La incidencia de los tumores del saco lacrimal es muy baja. Describimos un caso de adenocarcinoma de células basales del saco lacrimal bien diferenciado, diagnosticado en un paciente con antecedentes de dacriocistitis crónica hacía años, que presentaba una tumoración en el canto interno orbitario derecho, observado en la exploración clínica y con técnicas de imagen.
La tomografía computarizada (TC) y la resonancia magnética (RM) permitieron determinar la localización y extensión de la lesión, pero no fueron suficientes para su diagnóstico definitivo, que se realizó anatomopatológicamente tras la extirpación de la misma.
PRESENTACION DEL CASO
Paciente varón de 70 años de edad con antecedentes personales de dacriocistitis crónica hacía 7 años, que fue tratado inicialmente con tratamiento conservador mediante la administración de antibióticos, antiinflamatorios y uso de lágrimas artificiales. Ante la ausencia de respuesta se decidió tratamiento quirúrgico en el que se extrajo un mucocele que obstruía el conducto lacrimonasal.
A los 7 años del primer episodio, consultó de nuevo en el servicio de oftalmología al notarse una tumoración indolora, de varias semanas de evolución, localizada en el canto interno de la órbita derecha, de aproximadamente unos 5 centímetros de diámetro máximo.
Con la exploración clínica se apreciaba dicha lesión como una masa de aspecto vascularizado, indurada, no dolorosa y adherida a planos profundos, sin otros hallazgos asociados.
Se le practicaron una rinoscopia anterior, una nasofibroscopia y una analítica ordinaria que se encontraban dentro de los límites de la normalidad.
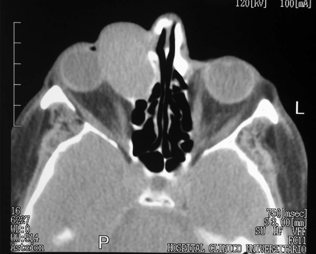
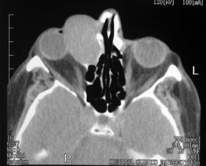
Se le realizó una TC orbitaria (figs. 1 y 2), sin administración de contraste intravenoso y se obtuvieron imágenes en los planos axial y coronal, con algoritmos de reconstrucción de partes blandas y de hueso. Se visualizaba la tumoración como una masa de partes blandas de densidad homogénea, morfología ovoidea, bordes bien definidos y contornos regulares, de 4 x 3 centímetros de diámetro anteroposterior y transversal respectivamente, localizada en el canto interno de la órbita derecha, que ocasionaba desplazamiento lateral del globo ocular y de la musculatura extrínseca ocular, con ensanchamiento del conducto lacrimonasal, que orientaba hacia un origen en el saco lacrimal. Se asociaba remodelación de las celdas etmoidales anteriores, sin evidenciarse signos de destrucción del hueso, ni afectación de estructuras vecinas.
Fig. 1.--Tomografía computarizada orbitaria, plano axial sin administración de contraste intravenoso. Se observa una masa de partes blandas bien definida, localizada en el canto interno de la órbita derecha, que produce el desplazamiento del globo ocular y musculatura extrínseca ocular y se asocia a ensanchamiento del conducto lacrimonasal.
Fig. 2.--Tomografía computarizada orbitaria, plano axial sin administración de contraste intravenoso. Corresponde a un plano más caudal que la figura 1, con algoritmo de reconstrucción de hueso, en la que se observa la masa descrita, adyacente a la pared medial de la órbita derecha, que produce remodelacón ósea de las celdas etmoidales anteriores vecinas, sin evidencia clara de destrucción del hueso. Conducto lacrimonasal izquierdo (flecha blanca).
Fig. 3.--Resonancia magnética realizada tras la resección parcial del tumor. Se muestra un plano axial, secuencia potenciada en T1 con saturación grasa y tras administración de contraste paramagnético. La tumoración de la órbita derecha muestra un realce intenso y homogéneo.
Fig. 4.--Resonancia magnética realizada tras la resección parcial del tumor. Corresponde a un plano coronal, potenciado en T2, en el que se pone de manifiesto la infiltración de la grasa orbitaria. Como hallazgo casual se observa una concha bullosa que se encuentra ocupada.
Se llevó a cabo una exéresis parcial de la lesión con fines diagnósticos y posteriormente se realizó una RM, que mostró (figs. 3 y 4) una mínima infiltración de la grasa orbitaria adyacente a la tumoración y descartó la afectación de la musculatura extrínseca ocular.
El estudio de extensión realizado mediante TC toraco-abdominal y rastreo óseo fue negativo para metástasis.
El paciente fue intervenido por segunda vez para realizar la exéresis total de la tumoración, mediante una rinotomía paralateronasal. Se decidió administrarle radioterapia tras el tratamiento quirúrgico dada la existencia de infiltración ósea y de la grasa orbitaria.
El estudio microscópico de la pieza mostró una neoformación que surgía a partir del epitelio prismático pseudoestratificado existente en el saco lacrimal y conducto nasolacrimal rodeada por material hialino (fig. 5). En la porción más periférica de la pieza quirúrgica se observó que infiltraba en múltiples puntos el tejido óseo esponjoso presente en esta localización.
Fig. 5.--Preparación histológica de la lesión, que muestra la tumoración que está formada por nidos sólidos rodeados por material hialino y que invaden al tejido óseo esponjoso.
Las características histopatológicas de la neoplasia descrita corresponden a un adenocarcinoma de células basales bien diferenciado.
DISCUSION
El adenocarcinoma de células basales del saco lacrimal es una entidad muy rara1,2. La incidencia en la serie de Chuo Ni et al de los tumores del saco lacrimal es de 1,2 casos cada 1.000 pacientes hospitalizados3, recogiendo en esta serie un total de 82 casos de tumores del saco lacrimal en el período de 1955-1980. En las grandes series de tumores del saco lacrimal como la de Stefanyszyn et al. que consta de 120 casos, sólo se describen 2 casos de adenocarcinoma de células basales4.
Puede aparecer entre los 16 y 89 años, siendo la media de edad en el momento de la presentación de 48 años, y no muestra predominio sexual.
Cursa de forma insidiosa, con signos y síntomas inespecíficos que recuerdan un cuadro de dacrioestenosis o una dacriocistitis. Pueden pasar meses e incluso años antes de llegar al diagnóstico de sospecha, debido a lo inespecífica que es la semiología. Muchas veces se descubren de forma inesperada en el momento de realizar una dacriocistorrinostomía por sospecha de dacrioestenosis.
La evolución normal de estos tumores es la siguiente: se inicia con epífora o lagrimeo, signo más frecuente, que aparece hasta en un 53% de los pacientes, de larga evolución. Suele seguirse de brotes recurrentes de dacriocistitis aguda, que posteriormente se transformará en una dacriocistitis crónica y desarrollo de una masa, que puede crecer rápidamente y al tacto ser dura. Finalmente, en algunos casos hay epistaxis, úlceras, abolición de la sensibilidad termoalgésica de la zona, adenopatías cervicales, preauriculares y submandibulares. También puede adherirse a estructuras de alrededor y crear fístulas o tractos fistulosos, proptosis y disminución de la movilidad ocular.
Cuando metastatizan suelen hacerlo a pulmón, hueso, ganglios linfáticos e intracranealmente.
Las pruebas de imagen que pueden ser utilizadas para el diagnóstico son: dacriocistografía (DCG), que detectará alteraciones más precoces que la TC; podremos ver distensión y falta de repleción del saco lacrimal y retraso en la eliminación del contraste, que en algunos casos puede persistir hasta 30 minutos tras la inyección. Puede ser la prueba más eficaz para diferenciar una dacriocistitis de una neoplasia5. La TC nos aportará más información sobre la extensión del tumor a fosa nasal, órbita, etc., así como sobre la afectación ósea, del saco lacrimal y de los senos paranasales4,5. La TC suele ser la técnica de imagen inicial y la técnica de elección para el seguimiento de estos pacientes5. La RM está indicada, fundamentalmente, para la valoración de la infiltración por contigüidad de las estructuras orbitarias.
Debido al comportamiento de estos tumores con respecto a los lugares donde metastatizan, las técnicas de imagen empleadas para el estudio de extensión incluyen: rastreo óseo, TC torácica y craneal.
Los procesos patológicos que se deben incluir en el diagnóstico diferencial son fundamentalmente los enumerados a continuación. El mucocele o piomucocele, se localiza más frecuentemente en las celdas etmoidales anteriores. Suelen ser pacientes con secreciones espesas. En la TC se visualiza la cavidad sinusal sin aire y expandida con densidad mucoide, homogénea. Las paredes del seno se deforman y pueden ser de grosor casi normal, adelgazadas o presentar erosiones parciales. En el caso del piomucocele se produce un realce lineal en el interior de la pared ósea del seno que corresponde a la mucosa inflamada5. El histiocitoma fibroso orbitario puede ser maligno o benigno. Los malignos producen erosión ósea. Los benignos ejercen un efecto masa que produce remodelación ósea. En la TC y la RM aparecen como masas intra o extraconales que captan contraste de forma moderada o intensa. El linfoma, junto con el anterior, suponen las variedades histológicas más frecuentes de los tumores mesenquimales en el saco lacrimal4. El 75% de los pacientes tienen o tendrán un linfoma sistémico5. Clínicamente cursa con proptosis indolora progresiva que se acompaña de alteraciones en la motilidad de la musculatura extraocular, alteraciones visuales y aumento de tamaño de la glándula lacrimal. Se suelen afectar varios senos. En la TC y la RM se comportan como masas homogéneas, con densidad relativamente alta y bordes nítidos. Se suelen localizar en la porción anterior de la órbita, área retrobulbar o compartimento orbitario superior. No producen erosión ósea, sino que se amoldan a las estructuras orbitarias. El plasmocitoma, cuyas manifestaciones clínicas son similares a los linfomas, se diferencia de ellos por los datos de laboratorio y de la histopatología. El melanoma nasosinusal se suele presentar fundamentalmente en la fosa nasal, donde surge sobre todo del tabique nasal5. En ocasiones, afecta a los senos paranasales, siendo el antro el que se afecta en un 80% de los pacientes, y en estos casos, se suele acompañar de una afectación en la cavidad nasal. Cursa con obstrucción nasal y epistaxis. Tienden a remodelar el hueso, aunque se pueden ver zonas de erosión ósea5. Captan contraste en la TC y en la RM. La dacriocistitis se caracteriza por una aparición abrupta de una masa de partes blandas, debajo del canto medial del ojo y con signos inflamatorios. Los pseudotumores granulomatosos se diferencian por la evolución clínica, respuesta a corticoterapia, pruebas de laboratorio y biopsia en un número limitado de casos. La sarcoidosis se caracteriza por ser una enfermedad sistémica, que se presenta en adultos menores de 40 años, existiendo una afectación pulmonar en la mayoría de los pacientes y que produce granulomas no caseificantes6. Y finalmente, se debe incluir en el diagnóstico diferencial el tumor de células gigantes o reparativo, que es una entidad de etiología incierta. Puede ser central, cuando afecta a la mandíbula, o maxilar, y más frecuentemente periférico, cuando afecta a las partes blandas intraorales. Ambos predominan en mujeres en la cuarta década de la vida. El periférico se asocia con traumatismo previo como una extracción dental o bien una mala fijación de la dentadura. La variedad central no presenta esta asociación y radiológicamente se ve como una masa que capta contraste y erosiona o deforma el hueso maxilar. En la RM esta entidad presenta una intensidad de señal intermedia en las imágenes potenciadas en T1 y T25.
Anatomopatológicamente los tumores del saco lacrimal se dividen en tumores epiteliales y no epiteliales; siendo más frecuentes los primeros, los cuales representan el 75% de todos los tumores del saco lacrimal7.
Las neoplasias epiteliales se subdividen a su vez, de acuerdo con la clasificación de Ryan y Font, en tumores benignos y malignos, siendo estos últimos los más frecuentes. Los tumores epiteliales benignos incluyen papilomas, oncocitomas y tumores mixtos benignos. Los tumores epiteliales malignos incluyen carcinomas epidermoides y transicionales, adenocarcinomas, adenocarcinomas oncocíticos, carcinomas quísticos mucoepidermoides y adenoides, carcinomas poco diferenciados y papilomas con carcinoma. El tipo histológico más frecuente de los tumores epiteliales malignos es el carcinoma epidermoide de células escamosas mal diferenciado.
Además, los carcinomas se pueden subdividir en tumores que aparecen de novo y aquellos que surgen a partir de un papiloma benigno.
El tratamiento de estos tumores se realiza con escisión del tumor y del sistema de drenaje asociando rinostomía lateral y radioterapia pre y postoperatoria con dosis entre 30 y 50 Grays. Ni et al demostraron una menor mortalidad en los pacientes a los que se les había practicado una rinostomía lateral en comparación con aquellos a los que no se les realizó4.
Tras el tratamiento puede aparecer una estenosis del conducto nasolacrimal postradioterapia. Esta complicación se puede prevenir con la colocación de tutores nasolacrimales8,9.
En términos generales, se calcula una supervivencia de los pacientes a los 5 años del 45%4,7. La supervivencia depende de los siguientes factores pronósticos: tipo histológico, márgenes quirúrgicos, tamaño tumoral y afectación ganglionar. El pronóstico es peor para aquellos pacientes con adenocarcinoma de células basales patrón cribiforme, márgenes quirúrgicos afectos, gran tamaño tumoral e infiltración ganglionar8,10,11.
En conclusión, podemos decir que el adenocarcinoma de células basales del saco lacrimal bien diferenciado es un tumor de curso insidioso y con semiología inespecífica, en el que las técnicas de imagen (TC y RM) ayudan en el diagnóstico, localización y extensión del tumor. Sin embargo, el diagnóstico definitivo es anatomopatológico.









