Introducción
El principal objetivo de una rehabilitación de dientes anteriores es la armonía perfecta entre el tejido blando y el duro. La restauración mediante carillas laminadas de cerámica está considerada en amplios círculos como la primera elección para una restauración estética duradera de los dientes anteriores. En comparación con una preparación de corona convencional, este procedimiento permite al odontólogo, mediante un método de preparación conservador y respetuoso que preserva una cantidad considerable de sustancia dental dura, obtener un resultado estético aceptable.
No obstante, el éxito clínico depende de una planificación adecuada del caso y de los conocimientos clínicos sobre la biología y los materiales dentales.
En virtud de sus propiedades conservantes y biomiméticas, las carillas laminadas de cerámica están indicadas en casos de dientes decolorados, erosionados, malformados y fracturados13. Las carillas de cerámica poseen extraordinarias ventajas estéticas combinadas con un grado aceptable de biocompatibilidad, resistencia a la abrasión, translucidez y estabilidad cromática y mecánica. Por lo demás, en comparación con los dientes naturales se ha demostrado que la acumulación de placa en carillas laminadas cerámicas se reduce, lo cual se traduce en un menor riesgo de inflamaciones de la encía21.
Uno de los principales argumentos en favor de las carillas cerámicas es su capacidad de ser adheridas al diente12. Tras el grabado ácido de las superficies adhesivas afectadas, el cemento de resina puede penetrar en las cavidades creadas por el grabado con ácido fluorhídrico y desarrollar así la fuerza adhesiva necesaria3. Si se puede adherir la restauración al diente, no es absolutamente imprescindible la presencia de esmalte dental para lograr un alto grado de éxito clínico de la técnica de restauración.
Sin embargo, la conservación de esmalte sano para la adhesión no sólo incrementa la resistencia de la unión, sino que además garantiza una larga supervivencia clínica10. La protección de la masa de esmalte durante la preparación reduce el incremento de la sensibilidad tras el cementado, mejora la estabilidad de la cerámica y reduce los problemas endodónticos en comparación con las formas de preparación que tienen lugar en la dentina22.
La protección de la capa de esmalte depende principalmente de la forma de preparación. La porción labial eliminada de la capa de esmalte debe prepararse de tal manera que sea posible restablecer el antiguo volumen de esmalte original. La determinación del tamaño dental definitivo por restaurar constituye la base para la posibilidad de lograr más adelante el grosor correspondiente de la restauración terminada. En los primeros años de las carillas laminadas se utilizaba la preparación del diente clásica a partir de las superficies existentes de la forma dental natural, como línea directriz para la posterior forma de preparación.
Sin embargo, la preparación en estas condiciones preestablecidas tenía con frecuencia como consecuencia la pérdida considerable de tejido con dentina expuesta, especialmente en las zonas cervical y proximal18. La dentina expuesta hacía imposible estimar la longevidad de la restauración, lo cual dio lugar a dudas en relación con la unión a la dentina, dado que por lo tanto ésta no es tan duradera como la unión al esmalte5,8,15,17.
La ejecución de una preparación del esmalte extremadamente conservadora presenta una ventaja considerable sobre las formas de preparación convencionales. El volumen de sustancia dental natural que tallar para una corona metalocerámica es 4,3 veces mayor que el necesario para una preparación de carilla cerámica y 2,4 veces mayor que para una preparación de carilla cerámica completa8. Para una preparación de carilla extremadamente respetuosa sólo en la zona del esmalte es imprescindible un análisis meticuloso de los dientes. La restauración terminada debe presentar un grosor uniforme en toda su extensión, a fin de garantizar una función libre de estrés de la reconstrucción de los dientes anteriores8.
En cuanto a sus propiedades estéticas, las carillas laminadas de cerámica vítrea de baja fusión constituyen una técnica de restauración de eficacia reconocida13. Otra variante actualmente popularizada es la cerámica de inyección10. La cerámica de inyección requiere por principio la inyección de toda la forma del cuerpo de la restauración, la cual a continuación simplemente se caracteriza exteriormente con colores para cerámica. Los métodos modernos para cerámicas de inyección permiten la utilización de técnicas de cutback, y por consiguiente posibilitan una verdadera estratificación de la restauración. Además, las cerámicas convencionales basadas en silicatos han sido reforzadas mediante la adición de disilicato de litio, lo cual resulta en un significativo incremento de la resistencia. Asimismo, las carillas laminadas inyectadas con un grosor de entre 0,3 y 0,5 mm constituyen una interesante posibilidad clínica para lograr resultados duraderos con una estética natural.
El propósito de este artículo es mostrar cómo con unas pérdidas mínimas de sustancia dental natural puede conseguirse una restauración estética fiable.
Descripción del caso
Un hombre de 23 años acudió a la clínica dental de la Universidad Senac, São Paulo, Brasil, expresando su deseo de lucir una sonrisa más atractiva y de una modificación de la forma y el color de sus dientes.
Método
Para la primera evaluación clínica se llevaron a cabo un análisis de las relaciones de oclusión, un sondeo del periodonto y una documentación fotográfica. El examen clínico del paciente arrojó una línea de sonrisa muy elevada con mucha encía visible (figs. 1 a 4). A partir de los datos recabados y las fotografías del frente se elaboró digitalmente una simulación virtual de la restauración terminada (Photoshop CS4, Adobe Systems GmbH, Múnich, Alemania). A partir de estas imágenes digitales se explicaron al paciente las posibilidades de tratamiento (fig. 5).
Fig. 1. Con los labios relajados, el paciente muestra de 2,5 a 3,2 mm de los incisivos superiores.
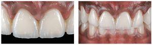
Figs. 2a a 2c. La situación antes de la operación presenta deficiencias en las proporciones de anchura y longitud de los incisivos centrales superiores, diastemas y una ligera sonrisa gingival.
Fig. 3. El recorrido de la encía de los dientes anteriores superiores. En los incisivos, el recorrido de la encía no se hallaba a la misma altura que en los caninos.
Figs. 4a a 4c. Las imágenes de detalle de los dientes anteriores superiores muestran una erupción incompleta de los incisivos.
Fig. 5. a La vista frontal antes de la operación; b el análisis estético; c la imagen procesada digitalmente muestra el resultado posible.
Se tomó una imagen frontal del paciente, quien había adoptado una posición natural de la cabeza con una leve sonrisa, y se convirtió digitalmente en una imagen en blanco y negro. Se trazaron dos líneas blancas: (1) una línea recta a través de la línea media facial (a lo largo del plano sagital) y (2) una línea parabólica que delimite la línea labial inferior (con los labios ligeramente abiertos) y se convierte en una línea de unión con los lóbulos de las orejas. En condiciones ideales, la línea media facial discurre central y verticalmente. Se construyó la línea labial inferior para establecer los bordes incisales futuros de los dientes superiores19. En el siguiente paso de trabajo se trazaron cinco líneas horizontales para obtener los correspondientes puntos de referencia horizontales. Se trazó la línea bipupilar para determinar la principal línea de referencia horizontal. Se trazó una segunda línea horizontal a través de las cejas, a fin de hacer visibles eventuales deficiencias en la estructura armoniosa del rostro. Se trazó (con el paciente riendo) una tercera línea horizontal a través de los puntos de intersección de la línea de sonrisa del labio inferior con el labio superior. La cuarta línea tiene como base el punto más elevado de la encía y la quinta línea se corresponde con el borde incisal actual de los dientes anteriores del maxilar superior. La posición ideal de los dientes se decidió sobre la base de las áreas de intersección de todas las líneas, pero con un énfasis especial en las líneas horizontales. No se determinaron en el paciente discrepancias anatómicas que pudieran poner en peligro el tratamiento.
Tras un análisis minucioso de la estética, en combinación con las tomas de detalle y los modelos de situación preoperatorios, se elaboró un plan de tratamiento y se discutió con el paciente.
En rehabilitaciones más complejas, por ejemplo en un paciente que presente discrepancias anatómicas, será necesaria una planificación más detallada1,9.
Las experiencias de los autores demuestran que muchos pacientes solicitan una visualización previa digital de la rehabilitación deseada antes de dar su aprobación al tratamiento. Sin embargo, la imagen digital tan sólo permite una visión bidimensional del tratamiento. En caso de que exista cualquier duda acerca de la estética o la fonética o dudas sobre la aceptación por el paciente, es preciso confeccionar un mock-up.
Una vez discutidas y explicadas todas las posibilidades de tratamiento, el paciente se decidió por una rehabilitación estética que abarcaba lo siguiente: una gingivoplastia (a fin de establecer un nuevo recorrido del tejido gingival), una restauración con carillas cerámicas de los cuatro dientes anteriores superiores y dos carillas parciales en los caninos. Dado que el paciente estaba preocupado por la pérdida de material dental, se propuso un método de preparación extremadamente respetuoso.
Alargamiento estético de las coronas
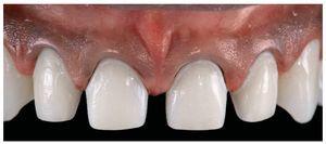
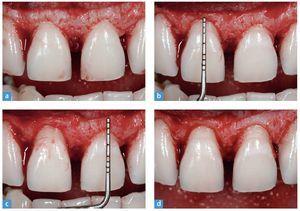
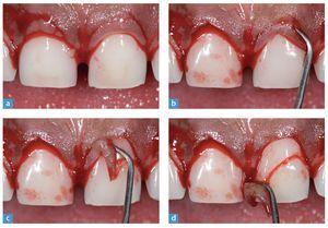
Se alargaron quirúrgicamente las coronas de los seis dientes anteriores superiores. A partir de un sondeo del surco se determinó la longitud definitiva de las coronas mientras el paciente estaba anestesiado. Se establecieron dos puntos: el límite amelocementario (collum dentis) y la altura de la cresta ósea. El biotipo periodontal fue clasificado como grueso y plano. Tras la operación, el nuevo recorrido del límite gingival debía situarse 3 mm por encima del borde óseo del hueso alveolar (fig. 6).
Fig. 6. Tomas de detalle de la gingivectomía, mostrada en los incisivos centrales superiores. a La delimitación del nuevo recorrido gingival, determinada por el sondeo del tejido blando. b a d Se elimina el tejido sobrante mediante una cureta afilada.
Un corte falciforme, basado en sondeos del hueso y de las partes blandas, expone la superficie dental deseada. Tras la retirada del tejido blando se abrió un único colgajo y se remodeló la estructura ósea a fin de obtener una nueva anchura biológica (fig. 7). Las figuras 8a y 8b muestran el estado del tejido blando suprimido al principio de la gingivectomía en comparación con la situación poco antes del alargamiento de las coronas.
Fig. 7. a Se abre hacia apical un colgajo gingival para acceder al hueso maxilar. Obsérvese el grosor del hueso, típico del tejido blando periodontal grueso. b Una comparación entre la sustancia ósea del incisivo central derecho, en el que ya se había remodelado el hueso, y el hueso intacto del incisivo central izquierdo. c La delimitación de la nueva forma ósea para el incisivo central izquierdo. d El recorrido de la nueva forma ósea.
Fig. 8. a La delimitación inicial de la gingivectomía, como estaba previsto, 1 mm por debajo del límite amelocementario. b El recorrido gingival tras la sutura.
Encerado aditivo
Tras una fase de cicatrización de 90 días se examinó de nuevo el tejido periodontal y se propuso un blanqueamiento que el paciente debía realizar en casa.
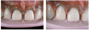
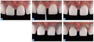
Se blanquearon los dientes durante dos semanas con gel de peróxido de hidrógeno al 9,5% (Poladay, SDI, Melbourne, Australia). A fin de obtener un efecto cromático estable, en los 20 días posteriores al blanqueamiento no se llevó a cabo ninguna intervención quirúrgica. Además se tomó una nueva serie de fotografías, las cuales posibilitaron una evaluación de los resultados por parte tanto del paciente como del equipo dental (figs. 9 y 10).
Figs. 9a a 9c. La situación 90 días después de la intervención quirúrgica y un blanqueamiento de dos semanas en casa. El recorrido gingival sigue la línea labial inferior y ya no se aprecia sonrisa gingival
Figs. 10a y 10b. El nuevo recorrido gingival.
Con ayuda de un material de impresión de polivinilsiloxano se tomó la impresión de ambos maxilares, a fin de poder confeccionar sendos modelos de planificación. El material polivinilsiloxano fue seleccionado por su estabilidad y por la posibilidad de confeccionar varios modelos con la misma impresión y con idéntica precisión. El encerado de estudio aditivo (modelado en cera) requiere un análisis exhaustivo que tenga en cuenta las características dentales, la sonrisa y la edad del paciente, el maxilar opuesto y la estructura gingival.
El encerado de estudio aditivo es confeccionado por el protésico dental. No se llevó a cabo preparación alguna del modelo. Además no se proyectó ningún alargamiento incisal y se utilizó poca acera (fig. 11a). El protésico dental era consciente de que el respeto del recorrido de la preparación en la zona del esmalte era un requisito básico. Se llevó a cabo un encerado meticuloso, prestando especial atención al cierre del diastema y al restablecimiento de la superficie morfológica natural en relación con el análisis facial y la función15.
Fig. 11. a El encerado de los incisivos superiores. b y c Una llave de silicona para la preparación de las carillas, que llega hasta los premolares. La llave se divide en el tercio labial de los dientes implicados en el tratamiento. Para la restauración cerámica, sin una preparación adecuada no se dispone de espacio suficiente en la superficie labial.
Se mostró el encerado al paciente. Una vez que el paciente hubo dado su aprobación, se transfirió el encerado a la boca, a fin de poder evaluarlo clínicamente en cuanto a su forma, tamaño y longitud. Para la comprobación tridimensional se aplicó la resina de composite directamente sobre los dientes, sin someter éstos a grabado ácido previo. Por si acaso todavía fueran necesarias modificaciones de este mock-up, se documentaron todos los datos con fotografías digitales, y asimismo se confeccionaron y se enviaron al laboratorio nuevos modelos.
Sin embargo, en este caso no fueron necesarias modificaciones y el paciente estaba de acuerdo con el plan de tratamiento, consistente en la confección de carillas cerámicas de disilicato de litio.
A fin de facilitar la preparación, se confeccionaron tres llaves de silicona: facial, lingual e incisal. La llave incisal, cuyo tercio central fue recortado, se coloca sobre el modelo de cera y se comprueba su ajuste preciso (figs. 11b y 11c). Antes de posicionarlas en boca del paciente, se comprueba la precisión de ajuste de todas las llaves de silicona (fig. 12).
Figs. 12a y 12b. Prueba de la llave de silicona en boca del paciente.
Las llaves de silicona son importantes para la verificación del espacio disponible para la cerámica y para la planificación precisa de la cantidad de esmalte que debe eliminarse.
Preparación del diente
A fin de restablecer el volumen original del diente empleando un método respetuoso, es necesaria una preparación exacta del diente. Para obtener una porción importante de tejido sano, el cual incluye no sólo el esmalte, sino también el decisivo límite amelocementario, pueden establecerse algunos principios básicos16.
Para las carillas laminadas de cerámica, la reducción típica en la zona del esmalte es de 0,5 mm en el tercio cervical, 0,7 mm en los tercios central e incisal y 1,5 mm en la zona de la superposición incisal6. Esta preparación de carilla clásica se rige por el grosor del material restaurador. Sin embargo, en la mayoría de los casos el grosor promedio del esmalte en la zona cervical es inferior a 0,5 mm4, de manera que al eliminar 0,5 mm de esmalte en la zona cervical queda expuesta la dentina2. Si se adhieren carillas laminadas a la dentina, puede observarse un mayor riesgo de fracaso de la restauración7.
De ahí que en las preparaciones para carillas laminadas sea necesaria una preparación mínima y extremadamente respetuosa en la zona del esmalte, a fin de poder garantizar el éxito a largo plazo.
Como ya se ha descrito anteriormente, existen dos técnicas para la preparación de carillas: una que parte de la superficie dental existente y otra que es determinada por el volumen definitivo, establecido por el encerado. En este caso se aplican ambas técnicas. La primera se basa en el encerado de las zonas proximales y la segunda en el esmalte ya existente.
El método extremadamente respetuoso para obtener el espacio libre necesario para la carilla cerámica empieza en la zona proximal. Se aplica una punta de diamante larga y puntiaguda en paralelo al eje longitudinal del diente y a continuación se dirige en dirección al borde proximal. Mediante este procedimiento se rectifican cuidadosamente las zonas retentivas, lo cual facilita la colocación de la futura restauración (fig. 13). En el siguiente paso se procede a la reducción incisal en 1,5 mm sobre la base del encerado. Dado que no existe alargamiento del borde incisal, se realizó una preparación mínima, a fin de conservar la mayor cantidad posible de estructura del esmalte (fig. 14).
Fig. 13 a La preparación proximal mediante una fresa diamantada cónica. Sólo las zonas retentivas de los dientes se nivelan cuidadosamente, a fin de posibilitar la colocación de la futura restauración. b a d Los incisivos superiores tras la reducción proximal.
Figs. 14a y 14b. La reducción incisal.
Antes del tallado de la superficie labial se colocó un hilo de retracción. Se apartan los márgenes gingivales, a fin de gozar de mayor visibilidad para establecer el límite de la preparación gingival. Una llave de silicona colocada muestra las zonas de la superficie del diente que requieren una preparación mínima11. Conforme a la forma dental definitiva y a la estructura dental intacta, se inicia el tallado labial como línea directriz empleando una fresa de diamante esférico. Se practican hendiduras profundas utilizando una bola de diamante de 1,5 mm de diámetro. La diferencia entre el diámetro de la fresa y el diámetro del vástago debe situarse preferentemente en 0,5 mm, lo cual conduce a hendiduras de 0,25 mm de profundidad cuando se aplica el vástago en el tercio incisal de la superficie labial14. De este modo se crea un surco horizontal (se aplica la fresa de tal manera que el vástago se apoye sobre la superficie labial). Bastan tres hendiduras profundas para obtener el control necesario sobre la reducción del esmalte (fig. 15a). Este sencillo paso práctico sirve de ayuda en el paso extremadamente crítico de la reducción del esmalte. El cirujano está así en disposición de determinar la reducción, de modo que su procedimiento conduce a una protección óptima del esmalte.
Fig. 15. a Las hendiduras para la profundidad de 0,25 mm se practican con una fresa diamantada redonda de 1,5 mm con un diámetro del vástago de 1,0 mm. b El inicio de la superficie labial del incisivo central izquierdo. c La vista ligeramente lateral tras el inicio de la preparación.
Para la reducción de las superficies labiales se utiliza un diamante supergrueso ligeramente cónico de extremo redondo (n.º: 5856 018, Brasseler, Lemgo, Alemania). Mediante esta fresa se iguala la profundidad de preparación cuidadosamente y en paralelo a las tres superficies del diente (figs. 15b y 15c). La profundidad de la abrasión proporciona el espacio libre necesario para la construcción de la carilla laminada.
A fin de garantizar el espacio libre suficiente para las carillas laminadas, se comprueba el espacio mediante la llave de silicona recortada por incisal-labial y se confirma así el espacio libre disponible para la superficie labial (fig. 16). La llave de silicona también puede modificarse para crear una llave con varias capas. Si se corta en tres partes transversales, se puede comprobar si se ha realizado una preparación suficiente en los tercios incisal, central y gingival del diente. La llave de silicona labial y lingual sirve para verificar el espacio libre incisal de 1,5 mm. Todos los dientes afectados del tratamiento se preparan empleando la misma técnica (fig. 17).
Fig. 16. a A fin de garantizar una reducción del esmalte mínima, se utiliza una llave de silicona. b Se emplea una sonda periodontal con la llave de silicona para el control del grosor de la preparación.
Figs. 17a a 17c. Vistas frontales y proximales tras la preparación mediante diamantes de tamaño medio.
El acabado y el pulido de la preparación son el requisito para obtener unos modelos precisos. Este paso de trabajo se lleva a cabo con un diamante fino, serie roja (n.º 8856 018, Brasseler). Éste posee la misma forma y el mismo diámetro que la fresa utilizada durante la preparación. El acabado de la preparación elimina todos los rasguños de la fresa previamente empleada (fig. 18). En la figura 19 se ofrece una vista detallada de la preparación extremadamente respetuosa. Tras el acabado se utilizan de nuevo las llaves de silicona para verificar la preparación (fig. 20). Los caninos se pulen únicamente para eliminar eventuales zonas retentivas que pudieran obstaculizar el ajuste de las carillas parciales.
Fig. 18. La preparación pulida terminada.
Fig. 19. Tomas de detalle de la preparación de carilla extremadamente respetuosa. a Vista de los dientes anteriores superiores centrales antes de la operación; b el rebajado de la altura proximal de la forma; c después del rebajado proximal; d el inicio de la reducción; e la preparación terminada tras el pulido.
Figs. 20a y 20b. Se posiciona la llave de silicona y se comprueba de nuevo el espacio libre, a fin de garantizar una reducción ideal del diente antes de la restauración.
Impresión definitiva
Con objeto de lograr una reproducción adecuada de las preparaciones y del tejido blando circundante, se emplea como método de impresión la técnica monofase de doble mezcla. Se colocan dos hilos de retracción en el surco de la encía. El primer hilo es un hilo de retracción fino, se coloca antes del acabado y permanece también durante la toma de impresión, a fin de limitar el flujo de líquido cervical.
El segundo hilo se coloca superficialmente, a fin de apartar el tejido gingival y definir el límite de la preparación. El hilo se coloca 5 min antes de la impresión, para que pueda expandirse por la absorción de agua.
Se utilizó un material de impresión de polivinilsiloxano por su elasticidad y resistencia a la rotura. De este modo se obtienen precisos modelos incluso con vaciado múltiple20. La figura 21 muestra la impresión, aquí se aprecia la influencia de los hilos de retracción, también con una preparación en la que el límite de la preparación discurra a la misma altura que el límite gingival.
Figs. 21a a 21c. La impresión definitiva con polivinilsolixano (Virtual, Ivoclar Vivadent).
Restauración provisional
En la rehabilitación con carillas laminadas, la confección de provisionales ajustados y altamente estéticos constituye un verdadero desafío. Los provisionales de carillas laminadas presentan un grosor reducido, de ahí que las correcciones en clínica sean bastante difíciles, dado que los provisionales de carillas laminadas se rompen muy fácilmente. Para este caso, siempre y cuando todavía falte la retención mecánica de la preparación, se utiliza resina de composite bisacrílica, limitándose la retención a los contactos proximales y el grabado ácido de puntos concretos.
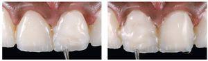
Conforme a la impresión definitiva, se confecciona la restauración provisional con ayuda de un molde de silicona duro tomado del encerado. Se recorta el molde con un bisturí, de tal manera que se creen ventanas para la evacuación del material provisional sobrante (fig. 22). Las preparaciones se someten a grabado ácido durante 30 s en algunos puntos, a continuación se enjuagan y se secan (figs. 23a y 23b). Acto seguido se aplica vaselina sobre el tejido blando, para posteriormente facilitar la eliminación de material sobrante (fig. 23c). La resina bisacrílica (Luxatemp, DMG, Hamburgo, Alemania) se mezcla y se inyecta tanto en el molde de silicona (fig. 24) como sobre los dientes preparados (fig. 25). Se coloca la forma en boca del paciente, donde permanece hasta que finalice la polimerización.
Fig. 22. La vista del lado interior de la llave de silicona, utilizada para la confección del provisional. Obsérvense las porciones recortadas de la llave de silicona, a fin de poder eliminar la resina bisacrílica sobrante.
Fig. 23. a En las preparaciones se someten puntos a grabado con ácido fosfórico durante 30 s. b Tras el lavado y el secado se observa una descalcificación del esmalte. c Se protegen con vaselina las zonas circundantes de los dientes preparados.
Figs. 24a y 24b. La resina bisacrílica se mezcla meticulosamente y se aplica en el molde de silicona.
Figs. 25a y 25b. La resina bisacrílica se aplica directamente sobre la preparación.
Al cabo de 4 min, se comprueba mediante una sonda puntiaguda la conclusión de la polimerización (fig. 26a). Dado que se aisló el tejido blando de la encía, puede eliminarse fácilmente la resina (figs. 26b y 26c), y a continuación se retira el molde de silicona (fig. 27a). El material sobrante se elimina cuidadosamente con un bisturí n.º 12, a fin de evitar dañar el tejido (fig. 27b). Para mejorar la estética de los provisionales y evitar un efecto monocromo, se lleva a cabo una caracterización desde el exterior (figs. 28a a 28c).
Figs. 26a a 26c. Mediante un instrumento de examen puntiagudo se elimina la resina sobrante.
Fig. 27. a Tras la retirada cuidadosa de la llave de silicona todavía existe una pequeña porción de material sobrante; b se eliminan los sobrantes con un bisturí del n.º 12.
Fig. 28. La individualización del provisional. a Se aplica color ocre en la zona proximal en dirección a la encía; b se utiliza color azul para imitar la translucidez incisal; c mediante color blanco se crean fisuras y un margen incisal; d se aplica un barniz de glaseado fotopolimerizable (Dry Coat, DMG) sobre todo el provisional y se fotopolimeriza durante 40 s.
Se aplica sobre los provisionales un barniz de glaseado de resina (Dry Coat, DMG), y a continuación se fotopolimeriza cada diente durante 40 s (fig. 28d). A fin de evitar la formación de una capa de inhibición debido a la acción del oxígeno, los provisionales están totalmente recubiertos con un gel de glicerina a base de agua. Acto seguido se fotopolimerizan durante 20 s (fig. 29). Se elimina el gel de glicerina y se pulen los provisionales con puntas de silicona, seguidas de un disco de felpa (Flexibuff, Cosmedent, Chicago, IL, EE. UU.) y con una pasta de pulido de óxido de aluminio (Enamelize, Cosmedent) (fig. 30). Se comprueban los provisionales, a continuación se toma una impresión con hidrocoiloide y se envía al laboratorio para el encerado definitivo sobre el modelo maestro. Un día después de la preparación y de la rehabilitación provisional, se toma una nueva serie de fotografías para facilitar la evaluación del resultado. Se envían al laboratorio las impresiones definitivas, los modelos de los provisionales, los registros de mordida y las informaciones cromáticas.
Figs. 29a y 29b. Tras la aplicación de un gel de glicerina hidrosoluble que impide la oxidación de la capa de inhibición se lleva a cabo una polimerización adicional.
Figs. 30a y 30b Vista de los provisionales terminados. Se obtiene un brillo adicional mediante el pulido con una pasta de óxido de aluminio (Enamelize, Cosmedent) y un disco de felpa (FlexiBuff, Cosmedent).
Prueba en boca y cementado de las restauraciones definitivas
En correspondencia con la preparación extremadamente respetuosa, se optó por una cerámica de disilicato de litio grabable altamente translúcida (e.max Press, Ivoclar Vivadent, Schaan, Liechtenstein).
A partir de ésta se prensó el núcleo, el cual fue recubierto con una cerámica vítrea de nano-flúor-apatita (e.max Ceram, Ivoclar Vivadent). Las carillas parciales en los caninos superiores se cocieron sobre un modelo pirorresistente (fig. 31). Se citó al paciente al cabo de tres semanas para la inserción de las restauraciones definitivas.
Figs. 31a y 31b. Las carillas laminadas cerámicas de disilicato de litio (e.max Press/e.max Ceram, Ivoclar Vivadent) sobre el modelo maestro. Las pequeñas carillas parciales en los caninos superiores se cuecen sobre un modelo pirorresistente (e.max Ceram).
En virtud del protocolo hemostático preciso con hilos finos, el tejido blando estaba sano al cabo de 21 días. Antes de la inserción definitiva de las restauraciones cerámicas se procedió a una prueba en boca para escoger el color ideal del cemento de resina. Tras la retirada de los provisionales se eliminó mediante discos de óxido de aluminio (Soft-Lex, 3M Espe, Seefeld, Alemania) la capa adhesiva que se encontraba en las superficies grabadas. Dado que se preparó únicamente en la zona del esmalte, fue posible llevar a cabo la prueba en boca del paciente sin anestesia.
A fin de obtener un resultado óptimo, los procesos de adhesión en caso de carillas laminadas muy finas requieren un alto grado de atención. En este caso se utilizó para la prueba en boca un material adecuado con una pasta, con objeto de escoger el color más indicado para el cemento de resina. La pasta para la prueba en boca es un gel de glicerina hidrosoluble que simula el resultado terminado. La figura 32 muestra la diferencia de color durante la prueba en boca.
Fig. 32. El color y la adaptación se comprueban mediante una pasta para prueba en boca a base de glicerina (Variolink Veneer Try-in Paste, Ivoclar Vivadent). Se probaron dos colores distintos: uno de baja claridad (LV-3) para el incisivo central derecho y uno con un grado de claridad elevado (HV+3) para el incisivo central izquierdo. El paciente participó activamente en la elección del color.
Se probaron distintos colores de pasta con mayor y menor intensidad (Variolink Veneer Try-in Paste, Ivoclar Vivadent). El paciente, el protésico dental y el odontólogo se decidieron de común acuerdo por un cemento de resina fotopolimerizable con un alto grado de claridad (Hohes Value HV+3, Variolink Veneer, Ivoclar Vivadent) para cementar definitivamente las restauraciones (fig. 33). El cemento de resina fotopolimerizable es preferible a las resinas de fraguado dual o autopolimerizables para el cementado de carillas laminadas, en virtud de su estabilidad cromática a largo plazo.
Fig. 33. Las cuatro carillas laminadas de los dientes anteriores realizadas en disilicato de litio se colocaron con una pasta de prueba en boca de gran claridad. Éste fue también el color de pasta finalmente seleccionado.
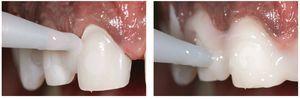
Se anestesió al paciente, a fin de evitarle cualquier molestia durante la adhesión. Dado que el tejido blando circundante estaba perfectamente cicatrizado, no se utilizó hilo de retracción. Se limpiaron las preparaciones. A continuación se adaptó un dique de goma para evitar la contaminación con saliva y facilitar los procesos de adhesión. Se comprobó nuevamente el ajuste proximal de las restauraciones. En primer lugar se adhirieron las carillas parciales de los caninos.
Se chorrearon con óxido de aluminio 50 µm las superficies internas de las carillas cerámicas de disilicato de litio (así como las de las carillas parciales) (fig. 34a) y a continuación se sometieron a grabado ácido con ácido fluorhídrico al 9% durante 20 s. Tras el grabado ácido de las carillas, el cemento de resina puede penetrar mejor en los espacios intermedios de las superficies internas, incrementando así la fuerza adhesiva y la durabilidad (figs. 34b y 34c). Se enjuagan las superficies grabadas y a continuación se limpian las carillas en agua destilada con ultrasonidos durante 5 min.
Fig. 34. a Una imagen al microscopio electrónico de una carilla laminada de disilicato de litio tras el chorreo con polvo de óxido de aluminio de 50 µm (35.000 aumentos). b Una imagen al microscopio electrónico del lado interno de una carilla laminada de disilicato de litio tras el grabado con ácido fluorhídrico al 9% y subsiguiente limpieza en agua destilada con ultrasonidos (35.000 aumentos). c Una imagen al microscopio electrónico de la capa intermedia de una carilla laminada de disilicato de litio (35.000 aumentos).
Las superficies grabadas secadas se humedecen durante 2 min en líquido de silanización. A continuación se recubren las superficies con un líquido de adhesión hidrófobo sin relleno (Heliobond, Ivoclar Vivadent), se chorrean y se dejan sin polimerizar. La cerámica se protege con un recubrimiento de resina negra, a fin de evitar la polimerización prematura del líquido de adhesión.
Las preparaciones extremadamente respetuosas se someten a grabado con ácido fosfórico al 35% durante 60 s (UltraEtch, Ultradent, Múnich, Alemania), se enjuagan y se secan con aire. El mismo adhesivo hidrófobo se aplica tanto sobre la cerámica como sobre las superficies de esmalte grabadas, se distribuye en una capa fina con aire y se deja sin polimerizar.
El cemento de resina fotopolimerizable previamente escogido (Variolink Veneer) se aplicó sobre la restauración cerámica preparada y a continuación se colocó ésta sobre el diente. Tras la eliminación cuidadosa del cemento de resina sobrante se fotopolimeriza la restauración mediante un aparato de fotopolimerización LED (Bluephase, Ivoclar Vivadent). Para ello se utiliza el modo de baja potencia durante 40 s por cada lado.
Se aplica un gel de glicerina hidrosoluble (Liquid Strip, Ivoclar Vivadent) como protección contra el aire y se polimeriza nuevamente la restauración durante 40 s por superficie en el modo de alta potencia. Con objeto de evitar rasguños en la superficie cerámica, se elimina con un bisturí de la forma n.º 12 el cemento de resina sobrante. Se adhiere siempre una sola carilla cada vez. Una vez se han fijado todas las carillas, se lleva a cabo un procedimiento de acabado muy preciso empleando tiras de pulido. Las tiras de pulido proximales se utilizan para la eliminación y el pulido de excesos de cemento adhesivo y de resina.
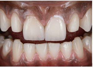
Se retira el dique de goma y se corrige la oclusión mediante un sistema de pulidores de diamante para cerámica. El tejido gingival sano estaba estable al cabo de dos semanas (figs. 35 y 36). Las figuras 37 y 38 muestran la sonrisa del paciente seis meses después del cementado.
Fig. 35. La imagen de detalle muestra el perfil de emergencia y el estado periodontal sano del incisivo central izquierdo.
Fig. 36. La situación al cabo de tres meses.
Figs. 37 a 40. La situación final al cabo de seis meses.
Conclusión
El éxito clínico de las carillas laminadas se basa en cuatro factores importantes: protección de la capa de esmalte, elección de la cerámica (cerámica grabable), el proceso de adhesión y unos ajustes oclusales meticulosos. Estos factores dependen de los conocimientos del responsable del tratamiento y del protésico dental sobre la biología y las propiedades de los materiales dentales. El método de la preparación extremadamente respetuosa en combinación con la cerámica de inyección altamente translúcida facilita el éxito del resultado protésico y clínico.
Agradecimientos
El autor agradece al Sr. Dudu Medeiros por las fotografías de retrato del paciente para la presentación de este caso.
Correspondencia
Oswaldo Scopin de Andrade, DDS, MSc, PhD.
Rua Barão de Piracicamirim, 889, apt 61, Piracicaba, São Paulo, Brasil.
Gilberto A. Borges, DDS, MSc, PhD.
Department of Dental Materials and Restorative Dentistry,
University of Uberaba, Brasil.
Ariovaldo Stefani, DDS,
Fábio Fujiy, DDS, CDT.
Advanced Program in Implant and Esthetic Dentistry,
Senac University, São Paulo, Brasil.
Paulo Battistella, CDT.
PB Studio, São Paulo, Brasil.






































