Sr. Director de Radiología:
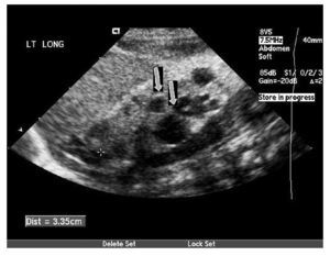
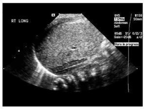
Le escribimos a propósito del artículo "Displasia renal multiquística segmentaria: hallazgos radiológicos y diagnóstico diferencial"1. En esta Comunicación breve se plantea un caso de la variante focal de la displasia renal multiquística, entidad poco conocida, con tan sólo una veintena de casos publicados e interrogantes sobre su historia natural. Nuestro interés por esta patología nace a raíz de un caso especialmente excepcional, ya que si bien reúne las características típicas de la displasia renal multiquística segmentaria (sexo femenino, lesión focal renal constituida por quistes no comunicantes, afectación del riñón izquierdo, etc.), nuestra paciente presenta un único sistema colector en el riñón afectado y ausencia del riñón contralateral. La afectación parcial de un riñón por displasia multiquística aparece típicamente en el polo superior de un riñón con doble sistema, mientras que la forma atípica de presentación ocurre en un riñón con un único sistema colector (5 casos publicados hasta 2006)2, suponiendo entonces un mayor reto diagnóstico (fig. 1). Si bien más del 50% de los casos de la displasia renal multiquística segmentaria se asocia a anomalías del riñón contralateral, no hemos encontrado documentación sobre otros casos con ausencia del riñón contralateral (fig. 2). El diagnóstico ha sido radiológico (no confirmado histopatológicamente, dado el contexto de ausencia del riñón contralateral). Dada la posibilidad de involución espontánea, en esta paciente se ha optado por el seguimiento estrecho. En la variante segmentaria de la displasia el parénquima renal respetado conserva típicamente cierto grado de función de vital importancia en nuestro caso. Compartimos nuestro caso de displasiarenal multiquística segmentaria con el fin de subrayar los múltiples interrogantes que aún existen en esta entidad.
Fig. 1. Riñón izquierdo: se objetivan múltiples quistes no comunicantes en el polo inferior (flechas), reconociéndose tejido renal en el tercio medio.
Fig. 2. Fosa renal derecha: nótese la alteración morfológica de la glándula suprarrenal derecha (straight adrenal) condicionada por la ausencia del riñón derecho.






