Introducción
Para confeccionar una prótesis dental indirecta se necesita un modelo de trabajo con muñones. Éstos deben reproducir exactamente la posición, la superficie y los límites de preparación de todos los dientes y los dientes vecinos implicados con el tejido blando circundante. Los dos principales factores que influyen en la conservación de la salud periodontal son los contornos gingivales y la distribución de los vectores de fuerza oclusales en la prótesis dental5,18 (coronas completas, coronas parciales o carillas).
En numerosos laboratorios se repasan los muñones de tal manera que quedan expuestos los límites de preparación. Sin embargo, en este proceso se pierde el perfil de emergencia de las partes blandas alrededor del diente preparado. Sin estas estructuras gingivales existe el peligro de que las restauraciones definitivas presenten contornos y perfiles de emergencia defectuosos.
Las restauraciones sobrecontorneadas conducen, en la zona cervical de las superficies proximales, labiales y linguales, a la retención de restos de alimentos y placa15,16,21. Las posibles consecuencias son caries, así como inflamaciones e hiperplasias de la encía2,9,10,21. A su vez, las restauraciones infracontorneadas dejan unos espacios interdentales demasiado grandes y perjudican tanto al habla como a la apariencia estética.
En la bibliografía se describen diversos procedimientos para la confección de modelos de tejidos blandos1,4,7,8,13,14,19,20. Algunos de estos autores defienden el uso de prótesis provisionales durante la confección4,7. La elección del material para modelos de tejidos blandos requiere especial esmero. Los materiales de impresión con contenido en azufre inhiben la polimerización de la superficie de los polivinilsiloxanos y por lo tanto deben evitarse3.
En virtud de la flexibilidad elastómera de la silicona, mediante una máscara gingival extraíble realizada en este material sólo puede alcanzarse hasta cierto punto una morfología cervical en los contornos de las restauraciones. En consecuencia, es preferible un material rígido como el yeso duro del tipo IV11.
Los modelos de alveolos constituyen un concepto innovador, inspirado por la naturaleza (figs. 1 y 2). Permiten confeccionar en el laboratorio protésico todos los tipos tradicionales y modernos de prótesis dental fija. Esto es especialmente aplicable a la prótesis dentosoportada e implantosoportada, pero también para otras construcciones.
Fig. 1 (página opuesta). Un modelo de alveolos dentogingival versátil.
Fig. 2. El modelo de alveolos conforme al ejemplo de la naturaleza (a). Una comparación entre el muñón de Geller (b) y el muñón de alveolos (c).
En un modelo de alveolos dentogingival realizado en yeso duro convencional del tipo IV se utilizan muñones extraíbles17 e implantes de manipulación individuales6, los cuales son intercambiables entre sí (fig. 1). De este modo, el equipo restaurador goza de mayor libertad a la hora de elegir el material para dientes colindantes. Además, para confeccionar el modelo de alveolos dentogingival y los muñones se utiliza un instrumental simplificado (fig. 3a). Esto ahorra tiempo y dinero.
Fig. 3a. Un instrumental simplificado para obtener unos resultados consistentes, así como para la separación y el acabado más rápidos de los muñones.
Confección del modelo de alveolos
1. Inspección de la impresión de polivinilsiloxano en busca de inclusiones de aire e irregularidades. La reproducción del límite de preparación debe ser exacta y adentrarse como mínimo 0,5 mm en el sulco gingival. Este requisito es indispensable para obtener la suficiente información sobre el perfil de emergencia del diente preparado.
2. Vaciado de un modelo de segmento maxilar con las preparaciones de los dientes en yeso duro del tipo IV (Fuji Rock, GC Europe, Lovaina, Bélgica). La altura mínima es de 30 mm. Este procedimiento garantiza que el segmento de yeso pueda retirarse de la impresión sin problemas y eficientemente.
3. Separación de los muñones. Utilizando un disco diamantado grande (Visionflex 6924.104.400, Brasseler, Lemgo, Alemania) se separan entre sí los muñones a 10.000/min, primero radial y a continuación proximalmente (figs. 3b a 3d). Para el mecanizado de precisión se utiliza una fresa de carburo de tungsteno de lados paralelos con punta de trabajo redonda (H364RE.104.023, Brasseler). La conicidad creada es de 6º (figs. 3e y 4a). Estos muñones se denominan ahora muñones alfa. Forman la primera generación de muñones y, por consiguiente, la reproducción de las preparaciones reales de los dientes más fiel al original. En las superficies mesial y distal de las raíces artificiales se incorporan ranuras de guía 2 mm hacia apical del límite de la preparación. Dichas ranuras actúan como topes de inserción verticales, además de impedir la rotación. A fin de asegurar la vía de retirada, debe procurarse cuidadosamente que las ranuras permanezcan axialmente simétricas (es decir, planas). En caso de simetría axial deficiente, el muñón se enclavará por efecto cuña en la base de los alveolos dentogingival (fig. 4b).
Fig. 3b. Las líneas de orientación radiales en el modelo de segmentos maxilares.
Fig. 3c. Separación de los muñones utilizando un disco diamantado grande.
Fig. 3d. La previsión óptica de la conicidad proximal de la sección radicular artificial.
Fig. 3e. Un muñón con conicidad fluida y superficie lisa, obtenido mediante una fresa de carburo de tungsteno de lados paralelos con punta de trabajo redonda a una velocidad de rotación lenta. Se incorporan ranuras por mesial y distal.
Figs. 4a y 4b. El mecanizado de precisión del muñón alfa: la obtención de la conicidad (a) y la incorporación de las ranuras de guía proximales (b). Las simetrías axiales deficientes están representadas en rojo.
4. El muñón alfa sirve como control para las posteriores generaciones de muñones. Se duplica en un pequeño cilindro utilizando silicona reticulada por adición. La proporción ideal es de 1:1, y la dureza debería situarse en el rango de Shore 22 (Elite Double 22 Fast, Zhermack GmbH, Marl, Alemania). Tras el fraguado, se retira la silicona del cilindro y se desprende el muñón alfa utilizando aire comprimido.
5. Los duplicados del muñón alfa se denominan muñones beta. La figura 5 ilustra la secuencia de todos los pasos de la duplicación. El muñón beta-1 se forma a partir del primer vaciado de la silicona de duplicado alfa. Éste se recubre 0,5 mm hacia coronal del límite de preparación con barniz distanciador (Die Spacer, Benzer Dental AG, Zúrich, Suiza) (fig. 6a). Si se utiliza una técnica de masa de recubrimiento, es preciso duplicar en silicona el muñón beta-1. De esta manera se obtiene una tercera generación de muñones. Estos muñones gamma se vacían en masa de revestimiento. Si se utiliza una técnica de estructura convencional (por ejemplo, metal, óxido de aluminio o dióxido de zirconio) los márgenes se marcarán con un rotulador rojo y a continuación se sellarán al muñón.
Fig. 5. Visión sinóptica de los pasos de duplicación.
6. Segundo vaciado de la silicona de duplicado alfa para confeccionar los muñones beta-2. Éstos sirven para conformar los alveolos dentales en la base de alveolos dentogingival. La totalidad de la superficie de la raíz artificial se recubre hasta el límite de preparación con un endurecedor de yeso (Margidur, Benzer Dental) (fig. 6b). Los muñones beta-2 se posicionan cuidadosamente en la impresión de polivinilsiloxano y se sellan periféricamente con cera multiusos incolora bajo el microscopio (fig. 7). A fin de facilitar la retirada de los muñones se pulveriza un líquido separador de yeso a base de alcohol (SuperSep, KerrHawe SA, Bioggio, Suiza) (fig. 8).
Fig. 6. El muñón beta-1 con barniz distanciador a 0,5 mm del límite de la preparación (a), el muñón beta-2 con endurecedor de yeso en la zona de la raíz (b).
Fig. 7. El sellado periférico con cera del muñón beta-2 bajo el microscopio.
Fig. 8. La impresión original y los muñones beta-2 repuestos con sección de raíz aislada, poco antes del vaciado del modelo de alveolos dentogingival.
7. Confección del modelo de alveolos dentogingival mediante vaciado de la impresión en yeso duro del tipo IV. A fin de garantizar la estabilidad posicional de los muñones beta-2, deben evitarse en lo posible las vibraciones durante el vaciado. Tras el fraguado del yeso se separa el modelo de alveolos de la impresión de polivinilsiloxano. Se retiran los muñones beta-2. Han cumplido su cometido (conformación de los alveolos dentales) y ya no son necesarios.
8. Tercer vaciado de la silicona de duplicado alfa para confeccionar los muñones beta-3. En este caso se trata de muñones multiusos que no son objeto de procesamiento ulterior. Se utilizan para diversas posibilidades de aplicación, tales como encerado, acabado, pulido y ajuste marginal. Además, aceleran la transferencia de los contornos volumétricos desde el encerado al modelo de alveolos21 (fig. 9).
Fig. 9. El muñón beta-3 para la transferencia del modelado en cera (a); muñón alfa (b); muñón gamma de masa de recubrimiento (c).
Discusión
El concepto aquí presentado abarca un modelo de alveolos dentogingival en ejecución modular con muñones extraíbles intercambiables entre sí. Posibilita un proceso de trabajo flexible para la confección de varias restauraciones fijas, las cuales pueden estar realizadas en distintos materiales (figs. 10a a 10c). La forma cónica de los muñones alveolares facilita además los trabajos de escaneo para materiales de estructura en la técnica CAD/CAM. La principal ventaja de este concepto de modelo reside en el hecho de que se mantiene inalterada la perspectiva dentogingival durante la confección de la prótesis dental.
Fig. 10. Un modelo de alveolos dentogingival con los muñones intercambiables entre sí.
Los muñones alfa proporcionan una plataforma definitiva para la evaluación del ajuste marginal (figs. 11a y 11b). Como en todo sistema con muñones extraíbles, debería tomarse muy en serio el riesgo de errores. Deberían utilizarse modelos de colado macizos para el control permanente de las relaciones interdentales de las restauraciones definitivas. Dichos modelos constituyen uno de los elementos básicos del trabajo. Con su ayuda se verifican las superficies de contacto y las relaciones de oclusión (fig. 12).
Figs. 11a y 11b. Evaluación del ajuste marginal con los muñones alfa.
Fig. 12. Los modelos de colado macizos sirven para comprobar las relaciones interdentales, las superficies de contacto y las relaciones oclusales: un modelo con encía ilustra la secuencia de la colocación de las coronas (a), un modelo sin encía sirve para comprobar los contactos proximales y la oclusión (b).
La oferta de siliconas de duplicado abarca distintos grados de dureza (Shore 8/22/32) y tiempos de fraguado. Así pues, el protésico dental puede escoger un material con las propiedades adecuadas para cada tarea. De este modo, las siliconas de duplicado conservan su precisión y estabilidad dimensional incluso tras varios vaciados. Otras ventajas de estos materiales son la elasticidad, la resistencia a la rotura por tracción y la capacidad de recuperación al duplicar estructuras con zonas retentivas. Esta técnica puede parecer disuasoriamente difícil a primera vista, pero en la práctica es extremadamente eficiente. Con una buena planificación pueden ejecutarse en paralelo pasos de trabajo individuales, acelerándolos así en conjunto (fig. 13). Podemos partir de la premisa de que el proceso de confección continuará acelerándose y simplificándose en virtud de futuros avances en la técnica CAD/CAM.
Fig. 13. Ahorro de tiempo mediante una planificación eficiente: distintos pasos de trabajo se ejecutan en paralelo.
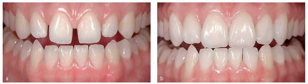
Con ayuda de un modelo de alveolos pueden integrarse fisiológica, funcional y estéticamente restauraciones definitivas (fig. 14).
Figs. 14a y 14b. Este caso clínico se basa en los modelos mostrados en la figura 12: la situación inicial (a) y la situación final con carillas cerámicas (b). Los trabajos fueron realizados por Pascal y Michel Magne.
Correspondencia
Michel Magne, M.D.T.,
University of Southern California Oral Health Center. 3151 South Hoover Street, Los Ángeles, CA 90089-7792, EE. UU.
Correo electrónico: mmagne@usc.edu
Dr. Panaghiotis Bazos.
Hiedergelassener Zahnarzt in Athen.
Pascal Magne, D.M.D., Ph.D.,
Abteilun g für orale Primärversorgung. University of Southern California (USC), Los Ángeles, CA 90089-7792, EE. UU.



















