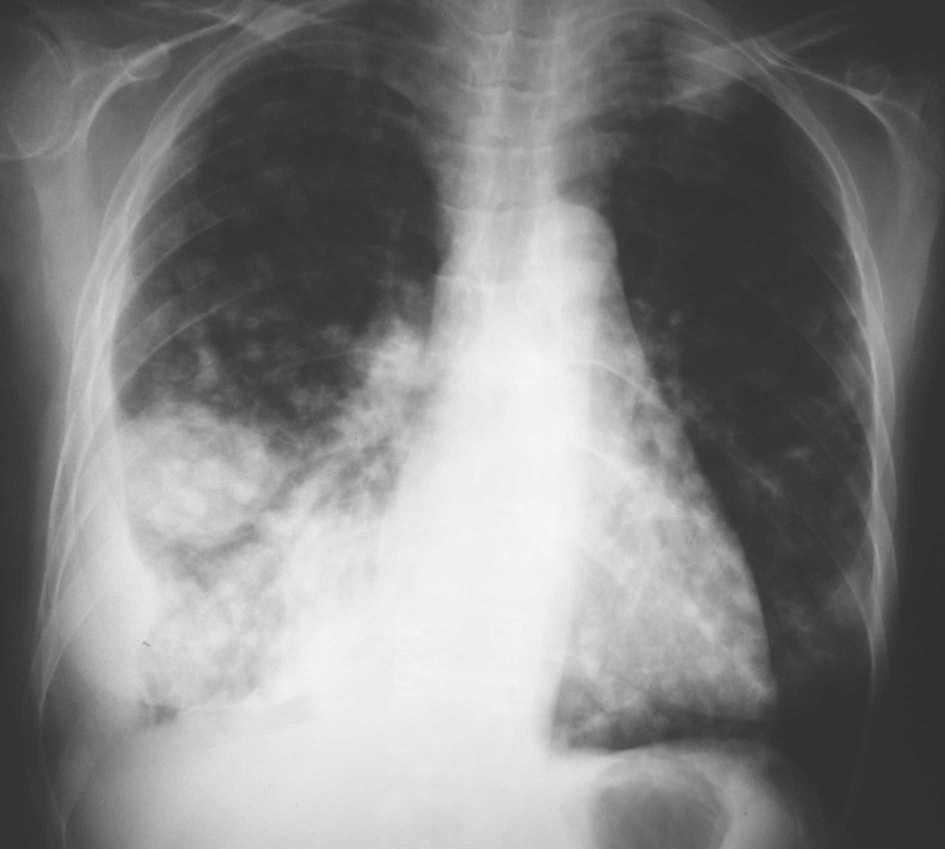
Fig. 1. Radiografía posteroanterior de tórax.
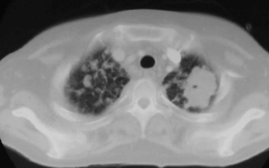
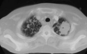
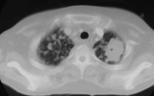
Fig. 2. Tomografía computarizada a la altura de los vértices pulmonares.
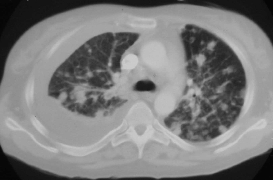
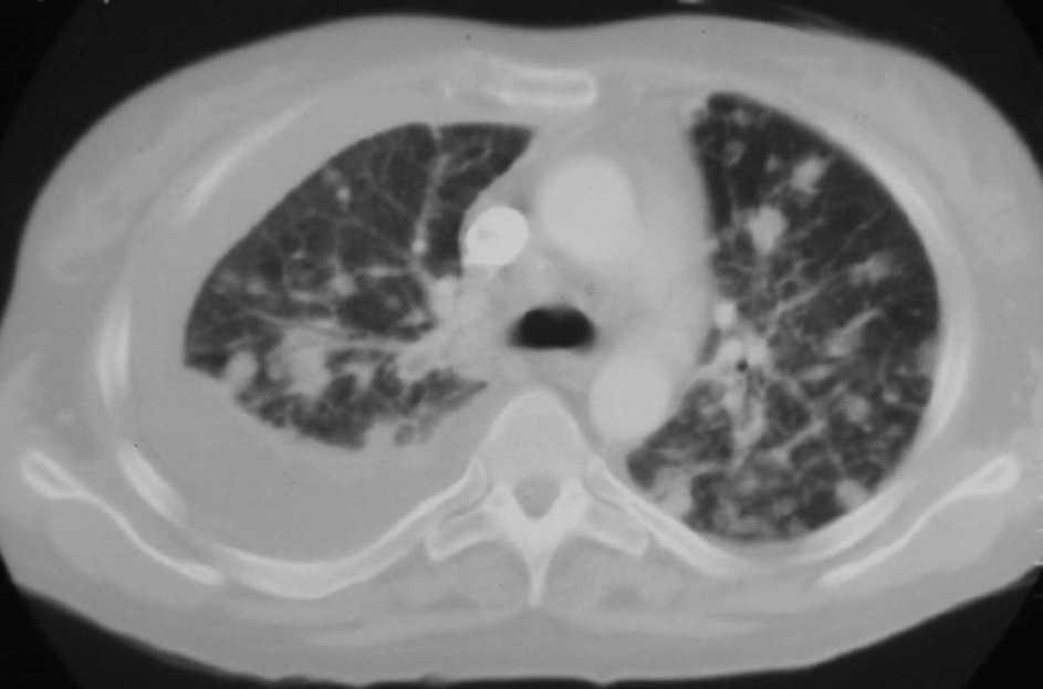
Fig. 3. Tomografía computarizada a la altura de la carina.
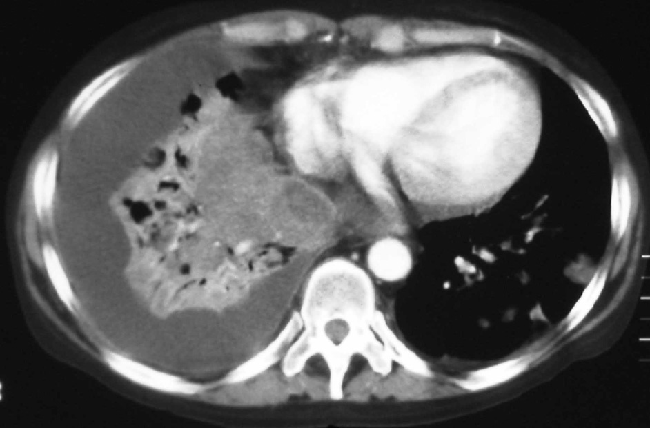
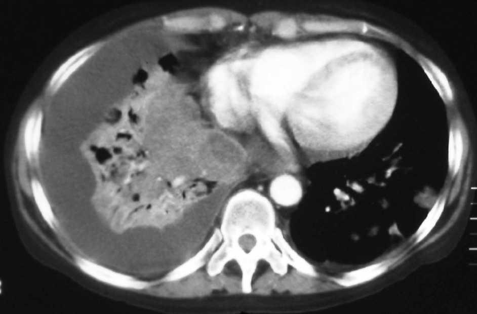
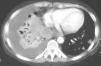
Fig. 4. Tomografía computarizada con contraste intravenoso a la altura de las bases pulmonares.
Mujer de 34 años de edad, con antecedentes de lupus eritematoso de complicado control que obliga a un tratamiento prolongado con dosis altas de corticoides. Presenta clínica de un mes de evolución de astenia, tos y febrícula con sudoración profusa en los últimos 10 días, que evoluciona con deterioro progresivo y disnea de reposo.








