Introducción
En el presente artículo, el autor presenta su técnica de estratificación principalmente en la zona incisal, en la que la estructura de las masas cerámicas debe permitir tanto el recubrimiento de la estructura conservando su fotoconductividad como una refracción de la luz de aspecto natural en distintos niveles. Por lo demás, se destacan aspectos de la conformación y la configuración de la superficie, como los puntos centrales reales de la restauración protésica.
Fijación de objetivos generales
Por regla general, la rehabilitación con coronas de todo un frente del maxilar superior debería satisfacer las expectativas de todos los implicados. En primer lugar, está el paciente, quien desea mejorar su situación tal vez desolada o estéticamente insatisfactoria. En general, los pacientes desean una restauración dental amable, tal vez incluso clara, y armoniosa. A menudo se persigue suavizar rasgos característicos.
El responsable del tratamiento evalúa la longitud de los dientes, tal vez su orientación con respecto a la línea bipupilar, la apariencia en su conjunto y, naturalmente, los aspectos médicos tales como el ajuste, los contactos y el perfil de emergencia. En un caso ideal, el protésico dental debería combinar todos estos requisitos en su trabajo y crear pese a ello una restauración individual y de aspecto natural.
Al fin y al cabo, la boca y los dientes son, después de los ojos, el siguiente medio para la comunicación. Pese a que en muchos lugares la situación oral armoniosa no reviste una importancia prioritaria, debería pensarse en qué es lo primero que cada persona ve por las mañanas en el espejo: puede tratarse tal vez de dientes o coronas sanos y de aspecto natural que favorezcan una sonrisa segura de sí misma, o quizás se trate de una situación oral que más bien se busque ocultar.
En esto se fundamenta el deseo del autor de confeccionar coronas que tengan un aspecto tan natural y armonioso que el paciente pueda identificarse con ellas y en última instancia se «funda» con ellas.
El deseo de combinar de forma ideal todos estos requisitos se sitúa en la base de la siguiente descripción y, en palabras de Ovidio, «Finis coronat opus», el final corona la obra.
La estratificación
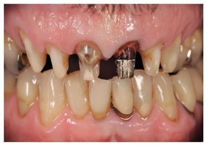
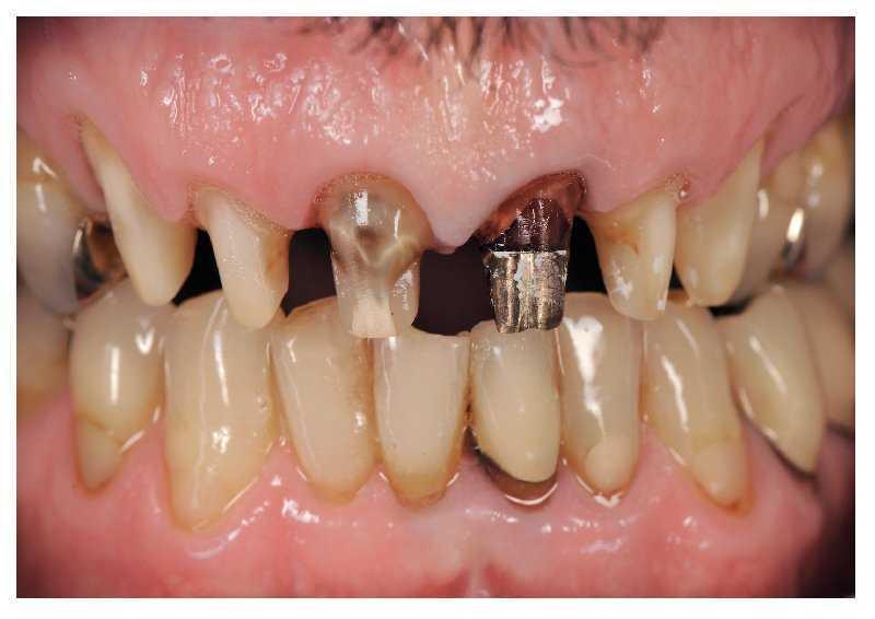
El paciente deseaba una rehabilitación de su frente superior insuficiente. Se decidió restaurar los dientes 13 hasta 23 con coronas de cerámica sin metal, mientras que para la estructura se escogió dióxido de zirconio, a fin de poder garantizar un enmascaramiento de los dientes 11 y 21 fuertemente decolorados. El artículo empieza con el trabajo en la estructura de dióxido de zirconio, toda vez que gira alrededor de la técnica de estratificación del autor aquí aplicada.
Una vez confeccionada ésta de forma satisfactoria, se le aplicó el Sprayliner del surtido Sakura Interaction de la firma Elephant Dental, Hoorn, Países Bajos (fig. 1). El liner se diluye con el Pencil Cleaner del mismo sistema y se aplica mediante un pincel. El material de imprimación fluorescente tiene el cometido de dotar a las estructuras de dióxido de zirconio «muertas» unas propiedades fotoópticas similares a las de los dientes. La intensidad y la claridad se regulan mediante el grosor del liner aplicado. Debería aplicarse siempre una capa algo más gruesa en la zona cervical, dado que los materiales de estratificación colorantes quedan allí algo más diluidos, mientras que la dentina de la raíz es muy intensiva cromáticamente. Se puede dejar que el liner confluya generosamente sobre el chamfer. A continuación se cuece el liner a aproximadamente 80 ºC por encima de las especificaciones del fabricante.
Fig. 1. Mediante la aplicación irregular del liner se regula el efecto luminoso difuso de la estructura.
En las cofias cocidas (figs. 2 y 3) se observa que las zonas cercanas al margen están intensamente coloreadas, mientras que el resto de las cofias está recubierto por una capa difusa de grosor irregular, la cual forma un cimiento excelente para la coloración posterior.
Fig. 2. Se cuece el liner a aproximadamente 80 ºC por encima de las especificaciones del fabricante.
Fig. 3. Ya en esta fase, la superficie de brillo untuoso presenta color dental.
En la figura 4 se aprecian las masas estratificadas para la cocción Powercore. Dado que se sabía con antelación que algunos de los muñones estaban fuertemente decolorados, el autor decidió enmascarar adicionalmente las estructuras con algo de dentina opaca. Las zonas cervicales están estratificadas con Caramel del surtido Action-i-Dentin Sortiment (Elephant), a fin de reforzar la coloración intensiva en las zonas marginales. El borde incisal, esto es, la zona de transición entre la estructura y la cerámica de estratificación, se recubre en una alternancia irregular de masa de hombros 1A2 y 3A4, así como dentina opaca de los colores A2 y A3,5. Mediante las gradaciones de color algo mayores se pretende que la cerámica genere unos reflejos alternos y ricos en contraste. En la zona central del cuerpo se aplica dentina del color básico correspondiente.
Fig. 4. El borde incisal se recubre con mezclas de dentina opaca, el borde es altamente cromático y translúcido.
En opinión del autor, la aplicación de dentina en esta fase tiene como propósito, en caso de una temperatura de cocción fuertemente incrementada del «Powercore Layering», intensificar el color de la dentina debido al desplome de los pigmentos de color. Además, el recubrimiento del núcleo de dióxido de zirconio con cerámica de estratificación sinterizada definitivamente a la máxima densidad garantiza una mejora de la unión y previene los desconchamientos.
Llegados a este punto, el autor quisiera mencionar que el coeficiente de expansión térmica de la cerámica de recubrimiento ha sido calculado de forma óptima para el material de estructura dióxido de zirconio. Si se observan correctamente todos los aspectos de ciencia de materiales y funcionales determinantes, la experiencia del autor demuestra que es posible planificar el comportamiento físico de la cerámica de recubrimiento de dióxido de zirconio.
La figura 5 muestra la cerámica de estratificación sinterizada definitivamente a la máxima densidad con un efecto cromático intensivo tras una cocción a temperatura incrementada a 920 ºC. Con un sustrato así preparado, ahora puede aplicarse la dentina de cuerpo, y el color actúa desde dentro. A continuación se aplica generosamente la forma del diente en dentina (fig. 6), en este caso los caninos en B4, los incisivos centrales por cervical en A3,5 y la zona del cuerpo en A3. Los incisivos laterales se estratifican en los espacios libres entre los incisivos centrales y los caninos. Al no conformar los dientes en serie, sino individualmente en la medida de lo posible, el autor espera obtener un efecto que se refiera más al diente como elemento independiente. Esto debería resultar en una conformación aligerada y evitar una configuración uniforme.
Fig. 5. Tras la cocción Powercore se observa una imprimación intensa.
Fig. 6. La forma del cuerpo no se estratifica en serie, a fin de ofrecer a cada diente espacio libre individual.
En la figura 7 se observa el ajuste funcional en el articulador con los núcleos de dentina aplicados de forma totalmente anatómica, mediante lo cual se detectan y pueden tenerse en cuenta las interferencias en el proceso de movimiento. La figura 8 muestra la estratificación de dentina tras el recorte. En la zona de transición proximal-labial hacia el primer premolar contiguo se eliminó algo de dentina en la zona del cuerpo, a fin de poder imitar el efecto cromático rico en contraste del diente contiguo. Los premolares están restaurados con coronas parciales de oro, de modo que se crea un efecto transparente grisáceo-violeta. Este efecto se adopta hasta cierto punto mediante la aplicación de la dentina violeta Lavender del surtido Action-i. La zona incisal se crea inicialmente con S59, pudiendo dejarse espacios libres para una estratificación alterna (fig. 9). La figura 10 muestra la compleción de la estratificación alterna mediante S60 en el primer cuadrante. La estratificación continúa mediante la aplicación de masas incisales 59 y 60 en alternancia directa (fig. 11).
Fig. 7. Mejor que rectificar: dejar correr.
Fig. 8. Un cut-back crea espacio para el efecto de profundidad en el borde incisal.
Fig. 9. La estratificación alterna incisal se inicia con masas incisales, mientras que el cuerpo se recubre con dentina violeta.
Fig. 10. Se alinean sucesivamente masas incisales con distintos grados de claridad.
Fig. 11. Una configuración plena del núcleo de dentina es un requisito para un efecto pleno de la corona.
En la transición entre la dentina y el borde incisal se aplican masas de efectos fluorescentes y opacas, en este caso 3A4, una dentina Action-i del surtido estándar del sistema Interaction; esto está coloreado con rotulador rojizo en la figura 12. Gracias a esta medida, la transición entre la estructura, la dentina y el borde incisal se vuelve difusa y discreta. Bajo esta zona puede aplicarse una fina capa de Lavender, de modo que el borde incisal adquiera un mayor efecto de profundidad.
Fig. 12. En la transición entre la dentina y el borde incisal se aplica dentina luminosa opaca.
Entre las masas opacas, el autor estratifica a menudo masas más claras también opacas (fig. 13), a fin de crear una interacción en el comportamiento de reflexión. Estas masas están aquí coloreadas en naranja. En la vista lateral (fig. 14) puede apreciarse el posicionamiento de estas masas en las regiones 22 y 23. El autor utiliza aquí preferentemente masas reflectantes más claras en el centro del diente, dado que los efectos más oscuros en la dentición natural son más bien de naturaleza funcional. A menudo, los incisivos centrales están más intensamente coloreados por incisal que los laterales.
Fig. 13. Interacción en virtud de los distintos valores de claridad.
Fig. 14. En todo caso, en los incisivos laterales y los caninos debería tener lugar una ligera caracterización en una superficie extensa.
La figura 15 muestra el recubrimiento de la zona incisal con las masas incisales S59 y S60, con predominio de la más oscura. Se crea una protuberancia en la masa incisal (fig. 16) para simular una fisura. Mediante el posicionamiento perpendicular con respecto a las dentinas Action-i aplicadas internamente, se diferencia de nuevo el comportamiento de reflexión y se profundiza el efecto. La figura 17 describe la aplicación de masas de efecto opacas oscuras (rojizo), claras (naranja) y blancas, las cuales tienen como finalidad crear un reclamo visual con reflejos múltiples. En estos elementos opacos se aplican masas transparentes o incisales de los más diversos colores (fig. 18). A este respecto, es importante que las coloraciones y transparencias estén claramente delimitadas y sean lo más variadas que sea posible. En la figura 19 se observa un segmento de Transpa Clear rematado con un efecto incisal de 1A2. En el flanco del segmento se aplica una franja muy fina de Polar. La figura 20 muestra la continuación del tema en el diente 21. En los flancos de los segmentos individuales, el autor suele aplicar masas tales como 1A2, 3A4, Creme, Polar y en ocasiones una franja de Vanille del surtido de colores de maquillaje Klaus Müterthies de Dentsply, Constanza, Alemania. A veces, la ligera modificación de la dirección de aplicación puede resultar en una alteración fotoóptica (fig. 21). Aquí se aplica masa desde la dirección opuesta sobre un segmento translúcido. La figura 22 muestra el recubrimiento del flanco con 1A2, Polar y Creme. Una vez así preparada la caracterización incisal, se recubre con Transpa Clear la totalidad de la forma del diente, tal como se muestra en la figura 23. En la figura 24 se observa desde incisal la masa cerámica estratificada. Antes de formar las coronas desde palatino, el autor examina la proporción de la construcción de masa con respecto al núcleo de dióxido de zirconio y al contorno del diente.
Fig. 15. La construcción de volumen se lleva a cabo mediante masa incisal 59 y principalmente masa incisal 60.
Fig. 16. Preparación de un efecto tridimensional.
Fig. 17. Las masas de dentina opacas con distintos grados de claridad deben reflejar con viveza.
Fig. 18. En la zona limítrofe se aplican masas transparentes como contraste.
Fig. 19. Transpa Clear con caracterizaciones opacas.
Fig. 20. Los contrastes son decisivos: opaco-translúcido, claroscuro, estrecho-extenso.
Fig. 21. Un cambio de la dirección de aplicación modifica el ángulo.
Fig. 22. Se aplican dentinas opacas sobre flancos translúcidos.
Fig. 23. Se recubre con Transpa Clear toda la superficie labial.
Fig. 24. Ya antes de la cocción puede adivinarse una interacción multicapas.
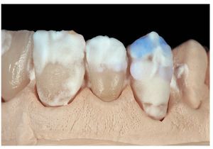
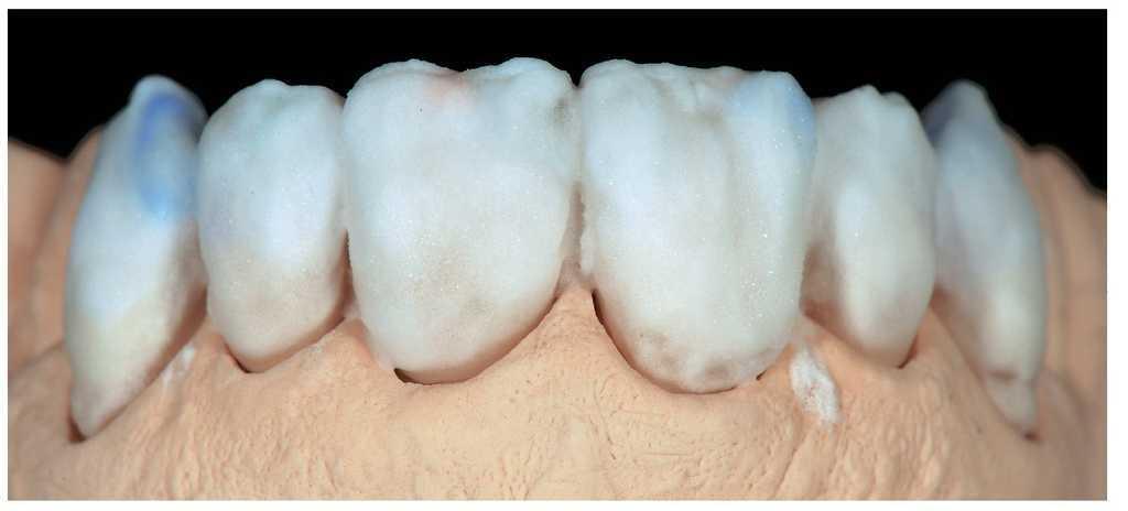
A fin de poder lograr un efecto cromático neutro, tras la primera cocción se colocaron las coronas sobre un modelo de yeso superduro blanco Z280 de la firma picodent, Wipperfürth, Alemania (fig. 25). La figura 26 muestra las coronas retocadas preliminarmente sobre un modelo de Fujirock de la firma GC Europe, Lovaina, Bélgica. En el laboratorio del autor se utiliza este yeso para la mayor parte de la confección del modelo, debido a su estabilidad y a sus propiedades superficiales. Ya en esta fase, las coronas presentan un aspecto rico en contraste y vital.
Fig. 25. Las coronas tras la primera cocción de forma, se rectificaron únicamente los contactos proximales.
Fig. 26. Tras una rápida corrección de desbastado puede iniciarse la segunda cocción de forma.
En la figura 27 se observa la aplicación de las masas para la segunda cocción de dentina. Para evitar atenuar las estructuras internas ya creadas, también aquí se trabaja nuevamente con distintas masas. De este modo, la luz se refleja de las más diversas maneras durante su recorrido a través de la corona. En las coronas antes de la segunda cocción de dentina (fig. 28) se ha recubierto de nuevo ligeramente el volumen de la anatomía.
Fig. 27. A continuación se aplican de nuevo alternadamente masas reflectantes y translúcidas sobre la capa transparente reducida.
Fig. 28. El volumen estratificado de forma aumentada alberga un excedente de material.
La restauración
Para la confección de una restauración de los dientes anteriores, la sesión con el paciente para la primera prueba en boca tiene lugar siempre en el laboratorio del autor, a fin de mejorar la calidad del resultado y determinar la complejidad del trabajo. Esto puede constituir un instrumento de marketing para mejorar la configuración del precio. La figura 29 muestra la situación de partida con los dientes preparados, tal como se fotografiaron durante la prueba en boca en el laboratorio. El efecto cromático distinto del fondo debe suavizarse mediante la coloración multicapas en las coronas.
Fig. 29. El color cambiante del fondo debe ocultarse mediante contrastes de capas.
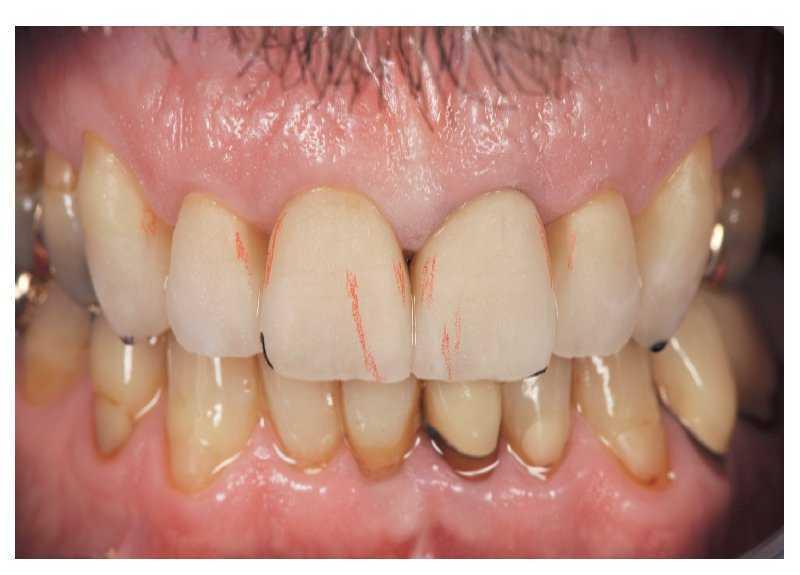
Durante la prueba en boca de las coronas no rectificadas hasta su forma definitiva (fig. 30), en primer lugar se comprueban y en caso necesario se corrigen los ejes dentales. Es posible modificar a modo de prueba el contorno y la longitud mediante un marcador negro. En las figuras 31 hasta 33 se había refinado ya la forma de las coronas y se habían adaptado al entorno. Nuevamente se examina y evalúa el trabajo desde distintas perspectivas. Aún puede adaptarse el contorno de los bordes incisales en relación con los labios.
Fig. 30. La prueba en boca, aquí se lleva a cabo trabajo a medida.
Fig. 31. El contacto personal con el paciente constituye marketing en su forma más pura.
Fig. 32. Ya durante la prueba en boca salta a la vista el complejo efecto cromático del canino.
Fig. 33. Se adaptan paso a paso todos los parámetros.
A fin de minimizar las porosidades superficiales, puede aplicarse masa de glaseado sobre la corona (fig. 34). A continuación se elimina la masa sobrante antes de empezar la caracterización mediante colores de maquillaje. Mediante el uso de colores de maquillaje puede conseguirse nuevamente una interacción rica en contraste entre los efectos internos y externos, la cual varía en función de la influencia de la luz.
Fig. 34. Mediante la incorporación de polvo de glaseado se logra una mejora adicional de la superficie.
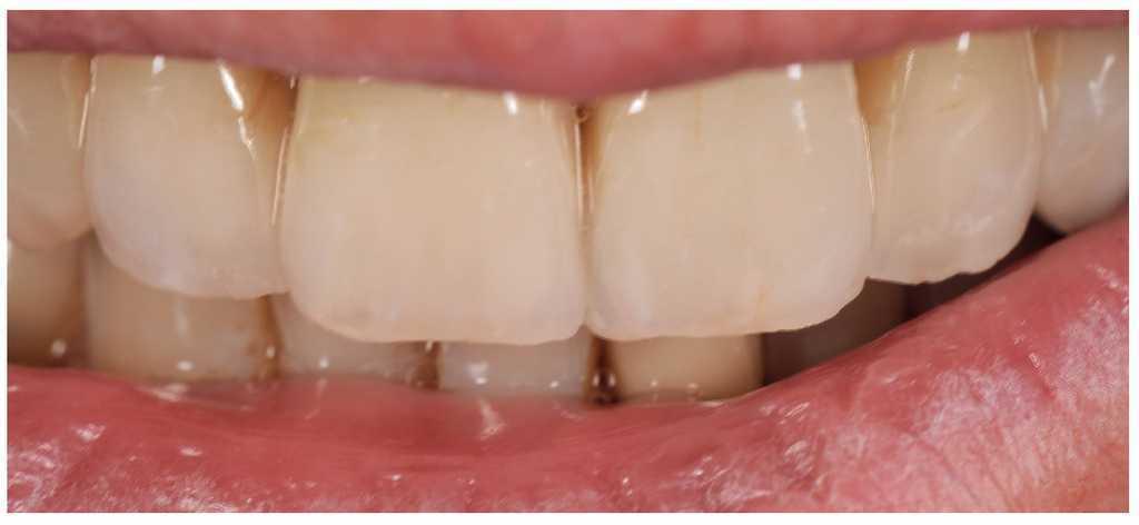
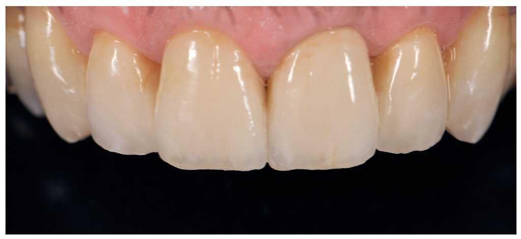
Tras la cocción final se pule homogéneamente la cerámica utilizando pasta de pulido Fegupol de la firma Feguramed (Buchen-Hettingen, Alemania), a fin de dificultar los depósitos. A continuación se ajusta el grado de brillo en las zonas labiales mediante agente pulidor Poliresin (Ernst Hinrichs GmbH, Goslar, Alemania) conforme a la dentición natural (fig. 35). La figura 36 muestra la restauración terminada sobre el modelo. El contraste entre los reflejos superficiales e internos está muy logrado.
Fig. 35. Una vez pulidas las coronas, se repasan con Poliresin.
Fig. 36. Los nuevos dientes se presentan claros y con carácter. La decoloración ha pasado a un segundo plano.
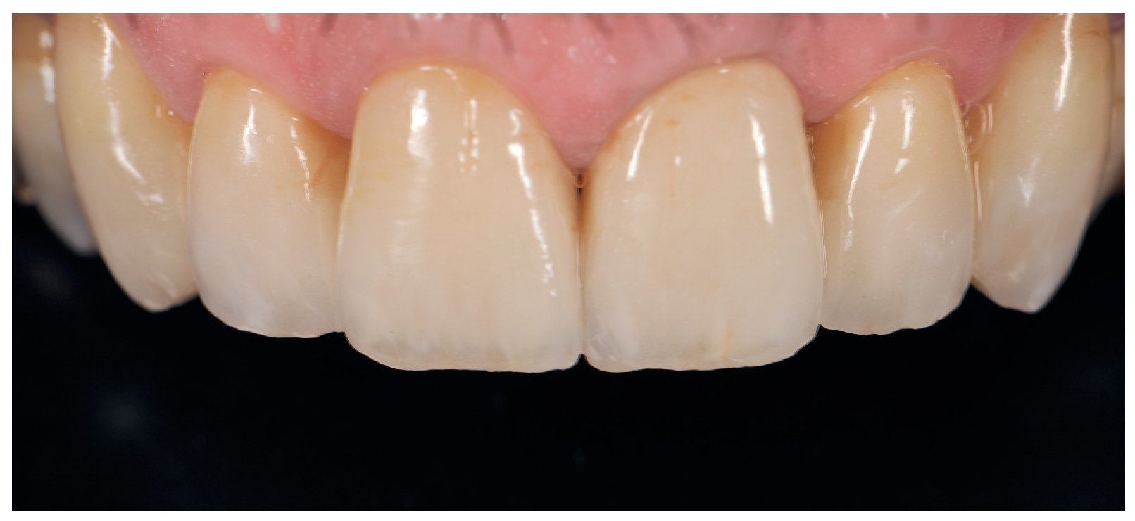
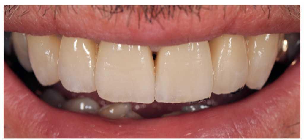
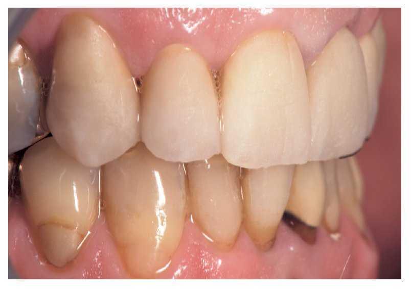
La figura 37 muestra la restauración tres días después de la colocación, fotografiada con fondo negro. Las coronas se integran armoniosamente en el conjunto y las decoloraciones extremas están suavizadas. El efecto hidroxilo de la cerámica de recubrimiento Sakura Interaction se despliega en la interacción con la humedad de la boca. El resultado es una superficie de aspecto muy natural (fig. 38).
Fig. 37. Los nuevos dientes se presentan claros y con carácter. La decoloración ha pasado a un segundo plano.
Fig. 38. Reflejos incisales: sutiles efectos incisales se alternan con una superficie de gran belleza.
Agradecimientos
Quisiera expresar mi agradecimiento y mi respeto a la competencia odontológica del Dr. Jan Laturnus y del centro de fresado ZTM Partner en Düsseldorf, Alemania.
Correspondencia
Hans-Jürgen Joit.
Kaiserstraße 30a, 40479 Düsseldorf, Alemania.
Correo electrónico: info@linie-duesseldorf.de







































