Encargo de cliente: tarea parcial III prótesis completa de 28 piezas
1. Situación de partida
Confeccione sendas prótesis completas superior e inferior para un paciente de 60 años.
Debe tallarse el trabajo de forma totalmente equilibrada; el sistema se deja a su discreción, pero debe ser mencionado en su diseño de proyecto.
Ilustración de portada de la carpeta de maestría de Maren Seißelberg, Hamburgo, Alemania.
2. Diseño y planificación de las prótesis completas
Me decido por un montaje conforme al nuevo concepto de Gerber. Éste se basa en un juego de dientes recientemente desarrollado por Candulor. Las propiedades del montaje según Gerber son, entre otras, una oclusión plenamente equilibrada, una relación diente a diente, dientes de «mano de mortero», configuración de la base del cuerpo de la prótesis en función de los músculos y un análisis especial del modelo que, además del dibujo de los centros de las crestas alveolares y los centros de los modelos, incluye una línea de tope más allá de la cual, por motivos estáticos, no debe montarse ningún diente más.
Utilizo un articulador parcialmente ajustable de la firma Candulor, construido conforme al plano de Camper.
La inclinación de la trayectoria condílea está ajustada y fijada a un valor medio de 30 grados.
El análisis del modelo está simplificado en el nuevo método de montaje de Gerber. Básicamente, el análisis del modelo se lleva a cabo sólo en modelos articulados.
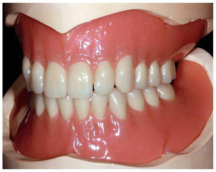
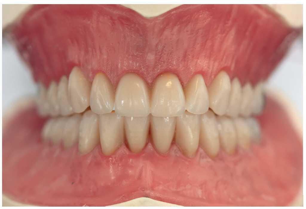
3. Fotos
4. Tiempo necesario previsible
5. Material necesario previsible
6. Material necesario previsible
7. Trazado del polígono de apoyo
8. Lista de materiales de la prótesis completa
9. Facturación
10. Documentación fotográfica
El autor
Oliver Tilch nació el 26.12.1980 en Hermeskeil, Alemania. Cursó los estudios de protésico dental entre 1997 y 2001 en Dentaltechnik Reichel in Hermeskeil. En 2002 cumplió 11 meses de prestación civil en la Cruz Roja alemana en Trier. Desde 2002 hasta 2008 trabajó como oficial protésico dental en Erhard & Jörg Dentaltechnik en Trier, y entre enero de 2007 y diciembre de 2007 completó, en paralelo a su actividad profesional, la parte empresarial, comercial y jurídica del examen de maestría en la Cámara de Artesanía de Trier (parte III). En noviembre de 2007 se sometió al examen de aptitud como instructor en la Cámara de Artesanía de Hamburgo (parte IV). Desde el 14 de abril de 2008 asistió durante 12 meses a la Escuela de Maestría de Friburgo para las partes teórica y práctica, las cuales completó con éxito el 21.03.2009 (parte I y parte II). Desde 2009 trabaja en Cuspidus Zahntechnik GmbH, Hamburgo.
Correspondencia
Oliver Tilch.
Karolinenstra be 23, 20357 Hamburgo, Alemania.
Correo electrónico: info@oliver-tilch.de
















