La prótesis completa es un tema que siempre ha interesado y fascinado al autor como protésico dental, especialmente cuando se encuentra ante un paciente radiante y feliz. Por desgracia, todavía son demasiados pocos los portadores felices de prótesis completas. Pero ¿por qué?
Sin duda, un motivo es el insuficiente interés de nuestro sector por este tema. Además de la escasa remuneración (al menos según la ley de seguros), la industria también parece esperar mucho tiempo para aportar productos eficaces. Los nuevos métodos y productos recorren en la industria un largo camino de análisis en busca de oportunidades de mercado y naturalmente también de los beneficios ligados a éstas. Para transitar por un nuevo camino y cambiar un mercado, en primer lugar es preciso creer en un nuevo producto.
Nuevos caminos
Hasta ahora, el problema fundamental seguían siendo las posibilidades de elección de dientes artificiales con dimensiones suficientes en cuanto a las relaciones de longitud y anchura, por no hablar del cierre interproximal. Si partimos de la premisa de que, en un paciente de 1,80 m de altura, la corona anatómica del incisivo superior tiene una longitud de 12 mm, es sorprendente la escasa cantidad de dientes artificiales que cumplen este requisito. Naturalmente, los dientes para la prótesis completa e implantosoportada deben presentar características especiales. El cierre interdental debe estar garantizado, incluso cuando se giren los dientes unos contra otros. Además, estos pacientes suelen tener una edad algo más avanzada y a menudo presentan un estado periodontal distinto en el que los dientes son ópticamente más largos. Por último, tampoco debe olvidarse que los dientes artificiales también deben ser fijados en resina.
Así pues, si se desarrollan dientes artificiales, no basta con un análisis de la naturaleza, sino que deben satisfacerse también los requisitos técnicos.
Dientes nuevos
Aparte de las relaciones de volumen y de todos los demás criterios se plantea la pregunta: ¿cuántas formas son realmente necesarias? Desde el punto de vista del autor necesitamos tan sólo una selección limitada de dientes anteriores, si bien éstos deben poder combinarse para obtener diversos resultados estéticos. También los elevados costes de almacenamiento constituyen un factor importante en tiempos de márgenes más estrechos. Eche un vistazo a su armario dental y considere cuánto capital está inmovilizado allí.
En este artículo, el autor quiere presentar una nueva generación de dientes anteriores desarrollados desde la práctica para la práctica y, no menos importante, para los pacientes. Los dientes posteriores Tribos (Gebdi, Engen, Alemania) ya desarrollados por el maestro en prótesis dental Dieter Schulz han aportado una innovación acertada y se han impuesto. Aquí se puede escoger entre tres tipos morfológicos distintos. La serie Tribos ha sido ampliada con tres formas dentales superiores y dos inferiores (figs. 1 a 5).
Figs. 1 a 3. Tres formas superiores: V22, V32 y V43.
Figs. 4 y 5. Dos formas inferiores: LV2 y LV6.
Las virtudes de estos dientes se ponen de manifiesto durante el montaje, especialmente al girarlos. Incluso con una fuerte rotación, los espacios proximales permanecen cerrados sin necesidad de rectificado (figs. 6 y 7). Sus relaciones de longitud revisten una importancia determinante no sólo en la prótesis completa, sino especialmente en la prótesis implantosoportada.
Figs. 6 y 7. Incluso con rotación se observa un cierre proximal satisfactorio, sin necesidad de rectificar.
Pero ¿cómo se comportan los dientes montados en cera y con qué margen de maniobra se cuenta sin rectificar para un cambio de posición?
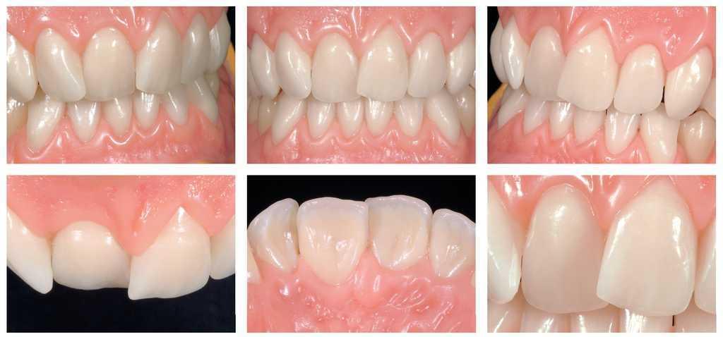
Las figuras 8 a 15 muestran muy claramente las ventajas.
Figs. 8 a 13. En la imagen de detalle se observa claramente la posición dental extrema, pero no se aprecian «triángulos negros».
Figs. 14 y 15. Por fin existe un volumen suficiente también en el maxilar inferior.
Tras la evaluación positiva del montaje con modelado anatómico, puede trasladarse el trabajo a resina (figs. 16 a 22). El tema de la confección en resina ya fue tratado por el autor en una edición anterior de Quintessenz Zahntech, y por lo tanto no se abordará con detalle en este artículo1. Baste con volver a llamar la atención sobre la necesidad de escoger un material de base opaco (p. ej. Denture Art, Dreve), puesto que las resinas protésicas convencionales no tienen nada que ver con la encía natural, dado que son demasiado transparentes. ¡La encía no es transparente!
Figs. 16 y 17. Confección mediante Denture Art y Light-Paint-On (Dreve, Unna, Alemania). Mediante el rectificado selectivo se obtiene un margen transparente natural.
Figs. 18 a 20. El cierre proximal está garantizado desde cualquier ángulo.
Figs. 21 y 22. La situación final desde el punto de vista del paciente.
Conclusión
Con esta nueva generación de dientes, el ámbito de trabajo protésico se ha ampliado significativamente, pero también se ha simplificado. Las relaciones entre la longitud y la anchura son adecuadas, ya que ahora puede implementarse un modelado fiel al modelo natural. Se alcanza rápidamente el objetivo sin necesidad de modificar los dientes artificiales. Se trata de una innovación de producto acertada.
Correspondencia
ZTM Jan Schünemann.
Lifestyle-Dentistry.
Lipper Hellweg 29, 33604 Bielefeld, Alemania.
Correo electrónico: Jan.Schuenemann@Lifestyle-Dentistry.com









