Introducción
Los defectos maxilofaciales pueden ser extraorales o intraorales. Ambos limitan en gran medida la calidad de vida de los pacientes afectados1. Un rostro íntegro desempeña un papel determinante en la toma de contacto interpersonal. Además, hace tiempo que se sabe que las personas situadas cara a cara observan principalmente los ojos y la zona de la boca del interlocutor12. Por otra parte, se necesita un órgano masticatorio funcional no sólo para triturar los alimentos, sino también para la deglución, la percepción de sabores y el habla. Los defectos maxilofaciales pueden ser congénitos o adquiridos. En ocasiones, desde el nacimiento faltan o no se forman completamente porciones maxilofaciales o dientes. A menudo, los accidentes y sobre todo enfermedades malignas en la zona maxilofacial resultan en defectos. Los pacientes con malignomas deben someterse casi siempre a una radioterapia adicional. Así, con frecuencia los pacientes sufren no sólo una pérdida de tejidos acompañada de una limitación a menudo considerable de la función, sino además una alteración sensorial de las mucosas y de las partes blandas circundantes a la zona de operación, que pueden ir acompañadas de una disminución o un incremento de la sensibilidad al dolor.
Debido a la complejidad de las alteraciones existentes o resultantes del primer tratamiento, la reconstrucción requiere una serie de disciplinas especializadas. Entre ellas se cuentan las disciplinas quirúrgicas, los servicios psicosociales, los fisioterapeutas y logopedas, así como en ocasiones también los ortodoncistas y, sobre todo en la fase final, el prostodoncista, quien sin un especialista epitético en caso de defectos extraorales y un protésico dental en caso de defectos intraorales no puede alcanzar ningún resultado. Es necesaria una presentación interdisciplinar entre los cirujanos y el prostodoncista antes de la planificación de la reconstrucción intraoral definitiva. Antes del inicio del tratamiento es preciso informar al paciente sobre todos los riesgos, así como sobre las limitaciones funcionales que puedan persistir tras la reconstrucción.
A continuación, este artículo pretende ocuparse únicamente de las reconstrucciones intraorales y de sus particularidades considerando aspectos protésicos. Cada caso de tratamiento de este tipo presenta sus problemas específicos, los cuales en ocasiones sólo pueden resolverse mediante la creatividad de todo el equipo de tratamiento protésico, el odontólogo, la asistente y el protésico dental, y recurriendo a todos los medios terapéuticos protésicos. En algunas situaciones, el resultado del tratamiento constituye únicamente un compromiso. Existen un par de factores comunes que por lo general dificultan la situación para el éxito del tratamiento.
Caso clínico ejemplar
A partir de un caso clínico característico se describirán los aspectos relevantes protésicamente.
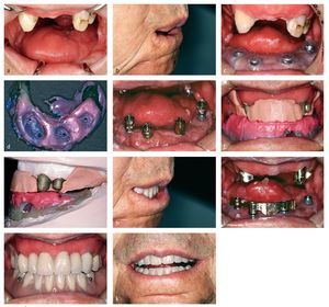
No pocas veces, el prostodoncista ve a los pacientes que se interesan por una posible rehabilitación intraoral en el estado tras la conclusión del tratamiento inicial (fig. 1a). El puenteo del defecto mediante trasplantes óseos y colgajo miocutáneo, realizado simultáneamente a la operación del tumor, con frecuencia termina en la ausencia de cualquier piel fijada en el sentido de una mucosa de la cresta alveolar, así como de un vestíbulo. Generalmente, en esta situación todavía se encuentran in situ las placas de fijación con las cuales se ha fijado el hueso sustitutivo al maxilar inferior remanente. En este punto, a menudo todavía no se ha proporcionado una solución para la lengua, en caso de que aquélla sea factible. Paralelamente existen además las consecuencias de la irradiación, en este caso apreciables claramente en la sequedad de la boca y las lesiones cariosas en los dientes. En una situación así no es posible planificar los implantes con montajes simulados. De ahí que sea preciso considerar compromisos en cuanto a la posición del implante. En casos con dentición antagonista presente pero apertura máxima de la boca limitada, es imprescindible tratar también el maxilar opuesto.
Junto a los problemas del vestíbulo aún ausente y a la movilidad deficiente de la lengua que con seguridad ya no se podrá restablecer mediante solución, en este caso se debe considerar también el cierre incompetente de los labios (fig. 1b). Durante la primera sesión, el prostodoncista tiene la tarea de informar al paciente de que la colocación de una reposición dental no conducirá en ningún caso a un resultado funcional totalmente satisfactorio. Sin embargo, la reposición mejorará probablemente la situación psicosocial.
Sólo tras la puesta al descubierto se puede formar el vestíbulo mediante un injerto (fig. 1c). Durante la operación de puesta al descubierto se coloca al paciente una placa de vendaje que no puede retirar durante aproximadamente los primeros diez días. A continuación, el prostodoncista confecciona una placa removible que se retiene en las supraestructuras de cicatrización o mediante telescópicas, si bien esto último es más costoso. El paciente debe llevar siempre esta placa, a fin de mantener el injerto en su sitio y para evitar que el vestíbulo recién creado se contraiga. A partir de ahora es preciso limpiar cuidadosamente los implantes. El resto del tratamiento protésico no debería tener lugar demasiado pronto, a fin de no arrancar de nuevo el injerto durante la retirada de la toma de impresión de precisión de los implantes.
La técnica de cubeta abierta por arriba es la impresión más precisa en caso de implantes múltiples (fig. 1d). En el modelo de estudio, en el que en estos casos deben ser siempre reconocibles para el protésico los implantes y su inclinación axial aproximada, se confecciona alrededor de los implantes una cubeta abierta por arriba con espacio suficiente para el material de impresión. En caso de que la cubeta en la boca roce con uno de los postes de impresión, será preciso tallarla. En consecuencia, las paredes de la cubeta no deben ser excesivamente delgadas. Con arreglo a la función, se forma mediante material termoplástico la parte dorsal. Antes de tomar la impresión, se cierra con cera de modelado la abertura sobre el poste de impresión, se repone la cubeta y se presiona la cera hasta las cabezas de tornillo de los postes de impresión. Esto facilita posteriormente la localización de los postes de impresión.
En caso de que la apertura máxima de la boca o la dentición antagonista no admita la longitud completa de los postes de impresión, es posible acortarlos individualmente (fig. 1e). Sin embargo, es preciso tallar un número suficiente de zonas retentivas, para que los postes no se salgan inadvertidamente del material de impresión al retirar la impresión.
Antes de confeccionar una mesoestructura sobre los implantes, debe tener lugar obligatoriamente una prueba en cera tras una determinación de la relación maxilar y una transferencia con arco facial (fig. 1f). Es posible facilitarle al protésico la confección de las plantillas si ya durante la toma de impresión se ha tomado una relación provisional mediante una masilla de silicona sencilla, dado que la relación posicional entre los maxilares superior e inferior rara vez es normal. Preferentemente, se aplica la silicona como soporte sobre una horquilla de mordida de un arco facial, el cual puede ya crearse en esta sesión. Como plantilla de mordida en el maxilar superior está indicada una llave de resina, a fin de llevar a cabo con ella nuevamente al mismo tiempo una transferencia con arco facial más precisa. En cambio, en el maxilar inferior se utiliza una llave realizada en una cera dura de toma de mordida. A fin de definir el asiento, se ancla esta plantilla a los implantes mediante postes de impresión acortados. A este respecto debe tenerse en cuenta, desde el punto de vista protésico, que el odontólogo pueda observar desde vestibular si los postes de impresión están correctamente posicionados en el implante. A menudo es preciso llevar a cabo, tanto en el maxilar superior como en el inferior, correcciones para la configuración de las partes blandas. Esto puede tener lugar mediante reducción de las plantillas o aplicando cera de modelado. Si el prostodoncista ha logrado en el paciente un apoyo adecuado del perfil de los labios, el protésico puede adoptar la situación mediante una llave de silicona. En tales casos tampoco deberían faltar las líneas auxiliares, dado que también aquí pueden haberse creado diferencias considerables con respecto a una situación normal debido a los tratamientos previos. En caso de tumores extendidos en el maxilar inferior, con no poca frecuencia resulta una relación intermaxilar fuertemente alterada (fig. 1g). Debido a la apertura máxima limitada de la boca, al cierre incompetente de los labios y a la movilidad deficiente de la lengua, en este caso debe ajustarse una altura de mordida baja. La relación posicional con espacio disponible reducido debido a las retracciones cicatriciales, ya de por sí alterada por la operación, se ve dificultada adicionalmente para el protésico dental por el establecimiento de una vertical baja.
Fig. 1a. Ésta es una situación típica al concluir el tratamiento en caso de malignomas extendidos. b Llama la atención aquí la piel que ha adquirido una apariencia como de cuero debido a la radioterapia, así como la ausencia de crecimiento de barba en la zona de irradiación. c Las placas de vendaje para mantener la vestibuloplastia alcanzada pueden confeccionarse en resina protésica transparente. d Siempre que sea posible, debería tomarse la impresión de los implantes siempre utilizando la técnica de cubeta abierta por arriba. e La individualización de los postes de impresión debería tener lugar ya en la técnica. f Gracias a la entalladura bucal en la plantilla de mordida inferior se tiene la posibilidad de observar si la plantilla también está bien anclada en el implante. g Los desplazamientos intermaxilares tridimensionales no son infrecuentes tras la extirpación de un tumor extendido. h El paciente enseña demasiado los dientes inferiores y ya no puede cerrar los labios. En consecuencia, es preciso corregir el montaje en cera. i Pese al escaso espacio disponible, la barra posee la altura suficiente para retener correctamente la prótesis dental. En casos de apertura reducida de la boca y escasa movilidad de la lengua, es preferible prescindir de cerrojos y utilizar en su lugar espigas de fricción. j Con frecuencia, en caso de escasez del espacio disponible sólo se pueden montar dientes hasta los premolares. k Pese a las condiciones difíciles se ha alcanzado un resultado por lo menos estéticamente satisfactorio (prótesis: protésico dental Rolf Bachmann).
El primer montaje en cera muestra claramente que el cierre incompetente de los labios será uno de los principales problemas de esta restauración (fig. 1h). Pese a que el protésico dental ya ha situado a partir de la relación maxilar el frente inferior muy hacia dentro, pero aun así lo suficientemente por anterior como para permitirse un cierto margen de maniobra para la confección de una barra fresada con racor, los dientes se encuentran todavía demasiado hacia anterior. En casos limitados de esta manera, es preferible evitar las medias tintas y esperar hasta que se haya alcanzado una prueba de cera en boca que represente el resultado funcional estético en la situación individual. Sólo con la ayuda de la prueba de cera en boca optimizada, el protésico dental puede alcanzar el posicionamiento óptimo de la mesoestructura. Por una parte, debe tener cuidado de no perturbar con la construcción las partes blandas comprometidas, y por otra parte debería aprovechar de forma óptima en altura y en la sagital el espacio para una estabilización suficiente de la prótesis dental removible. En este caso se pone de manifiesto que el implante distal en el lado izquierdo no puede hacerse aprovechable, precisamente debido a la insuficiencia de espacio vertical (fig. 1i). Se utiliza exclusivamente para el apoyo, pero no para la retención de la prótesis dental. En caso de una abertura de la boca considerablemente estrechada, deberá renunciarse a un cerrojo. Debido al cierre de los labios comprometido, debería renunciarse a cualquier base también en el maxilar superior (fig. 1j). Al observar detenidamente la reducida separación de los dientes en el frente inferior, así como el opáquer prácticamente translúcido y el racor metálico, es fácil adivinar que el protésico dental debe manejar el espacio de forma óptima en tales casos.
La situación final desde delante muestra que el paciente continuará teniendo previsiblemente problemas con el cierre de los labios (fig. 1k).
Sistemática de defectos maxilofaciales
Hipodoncia congénita
Las hipodoncias congénitas, las cuales pueden aparecer con y sin otros síntomas concomitantes generales, a menudo suelen caracterizarse además por persistencia de la dentición temporal o una forma del diente reducida. En paralelo existen malformaciones de la sustancia dental dura, tanto de la dentina como del esmalte. Pese a las persistentes limitaciones de las tecnologías adhesivas en dientes de leche, así como a las malformaciones de la sustancia dental dura, cada vez con más frecuencia se intenta, siempre y cuando todavía estén presentes suficientes dientes, el uso de prótesis dentales fijas de cerámica sin metal5. Antes del inicio del tratamiento debería llevarse siempre a cabo en el laboratorio dental un encerado que también puede servir para informar al paciente. Sólo con ayuda de un encerado es posible una preparación suficiente, a fin de lograr el resultado funcional y estético más óptimo posible para la mayoría de los pacientes jóvenes (figs. 2a a 3d). El encerado sirve además para la confección de prótesis provisionales tras la preparación.
Fig. 2a. La figura muestra a una paciente de 20 años con hipodoncia congénita en el estado tras un tratamiento previo ortodóncico de varios años, así como aumento óseo vertical y horizontal en las secciones edéntulas del maxilar, antes del inicio del tratamiento protésico con ligera elevación de la mordida. Los puntos de paso de los implantes ponen de manifiesto que el aumento óseo vertical no ha alcanzado el resultado deseado. b Durante el control anual tras el tratamiento protésico mediante supraestructuras de cerámica de silicatos y carillas fijadas adhesivamente en los dientes naturales, así como coronas metalocerámicas en los implantes, la restauración de cerámica sin metal arroja un buen resultado estético. Fue preciso acortar estéticamente la longitud de las coronas de implante en el maxilar superior mediante la cocción de cerámica de color rosa. c Pese a la sonrisa cervical de la paciente, puede considerarse el resultado como suficientemente satisfactorio (prótesis dental: Rolf Bachmann).
Fig. 3a. Esta paciente de 17 años padece una hipodoncia, persistencia de la dentición temporal en ambos caninos superiores, así como una forma generalmente reducida de todos los dientes permanentes. Esto da lugar a una relación maxilar vertical demasiado baja y a un leve subdesarrollo del tercio medio del rostro, lo cual requiere una considerable elevación de la mordida. b La imagen lateral muestra claramente que el labio superior no está bien apoyado debido a los dientes reducidos y a las agenesias. Las modificaciones de la posición mediante ortodoncia no pudieron solucionarlo. c En el frente superior se ha colocado un puente anterior continuo desde el diente 53 hasta el 63. En la zona de los dientes posteriores fue preciso confeccionar coronas parciales para la elevación de la mordida en los maxilares superior e inferior, y carillas en el frente inferior. Por motivos de estabilidad se utilizaron estructuras de cerámica de disilicato de litio comprimidas, completamente recubiertas en el frente superior, recubiertas sólo por incisal en las carillas y únicamente pintadas en la zona de los dientes posteriores. Toda la reposición dental está fijada adhesivamente (prótesis: protésico dental Rolf Bachmann). d Con la prótesis dental colocada mejoran el perfil de los labios y la altura del tercio inferior del rostro. Debido a los años de disfunción y a la tendencia a la parafunción, es recomendable colocar una férula de descarga o un aparato de retención ortodóncico en el maxilar en el que puedan aparecer antes migraciones dentales. En caso de que desempeñen un papel las disfunciones de la lengua, son necesarios ejercicios logopédicos a continuación de la rehabilitación intraoral.
Sin embargo, en caso de que falten demasiados dientes, las restauraciones protésicas implantológicas constituyen el medio de elección. Dado que, en caso de hipodoncia congénita, no se forman los procesos alveolares, el hueso disponible reducido requiere habitualmente un aumento de las áreas a implantar. Si bien a menudo resulta posible una buena reconstrucción de la cresta alveolar en anchura, la reconstrucción vertical presenta grandes dificultades y en ocasiones sólo se consigue un compromiso (figs. 2a a 2c y 4a a 4d).
Fig. 4a. Esta paciente de 25 años con agenesias desde el 34 hasta el 47 fue tratada con siete implantes en un segundo paso tras un aumento transversal con cresta iliaca libre. Pese a la plantilla de taladrado, en ocasiones un espacio disponible reducido obliga a insertar los implantes en una posición no ideal protésicamente. b Durante la prueba de cera en boca antes de la confección de la estructura para un puente fijo puede apreciarse claramente que la paciente mostrará las papilas en el maxilar inferior. Por lo tanto, será preciso simular éstas mediante cerámica rosa. c Mediante electroerosión por chispas se libera de tensiones el puente sobre un modelo especialmente confeccionado. Previamente tuvo lugar un nuevo registro de los implantes en boca mediante fijación de los postes de impresión y utilizando un poco de material autopolimerizable contraíble después de la cocción de la cerámica sobre los pilares originales. d Se coloca el puente con cemento provisional. Si los implantes no se encontraran en cierta medida bajo los dientes a reponer, peligraría la colocación de un puente fijo. Sin embargo, la imagen muestra de nuevo claramente que es muy difícil alcanzar quirúrgicamente un restablecimiento óptimo de una línea de recorrido papilar natural (prótesis: protésico dental Rolf Bachmann).
Defectos maxilofaciales adquiridos
Desde el punto de vista protésico, en los defectos maxilofaciales es determinante el hecho de que los tejidos de sostén, además de los problemas con los dientes para una restauración dental, a menudo están comprometidos por defectos en el hueso, retracciones cicatriciales, colgajos de piel trasplantados y radiación.
Defectos. En el maxilar inferior son los defectos en la zona del suelo de la boca, los cuales limitan la movilidad de la lengua, los más restrictivos funcionalmente para el paciente. La lengua es necesaria para transportar el bolo alimenticio alrededor de las arcadas dentarias y en última instancia para deglutir los alimentos triturados. Es conveniente informar a los pacientes de que, si bien la colocación de la prótesis dental puede mejorar la trituración de los alimentos, no mejora el transporte de los alimentos ni la capacidad de deglución. Antes al contrario, los pacientes edéntulos que inician su proceso de deglución llevando el maxilar inferior con la lengua inmóvil totalmente hasta el maxilar superior podrían verse más bien entorpecidos por la prótesis dental colocada. Además, una movilidad alterada de la lengua limita el habla, de modo que estos pacientes se expresan a menudo de forma poco inteligible. Sin embargo, en ocasiones el habla mejora tras la colocación de una prótesis dental. Por regla general, no puede tener lugar una planificación con montaje simulado antes de la implantación, a fin de optimizar protésicamente la posición del implante (fig. 1a).
De ello resultan con frecuencia situaciones difícilmente resolubles por el protésico dental. Para la restauración protésica del maxilar inferior, a menudo es preferible a una prótesis fija una prótesis apoyada sobre coronas dobles o, en el caso de implantes, sobre barras fresadas, dado que mediante estas construcciones puede compensarse mejor que con una prótesis fija la relación intermaxilar con frecuencia fuertemente alterada (figs. 5a a 6c y comparar figs. 1a a 1k). Sólo cuando faltan por completo tejidos de sostén para la base de una prótesis dental removible se debe recurrir a una prótesis fija (figs. 7a a 7c). En situaciones de extremo libre, cuando fue posible posicionar bien los implantes, se prefiere la prótesis fija a la removible (figs. 4a a 4d).
Fig. 5a. En casos en los que los tumores se hallaban exclusivamente en el tejido blando, como aquí en la zona anterior izquierda del suelo de la boca, y el defecto ha sido bien cubierto por un colgajo del antebrazo, es previsible que el paciente se beneficie en mayor medida de la rehabilitación intraoral. b En una situación así, debido a la dificultad de someter correctamente a carga las porciones de la cresta alveolar en la zona de operación, es aconsejable optar por una construcción de barra apoyada sobre cuatro implantes interforaminales, a fin de dirigir la carga únicamente sobre los implantes. El crecimiento de vello en el colgajo del antebrazo puede suprimirse a largo plazo mediante terapia láser. c Sólo mediante el recubrimiento quirúrgico del defecto mediante un colgajo de piel durante la resección del tumor fue posible conservar la movilidad de la lengua. Sin embargo, ésta es algo limitada. En consecuencia, el prostodoncista debería, también en este caso, establecer una altura de mordida algo reducida (prótesis: maestro en protésis dental Jochen Diehl).
Fig. 6a. Este paciente de 40 años perdió gradualmente la mayor parte de su maxilar inferior. La zona ósea de los dientes posteriores ha sido reconstruida mediante un trasplante fibular, a la izquierda en la rama ascendente. Sólo por anterior queda una pequeña parte del hueso original del maxilar inferior. En la zona de los dientes posteriores, el paciente recibió tres implantes tanto a la derecha como a la izquierda, y dos en el frente. La radiografía muestra la construcción protésica implantológica con dos barras fresadas separadas entre sí. La separación distal del 42 fue necesaria porque, pese a la placa de reconstrucción, el maxilar inferior se torcía fuertemente al abrir y cerrar. Se aprecia claramente la diferencia en la altura de la barra. b Clínicamente, la diferencia de altura es aún más llamativa. A la derecha existe un espacio normal para la arcada dentaria superior, a la izquierda un espacio excesivo. Además se puede adivinar que el punto de paso del último implante izquierdo se sitúa en el carrillo, y que los dos implantes delante de éste se sitúan bajo el suelo de la boca. Así mismo, se observan placas pronunciadas en los implantes. A menudo, esto es atribuible al hecho de que la mucosa alrededor de los implantes duele mucho al contacto, y por lo tanto inicialmente los pacientes no limpian lo suficiente. c El objetivo es establecer mediante la mesoestructura una igualación de la altura con respecto al plano oclusal, así como, en las zonas en las que los implantes obstaculizan potencialmente la movilidad del carrillo o de la lengua, configurar la base de la barra de forma similar a un puente, dado que la prótesis removible no debería presentar aquí ningún contacto con la mucosa. La porción removible se cierra en un resalte modelado en la barra. El asiento sin tensiones se logró mediante la electroerosión por chispas9. Debido a las dimensiones desfavorables de la barra y a su envergadura, la utilización de una aleación sin metales nobles es ventajosa en virtud de su mayor rigidez a la torsión. d La barra colocada en boca no entorpece el movimiento del carrillo ni estorba al suelo de la boca. En el lado izquierdo, las superficies redondeadas se ciñen a la mucosa oral. Los orificios de los tornillos, los cuales están cerrados con resina, intensifican este efecto sobre todo en la parte posterior izquierda. La aleación sin metales nobles posee clínicamente la ventaja de que presenta una mejor acumulación de placa y es fácil de limpiar. e Es evidente que, a la izquierda, la prótesis removible no entra en contacto con la mucosa por basal. Así mismo, la sobreestructura no debe solapar el último implante por la izquierda. De lo contrario, el paciente probablemente se pillaría el carrillo cada vez que se colocara la prótesis. En consecuencia, es preciso asegurarse de que todo esté redondeado. En el siguiente paso se debe tratar el maxilar superior (prótesis: maestro en prótesis dental Kai Popall).
Fig. 7a. Este paciente de 62 años se cuenta entre los pacientes más satisfechos con la reconstrucción intraoral. Como consecuencia de un carcinoma intraoral, había perdido casi por completo la rama horizontal del maxilar inferior y la totalidad del suelo de la boca con lengua, y había sido objeto de una reconstrucción mediante trasplante fibular. Debido a la radioterapia, la cavidad oral estaba seca, lo cual dificultaba la colocación de una prótesis completa convencional en el maxilar superior edéntulo. b Dado que no existían ni suelo de la boca, ni lengua ni un vestíbulo suficiente, el paciente recibió un puente fijo con una base abrillantada intensamente y configurada de forma absolutamente redonda. Aquí se observa la base de la lengua, la cual está desplazada hacia delante y ya no puede hacer contacto con la pared posterior de la faringe. Detrás a la derecha se pueden apreciar los arcos palatofaríngeos, y en la parte posterior de la figura se observa el agujero oscuro de la faringe. c En el maxilar superior, el paciente llevaba una prótesis dental removible sobre una barra fresada con cuatro implantes. Se adivina la altura de mordida rebajada. Pese a que originalmente el paciente deglutía llevando todo el maxilar inferior hasta el maxilar superior y ya no podía hacer esto con la prótesis dental colocada, se las apaña bien (prótesis: protésico dental Rolf Bachmann).
Desde la perspectiva protésico-funcional, en el maxilar superior desempeñan un papel sobre todo las conexiones con los senos maxilar o nasal, así como la ausencia de cierre con el paladar blando en la pared posterior de la faringe. Los pacientes afectados de esta manera no pueden comer y beber sin la prótesis sin que los alimentos se salgan por la nariz, ni tragar. Es imposible o difícil entender su habla, dado que la cavidad de resonancia ha sido completamente alterada (figs. 8a a 8d). El objetivo de la rehabilitación protésica consiste entonces en sellar estos espacios de la forma más hermética posible. Debe considerarse que con prótesis provisionales, gracias a la elasticidad de los ganchos doblados, que permite insertar las partes del obturador en una zona retentiva, así como al utilizarse además siliconas obturadoras que permanecen blandas, puede alcanzarse una mejor hermetización que mediante una prótesis dental combinada sin silicona que permanece blanda anclada rígidamente a la dentición remanente mediante, por ejemplo, telescópicas. El rápido envejecimiento de la silicona que permanece blanda, así como su superficie menos higiénica en comparación con las resinas de prótesis lisas, son inconvenientes de sobras conocidos y requieren una sustitución o renovación periódica, como mínimo anual, del obturador (fig. 8c). En caso de llevarse durante mucho tiempo prótesis provisionales, el apoyo vertical deficiente puede conducir a que la arcada dentaria opuesta al defecto utilizada para el anclaje sea desplazada ortodóncicamente hacia fuera o a que el maxilar inferior se incline hacia el lado del defecto y se produzcan alteraciones de la oclusión (fig. 9a). Si el defecto presenta una ubicación central y está rodeado de dientes naturales por ambos lados, puede ser suficiente una prótesis esquelética. Sin embargo, si el defecto es sólo unilateral y extendido, se antoja preferible un alojamiento rígido, por ejemplo mediante coronas dobles (figs. 9a a 9d). En caso de dentición remanente fuertemente reducida o edentación, debería considerarse siempre una solución protésica implantológica (figs. 10a a 10m). Aunque previamente se haya cerrado el defecto con un colgajo de piel o mediante cirugía ósea, a menudo es preciso recurrir a implantes para el anclaje de una prótesis dental (figs. 11a a 12h). En nuestra experiencia, la barra fresada como mesoestructura se ha acreditado como la construcción protésica más estable y como la más flexible en el marco de las condiciones de espacio inusuales.
Fig. 8a. En esta paciente de 79 años, se extirpó el carcinoma adenocístico en el paladar de forma tan radical que quedó únicamente el proceso alveolar del maxilar superior. Faltan por completo el paladar duro y blando. Además, la paciente fue sometida a radioterapia. Aquí se puede ver la pared posterior de la faringe, así como los senos nasales y maxilares. b Debido a la edad de la paciente, así como a la prótesis dental que había utilizado durante años, se planificó remodelar la prótesis completa superior existente. Para ello, utilizando una cubeta individual con férula oclusal de cera dura para toma de mordida, se dio forma al margen funcional con un material termoplástico y se tomó la impresión del defecto con una silicona A muy resistente a la tracción adecuada para la epitética. Al mismo tiempo fue preciso determinar la relación maxilar. c En el laboratorio protésico se pudo articular la impresión con la relación maxilar frente a la antigua prótesis completa inferior, y a continuación se separó la corona dental de la antigua prótesis completa superior y se fijó a la nueva base, la cual ha sido rebasada en la parte de obturador con una silicona que permanece blanda. La silicona que permanece blanda en la parte de obturador era necesaria, dado que sólo era posible una retención limitada mediante el aprovechamiento de zonas retentivas hacia el interior del defecto y de este modo pudo lograrse así mismo el cierre con la pared faríngea. d Sin crema adhesiva, la retención de la prótesis obturadora en el maxilar superior no tiene ninguna posibilidad (prótesis: protésico dental Dennis Wahl).
Fig. 9a. Esta paciente de 59 años perdió el paladar duro y blando derecho a causa de un carcinoma adenocístico. Había sido sometida a radioterapia varias veces desde los años setenta. La mucositis en el maxilar superior como consecuencia de las irradiaciones se aprecia claramente por el enrojecimiento. Paralelamente, la irradiación había conducido a una abertura de la boca muy limitada, de modo que la paciente llevaba un obturador separado de la prótesis provisional, el cual se posicionaba mediante una cruz en la base de la prótesis provisional orientada al defecto. Debido al uso durante años de la prótesis provisional con un apoyo vertical deficiente del obturador, se ha producido un desplazamiento ortodóncico de la arcada dentaria en el lado contrario hacia fuera o un giro del maxilar inferior en su conjunto hacia el lado del defecto, con lo cual se entorpece la oclusión en el lado izquierdo. b Para mejorar el anclaje y para proteger los dientes dañados por lesiones cariosas, se confecciona una prótesis telescópica en los dientes anteriores. En la toma de impresión de fijación se debe reproducir la posición exacta del obturador separado. c Sobre el modelo, la prótesis telescópica terminada con parte de obturador rebasable. El diente 27 con una corona antigua fue incorporado al anclaje mediante un gancho. No fue preparado, dado que esto era imposible debido a la reducida abertura de la boca. d Prótesis telescópica colocada en boca con oclusión mejorada, así como aseguramiento de la posición en la dentición remanente con apoyo vertical seguro en la zona del defecto. Es imprescindible cerciorarse de que todos los pilares telescópicos posean un contacto estático. Bajo ningún concepto debe existir un contacto excesivo en los dientes de reposición sobre el obturador. Con la colocación de la reposición dental, los pacientes que hayan sido sometidos a radioterapia deberían recibir para la higiene oral doméstica una férula de fluorización sobre las telescópicas (prótesis: protésico dental Rolf Bachmann).
Fig. 10a. En este trágico caso se trata de un joven de 19 años durante el primer tratamiento por implantes para la restauración del maxilar superior. Debido a múltiples tumores de células gigantes asociados a un síndrome de Noonan, el paciente ya había tenido que someterse a varias operaciones no sólo en la zona maxilofacial. En el hueso del maxilar inferior se aprecian claramente múltiples granulomas adicionales. En un primer paso, el paciente recibió dos implantes en los restos del hueso cigomático todavía presentes (a la derecha, el segundo implante desde detrás y a la izquierda el último implante) y sobre éstos una barra fresada de una aleación sin metales nobles como prótesis inmediata demorada, para anclar sobre ésta a modo de transición una prótesis del maxilar superior. Debido a los constantes aflojamientos de los tornillos, se insertaron implantes adicionales en los restantes huesos faciales. Aquí se muestra la radiografía tras la segunda reposición. b Se aprecian desde abajo los cornetes nasales. En la parte superior delantera en el labio se adivina la inflamación postoperatoria. A la izquierda se observa el implante que penetra en la cavidad oral, con el casquillo distanciador colocado ya durante la inserción. Dado que estaba planificada, en la medida de lo posible, una reposición inmediata del maxilar superior, se desconocía por completo la situación postoperatoria de las partes blancas así como la sensibilidad al dolor del paciente, se insertó el sistema de implante con el elemento supraestructural más largo disponible de 10 mm, a fin de puentear la mucosa, aunque estaba claro que en este sistema el hexágono exterior y los tornillos de fijación cortos podrían ser problemáticos. c Al cabo de aproximadamente 1 año, dado que los tornillos de fijación se soltaban continuamente pese a asegurar con resina las cabezas de los tornillos, se procedió a una planificación asistida por ordenador tras una tomografía computerizada, más en busca del hueso todavía posible que de la mejor ubicación para la reposición protésica. d La figura muestra, en comparación con la figura 10b, que las condiciones de las partes blandas son claramente más estables y se ha mejorado la abertura de la boca. Así mismo, el paciente presentaba una sensibilidad al dolor considerablemente menor y toleraba también, bajo anestesia local, la localización constante de los implantes mediante bisturí eléctrico y punzón a través del recubrimiento de mucosa de hasta 1 cm de grosor en algunas zonas. La inclinación de los implantes unos hacia otros muestra que sin una cubeta partida no será posible la impresión. e Se confeccionó una cubeta en tres partes sobre una impresión de situación confeccionada con un alginato sólido. Para ello, tal como se aprecia en el implante en la parte inferior izquierda de la imagen, el protésico dental primero fijó en el modelo con cera postes de impresión en la inclinación axial aproximada. Las partes individuales de la cubeta pueden atornillarse entre sí mediante análogos de laboratorio y cofias de impresión de un sistema de implante. La cubeta izquierda (a la derecha en la imagen) es la más baja, y a continuación sigue la segunda delantera izquierda (arriba a la derecha en la imagen). El posicionamiento de esta cubeta fue guiado mediante un «conector» adicional en resina en la primera cubeta. Nuevamente, la última parte de la cubeta sólo pudo asegurarse mediante atornillamiento.
Fig. 10f. Dado que en este caso no existía ningún tipo de apoyo en la mucosa, resultó difícil el posicionamiento sobre todo de la última porción de la cubeta. Los postes de impresión han sido fijados al borde de la cubeta únicamente mediante un material autopolimerizable de escasa contracción y fraguado rápido. En el proceso fue preciso procurar, en la segunda cubeta, no unir entre sí con el material autopolimerizable la primera y segunda porciones de la cubeta, puesto que no podía retirarse la cubeta en una pieza. g Los análogos de laboratorio atornillados de las tres cubetas de impresión unidas de nuevo fuera de la boca ilustran de nuevo la divergencia de las posiciones de implante. En este caso no era posible ni necesaria la toma de impresión de las partes blandas mediante material de impresión. h Para simplificar el proceso, la relación maxilar se ha realizado con la antigua prótesis. Para ello fue necesario desatornillar la barra de los dos primeros implantes anclados en los huesos cigomáticos y atornillarla en la nueva impresión. Posteriormente fue posible articular con la antigua prótesis el maxilar superior con transferencia del arco facial y a continuación el maxilar inferior con la llave de silicona. i Los análogos de laboratorio de la impresión definitiva han sido anclados en un modelo de yeso que había sido revestido con una silicona A dura en la zona del defecto. Como mesoestructura se confeccionó una barra fresada en tres partes. Las partes individuales han sido unidas firmemente entre sí mediante conectores no atornillados con tope. Dado que en la parte delantera izquierda (arriba a la derecha en la imagen) era preciso individualizar la supraestructura y el elemento supraestructural proporcionado por el fabricante sólo es de aleación de oro sobrecolable, esta parte es de alto contenido en oro. En esta zona no actúan fuerzas mecánicas elevadas. Por lo tanto, esto tampoco es relevante. Sin embargo, fue imprescindible confeccionar en una aleación sin metales nobles resistente a la torsión las barras largas, que unen entre sí las mitades derecha e izquierda transversalmente a través del defecto. En la parte derecha larga con las dos barras propiamente dichas (a la izquierda en la imagen), se observan alojamientos para espigas de fricción, los cuales posibilitan la retención de la restauración del maxilar superior. j Barra atornillada en el viscerocráneo. Las cabezas de los tornillos se han sellado con una masa de sellado provisional blanda y a continuación con resina de obturación. k La imagen muestra que mediante la restauración se ha restaurado algo más que simplemente arcadas dentarias. La parte delantera llega hasta debajo de la nariz y apoya todo el tercio medio del rostro. La sobreestructura está incorporada en la restauración desde basal. Se aprecian claramente las espigas de fricción. l Durante el montaje de los dientes se procuró que los contactos principales estáticos fueran apoyados por las barras. Se instruyó al paciente para que evitara en lo posible morder con los dientes anteriores. Con la restauración, el habla del paciente es fácilmente inteligible. Sin embargo, la restauración no puede ser completamente hermética, de modo que el paciente tiene que aprender a comer y beber sin que se produzca demasiada salida de líquido por la nariz. m La restauración apoya en la medida suficiente el labio superior y el tercio medio del rostro, sin que el defecto resulte visible inmediatamente (prótesis: protésico dental Rolf Bachmann).
Fig. 11a. A la paciente de 54 años que también padecía de un carcinoma adenocístico hubo que extirparle por completo el paladar duro en el lado derecho. Después de cubrir microquirúrgicamente el defecto con un trasplante de cresta iliaca y colgajos miocutáneos, se planificó una restauración implantológica mediante un implante de hueso cigomático en el lado izquierdo que está anclado tanto en el hueso del maxilar superior como en el hueso cigomático, dado que la altura del hueso remanente en el lado izquierdo no era suficiente. b La posición de los implantes requiere una mesoestructura flexible, de modo que en casos de este tipo casi siempre está indicada una barra fresada. Ésta proporciona el mejor aseguramiento posible de la posición de la restauración dental. Siempre que sea posible, también se puede asegurar la prótesis dental removible mediante un cerrojo además de con las espigas de fricción. c Debido a la abertura limitada de la boca y a la dentición antagonista fija, la paciente no puede manipular un cerrojo en el lado derecho, donde la reposición dental llega muy hasta dorsal debido a la posición palatina de los implantes. En consecuencia, está incorporado únicamente en el lado izquierdo. d El recorrido desigual del protector de resina bucal, así como el plano oclusal de recorrido algo desigual en el maxilar inferior, ponen de manifiesto que, sin una transferencia con arco facial y trazado de las líneas auxiliares en las plantillas de mordida, el protésico dental no puede hacerse una idea de la orientación. Se observa, así mismo, que todas las porciones de resina que en la parte derecha entran en contacto con las cicatrices de la operación deberían redondearse por completo y abrillantarse intensamente, a fin de evitar cualquier irritación (prótesis: protésico dental Rolf Bachmann).
Fig. 12a. Este paciente de 62 años ya fue operado en los años setenta debido a un carcinoma adenocístico y había perdido el paladar duro con el proceso alveolar izquierdo hasta la altura del canino, así como la totalidad del paladar blando. Llevó durante años una prótesis con obturador, la cual estaba apoyada en los dientes remanentes naturales a la derecha. Después de que hubo perdido en gran parte estos dientes, se intentó inicialmente cerrar el defecto mediante un colgajo de piel. A fin de mejorar el habla, se cosió este colgajo a la pared faríngea. El paciente se presentó en nuestra clínica en este estado con la petición de una reposición dental. b Dado que se consideró demasiado arriesgada una reconstrucción ósea microquirúrgica, después de un análisis asistido por ordenador con ayuda de una plantilla de implantación apoyada en hueso confeccionada sobre un modelo de estereolitografía se colocaron dos implantes intraorales en el hueso cigomático. Al mismo tiempo se insertaron implantes adicionales en el hueso remanente in situ. c Desde el punto de vista protésico, estaba previsto colocar sobre cada uno de los implantes dos barras fresadas y sobre los dientes naturales coronas telescópicas y sobre éstas una prótesis dental removible. Desde delante se aprecia claramente la diferencia de altura entre el maxilar superior remanente en el lado derecho y los implantes escondidos muy arriba en el hueso cigomático izquierdo. d Tras la preparación y la impresión de los dientes naturales para las coronas telescópicas se procedió a la toma de impresión junto con los implantes mediante una cubeta abierta por arriba. Dado que la inclinación de los implantes convergía de forma extrema, para la toma de impresión fue preciso utilizar una cubeta partida. Ambas mitades de la cubeta tuvieron que ser atornilladas entre sí en la boca durante la toma de impresión. Esto se llevó a cabo con ayuda de análogos de laboratorio de un sistema de implante, los cuales habían sido fijados en la primera porción de la cubeta (a la derecha en la imagen), y de postes de impresión que habían sido incorporados en la parte superior de la cubeta (a la izquierda en la imagen). e Impresión in situ: En primer lugar, mediante la cubeta inferior, se tomó la impresión de los dos implantes de hueso cigomático, los cuales, como se aprecia por los tornillos largos, estaban fuertemente inclinados hacia oral. En un segundo paso se procedió entonces a la impresión de los restantes implantes junto con las dos coronas telescópicas. Inmediatamente después del posicionamiento de la cubeta en boca fue preciso atornillar las dos partes de la cubeta por medio de los dos postes de impresión de implante. Sólo de este modo pudo garantizarse que tras la retirada sería posible volver a unir limpiamente entre sí ambas impresiones separadas. f A derecha e izquierda se han colocado barras fresadas sobre los implantes y telescópicas sobre los dientes naturales. La barra izquierda está acodada a la altura del diente 26 y discurre hacia arriba hacia los implantes en el hueso cigomático. g La reposición dental removible colocada termina en el lado izquierdo a la altura del acodamiento de la barra. La prótesis deja totalmente intacto por dorsal el colgajo de piel móvil como un trampolín. h Arriba a la izquierda, por encima del protector bucal a la altura del diente 26, se aprecia ligeramente la barra que discurre hacia arriba a la izquierda hacia los implantes de hueso cigomático (prótesis: protésico dental Rolf Bachmann).
En caso de que los labios estén afectados por pérdidas de tejido, en ocasiones resulta de ello un cierre insuficiente de los labios (fig. 1b). Estos pacientes no pueden comer sin que los alimentos se derramen por la barbilla ni hablar correctamente, dado que también para ello es necesario un cierre competente de los labios. Durante la planificación de la reposición dental debe tenerse siempre en cuenta que, por ejemplo, en un paciente desdentado o parcialmente desdentado, sin una prótesis dental todavía pueden cerrarse los labios, pero esto puede verse obstaculizado por una prótesis dental. Es preciso informar al paciente a este respecto.
Irradiación. Si los pacientes han sido además irradiados debido a malignomas, surgen problemas adicionales que deben ser tenidos en cuenta desde el punto de vista protésico.
Los dientes sufren daños, pese a todas las mejoras en la radioterapia. Sobre todo la dentina experimenta alteraciones que la hacen más blanda y susceptible a la caries6. Además, las glándulas salivales situadas en el campo de irradiación degeneran, de modo que ya no es posible no sólo la acción limpiadora de la saliva, sino tampoco la remineralización de la sustancia dental dura, que normalmente tiene lugar de forma constante4.
Pese a la colocación de coronas como protección contra la caries, los dientes irradiados se pierden más rápidamente que los no irradiados. De ahí que durante la planificación debería ponderarse siempre la conveniencia de una prótesis dental convencional frente a la de una implantosoportada. Si en el paciente irradiado se ha anclado una reposición dental sobre dientes naturales, este paciente requiere obligatoriamente tras la conclusión del tratamiento una férula de fluorización para la higiene oral doméstica.
La degeneración de las glándulas salivales por la radioterapia conduce a grados de sequedad de la boca bastante variables de un individuo a otro. Esta sequedad puede llegar hasta tal punto que al paciente afectado le duela simplemente el respirar. Los materiales de reposición dental pueden envejecer más rápidamente en un medio así. En consecuencia, las porciones de base deben ser repasadas o incluso renovadas ocasionalmente. Durante la radioterapia, pero también a largo plazo, se puede observar una mucositis, identificable clínicamente por un enrojecimiento y una ligera tendencia a la hemorragia y vulnerabilidad (figs. 1a, 7b, 7c, 8a y 9a). En no pocas ocasiones, la mucosa irradiada es hipersensible o los pacientes sufren trastornos sensoriales. Desde la perspectiva protésica, esto tiene como consecuencia que las porciones edéntulas de la cresta alveolar a menudo sólo pueden servir en una medida muy limitada como apoyo de la prótesis dental mucosoportada. Así pues, durante la planificación se debería intentar cargar poco la mucosa por medio de un alojamiento lo más rígido posible, normalmente telescópicas o barras fresadas. En cualquier caso, a fin de descargar rápidamente los puntos de presión como puertas de entrada para bacterias de la cavidad oral al hueso maxilar irradiado con defensas debilitadas, es necesario controlar a los pacientes afectados uno o dos días después de la colocación de una nueva prótesis dental removible.
Bajo la irradiación se reducen tanto la irrigación sanguínea del hueso como la reproducción de las células óseas, de modo que son previsibles problemas de cicatrización. Sobre todo el maxilar inferior es vulnerable a todas las lesiones de la mucosa, las cuales abarcan desde extracciones dentales hasta los puntos de presión. No obstante, la constante mejora de las técnicas quirúrgicas con cierre directo de la herida han demostrado que en el hueso irradiado no sólo pueden llevarse a cabo con éxito intervenciones de cirugía oral sin desarrollo de la temida osteorradionecrosis, la cual puede provocar la pérdida de grandes porciones del maxilar8, sino que también es posible implantar2. En muchos casos, la implantación es la única posibilidad que tiene el paciente de volver a utilizar una reposición dental (figs. 1i a 1k y 7a a 7c). Los estudios de larga duración han demostrado que los implantes en el maxilar superior irradiado poseen una tasa de supervivencia menor que en el maxilar inferior2. Estudios más recientes, incluso con células óseas en el laboratorio, demostraron que la terapia con oxígeno hiperbárico, extendida en el pasado para mejorar la cicatrización de los implantes, probablemente no aporta ninguna ventaja3,11. Así mismo, todavía no está claro si la implantación debe llevarse a cabo preferentemente inmediatamente después o durante la resección del tumor, esto es, antes de la irradiación, a fin de encontrar células óseas más viables y una mejor irrigación, o si es preferible esperar a que concluyan la cicatrización y la radioterapia y posteriormente, al cabo de aproximadamente un año, debería iniciarse la implantación con, en algunos casos, una relación intermaxilar previsible, así como unas condiciones consolidadas de las partes blandas2. En nuestra clínica optamos por la implantación tras la conclusión exitosa del tratamiento, aproximadamente 1 a 2 años después de la radioterapia.
Hasta la fecha no existe ningún instrumento diagnóstico que permita predecir en qué pacientes una implantación está asociada a un riesgo considerablemente incrementado. La bibliografía menciona una dosis de irradiación superior a 50 Gy alcanzada en múltiples sesiones individuales como un factor que conduce a una mayor tasa de pérdida de implantes3. En caso de malignomas intraorales, habitualmente se supera de todos modos esta dosis de irradiación. Sin embargo, se insertan con éxito implantes en estos pacientes. Los únicos indicios clínicos que denotan que la implantación en un paciente concreto podría ser problemática son, en varones, la ausencia duradera del crecimiento de la barba y el grado de sequedad de la boca (fig. 1b).
Alteraciones de la posición intermaxilares. Son posibles todas las variedades de alteraciones de la posición. El espacio vertical disponible reducido (figs. 1i a 1j, 7a, 7c y 11d) es más frecuente que el aumentado (figs. 6b a 6e). Los siguientes requisitos exigen siempre una altura de mordida rebajada: en primer lugar, limitación de la abertura máxima de la boca en caso de retracciones cicatriciales intermaxilares debido a la extirpación del malignoma o una transformación fibrótica de la musculatura masticatoria a causa de la radioterapia. Para la determinación de la relación intermaxilar es preciso asegurarse de que el paciente tendrá una distancia suficiente entre las arcadas dentarias como para poder introducir en la boca como mínimo una cuchara o un tenedor con alimentos. En caso de reposiciones dentales removibles, tales como prótesis telescópicas o implantosoportadas, se debería recordar que el paciente debe poder colocar y retirar la prótesis sin grandes problemas (figs. 1i y 1k y 9a a 9d). Los ejercicios fisioterapéuticos pueden ser útiles. En algunos pacientes, sobre todo los irradiados, puede observarse que el uso de la prótesis dental mejora lentamente la abertura de la boca. En segundo lugar, un cierre insuficiente de los labios y en tercer lugar una movilidad limitada de la lengua fuerzan una vertical rebajada (figs. 1h a 1k). Siempre que sea posible, el paciente debe poder cerrar los labios, a fin de evitar la salida involuntaria de alimentos o saliva. El ecuador de la lengua debería situarse lo más por encima posible de la arcada dentaria inferior.
En caso de distancia excesiva entre los maxilares superior e inferior, la mesoestructura (casi siempre construcciones de implante) compensa las diferencias de la vertical hasta la distancia habitual con respecto al plano oclusal (figs. 6a a 6e), y en caso de prótesis dental fija se configura la estructura de tal manera que apoye adecuadamente la cerámica de recubrimiento (figs. 4c y 4d).
Si el maxilar inferior está desplazado tridimensionalmente con respecto al superior, puede intentarse una compensación del plano normalmente mediante una barra fresada de una prótesis implantosoportada. En este contexto puede muy bien darse el caso de que no sea posible continuar trabajando en el eje de los implantes, sino que deba modelarse la mesoestructura desplazada (figs. 6d, 10i y 10j).
Cubrimientos con colgajo. En la cirugía tumoral, los defectos del tejido blando se cubren con los más diversos colgajos. Sin embargo, estos cubrimientos no siempre pueden garantizar la movilidad natural del labio, la lengua o el carrillo10. El acceso para la limpieza de dientes naturales o implantes puede verse comprometido si las partes blandas tienen un contacto demasiado estrecho (fig. 11b). No obstante, normalmente suele verse afectada la zona de apoyo edéntula de la prótesis, de modo que se obstaculiza la colocación de una prótesis mucosoportada. En tales casos, la rehabilitación intraoral ya sólo es posible por medio de implantes dentales (figs. 1i y 1k, 11c y 11d). Durante la sesión conjunta entre el cirujano y el prostodoncista se determina entonces si será necesaria una conformación de las partes blandas mediante vestibuloplastia. Los motivos para ello pueden radicar en el hecho de que a veces sólo una vestibuloplastia permite convertir los implantes en útiles para una reposición protésica, dado que debido al cubrimiento del defecto o a la reconstrucción ósea se encuentran bajo los labios o bajo el carrillo (figs. 1a y 11b), y por otra parte, a fin de conservar la mayor cantidad posible de mucosa insertada por periimplantar. La vestibuloplastia no debe realizarse hasta la puesta al descubierto, dado que por una parte entonces se conoce la posición de los implantes y por otra parte éstos pueden hacerse aprovechables para la sujeción de una placa de vendaje. Durante los 10 primeros días permanece una placa fijada de forma no removible sobre los implantes, la cual se coloca intraoperativamente, a fin de presionar firmemente sobre el tejido nutriente un injerto que normalmente se necesita en tales casos. Tras la primera cicatrización, a continuación el prostodoncista debe confeccionar una placa removible por el paciente, la cual se retiene por ejemplo en las cofias de cicatrización o en telescópicas especialmente confeccionadas en el laboratorio (fig. 1c). Debe ser llevada siempre por el paciente hasta la colocación de la prótesis dental definitiva, dado que de lo contrario vuelve a contraerse la vestibuloplastia. Antes de llevar a cabo la siguiente toma de impresión de los implantes, deberían dejarse pasar todavía unas dos o tres semanas, dado que de lo contrario puede arrancarse de nuevo la piel con los materiales de impresión de precisión.
Consecuencias para la planificación y elaboración de la reconstrucción intraoral
Los problemas mencionados hacen necesario un procedimiento clínico y técnico consecuente.
En primer lugar, es imprescindible que antes del tratamiento tenga lugar una sesión interdisciplinar entre el cirujano y el prostodoncista. Es necesario aclarar los siguientes puntos: en caso de condiciones de espacio intermaxilares difíciles, la situación sólo puede resolverse mediante una rehabilitación conjunta, de ahí que durante la planificación a menudo sea preciso considerar también el maxilar opuesto (fig. 1a). Así mismo, una abertura máxima reducida de la boca, sobre todo en presencia de dentición antagonista, determina que el prostodoncista sólo puede hacer los implantes aprovechables si no se insertan demasiado hacia atrás y sobre todo inclinados hacia fuera del defecto. Esto debe discutirse con el cirujano como tarea del prostodoncista. Finalmente, es preciso establecer conjuntamente si debería crearse un nuevo vestíbulo o soltar la lengua.
En segundo lugar, antes de confeccionar mesoestructuras tales como telescópicas o barras, así como estructuras para prótesis dental fija, debería procederse siempre a una determinación de la relación intermaxilar y a una prueba de cera en boca (figs. 1f a 1h). Dado que la posición correcta del plano oclusal reviste una gran importancia para la funcionalidad de la reposición dental y ésta a menudo no puede leerse sin más en la documentación del modelo debido a las alteraciones de la relación intermaxilar, no se debería prescindir de un arco facial como información para el protésico dental (figs. 1f y 1g, 6b a 6e, 7c, 10h y 11d). Así mismo, es importante trazar líneas auxiliares, tales como la línea media, la línea canina, la línea de la sonrisa y sobre todo la línea de cierre de los labios. También es esencial que, mediante reducción o mediante ceras, se configuren clínicamente plantillas de mordida o pruebas de cera en boca, de tal manera que éstas se adecuen a la función individual del paciente, como por ejemplo el cierre de los labios o el apoyo de los labios (figs. 1f a 1k).
En tercer lugar, no debería empezarse la construcción de las estructuras o de la mesoestructura hasta haberse alcanzado una prueba de cera en boca óptima.
En cuarto lugar, en caso de prótesis dental implantosoportada, casi siempre es recomendable tomar una impresión de la superficie del implante, a fin de que tras la articulación el protésico dental pueda escoger libremente el elemento supraestructural para la confección óptima de la estructura o la mesoestructura (figs. 1d, 10e y 10g).
En quinto lugar, es preciso organizar las revisiones posteriores de los pacientes. Esto no siempre es fácil, puesto que los pacientes afectados a menudo tienen otras preocupaciones muy distintas.
Observación final
Para algunos pacientes con lesiones maxilofaciales, la colocación de una prótesis dental es realmente una cuestión de supervivencia, como se aprecia en el ejemplo de los pacientes con los defectos en el paladar. Si bien en ocasiones no puede lograrse un resultado funcional totalmente satisfactorio, la colocación de una prótesis dental sí contribuye a reestabilizar psicosocialmente en alguna medida a los pacientes. Se mejora la calidad de vida de los pacientes afectados7.
Agradecimiento
Deseo expresar mi agradecimiento a los excelentes cirujanos orales y maxilofaciales de nuestra Universidad bajo la dirección anteriormente del Prof. Dr. Dr. N. Schwenzer y actualmente del Prof. Dr. Dr. S. Reinert, sin cuyas capacidades no podría haberse tratado a estos pacientes. Pero igualmente importantes fueron los protésicos dentales implicados. A este respecto cabe destacar al protésico dental Rolf Bachmann del Centro de tratamiento dental, bucal y maxilofacial de Tübingen (ZZMK), sin cuya creatividad no habría sido posible ayudar a muchos de estos pacientes, y que desde mediados de los años noventa colabora conmigo en la atención a estos pacientes. También quisiera agradecer al protésico dental Dennis Wahl (ZZMK Tübingen), al maestro en prótesis dental Jochen Diehl (laboratorio dental Diehl, Tübingen) y al maestro en prótesis dental Kai Popall (laboratorio dental Rübeling, Bremerhaven).
Correspondencia
PD. Dr. med. dent. Eva Engel.
Poliklinik für Zahnärztliche Prothetik mit Propädeutik (Ärztl. Direktor Prof. Dr. H. Weber). Zentrum für Zahn-, Mund- und Kieferheilkunde der Universität Tübingen.
Osianderstr. 2-8, 72076 Tübingen, Alemania.
Correo electrónico: eva-maria.engel@med.uni-tuebingen.de














