Introducción
Actualmente, las carillas constituyen una de las formas de restauración más habituales que ofrece la odontología moderna para las indicaciones pertinentes. Especialmente con la introducción de las cerámicas de inyección a principios de los años noventa, las restauraciones con carillas han adquirido una popularidad creciente en Europa. Las carillas muy finas son además un elemento central de la moderna ola cosmética que recorre la odontología restauradora desde hace ya 20 años. Los métodos de confección tradicionales de este tipo de restauración incluyen el uso de materiales de muñón pirorresistentes, cerámicas de inyección y recientemente la tecnología CAD/CAM. Un método aún más antiguo para confeccionar carillas cerámicas es la denominada técnica de hoja de platino. Este método de confección posee un carácter especialmente artesanal y se sitúa en fuerte contraste con el vertiginoso desarrollo de las tecnologías de confección asistidas por ordenador, las cuales copan hoy en día todos los escenarios de publicación y conferencias. De ahí que llame la atención el hecho de que la tecnología de hoja de platino haya experimentado en ciertos círculos un verdadero renacimiento durante los últimos seis años. En Europa Central, este desarrollo es atribuible en gran medida al protésico dental de Zúrich Willi Geller y a los miembros de su Oral Design Gruppe internacional. Actualmente, a menudo se considera erróneamente la técnica de hoja de platino como una variante refinada de la técnica «Könner», y muchos protésicos suelen rechazar este método debido a cierta incertidumbre21. Sin embargo, esta lamentable decisión no hace justicia a esta extraordinaria forma de restauración.
Visión de conjunto histórica
La combinación de cerámica y hoja de platino es tan antigua como la propia odontología moderna. El odontólogo de Detroit Dr. Charles H. Land9,14 patentó este procedimiento ya en algún momento entre 1886 y 1888. Land describe en sus publicaciones de aquella época cómo confeccionaba los frentes de esmalte denominados Enamelum Fronten (en inglés enamel fronts) o «facings» por medio de una matriz de hoja de platino adaptada al diente tallado (Gr. 30). Además había desarrollado personalmente una cerámica de bajo punto de fusión con la que él mismo recubría a continuación la hoja de platino adaptada, con ayuda de un horno de gas. Algunas décadas después, en los años treinta del siglo pasado, el odontólogo de Hollywood Dr. Charles Pincus inventó la carilla moderna6,15. Se trataba de carillas cerámicas que se colocaban sólo provisionalmente empleando crema adhesiva, para así otorgar a algunas estrellas de Hollywood de la época una mejora temporal de su personalidad oral (en inglés Mouth Personality).
Sin embargo, tuvieron que pasar todavía 50 años hasta que Simonsen y Calamia pudieron demostrar por primera vez en 1983 cómo se logra una unión segura y previsible entre la cerámica y el composite, para posibilitar así la permanencia de la restauración en el diente17. Este procedimiento fue confirmado clínicamente por Calamia3 todavía en el mismo año. Horn7 describió también en 1983 la confección de una carilla por medio de la técnica de hoja de platino. No obstante, la invención de la carilla de hoja de platino moderna propiamente dicha debe atribuirse al protésico dental estadounidense Daniel Materdomini de California. Otro protésico dental que tuvo una participación instrumental en el desarrollo y la generalización de la técnica de hoja de platino es el estadounidense Pinhas Adar de Atlanta1.
Uso e indicación
Independientemente del método de confección, las carillas se utilizan con frecuencia en el ámbito estético y cosmético de la odontología. Las propiedades estéticas a menudo descritas de tales restauraciones se basan en el transporte de la luz sin obstáculos y en la así conservada irisación natural del diente. Este tipo de restauraciones se integran ópticamente en la dentición remanente y minimizan así los efectos metaméricos que se dan en las restauraciones cerámicas convencionales realizadas con ayuda de estructuras (figs. 1a y 1b).
Figs. 1a y 1b. La irisación de los dientes naturales resulta visible bajo luz polarizada. Las restauraciones de feldespato mínimamente invasivas aprovechan esta facultad del diente, dado que el transporte de la luz prácticamente no encuentra obstáculos. Este tipo de restauraciones se integran ópticamente en la dentición remanente y minimizan así los efectos metaméricos que se dan en las restauraciones cerámicas convencionales realizadas con ayuda de estructuras.
La técnica de hoja de platino se utiliza principalmente en cuatro indicaciones distintas:
¿ preparaciones de carillas entre normal y mínimamente invasivas
¿ carillas no invasivas (respetuosas con la sustancia) (también denominadas carillas sin preparación y tipo lente de contacto)
¿ coronas completas con preparaciones de 360º
¿ para el apoyo de hombros cerámicos en la técnica metalocerámica (hombros Maxi según Geller)
Preparaciones de carillas invasivas
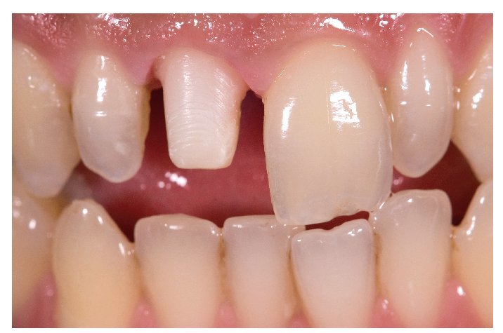
En el caso de las preparaciones de carillas invasivas se trata de la variante de restauración pensada originalmente (fig. 2). Actualmente se utiliza mayoritariamente en el ámbito de habla inglesa. En Europa y en Asia, en cambio, para esta indicación se prefieren la técnica de inyección o la técnica de laminado, esto es, la confección sobre muñones pirorresistentes.
Fig. 2. En el primer caso clínico se trata de un endodoncista que se había fracturado los bordes incisales de los dientes 11, 12 y 21 en un accidente de ciclismo.
Restauraciones de carillas mínimamente invasivas a no invasivas
En el caso de las restauraciones de carillas mínimamente invasivas a no invasivas se trata de la variante muy extendida en Europa para cerrar sin preparación espacios entre pequeños y medianos. También es posible alargar dientes o extenderlos hacia facial. En el ámbito de habla inglesa, este tipo de restauración se denomina a menudo carilla tipo lente de contacto (Contact Lense Veneer). Para esta indicación se utiliza exclusivamente la técnica de hoja de platino.
Coronas completas con preparaciones de 360º
También en este caso se trata de una tecnología antigua que tiene su origen en la técnica de coronas tipo jacket del odontólogo inglés Dr. John W. McLean13. A mediados de los años sesenta del siglo pasado, éste presentó una técnica en la que se coció una barbotina de óxido de aluminio sobre una cofia de hoja de platino adaptada, para a continuación recubrir cerámicamente la estructura así obtenida. Las coronas completas cerámicas pueden confeccionarse empleando masa de muñones pirorresistente, cerámica de inyección, CAD/CAM o también con la técnica de hoja de platino. En términos generales cabe observar que la longevidad de una restauración así confeccionada no depende principalmente de las propiedades mecánicas de la cerámica de la estructura, sino de una adhesión correcta4.
Para el apoyo de hombros cerámicos en la técnica metalocerámica
En este caso se trata de una técnica popular en Suiza, en la que una hoja de platino adaptada se adhiere provisionalmente con adhesivo instantáneo a una cofia metalocerámica ya opaquizada, a fin de apoyar la masa de hombros durante la cocción en caso de hombros muy elevados. Esto resulta en un hombro vitrificado muy homogéneamente con un buen ajuste y un buen transporte de la luz. Alternativamente puede ejecutarse este método con ayuda de la técnica de sobrecompresión o la técnica de muñón pirorresistente16.
Confección
Existe poca literatura que describa con detalle el procedimiento para la confección de una carilla de hoja de platino1,5,10. El procedimiento aquí presentado se basa por una parte sobre lo que el autor aprendió en su comunicación con Willi Geller (Zúrich, Suiza), Pinhas Adar (Atlanta, EE. UU.) y Jason Kim (Nueva York, EE. UU.), pero también en sus propias experiencias. Se seleccionaron cuatro casos clínicos para explicar la indicación, la confección y las posibilidades estéticas de este método.
Hoja de platino
La hoja de platino utilizada para la confección debería tener un grosor de aproximadamente 0,025 mm (p. ej., de Jensen, Metzingen, Alemania, Dead Soft .0005, o de von Wieland, Pforzheim, Alemania, de 0,025 mm).
Para el corte a medida de la capa, algunos fabricantes ofrecen una plantilla que se suministra junto con la capa. Esto resulta especialmente útil al principio, pero no es imprescindible para el éxito del trabajo. El corte a medida requiere unas tijeras cortaúñas afiladas, así como un bisturí afilado para separar el sobrante en el muñón (fig. 3).
Fig. 3. La hoja de platino utilizada para la confección debería tener un grosor de aproximadamente 0,025 mm. Para este tipo de restauraciones es recomendable una preparación roma y sin cantos.
Antes de la adaptación
Resulta más fácil plegar la capa si previamente se ha reblandecido (fig. 4). Una vez realizada con éxito la adaptación debería calentarse nuevamente la capa sobre el quemador Bunsen, a fin de eliminar cualquier grasa1. Una recomendación más antigua de la era de las coronas de jacket propone adaptar previamente una capa de estaño a modo de práctica y a continuación desplegarla de nuevo para determinar así la cantidad exacta necesaria de la costosa hoja de platino12.
Fig. 4. Resulta más fácil plegar la hoja si previamente se ha reblandecido. Una vez realizada con éxito la adaptación, debería calentarse nuevamente la hoja sobre el quemador Bunsen para descontaminarla de cualquier grasa.
El instrumental para adaptar
Además de los dedos, para adaptar la hoja se recomiendan dos instrumentos: un palo de naranjo o un instrumento metálico. Se dice del palo de naranjo que es respetuoso y que por lo tanto debería utilizarse, si se dispone de él, en la zona marginal. Si no se dispone de él, un instrumento metálico manejado con cuidado también sirve perfectamente (fig. 5).
Fig. 5. Además de los dedos, para plegar la hoja se recomiendan dos instrumentos: un palo de naranjo o un instrumento metálico.
La adaptación de la hoja
Después de preparar de la manera descrita un pedazo de hoja del tamaño adecuado, se aplica sobre el muñón desde facial (fig. 6a). En el segundo paso de trabajo se presiona hacia palatino la parte central de la hoja, la cual se solapa al borde incisal, de forma que se creen dos pliegues por mesioincisal y distoincisal. Éstos se aprietan firmemente con unas pinzas perfiladas (fig. 6b) y a continuación se recortan ambos con unas tijeras cortaúñas (fig. 6c), mientras que el resto se pliega hacia el borde incisal. La fisura marginal es normalmente más grande en la zona de estos pliegues principales incisales, debido a la acumulación de material. Sin embargo, puede minimizarse rectificando con un disco diamantado (fig. 6d). A continuación puede procederse a adaptar la superficie de recubrimiento facial así como el borde desde incisal hacia cervical y eliminarse el sobrante apical mediante un bisturí afilado (fig. 6e).
Fig. 6. a Después de preparar un pedazo de hoja del tamaño adecuado, se aplica sobre el muñón desde facial. b En el segundo paso de trabajo se presiona hacia palatino la parte central de la hoja, la cual se solapa al borde incisal, de forma que se creen dos pliegues por mesioincisal y distoincisal. Éstos se aprietan firmemente con unas pinzas perfiladas. c A continuación se recortan ambos pliegues con unas tijeras cortaúñas y el resto se pliega hacia el borde incisal. d La fisura marginal es normalmente más grande en la zona de estos pliegues principales incisales, debido a la acumulación de material. Sin embargo, puede minimizarse rectificando con un disco diamantado. e A continuación puede procederse a adaptar la superficie de recubrimiento facial así como el borde desde incisal hacia cervical y eliminarse el sobrante apical mediante un bisturí afilado. f y g Antes del recubrimiento se sellan ambos pliegues incisales con cera para modelar rosa. A continuación, ésta se quema sin dejar residuos durante la primera cocción de dentina.
Antes del recubrimiento
Una zona especialmente neurálgica es el pliegue incisal en dientes puntiagudos como caninos o laterales superiores atrofiados. Dicho pliegue debería estar bien cerrado para que la cerámica de recubrimiento no pueda introducirse en él. Esto dificultaría sensiblemente la subsiguiente retirada de la capa. Un método sencillo y rápido para sellar el pliegue incisal contra la penetración de cerámica consiste en cerrarlo con cera para modelar rosa antes del recubrimiento. De este modo también pueden aliviarse pequeñas microzonas retentivas.
Alternativamente se puede soldar el pliegue mediante un oro de recubrimiento (Aurofi lm, Metalor, Redwitz, Alemania) sobre el quemador Bunsen (figs. 6f y 6g).
Elección del sistema cerámico y recubrimiento
Para el recubrimiento de hoja de platino, generalmente está indicado cualquier material de recubrimiento cerámico independientemente del CET. Así pues, pueden utilizarse cerámicas de recubrimiento para el uso sobre dióxido de zirconio, óxido de aluminio y todos los materiales indicados para la técnica metalocerámica. Sin embargo, debería tenerse en cuenta que para la subsiguiente adhesión es preferible una cerámica basada en leucita y por ende grabable (p. ej., Creation CC, Creation Willi Geller, Baar, Suiza). Por lo demás, únicamente queda utilizar un silano para asegurar la unión adhesiva.
El recubrimiento Primera cocción
Para el recubrimiento se utilizan instrumentos tradicionales (fig. 7). En el primer paso, normalmente es necesario aliviar en primer lugar con una dentina opaca defectos de gran tamaño tales como fracturas, a fin de evitar una desigualdad de transparencia (fig. 8a). A continuación se construye la forma anatómica mediante Transition Dentine (Creation CC) (fig. 8b). Tras la estratificación del incisal mediante masas incisales y transparentes se crean los mamelones (fig. 8c) conforme a los datos fotográficos recopilados. Se completa la forma facial mediante una mezcla de masas transparente e incisal. Para garantizar que la restauración pueda integrarse perfectamente, es necesario ampliar la extensión hacia labial mucho más allá del defecto, preferentemente utilizando una masa totalmente transparente (UC Creation CC, Willi Geller) (fig. 8d). En el caso de las restauraciones especialmente pequeñas, p. ej. para el cierre de espacios, es posible ejecutar inmediatamente la estratificación completa por medio de la primera cocción. Todas las cocciones se llevan a cabo a 910 ºC sin tiempo de retención y al vacío.
Fig. 7. Para el recubrimiento se utilizan instrumentos tradicionales.
Fig. 8. a En primer lugar se aplica una dentina opaca mezclada con dentina, a fin de aliviar las zonas de fractura y evitar así una desigualdad de transparencia. b A continuación se construye la forma anatómica mediante Transition Dentine (Creation CC). c Tras la estratificación del plato incisal mediante masas incisales y transparentes se crean los mamelones conforme a los datos fotográficos recopilados. d Se completa la forma facial mediante una mezcla de masas transparente e incisal. Para garantizar que la restauración pueda integrarse perfectamente, es necesario ampliar la extensión hacia labial mucho más allá del defecto, preferentemente utilizando una masa totalmente transparente (UC Creation CC, Willi Geller)
Rotura y readaptación de la restauración
Tras la primera cocción, así como después de cualquier cocción posterior hasta la cocción final, es preciso romper la cerámica mediante una espátula de vidrio o ágata a fin de readaptar la hoja, dado que ésta cede durante la contracción de cocción. La separación se lleva siempre a cabo sobre el muñón (fig. 9). Antes de la segunda cocción se cierran las grietas esporádicamente con masa de glaseado y se recubre inmediatamente (fig. 10).
Fig. 9. Tras la primera cocción, así como después de cualquier cocción posterior hasta la cocción final, es preciso separar la cerámica mediante una espátula de vidrio o ágata a fin de readaptar la hoja, dado que ésta cede durante la contracción de cocción. La rotura se lleva siempre a cabo sobre el muñón.
Fig. 10. Antes de la segunda cocción se cierran las grietas esporádicamente con masa de glaseado y se recubre inmediatamente.
Segunda cocción
La segunda cocción se limita normalmente a pequeñas correcciones de la forma mediante una mezcla de masas incisal y transparente, y tiene lugar individualmente sobre el muñón en cuestión, no sobre el modelo (fig. 11). De este modo se goza de una mejor vista de conjunto tridimensional de la restauración y es posible identificar y si fuera preciso corregir más fácilmente defectos de la forma.
Fig. 11. La segunda cocción se limita normalmente a pequeñas correcciones de la forma mediante una mezcla de masas incisal y transparente, y tiene lugar individualmente sobre el muñón en cuestión, no sobre el modelo.
Acabado y pulido
La textura de la superficie se obtiene aplicando el método conocido (figs. 12 y 13). Para el pulido de las zonas marginales periféricas es preferible utilizar un disco de diamante, dado que éste evita que los márgenes muy finos se astillen (fig. 14).
Figs. 12 y 13. La textura de la superficie se obtiene aplicando el método conocido.
Fig. 14. Para el pulido de las zonas marginales periféricas es preferible utilizar un disco de diamante, dado que éste evita que los márgenes muy finos se astillen.
Cocción final y retirada de la hoja de platino
La cocción final tiene lugar asimismo a 910 ºC sin vacío, después de haber separado la restauración y haber readaptado la hoja por última vez. A continuación puede retirarse la hoja de platino por medio de unas pinzas perfiladas y bajo humectación con agua. La adición de agua reduce la tensión superficial de la hoja y facilita su retirada (fig. 15).
Fig. 15. A continuación puede retirarse la hoja por medio de unas pinzas perfiladas y bajo humectación con agua. La adición de agua reduce la tensión superficial de la capa y facilita su retirada.
La experiencia ha demostrado que las restauraciones de hoja de platino pueden configurarse con un borde considerablemente más fino que por ejemplo las restauraciones de carilla de laminado confeccionadas mediante masa de recubrimiento pirorresistente. Mientras que la masa de recubrimiento genera una desgasificación continua al interior de la cerámica de recubrimiento, lo cual conduce a inclusiones de gas en la restauración, la hoja de platino pesada refleja el calor directamente al interior de la cerámica sin generar gas, lo cual resulta en una vitrificación más homogénea y aparentemente tiene como consecuencia una mayor resistencia. De este modo, incluso en caso de restauraciones muy finas puede retirarse la hoja sin que se produzca rotura ni formación de grietas (fig. 16).
Fig. 16. La experiencia ha demostrado que las restauraciones de hoja de platino pueden configurarse con un borde muy fino. La hoja de platino pesada refleja el calor directamente al interior de la cerámica sin generar gas, lo cual resulta en una vitrificación más homogénea y aparentemente tiene como consecuencia una mayor resistencia. De este modo, incluso en caso de restauraciones muy finas puede retirarse la hoja sin que se produzca rotura ni formación de grietas.
Ajuste
Empíricamente, es difícilmente imaginable que una restauración de hoja de platino pueda presentar un ajuste aceptable. Sin embargo, esta suposición es errónea. Un estudio de Suh et al. ha demostrado que el ajuste de carillas de hoja de platino suele ser mejor en comparación con las carillas inyectadas o fresadas19. También en la comparación directa con carillas confeccionadas mediante masa de muñones pirorresistente (técnica refractaria), una carilla de hoja de platino puede competir sin problemas en cuanto a ajuste e incluso a menudo ser mejor18,20,22 (figs. 17a y 17b). El con frecuencia documentado buen ajuste de una restauración de hoja de platino se explica probablemente por la acción espaciadora homogénea de la hoja. Se compensan todas las microzonas retentivas o los bordes afilados, y puede confeccionarse la restauración teniendo en cuenta únicamente la dirección de inserción en cada caso. En la mayoría de los casos es innecesario el ajuste especial de una restauración de hoja de platino.
Figs. 17a y 17b. Empíricamente, es difícilmente imaginable que una restauración de hoja de platino pueda presentar un ajuste aceptable. No obstante, numerosos estudios han demostrado que esta suposición es errónea. Correctamente confeccionadas, las carillas de hoja de platino pueden competir sin problemas en cuanto a ajuste e incluso a menudo ser mejores que las carillas inyectadas, fresadas mediante CAD/CAM y refractarias (masa de muñones pirorresistente).
Preparación para la adhesión
Es recomendable ajustar los puntos de contacto proximales sobre un modelo no serrado, a fin de facilitar la colocación al responsable del tratamiento. Este tipo de interferencias oclusales son difíciles de detectar en boca en el caso de las restauraciones de hoja de platino. Tras una eventual prueba en boca, en primer lugar se someten las carillas a grabado con una solución de ácido fluorhídrico al 10% durante 90 s11. Durante el grabado ácido, la matriz vítrea disuelta deja tras de sí zonas retentivas entre los cristales de leucita. Durante el aclarado con agua, esta superficie extremadamente rugosificada es contaminada de inmediato por restos de cerámica y sales remineralizadas, lo cual deja tras de sí una superficie blanquecina típica8. Esta característica se malinterpreta a menudo como una superficie bien grabada. La limpieza manual mediante ácido fosfórico al 37% seguida de agua y ultrasonidos es esencial para eliminar estos residuos de grabado indeseados y optimizar así la microrretención (figs. 18 y 19). La silanización suele llevarse a cabo en la consulta, por si acaso se desea una segunda prueba en boca. Una vez concluida, se adhieren las carillas mediante un cemento fotopolimerizable (Variolink, Ivoclar Vivadent, Schaan, Liechtenstein) (figs. 20a a 20c).
Fig. 18. Tras una eventual prueba en boca, en primer lugar se someten las carillas a grabado con una solución de ácido fluorhídrico al 10% durante 90 s. Tras la limpieza con agua destilada, se limpia la superficie grabada con ácido fosfórico al 37% para eliminar los copos de aglutinante (flakes) del gel de ácido fluorhídrico, dado que éstos pueden reducir sensiblemente la unión adhesiva. La silanización suele llevarse a cabo en la consulta, por si acaso se desea una segunda prueba en boca.
Fig. 19. Las restauraciones de carilla grabadas, antes de su colocación.
Figs. 20a a 20c. Las carillas de hoja de platino colocadas en la boca.
Una restauración estéticamente precisa agradece su ajuste óptico por una parte a la implementación anatómica precisa basada en el estudio de los dientes naturales (figs. 21a y 21b) así como a la asunción del efecto lumin del diente natural (fig. 22).
Figs. 21a y 21b. Una restauración estéticamente precisa agradece su ajuste óptico, entre otras cosas, a la implementación anatómica precisa basada en el estudio de los dientes naturales.
Fig. 22. Otro factor importante es la asunción del efecto lumin del diente natural.
Aplicaciones especiales Restauración con carilla de platino mínimamente invasiva en caso de sustancia dental dura decolorada
En el segundo caso clínico debía confeccionarse una carilla individual mínimamente invasiva sobre un muñón con decoloración media (fig. 23). Se adaptó la capa de la forma ya descrita (fig. 24a). A continuación fue preciso aliviar la decoloración empleando una mezcla de dentina opaca y opáquer en polvo en la proporción 3:12 (fig. 24b). Tras la precocción de esta mezcla se estratificó de la manera acostumbrada la carilla a partir de los datos fotográficos recopilados (fig. 24c) y a continuación se procedió a la cocción. En la reconstrucción de restauraciones de dientes individuales es esencial la imitación lo más exacta posible de las microestructuras biológicas existentes. Éstas incluyen configuraciones de mamelones, líneas de imbricación, hipoplasias y grietas en el esmalte, así como la distribución de la translucidez. Para lograr un aspecto auténtico es necesario imitar exactamente estas características, lo cual en ocasiones no es posible empleando la técnica de estratificación convencional. En este caso está indicada la técnica «Envelope» según Magne. Para ello, después de la primera cocción se tallan en el núcleo los efectos deseados (fig. 24d), a continuación se rellenan con los modificadores y las masas de efectos pertinentes y, si fuera necesaria, se someten a cocción intermedia varias veces a una temperatura considerablemente menor (790 ºC). A fin de poder determinar con aún mayor precisión la predictibilidad del efecto, se mezclan las masas con Prevu Liquid (Synspar, Jeneric Pentron, Kusterdingen, Alemania), lo cual permite apreciar el efecto cromático ya antes de la cocción (fig. 25). De este modo puede «diseñarse» la restauración individual lenta y meticulosamente. Después de retirar la hoja se aprecia la zona opaca, que sirve para aliviar la decoloración propia del diente (fig. 26). La restauración así confeccionada presenta una coincidencia asombrosa con el diente contiguo natural (figs. 27a y 27b).
Fig. 23. En el segundo caso clínico debía confeccionarse una carilla individual mínimamente invasiva sobre un muñón con decoloración media.
Fig. 24. a Se adaptó la hoja de la forma ya descrita. b A continuación fue preciso aliviar la decoloración empleando una mezcla de dentina opaca y opáquer en polvo en la proporción 3:1. c Tras la precocción de esta mezcla se estratificó de la manera acostumbrada la carilla a partir de los datos fotográficos recopilados y a continuación se procedió a la cocción. d En la reconstrucción de restauraciones de dientes individuales es esencial la imitación lo más exacta posible de las microestructuras biológicas existentes. En este caso está indicada la técnica «Envelope» según Magne.
Fig. 25. A fin de poder determinar con aún mayor precisión la predictibilidad del efecto, se mezclan las masas con Prevu Liquid (Synspar, Jeneric Pentron, Kusterdingen, Alemania), lo cual permite apreciar el efecto cromático ya antes de la cocción.
Fig. 26. Tras la retirada de la hoja de platino se aprecia claramente la zona que debe aliviar la decoloración del diente. Par ello se empleó una mezcla de dentina opaca y opáquer en polvo (3:1).
Figs. 27a y 27b. Mediante la técnica Envelope puede «diseñarse» la restauración individual lenta y meticulosamente, lo cual suele resultar en una asombrosa coincidencia con el modelo natural.
Coronas completas
En ciertos casos puede emplearse la técnica de hoja de platino también para coronas completas adheridas. Así ocurrió en el tercer caso clínico, en el que existía una mordida abierta. Otra indicación son las restauraciones de dientes anteriores inferiores, en las que no suele existir espacio para una estructura, independientemente del material en que se confeccione. La costura principal, normalmente situada por palatino, se cerró con oro de recubrimiento. Si fuera preciso aplicar grandes cantidades de cerámica, es recomendable aplicar primero un poco de cerámica y cocerla. En las coronas completas, para ello lo mejor es una mezcla de dentina y dentina opaca (50:50), a fin de evitar el engrisamiento de la restauración (figs. 28 a 30). A continuación pudo procederse a la estratificación totalmente anatómica de la forma (fig. 31). Como sería de esperar, también en esta restauración adherida se obtuvo una adaptación óptica aceptable (fig. 32).
Fig. 28. En ciertos casos puede emplearse la técnica de hoja de platino también para coronas completas adheridas. Así ocurrió en el tercer caso clínico, en el que existía una mordida abierta.
Fig. 30. Si fuera preciso aplicar grandes cantidades de cerámica, es recomendable aplicar primero un poco de cerámica y cocerla. En las coronas completas, para ello lo mejor es una mezcla de dentina y dentina opaca (50:50), a fin de evitar el engrisamiento de la restauración.
Fig. 29. Se adaptó la hoja de platino al muñón de la forma ya descrita.
Fig. 31. A continuación pudo procederse a la estratificación totalmente anatómica de la forma.
Fig. 32. También en esta restauración adherida se obtuvo una adaptación óptica aceptable.
Cierre de un diastema
El cierre de un diastema, ya sea mínimamente invasivo o no invasivo, es probablemente la indicación más clásica de la técnica de hoja de platino. En el cuarto y último caso clínico se presenta una variante aún más sencilla y rápida de la adaptación de la hoja, procedente del Reino Unido. En esta variante se presiona la capa de forma extremadamente precisa mediante una llave de silicona. A continuación sólo son necesarias pequeñas correcciones (figs. 33 a 36b). Un frenillo labial insertado a demasiada altura dio lugar a un diastema considerable. Previamente se comprobó mediante un mock-up si el diastema podía cerrarse de manera no invasiva, lo cual habría sido posible pero habría resultado en una forma dental desproporcionadamente grande. Tras una frenectomía se tallaron ligeramente los incisivos centrales, no sólo para cerrar el espacio, sino también para lograr que los dientes parecieran más pequeños mediante el correspondiente tratamiento de los rebordes (figs. 36a y 36b).
Fig. 33. El cierre de un diastema es probablemente la indicación más clásica de la técnica de hoja de platino. Previamente se comprobó mediante un mock-up si el diastema podía cerrarse de manera no invasiva, pero ello habría resultado en una forma dental desproporcionadamente grande.
Figs. 34 y 35. Una variante aún más sencilla y rápida de la adaptación de la hoja de platino, procedente del Reino Unido, se describe en el cuarto caso clínico. En esta variante se presiona la hoja de forma extremadamente precisa mediante una llave de silicona. A continuación sólo son necesarias pequeñas correcciones.
Figs. 36a y 36b. Tras una frenectomía se tallaron ligeramente los incisivos centrales, no sólo para cerrar el espacio, sino también para lograr que los dientes parecieran más pequeños mediante el correspondiente tratamiento de los rebordes.
ConclusiónLa prótesis dental se halla en los inicios de la era de la alta tecnología (fig. 37). La técnica de hoja de platino tiene un carácter muy artesanal y por consiguiente contrasta fuertemente con la ola CAD/CAM actual. Los casos clínicos aquí presentados ponen de manifiesto que pese a ello sigue siendo posible, mediante habilidad artesanal y sin grandes alardes tecnológicos, confeccionar restauraciones de alta calidad estética. La precisión de ajuste documentada de las restauraciones de hoja de platino en combinación con el menor tiempo necesario para su confección convierte a esta técnica en una alternativa atractiva a los métodos de confección convencionales. Para la confección no es necesario un sistema de modelos concreto, y se prescinde totalmente de la duplicación y el vaciado laboriosos de muñones. A diferencia de las técnicas de inyección y refractaria (masa de muñones pirorresistente), simplemente no existen las grietas debidas al CET, gracias al método especial de confección. También desaparece la a veces dificultosa manipulación de masas de muñones (elevada viscosidad, tiempo de trabajo reducido y desgasificación continua inevitable). Cuatro ejemplos clínicos han demostrado que una restauración mediante hoja de platino puede presentar una estética óptima.
Fig. 37. La prótesis dental se halla en los inicios de la era de la alta tecnología. La técnica de hoja de platino tiene un carácter muy artesanal y demuestra, pese a la actual ola CAD/CAM, que pese a ello sigue siendo posible, mediante habilidad artesanal y sin grandes alardes tecnológicos, confeccionar restauraciones de alta calidad estética. La NASA logró el primer alunizaje empleando la tecnología de los años sesenta.
Correspondencia
ZTM Sascha Hein.
Oral Design Center Perth.
Suite 6, 5 Rockingham Road, Hamilton Hill, Western Australia 6161,
Australia. Correo electrónico: lhein@bigpond.net.au
ZTM Willi Geller.
Koblacherstraße 3, 6812 Meiningen, Austria.
Correo electrónico: info@creation-willigeller.com






































