Introducción
Sencillo, rápido, económico y pese a ello de buena calidad: éstos son los requisitos que se plantean actualmente al trabajo del protésico dental. Por regla general, los métodos de confección convencionales ya no pueden satisfacer estos requisitos. Es preciso minimizar el consumo de materiales y racionalizar el proceso de confección. En este contexto, cada vez se utilizan más los modernos sistemas CAD/CAM. Los ámbitos de aplicación son cada vez más numerosos y actualmente cubren ya una parte considerable de la producción en la prótesis dental.
La prótesis telescópica sobre base de dióxido de zirconio con recubrimiento cerámico o de composite podría considerarse todavía relativamente exótica. De ahí que el siguiente artículo tenga como propósito demostrar lo sencilla, funcional, estética y económica, aunque no barata, que resulta la confección de esta prótesis dental de alta calidad.
Planteamiento del problema
A fin de poder describir diversos métodos y materiales para la confección de piezas primarias y secundarias y para el recubrimiento de la estructura portante de dióxido de zirconio, se confeccionó y documentó un trabajo ficticio sobre un modelo preparado en el laboratorio. Los materiales para piezas primarias y secundarias son intercambiables entre sí en el marco de su indicación. De este modo resultan numerosas variantes para la prótesis telescópica, en función de los requisitos y del poder adquisitivo.
Método
La confección y la elección de materiales para las piezas primarias
Durante décadas, la clásica aleación de oro fue el material de elección para conectores individuales, coronas cónicas y telescópicas. La presión de los costes y el aumento de los precios de los metales preciosos obligan a muchos establecimientos a apostar en estos ámbitos, tras muchas dudas, por las aleaciones de metales no nobles. Actualmente están diponibles tres materiales para la confección de piezas primarias:
¿ La aleación de metales no nobles: económica, posibilita un proceso de trabajo satisfactorio para piezas primarias individuales, con un buen ajuste en unidades pequeñas, superficie muy densa y por ende resistente a los rasguños.
¿ La aleación de metales nobles: cara, posibilita un proceso de trabajo óptimo con un ajuste excelente, superficie menos resistente a los rasguños.
¿ Dióxido de zirconio: económico, fácil de procesar y con un ajuste excelente preiswert, superficie extremadamente densa y dura; es el único material blanco y translúcido.
Es innecesario describir aquí la confección de piezas primarias telescópicas de aleaciones de metales nobles y de metales no nobles. Estos estándares son de sobras conocidos. A su vez, el diseño de piezas primarias de dióxido de zirconio depende en gran medida del escáner utilizado y del software correspondiente. En la experiencia del autor, el diseño resulta un juego de niños con el escáner 3Shape (3Shape, Copenhague, Dinamarca) empleado para este ejemplo (fig. 1) y el software correspondiente (3Shape, Vertrieb u. a. Teamziereis, Engelsbrand, Alemania).
Fig. 1. El escáner 3Shape.
La pieza primaria de dióxido de zirconio
Para la confección de la pieza primaria, en primer lugar se escanea el modelo en su conjunto, y a continuación los muñones dentales preparados individuales (fig. 2). En la experiencia del autor, los resultados del escaneo son siempre excelentes, y no existe apenas ninguna situación que el escáner no pueda registrar. Adoptando los parámetros especificados en los ajustes básicos, la pieza primaria telescópica se diseña casi por sí misma haciendo clic con el ratón (fig. 3). Tras este diseño previo «basto» mediante el software basta con introducir pequeñas correcciones que se llevan a cabo «a mano», es decir, con el ratón. Tras otro clic con el ratón, se habrá completado el diseño de la pieza o las piezas secundarias (figs. 4 y 5).
Fig. 2. El modelo escaneado. Los escáneres dióxido de zirconio. sin perfectos incluso sin spray de escaneo.
Fig. 3. El diseño de las piezas primarias de para diseñar la estructura.
Fig. 4. Bastan unos pocos clics con el ratón
Fig. 5. Las piezas de dióxido de zirconio y de oro no mecanizadas, sobre el modelo.
El rectificado paralelo de piezas primarias de dióxido de zirconio para darles su forma definitiva resulta más senillo que el fresado de piezas primarias de metal. Por regla general, todos los trabajos de dióxido de zirconio se fresan con la turbina bajo una refrigeración por agua suficiente. Empleando un tamaño de grano de diamante relativamente grueso, se corrigen los grosores de pared y se llevan a su medida mínima. Gracias a la posibilidad de llevar a cabo el diseño con gran precisión mediante el software, es primer paso de trabajo se completa rápidamente. A continuación se procede al alisado de las piezas primarias y a su pulido.
Durante el alisado se rectifican las superficies paralelas empleando varios pulidores diamantados de grano cada vez más fino. A fin de no adelgazar aún más las coronas primarias, antes del proceso de rectificado se ennegrecen las paredes laterales con un rotulador de fieltro resistente al agua. Durante el siguiente rectificado puede apreciarse muy fácilmente dónde ya se ha tallado y por ende alisado y dónde no se ha hecho (fig. 6). Finalmente se pulen cuidadosamente las piezas primarias de dióxido de zirconio con pasta de pulido de diamante y un disco de fieltro hasta alcanzar un abrillantado intenso, utilizando la pieza de mano (fig. 7).
Fig. 6. El alisado de las piezas primarias de dióxido de zirconio.
Fig. 7. Las piezas primarias de dióxido de zirconio abrillantadas intensamente.
Las piezas secundarias galvánicas
A continuación se deben galvanizar las piezas secundarias en oro sobre las piezas primarias de metal noble, mientras que sobre las piezas primarias de dióxido de zirconio se deben embutir piezas secundarias de resina a partir de una película especial. No obstante, cabe señalar que tanto las piezas secundarias galvánicas como las piezas secundarias de resina pueden galvanizarse o embutirse, respectivamente, sobre cualquier tipo de pieza primaria, independientemente del material de la pieza primaria. Las piezas primarias de oro son provistas de un electrodo de cobre y se les aplica una capa fina y uniforme de barniz conductor de plata. En este caso, el barniz conductor de plata no sirve para la conductividad eléctrica, sino para el aislamiento entre la pieza primaria y la pieza secundaria galvanizada sobre ésta (fig. 8). Tras la galvanización se separa la pieza secundaria galvánica de la pieza primaria y se elimina el barniz conductor de plata con ácido nítrico. Se recomienda retraer ligeramente por cervical el margen de la pieza secundaria si existe la configuración de chamfer suficiente. De este modo, posteriormente la estructura terciaria de dióxido de zirconio quedará asentada directamente sobre el borde de la pieza primaria, lo cual resulta muy beneficioso para la estética (fig. 9).
Fig. 8. Las piezas primarias de oro preparadas para la galvanización.
Fig. 9. Las piezas secundarias galvánicas terminadas.
Las piezas secundarias de resina
Por las experiencias de la prótesis combinada se sabe que las piezas secundarias de resina sobre piezas primarias de dióxido de zirconio se traducen para el paciente en una colocación y extracción fáciles de la prótesis, y por consiguiente en una manipulación sencilla y un alto grado de confort de uso, minimizando al mismo tiempo los costes de material. Estas ventajas son trasladables ahora también a las prótesis telescópicas. Utilizando una lámina termoplástica especialmente desarrollada para piezas secundarias (lámina termoplástica Usig, Erkodent), ahora existe un método rápido y económico para la confección de «casquillos de fricción y deslizamiento» (fig. 10). Para ello, simplemente se embute la lámina Usig sobre las piezas primarias. Mediante unas tijeras se elimina cuidadosamente el sobrante basto, y a continuación se acorta el borde con un pulidor de goma, de forma similar a como se hace en las cofias galvánicas. También aquí se recomienda, siempre que sea posible y por los ya mencionados beneficios estéticos, acortar cervicalmente la cofia secundaria más allá del borde de la pieza primaria (fig. 11).
Fig. 10. Todo está preparado para la embutición de las piezas secundarias de resina.
Fig. 11. Las piezas secundarias de resina terminadas.
La estructura terciaria de dióxido de zirconio
Si el escáner, el software y la unidad de fresado son capaces de confeccionar en dióxido de zirconio muchas de las estructuras que de otro modo se modelaban y se colaban en metal, se abre un amplio campo de aplicación de estos dispositivos. Las ventajas de las estructuras de dióxido de zirconio fresadas son de sobras conocidas:
¿ Gran estabilidad
¿ Color claro, blanquecino, y por consiguiente buena estética
¿ Asiento sin tensiones
¿ Menor volumen de trabajo, gracias al diseño en el ordenador
¿ Menor volumen de trabajo, ya que se prescinde de la puesta en revestimiento, del colado y de la retirada del revestimiento
En el procedimiento descrito a continuación se añade además un importante ahorro de tiempo en el recubrimiento de la estructura de dióxido de zirconio.
El modelo maestro se escanea con las piezas primarias y secundarias colocadas. A continuación se escanean de nuevo individualmente las piezas primarias y secundarias, a fin de garantizar una fisura marginal lo más reducida posible en la transición desde la estructura terciaria a la pieza primaria (fig. 12).
Fig. 12. El modelo escaneado con piezas primarias y secundarias.
A continuación, el software genera un diseño basto (fig. 13) que se adapta mediante unas pocas maniobras virtuales al caso clínico concreto (fig. 14). A fin de garantizar una estabilidad suficiente de los puntos de unión a la estructura de dióxido de zirconio, se reducen las separaciones proximales en la zona de los dientes anteriores. Estos pasos de trabajo se completan mediante unos pocos clics con el ratón.
Fig. 13. La propuesta de diseño del software.
Fig. 14. Las modificaciones de la propuesta de diseño son pequeñas.
A continuación, mediante otro clic con el ratón, el software reduce automáticamente la restauración configurada de forma totalmente anatómica hasta alcanzar el grosor de la estructura deseado (figs. 15 y 16). A fin de garantizar la máxima estabilidad posible de la estructura, se configuró el software de tal manera que redujera la estructura eliminando únicamente la porción de esmalte de la estructura anatómica.
Fig. 15. La estructura reducida en una medida equivalente al grosor de capa del material de esmalte.
Fig. 16. Vista oclusal de la estructura reducida.
Acto seguido se envían estos datos a la fresadora. En este caso, el autor trabaja con una máquina que podría denominarse como el «tractor» entre las fresadoras: la Roland MDX-40A (Teamziereis) es una unidad de sobremesa de tres ejes, apropiado para el fresado de dióxido de zirconio, resina y cera. El aparato tiene una estructura relativamente simple (donde hay pocas cosas, pueden averiarse pocas cosas), su manejo es sencillo y proporciona unos resultados de fresado excelentes a un precio que posibilita incluso a los laboratorios pequeños el acceso a la confección CAD/CAM interna en el laboratorio (fig. 17).
Fig. 17. La fresadora Roland MDX-40A.
Actualmente, todavía no es posible diseñar en el software las retenciones para los dientes protésicos por distal de las coronas telescópicas. No obstante, mediante rectificado resulta fácil convertir manualmente en retenciones, las piezas distales del puente antes de la sinterización de la estructura de dióxido de zirconio (fig. 18).
Fig. 18. Los pónticos distales se transformaron manualmente en retenciones.
Dependiendo del color dental deseado, se colorea la estructura de dióxido de zirconio y a continuación se sinteriza a la máxima densidad. A continuación se ajusta la estructura sinterizada sobre el modelo y sobre las coronas telescópicas. También aquí, por regla general, tan solo se requieren ligeras correcciones mediante rectificado. Ahora, la estructura terciaria se asienta sin tensiones ni intersticio (figs. 19 a 21).
Fig. 19. La estructura sinterizada a la máxima densidad y coloreada.
Figs. 20 y 21. La estructura se asienta sin tensiones ni intersticios.
El recubrimiento cerámico
En relación con los recubrimientos cerámicos sobre prótesis dentales extraíbles, el autor y sus colegas en su laboratorio se habían mantenido relativamente cautelosos hasta la fecha. Esto ha cambiado en relación con las estructuras de dióxido de zirconio. Toda vez que la estructura de dióxido de zirconio en sí misma o sobre coronas telescópicas es totalmente inamovible, desaparece el peligro de fisuras en la cerámica debido a la elasticidad propia del material de la estructura. A ello se añade una considerable simplificación durante la confección del recubrimiento cerámico. El único peligro que queda es que el recubrimiento cerámico sea dañado por la acción de fuerzas externas, manipulación incorrecta por parte del paciente o caída de la prótesis. Si el recubrimiento cerámico sufriera daños en uno de estos casos, resulta muy sencillo reemplazarlo o repararlo de manera invisible mediante composite. Por este motivo, en el trabajo de demostración aquí presentado se recubrió el lado izquierdo cerámicamente (e.max Ceram, Ivoclar Vivadent, Ellwangen, Alemania), mientras que el derecho se recubrió con composite (Solidex, Shofu, Ratingen, Alemania).
Al igual que en todos los trabajos de dióxido de zirconio del autor recubiertos cerámicamente, con la estructura de dióxido de zirconio se lleva a cabo en primer lugar una cocción de recristalización. A continuación se realiza la cocción de liner y posteriormente la cocción wash. En el siguiente paso se reconstruyen tan solo los pónticos por labial ligeramente con dentina (e.max Ceram) (fig. 22). A modo de recordatorio: La estructura de dióxido de zirconio se diseñó de forma totalmente anatómica y posteriormente se redujo suprimiendo la porción de esmalte. Para evitar sobredimensionar la forma anatómica de la restauración en su conjunto, se renuncia a utilizar masas de dentina adicionales, y en su lugar el autor recurre al siguiente truco: Antes del recubrimiento con masas de esmalte y transparentes, se caracteriza la estructura de dióxido de zirconio con colores de maquillaje para cerámica y se obtiene el color de la dentina propiamente dicho. A fin de poder controlar de manera fiable el color de dentina del color dental deseado antes y después de la cocción de caracterización y de maquillaje, el autor trabaja con un anillo de colores modificado en el que la muestra de color consta únicamente de dentina (fig. 23).
Fig. 22. Tan solo los pónticos se reconstruyen posteriormente con dentina.
Fig. 23. El control del color mediante muestra de color modificada.
Tan solo posteriormente se completa el recubrimiento cerámico con masas de efectos, de esmalte y transparentes, recubriendo en su totalidad la estructura de dióxido de zirconio —ahora de color de dentina— hasta el margen cervical, en aras de la translucidez y el efecto de profundidad naturales (figs. 24 y 25). Una gran ventaja, y por ende un considerable simplificación, reside en el hecho de que el recubrimiento cerámico estratificado manualmente ya sólo consta de la porción de esmalte. Esta estratificación se desarrolla mucho más rápidamente, y las correcciones tras la cocción principal también son sensiblemente menores, en virtud de la menor contracción de la cerámica debido a la falta de masa. Por consiguiente, un recubrimiento de este tipo resulta considerablemente más rápido y sencillo. También el resultado final puede convencer tras la cocción de glaseado (fig. 26).
Fig. 24. La estratificación de efecto bajo la masa de esmalte.
Fig. 25. El recubrimiento con masas de esmalte y transparentes.
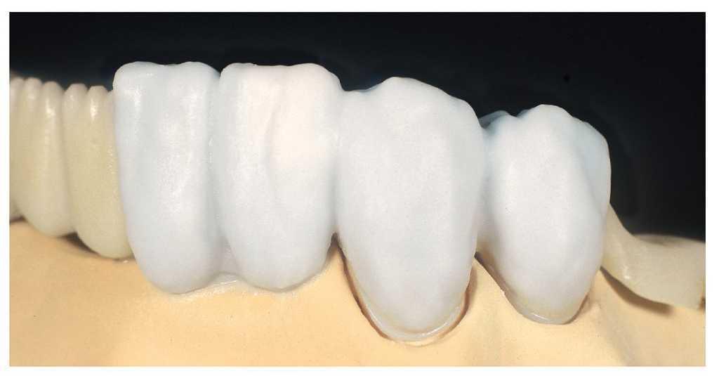
Fig. 26. El recubrimiento cerámico terminado.
La adhesión de las piezas secundarias
Es cuestión de gustos si se adhieren las piezas secundarias a la estructura terciaria generalmente tras el recubrimiento o antes de éste. En los recubrimientos cerámicos, generalmente no es posible la adhesión antes de la cocción, mientras que éste es el método recomendado para recubrimientos de composite. Por este motivo, ahora se adhieren las piezas secundarias a la estructura terciaria.
Para ello se aíslan con vaselina tanto porciones del modelo como las piezas primarias telescópicas (fig. 27) y se colocan las piezas secundarias tras un chorreo cuidadoso y el correspondiente acondicionamiento de la superficie (figs. 28 y 29). La estructura de dióxido de zirconio, en combinación con un adhesivo blanco, es lo suficientemente cubriente como para enmascarar las cofias galvánicas de color dorado y evitar así que se transluzcan. Así pues, no es necesario opaquizar en blanco las cofias galvánicas antes de la adhesión. El adhesivo bicomponente Usig (Erkodent) es blanco, de modo que también es idóneo para la adhesión de las cofias galvánicas (fig. 30).
Fig. 27. El aislamiento del modelo y de las piezas primarias.
Fig. 28. Las piezas secundarias galvánicas, listas para la adhesión.
Fig. 29. Las piezas secundarias de resina se trataron previamente con adhesivo.
Fig. 30. Las piezas secundarias adheridas.
El recubrimiento con compositeEl procedimiento para el recubrimiento con composite es similar al del recubrimiento cerámico. En primer lugar se acondiciona la estructura de dióxido de zirconio. Para ello se ha acreditado perfectamente Zirkoniabond (Heraeus Kulzer, Hanau, Alemania) (fig. 31). A continuación se caracteriza la estructura mediante maquillajes de composite (Solidex) y se obtiene el color de la dentina. Se aplican caracterizaciones adicionales en la zona de las puntas de los mamelones (fig. 32), se completa el recubrimiento con masas de esmalte y transparentes y se procede al acabado (fig. 33). En estos tipos de trabajos apenas existe una diferencia estética entre el recubrimiento cerámico y el de composite. No obstante, la ventaja del recubrimiento cerámico continúa manifestándose en la mejor estabilidad cromática y en la menor afinidad a la placa.
Fig. 31. El adhesivo de dióxido de zirconio para el recubrimiento con composite.
Fig. 32. La caracterización mediante masas intensivas.
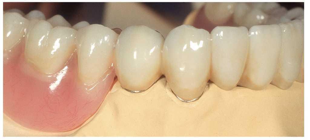
Fig. 33. El recubrimiento de composite terminado junto al recubrimiento cerámico.
El resto del procedimiento es rutina: Se procede de la forma acostumbrada al montaje y el acabado de los dientes protésicos (Genios A/P, Dentsply, Hanau, Alemania) (fig. 34). En este punto se pone de manifiesto otra ventaja y un nuevo ahorro de tiempo mediante la estructura de dióxido de zirconio: Puede prescindirse de la aplicación de opáquer blanco o de color rosa sobre las retenciones, dado que las retenciones de la estructura de dióxido de zirconio ya son blancas.
Fig. 34. Montaje en cera de los dientes protésicos y acabado de la silla de resina.
Resultado
Finalmente cabe mencionar que todavía no se cuenta con experiencias a largo plazo con el método anteriormente descrito. Las primeras prótesis de este tipo están colocadas desde el verano de 2010, y hasta la fecha no han sido objeto de queja. Además, el autor considera calculable el riesgo eventual para todos los implicados. Las prótesis con conectores con piezas secundarias de resina funcionan sin problemas durante un largo periodo. La resistencia a la rotura del dióxido de zirconio es sensiblemente superior a la de las aleaciones de metales no nobles, y el mayor grosor de pared de la estructura terciaria telescópica también contribuye a incrementar la estabilidad.
El autor está convencido de que, en el ámbito de los trabajos telescópicos, este tipo de prótesis telescópica es insuperable funcionalmente y sobre todo estéticamente (figs. 35 y 36). Se da en este caso una clásica situación en la que salen ganando todas las partes: el paciente, el odontólogo y el laboratorio protésico. El paciente recibe un trabajo de alta tecnología a un precio razonable y asequible. En caso necesari, puede reducirse a cero el empleo de caras aleaciones de oro. El odontólogo no se ve obligado a «huir» al extranjero, toda vez que de este modo puede ofrecer prótesis de alta calidad, si bien no baratas, sí asequibles y sin tener que asumir restricciones en cuanto a la estética y la función. Con un cálculo equitativo, el laboratorio recibe el oxígeno necesario para sobrevivir dignamente, gracias a los métodos de confección más rentables.
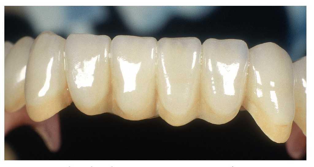
Fig. 35. Vista labial de los recubrimientos de cerámica y de composite.
Fig. 36. Estética satisfactoria sin unas necesidaes de espacio excesivas.
Correspondencia
ZTM Thomas Kühn
Am Himberger See 50 a
53604 Bak Honnef, Alemania
Correo electrónico: kuehnthomas@online.de




































