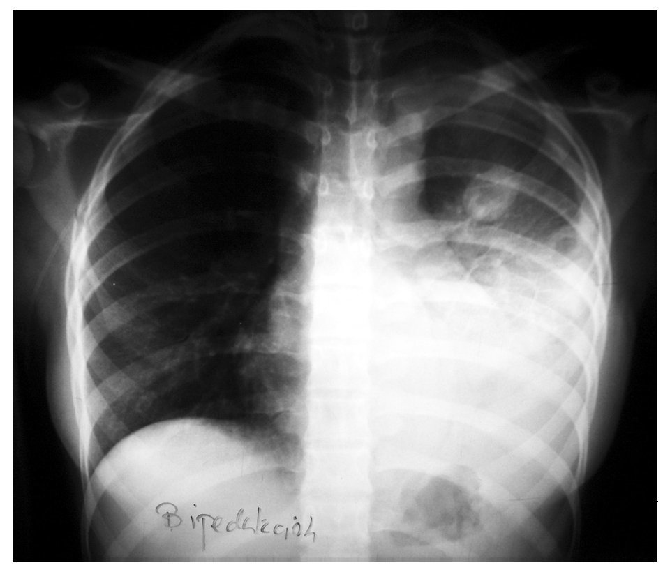
Fig. 1. Radiografía posteroanterior de tórax.
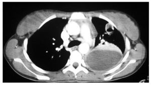
Fig. 2. Tomografía computarizada de tórax.
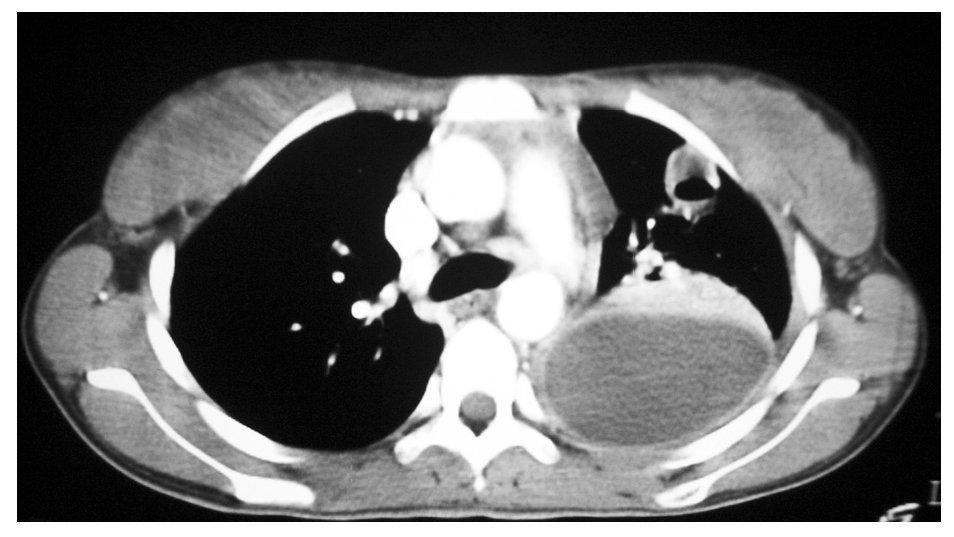
Fig. 3. Tomografía computarizada de tórax.
Fig. 4. Vena yugular interna. Ecografía cervical.
Paciente mujer de 13 años de edad remitida a la Unidad de Cuidados Intensivos Pediátrica de nuestro hospital desde otro centro por presentar, desde hacía 11 días, un proceso diagnosticado de neumonía y derrame pleural con mala evolución clínico-radiológica. En los días previos a su ingreso en el hospital de origen había presentado un cuadro de faringoamigdalitis aguda, con adenopatías submandibulares múltiples.
En la exploración física se objetivó afectación moderada del estado general, temperatura axilar de 38,5º y a la auscultación una hipoventilación en campos pulmonares medio e inferior izquierdos.
En el hemograma destacaba una leucocitosis de 14.900 con marcada neutrofilia (86,9%), moderada anemia normocrómica y trombocitosis reactiva de 625.000 plaquetas/µl. Se objetivó asimismo una velocidad de sedimentación globular de 106 mm/en la primera hora y una PCR de 12 mg/dl.
Se realizaron pruebas de imagen consistentes en radiografía simple de tórax y senos paranasales, tomografía computarizada de tórax, ecografía abdominal y ecografía doppler cervical.
Comentario en las páginas 522-3








