Introducción
La oferta de sistemas cerámicos sin metal y de diversas técnicas de reproducción, que en la mayoría de los casos están alejados de la realidad de la práctica cotidiana en el laboratorio de prótesis dental y de la situación económica actual, es cada vez más extensa y confusa. A su vez, la metalocerámica continúa constituyendo un elemento económico básico en la mayoría de los laboratorios.
El autor ha probado un nuevo sistema cerámico de la firma Shofu Inc., Japón. En el siguiente artículo, nos narra sus experiencias con el material, explica paso a paso la función y la aplicación de las distintas masas según la estratificación de dientes naturales y hace balance de la profesión y de su propia concepción del papel del protésico dental.
El sistema cerámico
El nuevo sistema cerámico VINTAGE MP para metalocerámica define una generación metalocerámica con propiedades añadidas y optimizadas. Así, por ejemplo, se han aumentado sensiblemente la calidad y las propiedades adhesivas de los opáquers en pasta listos para usar y se han igualado a los dientes naturales la translucidez y la refracción de la luz de las masas de dentina.
Ya durante la aplicación de la primera capa de opáquer con Base Opaque se logran una capacidad de recubrimiento extraordinaria y un tono cromático muy cálido, comparable a un dorado mate. Con un grosor de capa de sólo 0,1 mm, básicamente se eliminan los problemas cromáticos debidos a la estructura metálica oxidada y se garantiza una perfecta base cerámica cromáticamente estable (fig. 1).
Fig. 1. El opáquer Base crea un tono básico cálido y elimina la influencia cromática de la aleación oxidada.
Los opáquers en pasta de color dental están basados en pigmentos revestidos de vidrio y proporcionan un «efecto antigreening» más eficaz (algo que sin duda sabrán apreciar los usuarios de estructuras de metal no noble con elevada proporción de cromo). Además, mediante estos opáquers se alcanza una capacidad de recubrimiento extrema que asegura un resultado final logrado.
Las masas de estratificación también han sido elaboradas mediante un nuevo proceso de producción y una composición cerámica perfeccionada. Esto permite trabajar en una gama CET extremadamente amplia (13,6 - 15,2 x 10-6 K-1), que puede utilizarse con todas las aleaciones de cocción, independientemente de si éstas son de alto contenido en oro o sin metales nobles (figs. 2 y 3).
Fig. 2. El kit estándar contiene todos los componentes necesarios para la iniciación en la técnica VINTAGE MP Technik.
Fig. 3. Mediante las masas Enamel-Effect pueden reproducirse todos los efectos naturales del esmalte con una conducción de la luz idéntica a la natural.
La mayor refracción de la luz de las masas de dentina constituye otro factor importante de este sistema. Un indicio de ello es el hecho de que una gran parte de la luz incidente es refractada y dispersada ya en las masas de dentina. Los contornos de la estructura metálica son prácticamente minimizados ópticamente.
Se trata, así pues, de una especie de término medio entre la cerámica sin metal y la metalocerámica.
Pero vayamos un paso más allá y descubramos la belleza y el origen de los dientes naturales como base de una reproducción cerámica óptima.
La belleza, mi preocupación más hermosa
La vida, para nosotros los seres humanos, es considerablemente más llevadera si además de los problemas cotidianos también encontramos un valioso tiempo para la belleza. La belleza parece ser para nosotros algo que a menudo no percibimos: una mariposa, un cielo estival, una hermosa sonrisa o una simple mirada son las promesas de felicidad que otorgan a la vida su encanto y su calidez (fig. 4).
Fig. 4. Tomémonos un momento para la belleza.
Así, la belleza nos llega en forma de un cuadro de Monet (fig. 5) o contemplando el cielo (fig. 6), y puede incluso caer en las manos de un protésico dental que juega con la luz y el color para crear restauraciones cerámicas logradas (figs. 7 y 8).
Figs. 5 y 6. Algunos ejemplos de belleza artificial, creada por el ser humano, como p. ej. un cuadro de Monet, y la belleza natural.
Fig. 7. Otro ejemplo de belleza creado por el protésico dental.
Fig. 8. Ejemplo del procedimiento del autor para restauraciones metalocerámicas naturales y expresivas.
Durante el desempeño de nuestro trabajo nos encontramos a diario con la belleza. Esto constituye una primera fuente de felicidad para nosotros los protésicos dentales. No sólo debemos entenderla y formarla, sino que también podemos regalarla. Posibilitar una sonrisa significa regalar alegría, en ocasiones sirve incluso al restablecimiento psíquico de un paciente o ayuda a asistir a una paciente jugando con la forma y el material. Si se piensa detenidamente en ello, no son muchas las profesiones en las que se dan estas circunstancias.
De vuelta al modelo naturalEl oficio del protésico dental es únicamente reproducir el diente natural. No se trata de imitar patrones de estratificación para la cerámica morfológicos o tradicionales ajenos a la realidad. No es preciso inventar nada, ya que es suficiente la belleza del modelo por sí sola.
El diente presenta una estructura binaria, consistente en dentina y esmalte. El resto no es sino un juego de luz y colores. Si observamos el diente natural partiendo desde el centro hasta la superficie, constatamos lo siguiente:
¿ En función de la edad y del comportamiento de abrasión, las formas de la dentina son cortantes, angulosas, afiladas o lisas, pero nunca redondas. A menudo se habla del color de la dentina, el cual normalmente se toma en el tercio cervical del diente. Sin embargo, se puede constatar que también existe otro color de la dentina, el cual aparece partiendo de la cámara pulpar e incluye el color de la dentina en la zona incisal. Esto significa que la referencia de un color dental A3 determinado por el odontólogo por sí misma sólo puede ser incompleta.
¿ La dentina posee una estructura similar a la del esmalte, si bien es mucho más densa y la refracción de la luz es muy reducida.
Los dientes anteriores
Los dientes anteriores naturales presentan un borde de dentina libre, con una finura verdaderamente «diabólica», y es preciso saber exactamente cómo reproducirlo. De lo contrario se pierde una gran parte de la viveza cerámica natural. La superficie vestibular permanece, pese a la presencia de mamelones, lisa y plana. Esto demuestra que éstos deberían ser muy discretos, prácticamente imperceptibles: es la luz la que se encarga del resto (figs. 9 y 10).
Fig. 9. Una sección de diente: en función de la edad y del comportamiento de abrasión, las formas de la dentina son cortantes, angulosas, afiladas o lisas, pero nunca redondas.
Fig. 10. Acuarela de una sección de diente: la cámara pulpar influye de forma determinante en el color de la dentina en la zona incisal.
Los dientes posteriores
Para los dientes posteriores naturales se aplica lo que muestra con gran claridad y de forma muy instructiva la siguiente acuarela de una sección de diente natural (fig. 11): poseen una capa de dentina cervical muy desarrollada y abombada que deja muy poco espacio para el esmalte y que explica la transición cromática a menudo muy visible entre las mitades inferior y superior del diente.
Fig. 11. Acuarela de una sección de diente: las cúspides de den-tina están trazadas de forma lisa y nítida.
Entonces se aprecian las puntas de dentina pequeñas y cónicas con una forma oclusal especialmente clara, lisa y angular. La configuración o el marcado de surcos dentinarios u otras invenciones anatómicas de los protésicos dentales constituyen una equivocación morfológica.
Entre la dentina y el esmalte aparece una capa luminosa que, si bien parece que estuviera hueca, libera y distribuye una importante cantidad de luz. En este proceso otorga al esmalte un aspecto decididamente irisado. Esta «no materia» (dado que el diente consta únicamente de dentina y esmalte) no es sino la luz del exterior que penetra a través del esmalte y es dispersada al incidir sobre la dentina. Debido a esta refracción, la dentina aparece más opaca y densa. Este efecto de los dientes naturales no puede observarse automáticamente en la cerámica cocida. No obstante, dado que el nivel y los ángulos de la refracción de la luz a menudo son muy dispares, se ha llegado a la idea de situar capas transparentes entre la dentina y la masa de esmalte.
El esmalte dental natural es un material extremadamente complejo. Si se observa con detenimiento la sección de diente dibujada, se constata que no reacciona de la misma manera en la zona cervical que en su vértice en la zona incisal. En la zona cervical, la luz permanece en gran parte en la superficie. Sin embargo, cuanto más nos acercamos al borde incisal, tanto más se intensifica la transmisión de luz.
Es absolutamente fundamental dedicar algo de tiempo previamente para entender esto y para:
¿ Poder determinar mejor el cometido de cada capa concreta durante la toma del color y realizar por consiguiente la elección correcta para las masas cerámicas.
¿ Establecer la historia del diente.
¿ Crear un «bonito contraste» entre la dentina y el esmalte como base para la viveza en la cerámica.
La determinación de cada capa individual y su cometido
La dentina. La dentina proporciona al color dental el tono cromático y la saturación. En opinión del autor, la firma Shofu acertó durante el desarrollo del aparato colorimétrico ShadeEye al limitarse a la determinación en una sola vez del color de la dentina con todos los componentes y renunciar a tomar el color en varios puntos del diente. Además, para la reproducción cerámica deben tomarse en consideración muchos otros factores que influyen en el aspecto de los dientes naturales. Por ejemplo, la claridad, el brillo superficial o la capacidad de un objeto de absorber o refractar la luz. O bien cómo puede controlarse la influencia de la encía, la opalescencia, determinada por la edad y el grado de abrasión del diente. Otros factores que cabría mencionar aquí son el grosor del esmalte, el cual posibilita la lucha contra el efecto perla, así como contra la monotonía sistemática de los dientes; o la aportación de luz, la cual es absorbida por el suelo de la cavidad oral; la fluorescencia, etc. Pero no nos distraigamos: la dentina es la clave del éxito de nuestra estratificación cerámica.
La translucidez. La translucidez tiene el cometido de subrayar y desarrollar la forma de la dentina, pero también de distribuir dentro del diente la totalidad de la luz que es refractada por la dentina. De ahí que también permita, si se observan con especial detenimiento y con extremada precisión las formas de la dentina, la reproducción y la configuración exacta del diente natural. Mediante la masa de translucidez se puede modificar también ligeramente el tono cromático.
Ejemplo: en lugar de pintar la dentina para, por ejemplo, otorgar un tono un poco más amarillento a un color A3, lo cual puede conducir fácilmente a manchas localizadas, o de pintar el esmalte, lo cual resulta en un exceso de amarillo en la superficie, una alternativa interesante consiste en aplicar una masa de translucidez AM (Opal Amber) amarillenta. Gracias a la distribución interna de la luz, de este modo se extiende por todo el diente un tono cromático ligeramente amarillento.
El esmalte. El esmalte tiene la función de realzar u ocultar el color dental de la dentina y de la masa de translucidez. Debe ocultar en el caso de un diente muy joven, en el que la capa de esmalte todavía es extremadamente gruesa, pálida y lechosa (el esmalte se vuelve más transparente con el paso de los años). En consecuencia, es comprensible que en estas circunstancias las formas y los colores de la dentina no pueden ser muy acusados, dado que son ahogados por la capa de esmalte dominante.
Se da la situación inversa en un diente viejo, el cual es mucho más transparente. La capa de esmalte es más delgada y la superficie tiene un aspecto más bien pulido. Todas éstas son condiciones que revelan la forma y el tono cromático de la dentina.
Así pues, ¿por qué no tomarse el tiempo necesario para determinar exactamente la posición y la función de cada capa del diente natural? Para entender que es necesario algo más que una simple superposición de capas cerámicas, como todos hemos aprendido, para una estratificación cerámica se requiere ante todo el respeto al orden interno del diente natural y a su pasado concreto. El éxito de una restauración cerámica se basa en una cerámica en la que la elección correcta y la disposición exacta de las masas permiten a la luz reproducir los efectos del diente natural. Esta combinación de materia, forma y luz es la clave del éxito.
La comprensión de la historia dental
En sus cursos, el autor utiliza el concepto de «historia dental». «Reproducir una historia» es la verdadera tarea del protésico dental: qué me cuenta este diente, qué me dicen la dentina, la translucidez, el esmalte y cómo puedo responder a ello con mi estratificación y con la elección de mis masas cerámicas. Entregar al odontólogo, y por ende también al paciente, un «diente naif» es peor que cometer un error cromático. Un «diente naif» sería por ejemplo una restauración cerámica con un borde libre transparente, mientras que el diente a reproducir es muy viejo y ya hace mucho tiempo que ha perdido toda su translucidez oclusal debido a la abrasión. En suma, todo esto significa: no todos los trabajos cerámicos pueden confeccionarse con las mismas características, las mismas distribuciones independientemente de la edad, la misma textura o estratificación cromática.
Primera historia dental
En este caso se trata de un diente anterior extremadamente viejo (figs. 12 a 16) con abrasión avanzada, decoloraciones internas y externas acusadas y un esmalte translúcido que aparece brillante y revela las formas y los colores internos. Si se desea reproducir el diente con fidelidad al modelo natural, previamente se debe determinar con la mayor exactitud posible la posición de cada capa.
Fig. 12. La historia dental natural.
Fig. 13. Acuarela de la estratificación de la dentina: la posición correcta de la dentina.
Fig. 14. Acuarela de las masas de esmalte: la translucidez revela las formas y los colores internos.
Fig. 15. Acuarela de las masas de esmalte: la masa de translucidez de color ámbar (Opal AM) extiende el tono cromático ligeramente amarillento por todo el diente.
Fig. 16. Acuarela del dibujo dental: el procedimiento descrito asegura una conducción natural de la luz en la cerámica.
Estratificación de la dentina. En este caso, la dentina se compone de tres partes:
¿ El tercio cervical genera los efectos de color rosa debido a la proximidad a la encía.
¿ El tercio central determina el verdadero tono cromático del diente. El odontólogo y el protésico dental toman el color dental de esta zona como referencia. Shofu ha optimizado sensiblemente la estructura cerámica de sus masas de dentina VINTAGE MP (en el pasado, los colores de dentina saturados A4/C4 tenían la tendencia a ser demasiado densos y dominantes). Las nuevas masas de dentina VINTAGE MP son más translúcidas y ofrecen una estabilidad cromática perfecta incluso tras varias cocciones.
¿ El tercio incisal/oclusal ya mencionado en la introducción es influido directamente por el color de la cámara pulpar interna. A ello se añaden las distintas tonalidades del borde exterior que se derivan de la abrasión. A fin de mantenernos en el lenguaje técnico, el autor tiene por costumbre compactar «mecánicamente» esta zona, por una parte a fin de obtener una calidad de dentina adecuada para una distribución clara y por otra parte para lograr que esta masa de dentina sea más reactiva en cuanto a la refracción de la luz.
Segunda historia dental (figs. 17 a 21)
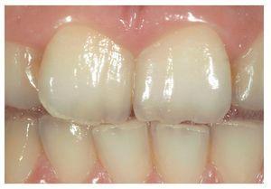
Fig. 17. Situación en boca: los dientes jóvenes poseen una translucidez más bien turbia.
Fig. 18. Acuarela de la estratificación de la dentina: la posición y la forma de la dentina deben corresponderse con la forma del diente.
Fig. 19. Acuarela Superlucent: por medio de diversas masas de transparencia se regula la conducción de la luz hacia el interior del diente.
Fig. 20. Acuarela de las masas incisales: mediante Opal Occlusal u Opal WE se bloquea selectivamente la translucidez.
Fig. 21. Acuarela de un diente ya estratificado: un ejemplo de reproducción de un diente anterior joven.
Estratificación de las masas de translucidez e incisales. Las masas de transparencia T-Glass y Opal Superlucent generan una translucidez extrema en todo el diente, así como una ligera tonalidad gris. En las zonas interproximales mesiodistales se consigue una translucidez azulada mediante la masa Azul-Translúcido (BT).
¿ Mediante Cervical-Trans (CT-) se regula la transmisión de la claridad, así como una reacción armoniosa con la encía.
¿ Para hacer visible la translucidez interna, es imprescindible pulir mecánicamente la capa de esmalte fina (Opal 59/60).
¿ Es posible bloquear la translucidez azulada mediante una capa cerámica blanquecina y lechosa (Opal Occlusal [OC]/Opal WE), para finalmente potenciar mediante Opal Amber (AM) el color de dentina interior hacia incisal.
La consecución de un verdadero contraste
Desde el principio de este artículo, el autor no ha dejado de llamar la atención sobre el papel fundamental de la dentina y, especialmente, sobre la importancia de su distribución. ¿Por qué?
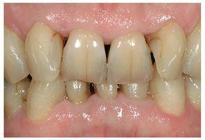
Otras historias clínicas (figs. 22 a 24)
Fig. 22. Situación en boca con dientes viejos: con la edad se incrementa la translucidez de los dientes naturales.
Fig. 23. Situación en boca con dientes jóvenes: los dientes jóvenes presentan una capa de esmalte más bien turbia.
Fig. 24. Situación en boca con dientes muy jóvenes: la forma del diente es determinante para la conducción de la luz y la translucidez de los dientes anteriores naturales.
A fin de lograr un sistema para la estratificación precisa de un diente natural y de su «historia», sin duda lo más importante es reproducir una circulación natural de la luz. Al refinar la configuración de la dentina se crea un contraste claro entre esta dentina lisa, compacta y densa y la capa de esmalte.
La capa de esmalte permite bloquear la luz ya sobre la dentina y no sobre el opáquer. En una restauración metalocerámica, esta precaución permite suprimir los contornos de la estructura metálica, así como de sus sombras y su opacidad. Esto lo cambia todo. De esta manera, la luz puede circular naturalmente y el opáquer, el cual debe permanecer necesariamente mate, sirve sólo como fuente de color que actúa desde la profundidad. La dentina, en combinación con el esmalte, hace el resto.
Además de las masas de dentina e incisales VINTAGE MP, la firma Shofu ha perfeccionado la estructura de partículas de los opáquers en pasta. De este modo se logra una capacidad de recubrimiento asombrosa incluso con un grosor de capa mínimo. La exactitud y la estabilidad cromáticas están garantizadas incluso tras varias cocciones. También se incrementó el índice de refracción de la luz de las masas de dentina.
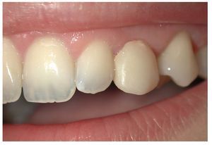
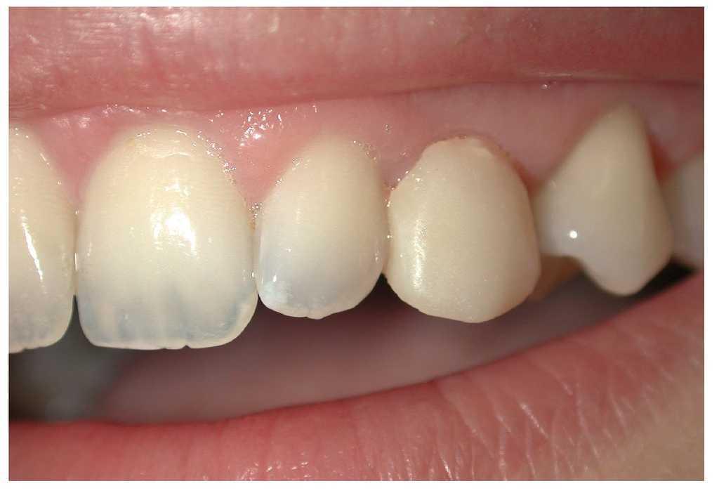
Si se comparan entre sí las fotografías de la corona metalocerámica y del diente natural (figs. 25 y 26), se tiene la impresión de que aquí se ha aplicado una cantidad considerable de cerámica. En este caso, el grosor de capa de la cerámica llega a alcanzar un milímetro. ¡Así pues, el momento decisivo durante la estratificación de la cerámica es definitivamente la correcta configuración de la dentina!
Fig. 25. La dentina proporciona al color dental el tono cromático y la saturación. El aspecto natural es entonces fruto de un juego de luces.
Fig. 26. La circulación de luz natural de una corona metalocerámica VINTAGE MP.
Conclusión
Con este nuevo desarrollo, la firma se mantiene fiel a su filosofía, basada en la cercanía a las necesidades reales de los protésicos dentales. Una manera de decir «sí» a los avances técnicos (hace años que sistemas de zirconio, aluminio y cerámica de compresión se incluyen ya en la gama de productos) y «no» a una sobreoferta de tecnologías exageradas, lejanas al mercado cerámico real. Las nuevas masas cerámicas brindan resultados estéticos excelentes y al mismo tiempo son fácilmente manipulables. Además, este nuevo concepto de cerámica es compatible con casi todas las cerámicas de cocción. Así mismo, el sistema cerámico se corresponde con la época actual. Naturalmente, hoy en día todo el mundo habla del zirconio, y este material nos muestra lo que tal vez un día se trabajará en todos los laboratorios dentales, pero en la actualidad, según informaciones del autor, esta técnica sólo representa una cuota de mercado de aproximadamente el 15%, incluso en los países industrializados.
Del 80 al 85% de la producción de prótesis dental, y por ende la rentabilidad en los laboratorios, continúa dependiendo de momento del trabajo con la metalocerámica. La situación económica nos obliga a trabajar cada vez mejor y más rápidamente en nuestros laboratorios, y también de forma más rentable y ahorrativa para las necesidades cotidianas. La competencia es dura, y si tenemos que adaptar también nuestras tareas, debería ser confiando en productos eficaces. Y siempre con renovado entusiasmo. Una buena oportunidad para redescubrir el diente natural y sus maravillas y refinar las estratificaciones y las ideas, todo ello con una mirada optimista al futuro.
Agradecimiento
El autor desea expresar su más sincero agradecimiento al Sr. Philippot por su ayuda en la creación de sus acuarelas.
Correspondencia
Dominique Olivier.
La Guinette, Route du Panorama, 58180 Marzy, Francia.
Correo electrónico: laboolivier@wanadoo.fr


























