INTRODUCCIÓN
El cáncer de pulmón (CP) es el tipo de cáncer más frecuente y representa la primera causa de muerte por cáncer en los países desarrollados, tanto en hombres como en mujeres. En el momento del diagnóstico más del 40% de los pacientes tienen enfermedad localmente avanzada y en ese estadio las actuales posibilidades de curación son escasas1.
Dentro del cáncer de pulmón, debido a su diferente comportamiento biológico y características clínicas, existe un acuerdo unánime en considerar de forma separada al carcinoma de células pequeñas o microcítico (CPM) del resto de tipos histológicos, los cuales se agrupan bajo el epíteto de carcinoma de pulmón no microcítico (CPNM). Por ello, los sistemas de estadificación que se utilizan son diferentes.
Entre las distintas opciones terapéuticas que pueden ser aplicadas al paciente con CPNM, la resección quirúrgica es la única modalidad que puede ofrecer curación cuando la enfermedad está en un estadio precoz. En el momento del diagnóstico sólo el 25% de los pacientes son susceptibles de resección quirúrgica con intención curativa.
El objetivo actual de la cirugía es intervenir a los pacientes en los que se pueda llevar a cabo una resección oncológicamente radical, siempre que la situación clínica del paciente permita llevar a cabo dicha intervención. Las estrategias terapéuticas tienen una dependencia estrecha con la estadificación del tumor. La estadificación es la medida de la extensión del tumor que permite la agrupación racional de pacientes con una enfermedad similar de cara al pronóstico y con propósitos terapéuticos. En la fase prequirúrgica el estadio definirá qué pacientes pueden beneficiarse de la resección pulmonar. También ayuda a la selección de pacientes para programas de terapia de inducción. Si la estadificación pretratamiento se lleva a cabo correctamente, el índice de toracotomías exploradoras o resecciones incompletas no debe superar el 8-10%.
Actualmente, el sistema de estadificación vigente está basado en los criterios aceptados por la American Joint Comission on Cancer (AJCC) de la clasificación TNM y se aplica básicamente al CPNM2 que constituye el 80% de este tipo de neoplasias. En los casos de CPM con enfermedad muy localizada, en los que la cirugía puede considerarse como parte del tratamiento, también se puede aplicar este sistema de estadificación. El sistema TNM está basado en la determinación del tamaño, localización y extensión del tumor primario (T), la presencia y situación de las metástasis ganglionares (N) y la presencia o ausencia de metástasis a distancia (M) (tabla 1).
En términos generales, se consideran pacientes con enfermedad resecable aquellos que tienen un estadio clínico I o II y algunos pacientes con estadios IIIA; la mayoría de los pacientes con estadios IIIB y IV son tratados con radioterapia, quimioterapia o una combinación de ambos.
Hoy en día, la estadificación en el CP tiene dos vertientes, una anatómica, que viene representada principalmente por la tomografía computarizada (TC) y otra funcional cuyo máximo exponente es la tomografía por emisión de positrones (PET). El empleo sistemático de la TC se debe principalmente a la disponibilidad de la técnica y a que da información detallada tanto del tumor como de su extensión3.
ESTADIFICACIÓN-CLASIFICACIÓN TNM
El sistema de TNM tiene una base fundamentalmente quirúrgica, cuya última edición disponible es la de 1997.
Valoración del tumor
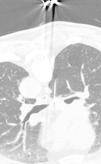
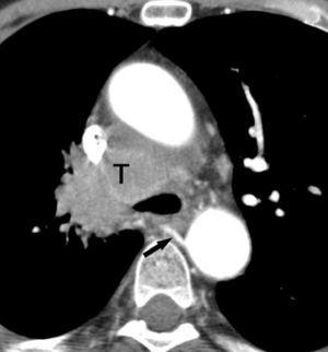
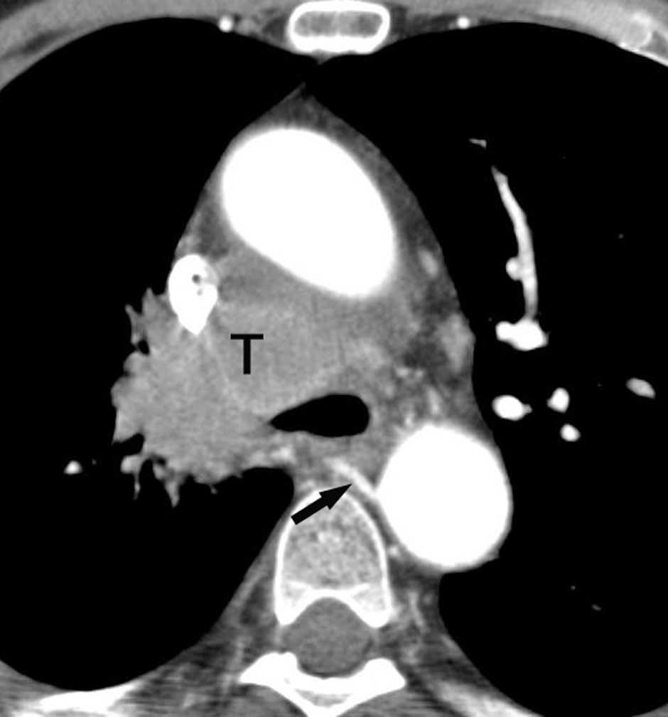
El estadio tumoral (T) se basa en el tamaño, localización y relación con las estructuras adyacentes valorado mediante TC. Los tumores T1 son aquellos de 3 cm o menores en su diámetro mayor, rodeados de pulmón y que no invaden la pleura visceral ni los bronquios principales, mientras que los T2 son lesiones mayores de 3 cm, o aquellas que invaden la pleura visceral o al bronquio principal a más de 2 cm de la carina o que condicionan atelectasia o neumonitis obstructiva que no afecte a todo el pulmón. La diferenciación entre ambos estadios tumorales suele ser sencilla mediante TC, salvo la afectación de la pleura visceral, aunque esta no tiene un impacto importante en el manejo clínico. El tumor T3 viene determinado por la infiltración de estructuras vecinas potencialmente resecables, como la pared torácica, diafragma, pleura mediastínica, pericardio parietal o si el tumor está situado a menos de 2 cm de la carina (fig. 1). Los tumores T4 son aquellos que no pueden ser resecados porque engloban a estructuras vitales, invaden el corazón, grandes vasos, esófago o cuerpos vertebrales (fig. 2) o en los que existe un nódulo o nódulos en el mismo lóbulo del tumor. Además de definir la T, es importante reflejar las particularidades de la infiltración de estructuras en vecindad que puedan modificar la actitud terapéutica. Por ejemplo, cambiará la estrategia quirúrgica según el tipo de bronquio afecto o la estructura mediastínica infiltrada, si es sólo la grasa, o un vaso; cuando existe neumonitis o atelectasia secundaria a un tumor central, la planificación del campo de radioterapia dependerá del límite entre la masa y la repercusión pulmonar.
Fig. 1.--T3. (A) Reconstrucción multiplanar (MPR) de tomografía computarizada (TC) torácica con contraste con ventana de pulmón. Atelectasia completa del lóbulo inferior derecho secundario a tumor endobronquial situado a menos de 2 cm de la carina (flecha hueca). (B) La misma reconstrucción con ventana de mediastino muestra el tumor (flechas) diferenciado de la atelectasia (asterisco). Derrame pleural (DP).
La diferenciación entre tumores T3 y T4 puede ser difícil empleando sólo técnicas de imagen. Cuando se evidencia destrucción ósea (costal o vertebral), existe masa en el espacio intercostal (fig. 3), o las estructuras mediastínicas están claramente englobadas por el tumor, el diagnóstico es obvio (fig. 2). Sin embargo, sin estos hallazgos, la predicción de invasión es mucho menos fiable. Se han descrito diferentes signos que pueden ayudar a determinar la invasión de pared torácica. Éstos incluyen el contacto con la superficie pleural mayor de 3 cm, el engrosamiento pleural, la ausencia de plano graso y la presencia de un ángulo obtuso entre el tumor y la pared torácica. Aplicando al menos dos de estos criterios la sensibilidad es de un 87%, sin embargo la especificidad es baja (59%)4. El dolor torácico localizado es un síntoma importante que a menudo está asociado a invasión de pared.
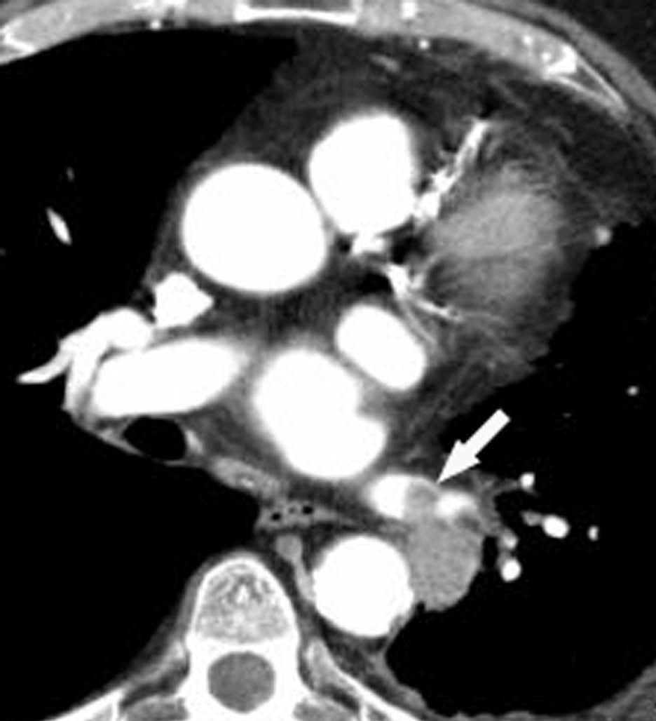
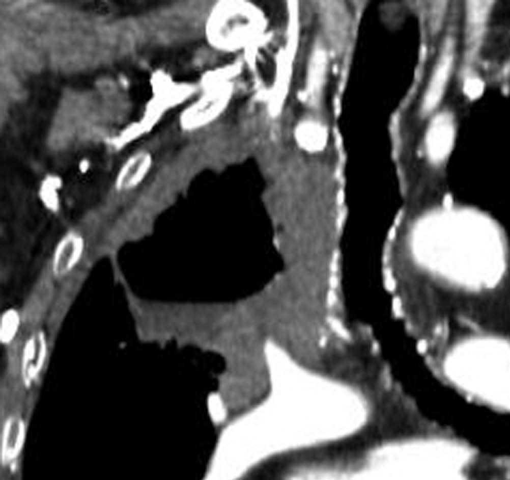
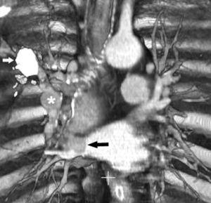
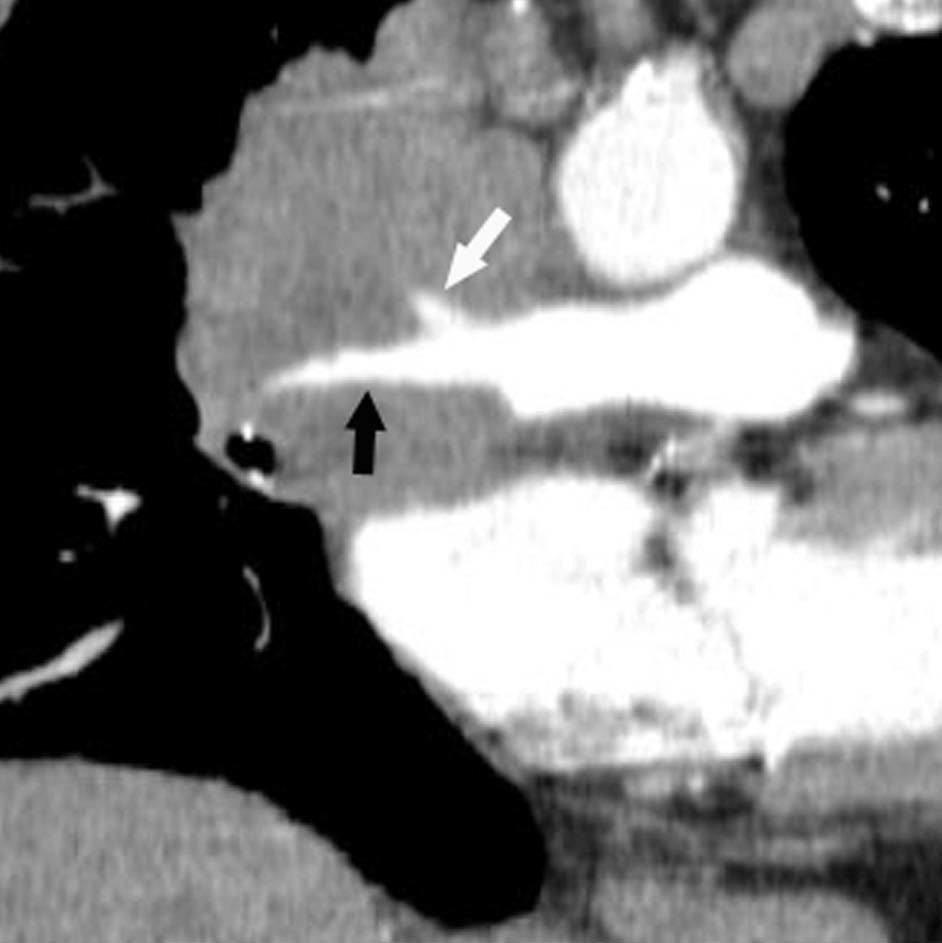
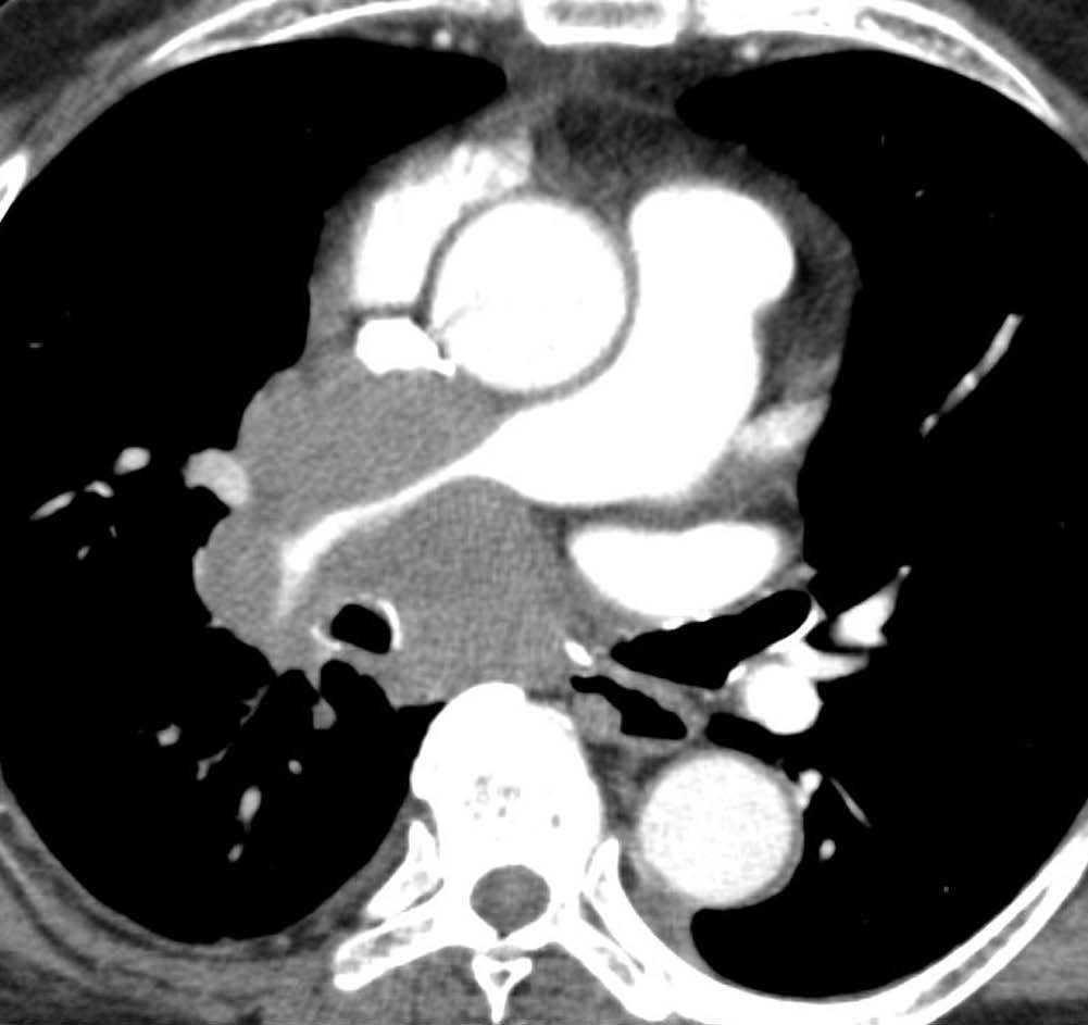
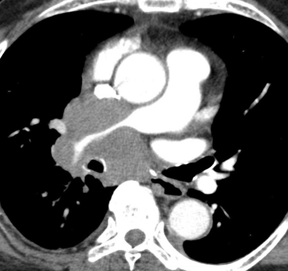
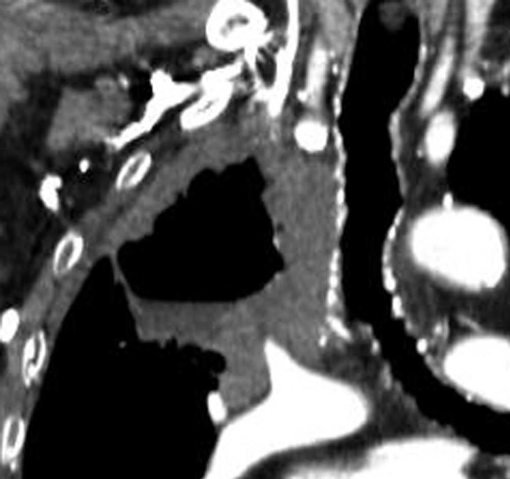
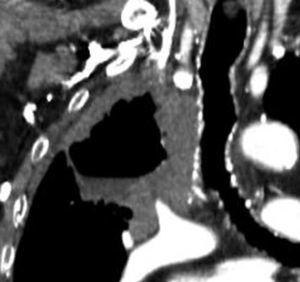
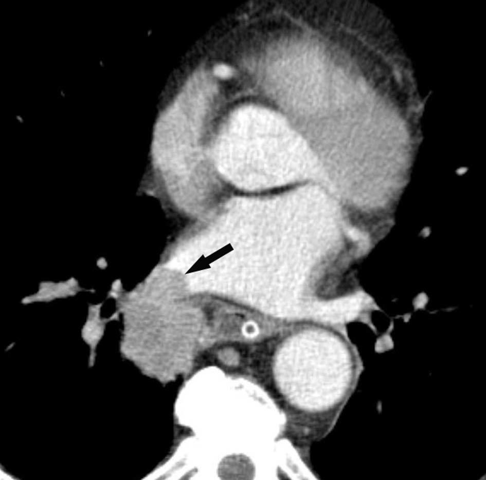
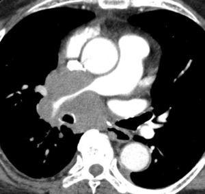
Fig. 2.--T4. (A) Corte axial de tomografía computarizada (TC) torácica con contraste. Tumor hiliar derecho que infiltra la arteria pulmonar derecha, la vena cava superior y engloba al bronquio intermediario. (B) Reconstrucción coronal oblicua, longitudinal al eje de la arteria pulmonar derecha, que muestra cómo engloba el tumor a la rama del truncus superior (flecha blanca) e inferior (flecha negra).
Fig. 3.--Invasión de pared torácica. Tomografía computarizada (TC) torácica con contraste. Reconstrucción coronal con ventana de hueso (A) y de volumen (B). La presencia de destrucción ósea (flecha negra) o de masa en el espacio intercostal (flecha), son los únicos signos fiables de infiltración de la pared torácica.
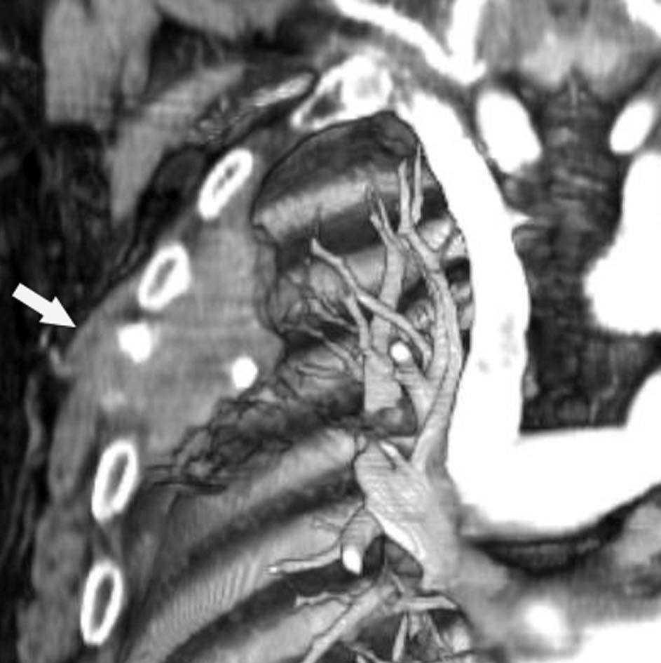
Pese a las conocidas limitaciones de la TC, ésta continúa siendo la técnica de elección en la estadificación del tumor en los pacientes con CPNM; su sensibilidad y especificidad en la determinación de la infiltración de pared oscilan entre el 38 y el 87% y del 40 al 90%, respectivamente, según las series. El desarrollo de nuevos equipos de TC helicoidal y principalmente las TC multidetectoras (TCMD) proporcionan unas imágenes 2D de mayor resolución con la posibilidad de hacer reconstrucciones multiplanares (MPR) en distintos planos del espacio e incluso 3D con la consiguiente mejora de la valoración del tumor, su extensión e infiltración de estructuras vecinas5 (fig. 4). Así, con la TCMD se puede poner de manifiesto con mayor fiabilidad la invasión de la cisura, la pared torácica o el mediastino, y además es capaz de determinar, gracias a las reconstrucciones de volumen, la relación exacta del tumor con la vía aérea (fig. 5). El progreso en la capacidad diagnóstica deriva del incremento en la resolución de las imágenes obtenidas y de la posibilidad de emplear nuevas aplicaciones como la broncoscopia virtual y la visualización en tiempo real. La broncoscopia virtual es útil para valorar la invasión del árbol traqueobronquial con la finalidad de planificar la cirugía, también como guía para el fibrobroncoscopista y, por último, porque permite ver el árbol bronquial distal a la estenosis (fig. 6)6. La capacidad de ver la imagen en tiempo real es especialmente útil cuando se emplea como guía en maniobras intervencionistas como biopsias percutáneas, ya sea con finalidad diagnóstica o como parte de la estadificación (fig. 7). Esta técnica de guía de biopsia denominada TC fluoroscopia reduce el número de pases y el tiempo global de la exploración, implica un menor riesgo de lesión de estructuras y permite la visualización inmediata de las posibles complicaciones7.
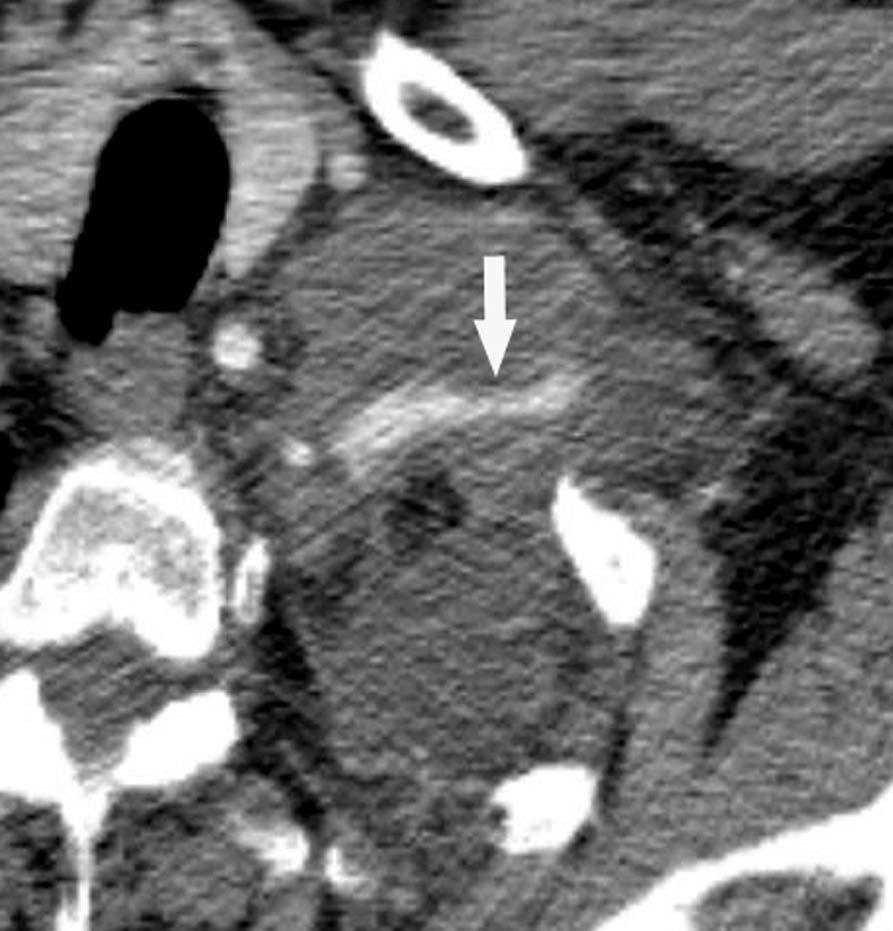
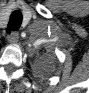
Fig. 4.--Invasión vascular. Tomografía computarizada (TC) torácica con contraste. Corte axial (A) y reconstrucción coronal oblicua (B). Invasión tumoral por continuidad de la vena pulmonar inferior (flecha).
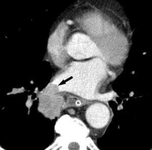
Fig. 5.--Invasión vía aérea. Tomografía computarizada (TC) torácica con contraste. Corte axial (A) que muestra masa hiliar izquierda con afilamiento del bronquio lobar superior (flecha blanca) y adenopatía subcarinal (flecha negra). (B) Reconstrucción de volumen con amputación del bronquio (flecha negra).
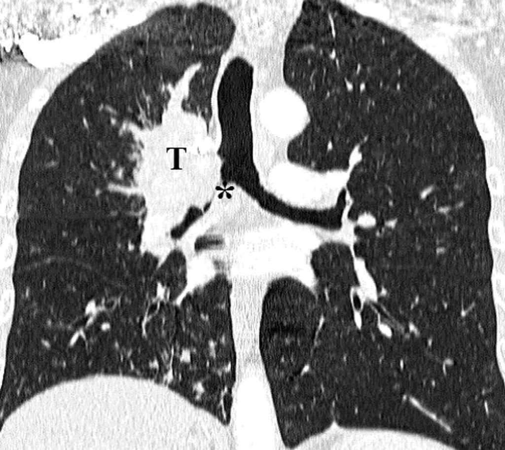
Fig. 6.--Broncoscopia virtual. (A) Reconstrucción coronal que muestra una masa hiliar derecha (T) con infiltración del ángulo traqueobronquial. (B) Visión endoscópica del tumor en la que se observa la infiltración de la tráquea y la relación con la carina (asterisco).
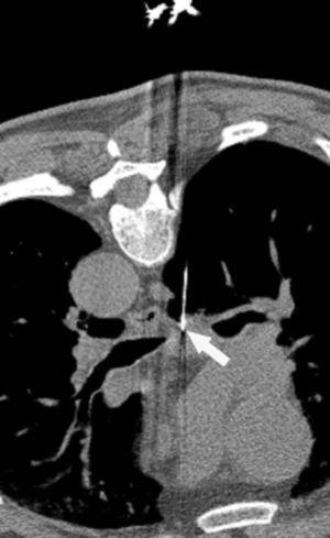
Fig. 7.--Punción de adenopatía subcarinal. (A) Paciente en decúbito prono. Se identifica la punta de la aguja (flecha) en el interior de una adenopatía subcarinal con resultado positivo para carcinoma epidermoide. (B) Con ventana de pulmón podemos ver de inmediato la ausencia de neumotórax u otras complicaciones.
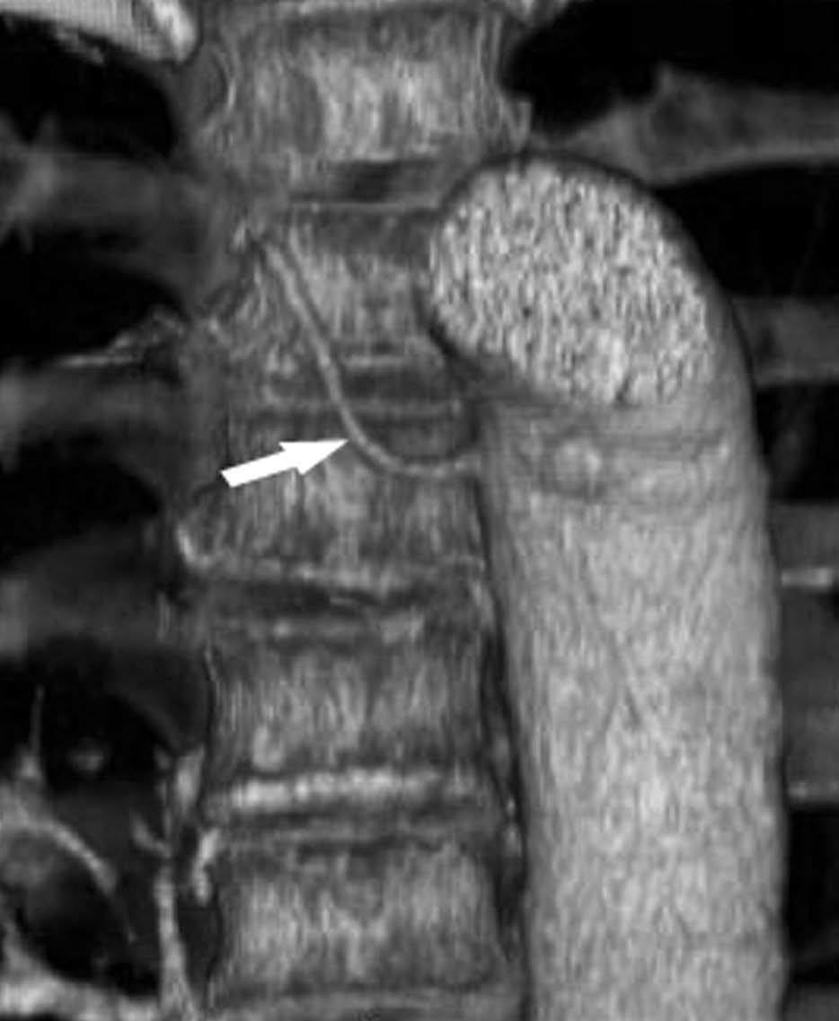
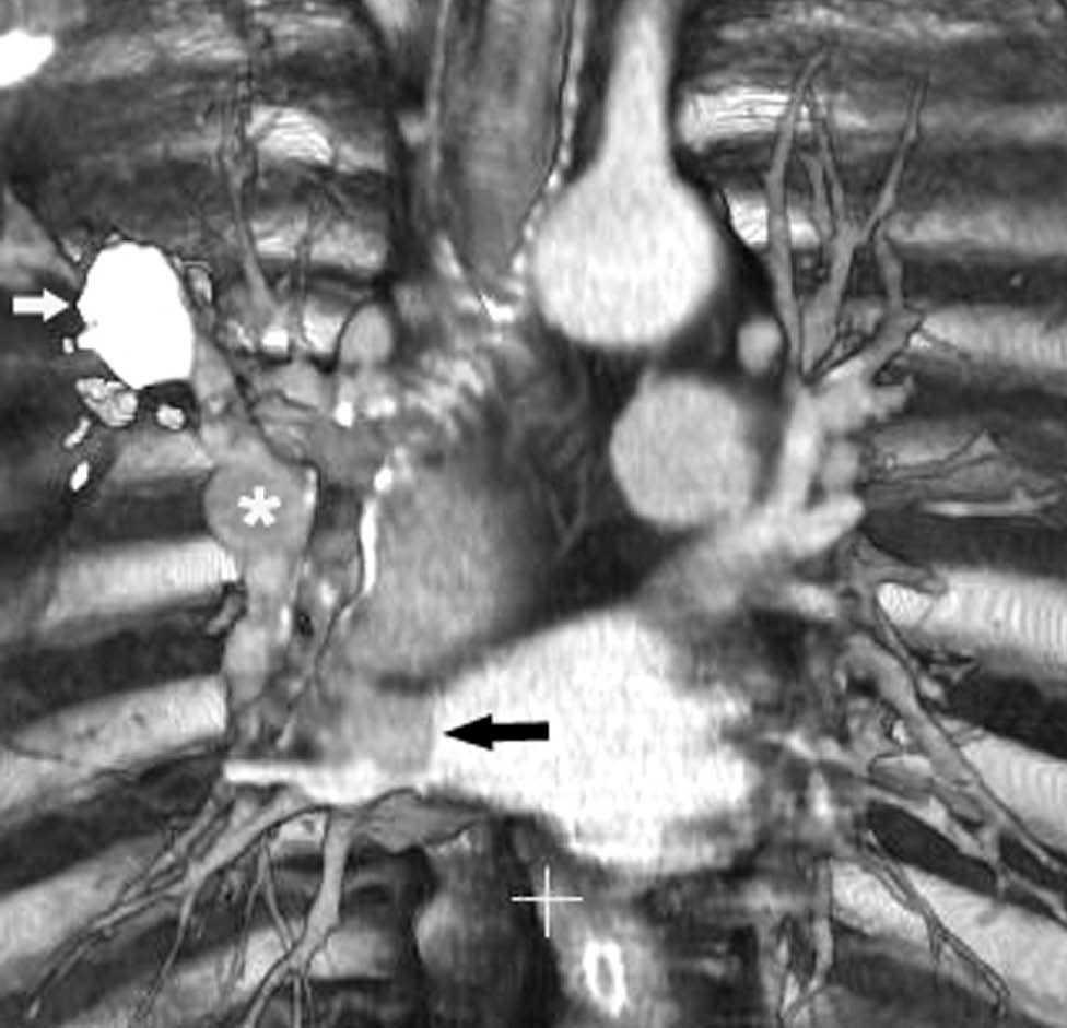
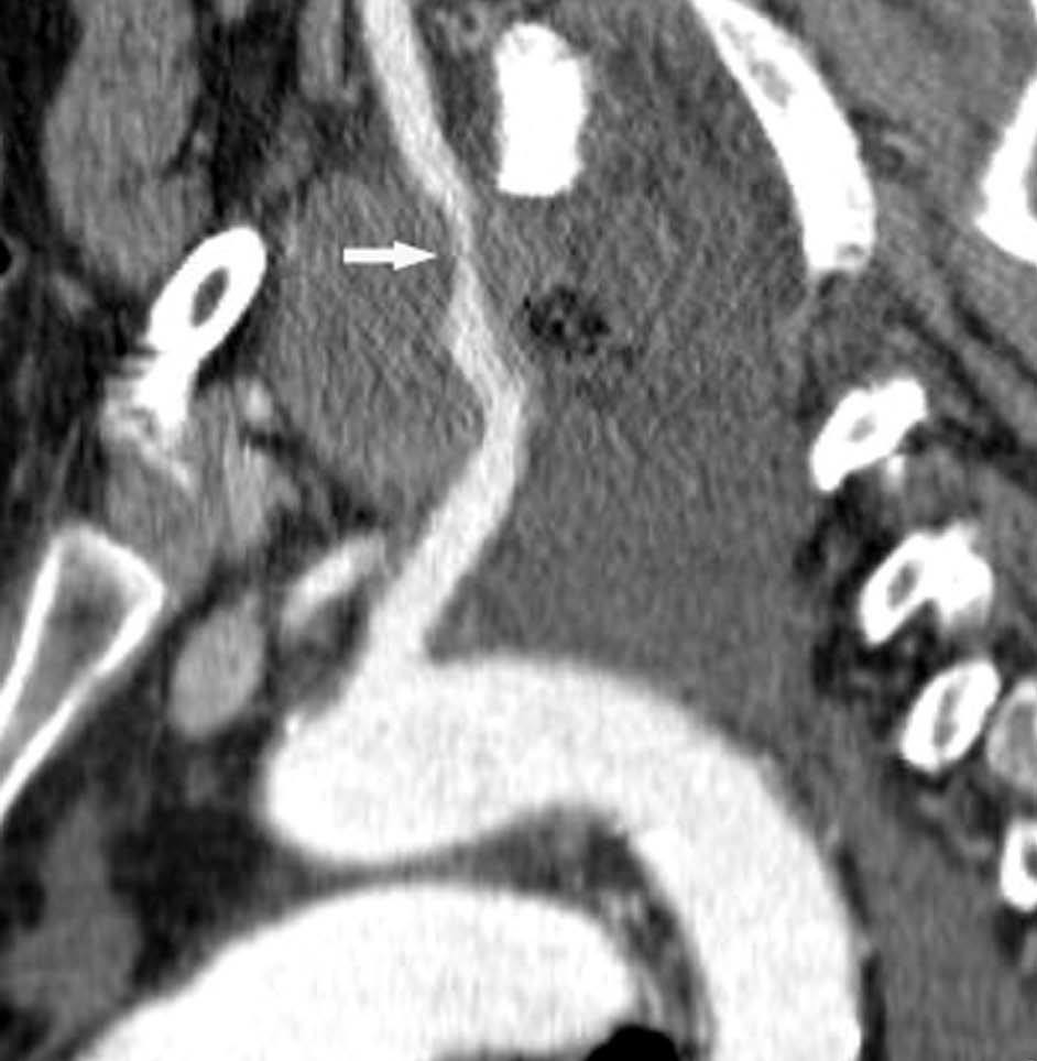
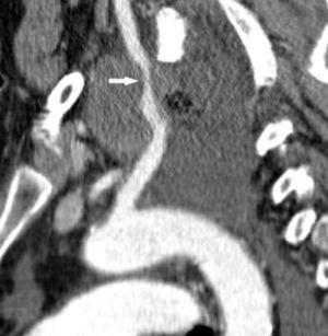
Fig. 8.--Angiografía TC. Tomografía computarizada (TC) torácica con contraste. (A) Corte axial en el que se identifica la irregularidad de la pared anterior de la arteria subclavia izquierda (flecha). (B) La reconstrucción multiplanar (MPR) curva siguiendo el eje de la arteria subclavia demuestra mejor la relación entre el vaso y el tumor (flecha).
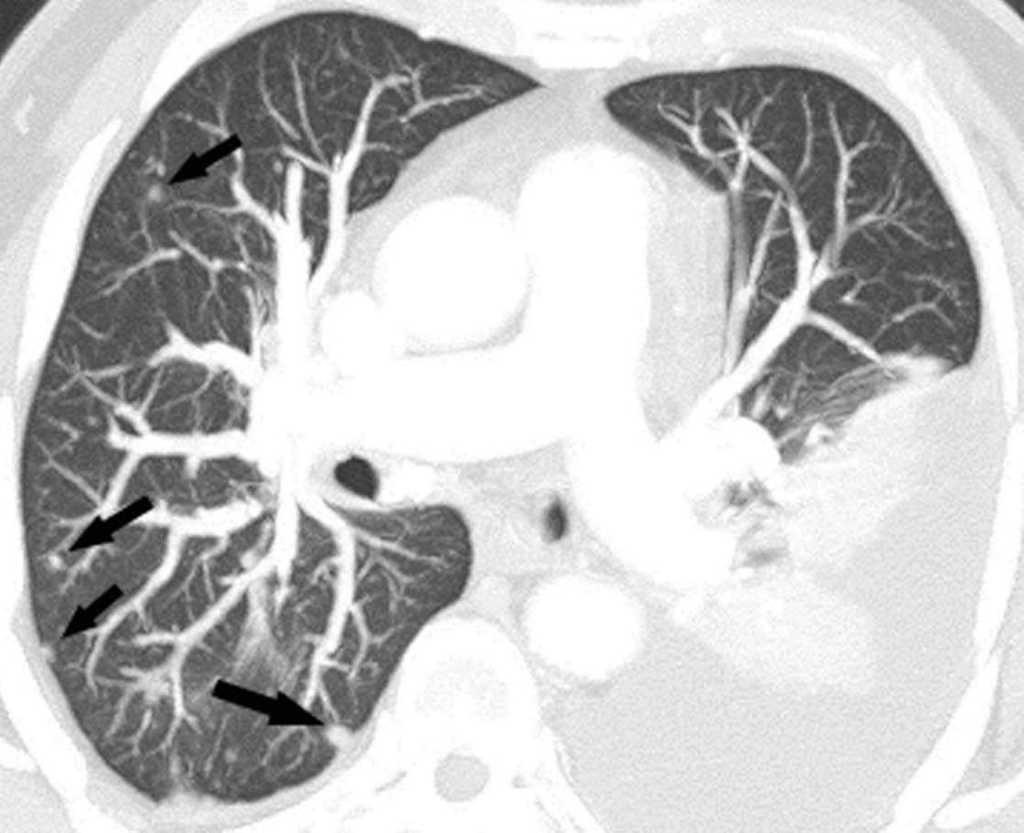
Una consecuencia del incremento en la calidad de la imagen es la detección de más nódulos en tumores potencialmente operables. En una serie de 223 pacientes, se detectaron un 26% de nódulos coexistentes con el tumor, de los que el 6% fueron malignos8. Este trabajo concluye que la probabilidad de que el nódulo detectado fuera maligno era significativamente mayor si se encontraba en el mismo lóbulo que el tumor primitivo y que los nódulos eran menos frecuentes en el estadio IA que en los otros estadios.
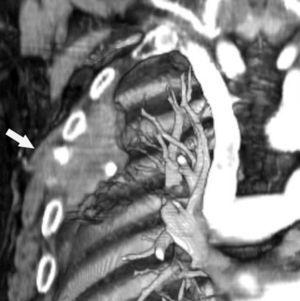
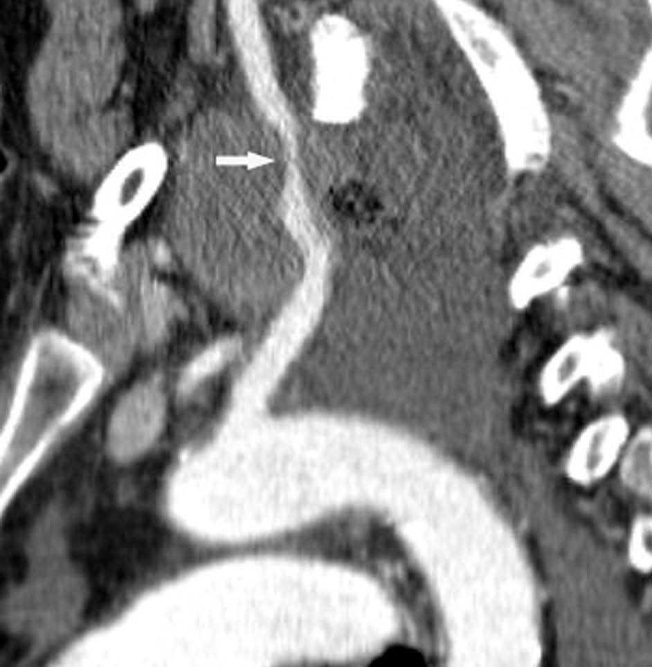
Una ventaja adicional de la TCMC es la capacidad de realizar, como parte del estudio de extensión, una angiografía TC (angioTC) en los tumores de localización central candidatos a cirugía y, fundamentalmente, en aquellos pacientes con hemoptisis que podrían ser subsidiarios de embolización terapéutica. El estudio vascular permite tener un excelente mapa para la cirugía, que ayuda enormemente al cirujano a la hora de planificar la intervención (fig 8). En los pacientes con hemoptisis amenazante, la demostración de una arteria sistémica hipertrófica sirve de guía para la arteriografía y subsecuente terapia endovascular (fig. 9).
Fig. 9.--Hemoptisis masiva secundaria a neoplasia de pulmón. (A) Corte axial con contraste que muestra el origen de la arteria bronquial derecha en la aorta descendente. (B) Reconstrucción de volumen en la que se pone de manifiesto la localización exacta de la arteria bronquial derecha hipertrófica y su exquisita correlación con la angiografía selectiva (C).
A pesar de todos los progresos tecnológicos y la disponibilidad de nuevas aplicaciones, continúa habiendo casos en los que es imposible delimitar la infiltración tumoral de estructuras vecinas. En una revisión reciente que compara la estadificación TNM basada en la TC con la estadificación anatomopatológica, sólo en un 71% de los casos se estadificó el factor T adecuadamente9.
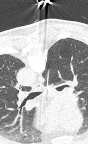
La resonancia magnética (RM) se utiliza principalmente para solventar problemas puntuales, y cada vez se emplea menos dado que la TCMD se ha equiparado con la RM en la capacidad de reconstruir en cualquier plano del espacio. Actualmente, la RM se debe reservar para la evaluación de los tumores del sulcus superior, aunque hay autores que consideran que debe emplearse sólo cuando existe invasión del canal medular, ya que en el resto de las situaciones la TCMD da suficiente información para obviar dicha técnica10 (fig. 10).
Fig. 10.--Tumor del sulcus superior. Tomografía computarizada (TC). (A) TC torácica con contraste, con reconstrucción coronal. Masa cavitada que ocupa todo el segmento apical del lóbulo superior derecho y engloba la arteria lobar superior. (B) En la reconstrucción sagital, se pone de manifiesto la infiltración de la vena cava superior (flecha).
En términos generales, el incremento significativo de la actividad metabólica en los estudios de PET, indica la presencia de tejido tumoral. La principal limitación de esta técnica de imagen que valora la actividad metabólica por el consumo de un derivado de la glucosa es la escasa resolución espacial, por lo que las imágenes funcionales obtenidas no son adecuadas para determinar el estadio T. Las imágenes adquiridas con esta técnica deben ser siempre cotejadas con los hallazgos representados por un estudio anatómico, en nuestro caso principalmente con TC. Sin embargo, mediante la interpretación cuantitativa de la imagen, se puede obtener un valor pronóstico del tumor, y últimamente también se está empleando en el seguimiento para la valoración de respuesta a la quimioterapia11.
La técnica integrada de imagen TC-PET es el último desarrollo tecnológico incorporado a la estadificación que en las primeras referencias se considera superior a la PET, a la TC y a la correlación visual TC-PET. Para la estadificación del T aporta, en algunos pacientes, una valoración más precisa de la infiltración de pared torácica y mediastino y permite la correcta diferenciación entre el tumor y la atelectasia o inflamación circundante12. Se precisan más estudios para la confirmación de estos resultados tan esperanzadores.
Valoración ganglionar
Se considera estadio N1 la afectación de ganglios homolaterales de situación intrapulmonar, peribronquial e hiliar. El estadio N2 es la afectación de los ganglios mediastínicos homolaterales, incluyendo los de la línea media, prevascular o retrotraqueal y subcarinales (niveles 3 y 7). El estadio N3 es el que incluye a los ganglios contralaterales al tumor primitivo, así como a las regiones supraclaviculares o escalenos.
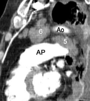
La precisión de la TC para predecir la afectación ganglionar mediastínica, pese a la ayuda que suponen las reconstrucciones MPR y 3D en la valoración de determinados territorios ganglionares (espacio subcarinal, hilio o ventana aortopulmonar) (fig. 11), sigue teniendo muchas limitaciones. El único criterio que se emplea para considerar que un ganglio es patológico es el tamaño (cuando el eje corto es mayor de 10 mm, salvo en el espacio subcarinal que se acepta hasta 12 mm). El empleo únicamente de criterios de tamaño hace que la TC sea una técnica poco precisa en la valoración de la afectación ganglionar. En un metaanálisis reciente13 la sensibilidad global de la TC para estadificar el mediastino fue de un 57%, con una especificidad del 82%, un valor predictivo positivo (VPP) del 56% y un valor predictivo negativo (VPN) del 83%. Lo que es innegable es la capacidad de la TC para mostrar un mapa de los ganglios tanto hiliares como mediastínicos (fig. 12), lo cual es de gran utilidad en la determinación del factor N. La valoración del territorio hiliar puede ser compleja por la agrupación de estructuras vasculares, por lo que además de la opacificación adecuada de éstas, es de utilidad la identificación de la pérdida del ángulo de la bifurcación (carina secundaria), ya que el eje corto significativo en este territorio es de 3 mm. Como ya hemos comentado, también es de gran ayuda en esta localización el empleo de reconstrucciones (fig. 11)5.
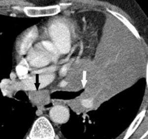
Fig. 11.--N2. (A) Corte axial de tomografía computarizada (TC) con contraste. Nódulo heterogéneo en el segmento 6 del lóbulo inferior derecho con infiltración de la vena pulmonar inferior (flecha). (B) En la reconstrucción de volumen se ponen de manifiesto la infiltración tumoral de la vena pulmonar (flecha negra), la adenopatía hiliar (asterisco) y una adenopatía calcificada lobar superior derecha (flecha blanca).
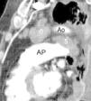
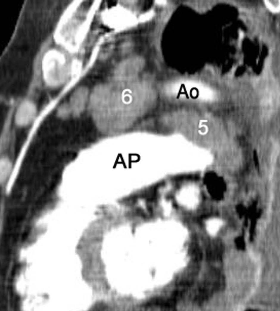
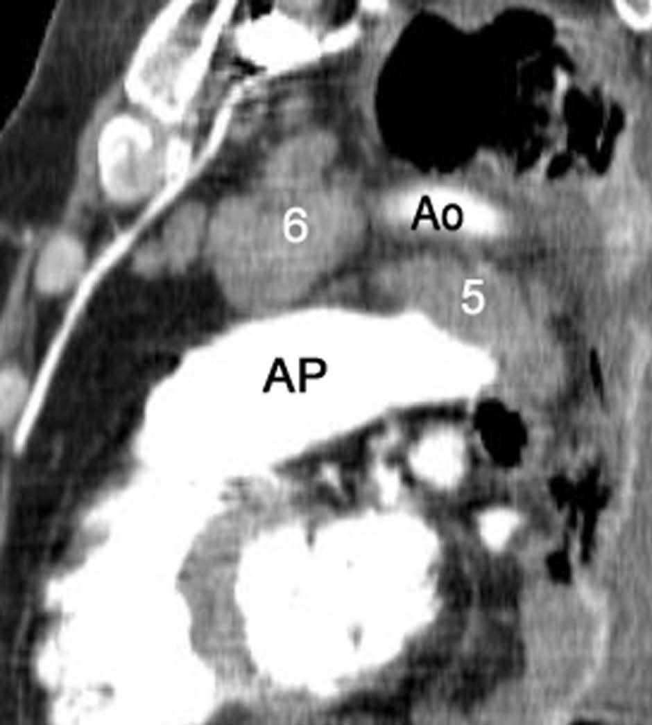
Fig. 12.--Estaciones ganglionares para la estadificación del cáncer de pulmón. Las reconstrucciones multiplanares (MPR) son de gran ayuda para precisar los territorios ganglionares afectos. Correlación de los territorios ganglionares entre el mapa ganglionar de Mountain y Dressler y una reconstrucción coronal de un paciente con afectación adenopática mediastínica e hiliar bilateral. (A y B) Ganglios mediastínicos superiores e inferiores e hiliares. (C y D) Ganglios aórticos. AP: arteria pulmonar. Ao: aorta.
La PET en la estadificación del mediastino es claramente superior a la TC, con cifras significativamente mejores de sensibilidad (85% frente al 61%) y especificidad (90% frente a 79%)15. La aplicación de la PET, además de la TC, mejora la estadificación del mediastino y reduce la realización de procedimientos invasivos innecesarios. Además, actualmente los equipos tienen mayor resolución, lo que permite detectar actividad en ganglios menores de 1 cm (en torno a los 7 mm). Como ya comentamos, la limitación principal de esta técnica es la escasa resolución espacial, por lo que para estadificar el mediastino adecuadamente, la PET debe ser evaluada conjuntamente con la TC. El alto índice de falsos negativos (25%) en pacientes sin crecimiento ganglionar en TC confirma que el tamaño del ganglio tiene un impacto importante en la precisión diagnóstica. Otra consecuencia de la limitada resolución espacial de la PET es en la difícil diferenciación entre adenopatías hiliares (N1) y mediastínicas (N2), con las consecuentes implicaciones en la selección del tratamiento y en el pronóstico. Además, la PET no está exenta de falsos positivos, como son los casos de neumonía obstructiva y en enfermedades granulomatosas. El rendimiento de la PET, por lo tanto, está directamente ligado a los hallazgos de la TC. Así, la sensibilidad de la PET se aproxima al 100% cuando se asocia a ganglios positivos en la TC, siendo la especificidad del 78%. Por contrapartida, la sensibilidad de la PET es del 82% cuando la valoración mediastínica en la TC es negativa, con una especificidad del 93%15. Pese a que la bibliografía demuestra que la PET es la técnica diagnóstica no invasiva con mayor sensibilidad y especificidad en la evaluación del mediastino en pacientes con CP, es una realidad que hoy por hoy su empleo rutinario está limitado principalmente por su baja disponibilidad.
Los equipos integrados de TC-PET muestran una perfecta correspondencia entre las imágenes de TC y PET, lo que suma las ventajas de ambas técnicas. Es crucial que la posición del paciente sea la misma durante la TC y la PET para poder cotejar las imágenes obtenidas durante el examen de cuerpo entero con ambos equipos. Los primeros artículos sugieren que esta tecnología es más exacta para la estadificación ganglionar si se compara con la PET, con la TC o con la correlación visual de las imágenes de ambas, aportando información adicional en el 41% de los pacientes si lo comparamos con esta última modalidad12.
En su metaanálisis, Gould MK et al15 concluyen que la positividad de la PET para el mediastino debe ser confirmada mediante biopsia y cuando la PET es negativa debe valorarse en función de la existencia de ganglios aumentados de tamaño en la TC. Otros autores han publicado que el aumento de la sensibilidad y especificidad de los estudios de PET con respecto a la TC implican un cambio en el estadio clínico en más de un 60% de los pacientes11.
La ecografía endoscópica y punción aspiración con aguja fina (EE-PAAF) se está introduciendo como una técnica prometedora en la valoración del mediastino. Puede visualizar directamente los territorios 4L, 5, y ganglios seleccionados del 6, 7 y 8. Los paratraqueales derechos a menudo no se ven por la interposición del aire de la tráquea. Si sólo se aplican criterios morfológicos, la sensibilidad y la especificidad de la EE-PAAF son respectivamente del 78 y 71%, sin embargo si se realiza la PAAF las cifras de sensibilidad son de un 88%, la especificidad del 100% y la exactitud diagnóstica del 82%16. El rendimiento de la prueba aumenta con el número de ganglios muestreados y con la realización de al menos 3 pases.
También el empleo de la TC como guía para la obtención de muestras que ayuden en la estadificación mediante PAAF o biopsia es de gran utilidad en aquellos territorios ganglionares no accesibles a la mediastinoscopia, como el espacio subcarinal (fig. 7), pudiendo en otras ocasiones sustituirla como técnica menos cruenta.
Valoración de metástasis a distancia
El estadio de afectación metastásica es M0 cuando no existen metástasis y M1 cuando hay metástasis a distancia. La mayoría de los autores están de acuerdo en que la búsqueda de la presencia de metástasis a distancia debe iniciarse cuando el paciente tiene signos y síntomas que podrían estar causados por la afectación metastásica y cuando el tumor primario requiere cirugía extensa. En estas situaciones, generalmente una combinación de TC cerebral y de abdomen superior y una gammagrafía ósea son las técnicas idóneas para la evaluación adecuada.
Pese a ello, la búsqueda de metástasis ocultas continúa siendo controvertida, tanto por cuándo realizarla como por cuál es la técnica más idónea. En la mayoría de instituciones el estudio TC torácico se extiende rutinariamente al abdomen superior, permitiendo estadificar el hígado y las glándulas suprarrenales. La exactitud de la imagen para pacientes asintomáticos es significativamente menor que para los sintomáticos, siendo mayor el índice de falsos positivos en la TC cuando el paciente no tiene síntomas. El mejor ejemplo de esto es la presencia de nódulos suprarrenales y que muy a menudo corresponden a adenomas benignos. Cuando no hay síntomas de afectación metastásica, el VPN para las metástasis hepáticas y cerebrales es del 95% y óseas del 90%. Las metástasis suprarrenales son asintomáticas. Una posible aproximación sería reservar los estudios de imagen para valorar enfermedad extratorácica a los pacientes con clínica sugestiva de afectación metastásica y a pacientes con enfermedad avanzada, estadios IIIA y IIIB. También hay que enfatizar que los pacientes con alteraciones radiológicas que impliquen irresecabilidad no deben excluirse de la cirugía sin confirmación tisular, a no ser que exista una evidencia clínica y radiológica taxativa17.
Metástasis pulmonares
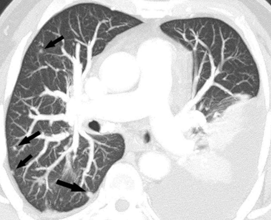
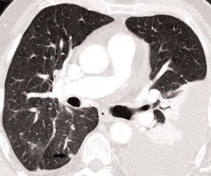
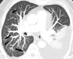
La detección de nódulos pulmonares diferentes del tumor primario es muy superior cuando el estudio está hecho con un equipo de TCMD, debido al menor espesor de corte e intervalo de reconstrucción, lo que confiere una mayor resolución espacial. Esto permite hacer reconstrucciones de proyección de máxima intensidad (MIP) que incrementan significativamente la detección de nódulos, fundamentalmente los de localización central (fig. 13)18.
Fig. 13.--Metástasis pulmonares. (A) Atelectasia del lóbulo inferior izquierdo secundaria a tumor central con nódulo pulmonar contralateral (flecha). (B) Proyección de máxima intensidad (MIP) de 15 mm al mismo nivel que muestra más nódulos (flechas).
Otra de las ventajas del empleo del TCMD es la posibilidad del postprocesado de la imagen con una sola adquisición, lo cual es importante cuando queremos valorar con técnica de alta resolución el pulmón, pero también las estructuras mediastínicas sin pérdida de la calidad en la imagen19. Esto resulta especialmente útil en los pacientes con linfangitis carcinomatosa.
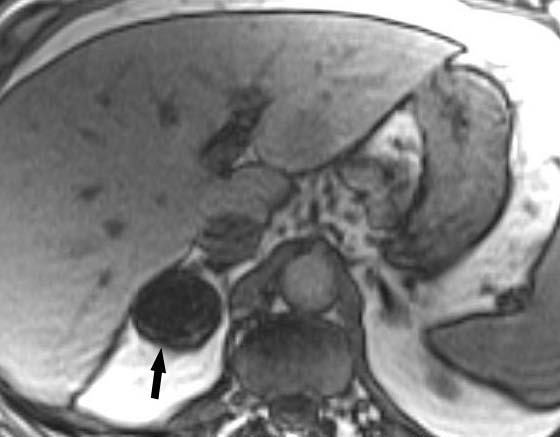
Metástasis hepáticas y suprarrenales
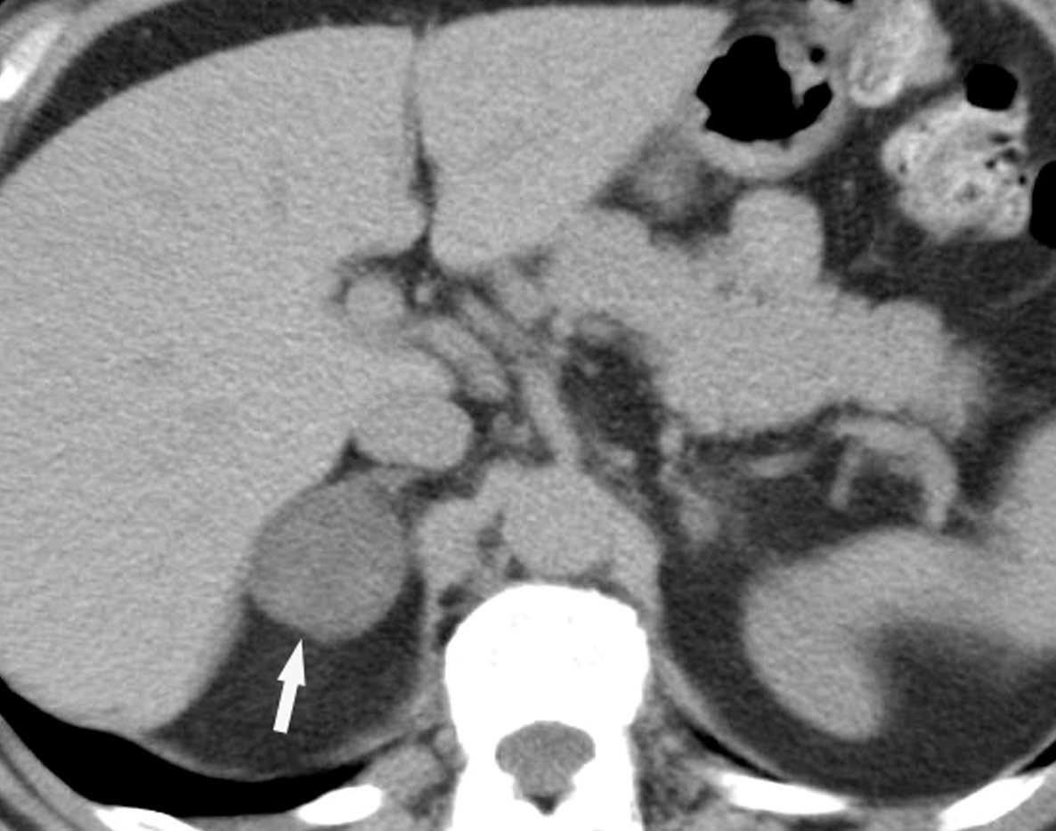
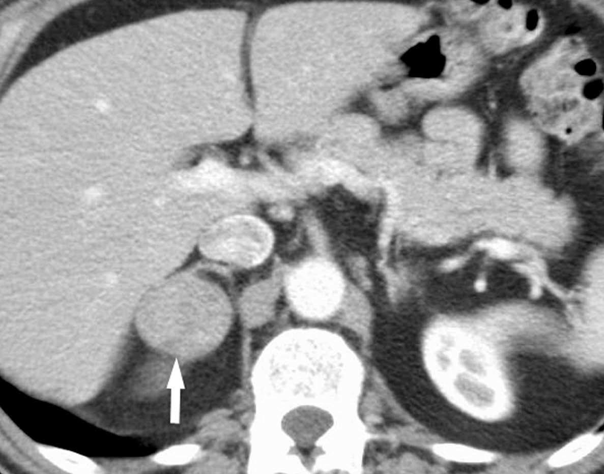
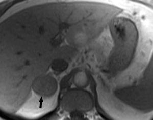
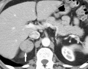
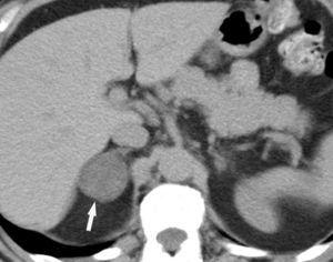
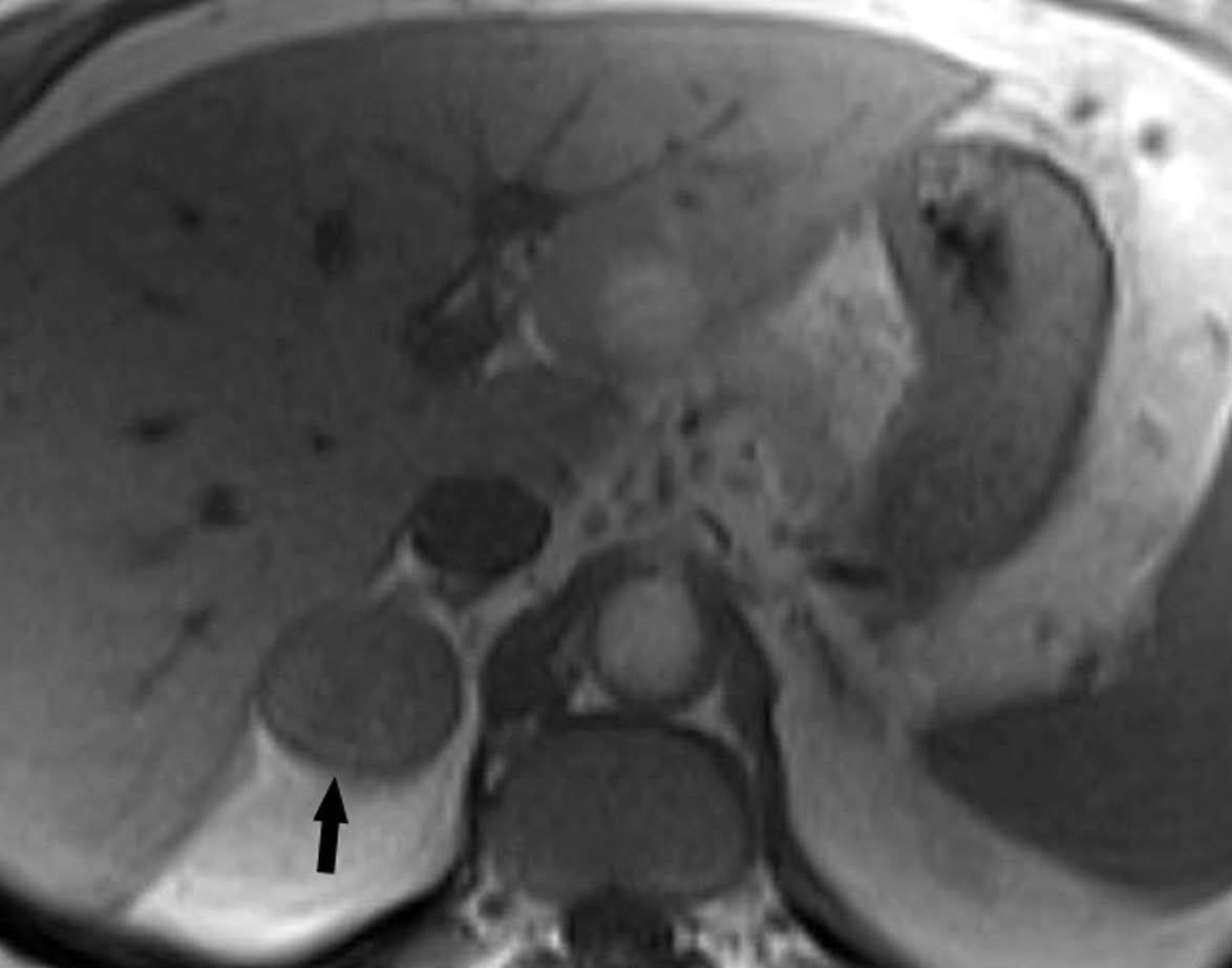
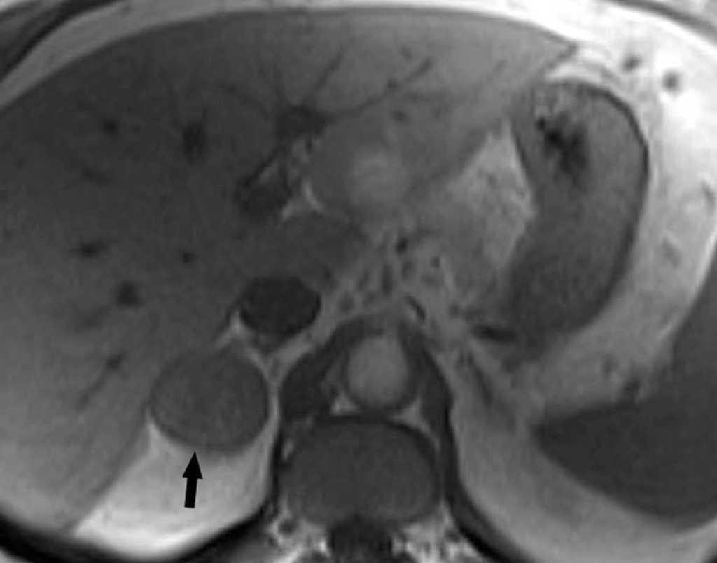
La aparición de nódulos suprarrenales se da en más del 10% de los pacientes con cáncer de pulmón. Dada la elevada frecuencia de adenomas benignos, es crucial la distinción entre éstos y la afectación metastásica. Ésta se puede llevar a cabo con una combinación de estrategias de imagen que incluyen TC, RM y/o PET. Por TC los adenomas suprarrenales típicamente tienen valores de atenuación bajos por la presencia de cúmulos lipídicos. Una lesión suprarrenal con valores de atenuación menores de 10 unidades Hounsfield (UH) en el estudio sin contraste, tiene una probabilidad del 98% de que se trate de una lesión benigna. Dado que ambas lesiones, adenomas y metástasis captan contraste, la valoración rutinaria de la captación no es útil en la diferenciación entre benignidad y malignidad. Si se detecta durante la realización de la TC, realizar cortes tardíos a los 15 minutos de la administración de contraste es importante, ya que si existe un lavado del contraste de más del 50% el diagnóstico de adenoma tiene una sensibilidad del 98% y una especificidad que oscila entre el 92 y el 100%20. La RM con secuencias de desplazamiento químico en la valoración de nódulos suprarrenales tiene una especificidad del 100% para el diagnóstico de adenoma (fig. 14). Sin embargo, la sensibilidad depende de la densidad de la lesión en el estudio con TC, ya que cuanto mayor es la densidad en la TC menos señal perderá en la RM, con lo que resulta más difícil etiquetarlo como adenoma21. La PET presenta una sensibilidad alta en la detección de metástasis suprarrenales, ya que cuando una lesión suprarrenal no muestra signos concluyentes en la TC de benignidad, la ausencia de actividad con la PET hace muy probable dicho diagnóstico. En los casos en que persistan dudas diagnósticas se debe recurrir a la biopsia de la lesión adrenal, especialmente si de este diagnóstico depende el manejo del paciente.
Fig. 14.--Lesión suprarrenal. (A) Tomografía computarizada (TC) abdominal sin contraste que muestra un nódulo suprarrenal derecho de baja atenuación y contornos bien definidos (flecha). (B) Con contraste se aprecia captación del mismo. (C) Resonancia magnética (RM) en fase en la que se identifica el nódulo suprarrenal isointenso con el hígado. (D) En la RM fuera de fase, se pone de manifiesto la pérdida de señal (marcadamente hipointensa con respecto al hígado) característica de estos tumores suprarrenales debido a su contenido lipídico.
La detección de lesiones hepáticas también puede llevar a la confusión para la estadificación, aunque hemos de saber que la presencia de metástasis única es muy poco frecuente y la mayoría de las lesiones hepáticas van a ser benignas. Los quistes hepáticos son fácilmente caracterizables, dado el rango de atenuación de aproximadamente 0 UH. Los hemangiomas pueden ser más difíciles de caracterizar si no se identifican durante la exploración y no se pueden hacer cortes tardíos. En cualquier caso, si persisten dudas, completar el estudio con ecografía en ambas situaciones puede solventar las dudas y, de no ser así, el comportamiento de ambas lesiones en RM es suficientemente característico para establecer un diagnóstico de seguridad. También las lesiones hepáticas benignas tienen un comportamiento concluyente en la PET. Al igual que sucede con las lesiones adrenales, es necesario biopsiar las lesiones que no hayan sido adecuadamente caracterizadas y se requiera un diagnóstico de certeza.
Metástasis óseas
La mayoría de los pacientes con metástasis óseas son sintomáticos o tienen elevación de la fosfatasa alcalina. Aunque la gammagrafía ósea es bastante sensible en la detección de metástasis óseas, el índice de falsos positivos se aproxima al 40%. Además, debido al bajo índice de metástasis óseas ocultas al diagnóstico en pacientes con CP (inferior al 5%), no es recomendable la realización de gammagrafía ósea de forma rutinaria. La PET tiene una sensibilidad similar a la gammagrafía en la detección de metástasis óseas, pero una mayor especificidad22. El desarrollo en el diseño de los nuevos equipos de RM con gradientes localizados, movimiento sincronizado de la mesa y el diseño de nuevas secuencias de pulso, ha permitido la implementación de una nueva aplicación de la RM y ésta es la obtención de una imagen rápida de cuerpo entero23. Tiene la ventaja sobre la gammagrafía de que no precisa del incremento de la actividad osteoblástica para identificar una lesión ósea, por lo que es más sensible que esta técnica en la detección. Además es mejor en la delimitación de lesiones en columna, fémur y pelvis, aunque tiene limitaciones en la identificación de lesiones en calota y costillas. La RM de cuerpo entero tiene la ventaja adicional de poder observar simultáneamente afectación de partes blandas y de los órganos incluidos en la exploración, con lo que se puede hacer una aproximación muy ajustada de la carga tumoral del paciente24.
Metástasis cerebrales
En ausencia de clínica neurológica, las metástasis cerebrales son poco frecuentes. Sin embargo, existen dos subtipos histológicos (adenocarcinoma y carcinoma de células grandes) que se asocian en un porcentaje que oscila entre el 3 y el 10% a metástasis cerebrales asintomáticas. Tanto la TC como la RM con contraste son técnicas adecuadas para la detección de lesiones cerebrales. Pese a la baja frecuencia de metástasis asintomáticas, se ha publicado recientemente que es coste-efectivo descartar metástasis cerebrales con TC cerebral en todos los pacientes con CPNM potencialmente resecable25. La PET no es una técnica adecuada para la exclusión de metástasis cerebrales, debido al consumo de glucosa tan elevado del tejido cerebral normal.
CARCINOMA DE PULMÓN MICROCÍTICO
La proporción actual del CPM ha disminuido desde el 17,4% en 1986 hasta el 13,8% en 199826 y se da casi exclusivamente en fumadores. Este tumor tiene un comportamiento clínico más agresivo que el del CPNM y tiene una supervivencia media sin tratamiento entre 2 y 4 meses. Debido al comportamiento biológico, patrón de diseminación, pronóstico y respuesta al tratamiento diferentes al resto de CP se considera como una entidad diferente al CPNM, con una estadificación distinta. La mayoría de los CPM se originan de la vía aérea proximal y desarrollan rápida y progresivamente metástasis en el curso de la enfermedad. Se clasifican en dos grupos: enfermedad limitada, en la que el tumor está confinado a un hemitórax, el mediastino y el grupo ganglionar supraclavicular homolateral todo ello abarcable en un campo de irradiación y enfermedad extendida, aquella que no cumple los criterios de la anterior. El sistema de estadificación TNM se puede utilizar en aquellos casos poco frecuentes en los que el CPM es subsidiario de cirugía, sobre todo aquellos que se manifiestan como un nódulo pulmonar solitario.
Existe acuerdo en cuanto a las técnicas de imagen que se emplean en la estadificación, debido a la frecuencia de diseminación de la enfermedad al diagnóstico. La TC torácica debe extenderse al abdomen superior, incluyendo todo el hígado y suprarrenales, ya que el desarrollo de enfermedad metastásica en el abdomen está presente en el 60% de los pacientes al diagnóstico, siendo el hígado el órgano sólido donde más frecuentemente existen metástasis. El hueso es el sitio donde más comúnmente se identifica de forma global la afectación metastásica, por lo que el estudio de extensión debe incluir gammagrafía ósea. Las metástasis cerebrales se pueden dar en más del 10% de los pacientes en el momento del diagnóstico, las cuales se estudiarán mediante TC o RM cerebral27. La utilización de la PET no se recomienda de forma rutinaria ni en la estadificación ni en la reestadificación, aunque los estudios son pequeños y la experiencia limitada28.
CONCLUSIONES
La estadificación del cáncer de pulmón es crucial no sólo como información del pronóstico de la enfermedad, sino como guía en la toma de decisiones para establecer la modalidad diagnóstica más adecuada y la consecuente actitud terapéutica. La TC continúa siendo, pese a sus limitaciones conocidas, el método de imagen de elección para la estadificación del CPNM. La RM puede ser útil en casos seleccionados. La realización adicional de la PET mejora la exactitud de la estadificación y puede reducir el número de maniobras de estadificación invasoras, aunque en muchas ocasiones éstas son ineludibles. La mediastinoscopia continúa siendo la maniobra invasora estándar para evaluar el mediastino, aunque en algunas ocasiones puede ser sustituida por técnicas diagnósticas mínimamente cruentas (PAAF o biopsia guiada por TC o la EE-PAFF). Una de las limitaciones para el empleo de la PET es la escasa disponibilidad en nuestro medio. Los resultados preliminares del empleo de los equipos integrados de TC-PET son prometedores, aunque son necesarios más estudios para confirmar estos resultados y para determinar su papel en relación con los otros procedimientos diagnósticos y valorar otros parámetros como son la relación coste-beneficio y la dosis de radiación28.
PROPUESTA DE ESTRATEGIA RADIOLÓGICA
A continuación exponemos nuestra propuesta de actuación en la estadificación radiológica. Debemos tener en cuenta que estos algoritmos son individualizados y siempre deben estar sustentados en los trabajos publicados, pero están influenciados por la disponibilidad técnica de los centros y las condiciones de los pacientes. Además, como cualquier otro algoritmo, debe estar sujeto a constante revisión para su mejora.
1. Estadificación: TC de tórax y abdomen con contraste. El estudio si es posible se debe realizar en un equipo multidetector (TCMD).
2. Problemas concretos:
a. Sospecha de invasión de canal medular: RM.
b. Dudas de afectación del sistema nervioso central por TC o metástasis cerebral única: RM.
c. Caracterización de lesiones no filiadas hepáticas o suprarrenales con ecografía no concluyente: RM.
d. Adenopatías que no son accesibles a mediastinoscopia: PAAF dirigida por TC o EE-PAAF.
e. Sospecha de metástasis óseas: gammagrafía ósea.
3. Empleo de la PET:
a. Dependerá de la disponibilidad del centro.
b. Casos seleccionados.
c. Candidatos a cirugía.



