La recesión gingival es la localización de los tejidos periodontales apical a la unión amelocementaria1 (UAC). Para cubrir las superficies radiculares expuestas, se han propuesto diferentes técnicas quirúrgicas, como el injerto de tejido gingival/conectivo, los distintos diseños de colgajos, y la regeneración tisular guiada2. Con estos procedimientos pueden obtenerse distintos grados de éxito y previsibilidad3-7. Aunque ningún tratamiento puede considerarse superior a los otros8, parece que los enfoques basados en la regeneración resultan muy prometedores para conseguir cobertura radicular y formación de un ligamento periodontal funcional9.
El uso de derivados de la proteína de la matriz del esmalte (DME) representa una de las modalidades de ingeniería tisular de los tratamientos periodontales regenerativos. Se ha dicho que estas proteínas, involucradas en la formación de cemento durante el desarrollo de los tejidos periodontales y radiculares, tienen el potencial de inducir la regeneración del aparato de inserción periodontal. Los DME obtenidos de dientes embrionarios de cerdo han sido ampliamente estudiados en animales y humanos, y han demostrado signos evidentes de regeneración tisular10-20. Tres informes sobre biopsias humanas revelaron que mediante la aplicación tópica de DME puede conseguirse una verdadera regeneración periodontal21-23. Se han llevado a cabo diferentes investigaciones clínicas y estudios de casos para evaluar el uso de DME en el tratamiento de distintos tipos de defectos periodontales; sin embargo, el volumen de los estudios publicados que evalúan el uso de DME como ayuda a las técnicas quirúrgicas convencionales en el tratamiento de las recesiones gingivales es limitado, y estos han dado lugar a resultados contradictorios respecto a los beneficios clínicos24-33. En este escenario, los ensayos que presentan la eficacia de los procedimientos combinados en el tratamiento de las recesiones gingivales pueden añadir información valiosa para el clínico a la hora de considerar alternativas de tratamiento efectivas y predecibles para la cobertura de la superficie radicular.
El propósito de este artículo es presentar los resultados del seguimiento a un año de la cobertura radicular con tejidos blandos obtenida mediante aplicación de DME y colgajo de desplazamiento lateral.
Descripción de casos
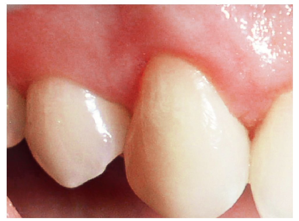
Dos mujeres de 36 y 25 años de edad fueron tratadas por recesiones gingivales en las caras vestibulares de los caninos superiores que les ocasionaban sensibilidad y problemas estéticos (figs. 1 y 2). Las pacientes presentaban buen estado de salud general y no presentaban ninguna contraindicación para la cirugía periodontal. No tenían alergias conocidas a ninguna medicación y negaron consumir alcohol. Tampoco eran fumadoras. Tras un exhaustivo examen clínico, recibieron instrucciones de control de placa y fueron sometidas a limpieza dental profesional en todas las superficies dentarias. Mediante una sonda periodontal manual graduada (CO 15 UNC, Hu-Friedy) se midieron la profundidad de la recesión, la encía queratinizada, profundidad de sondaje, y nivel de inserción clínica.
Figura 1. Aspecto inicial del caso 1.
Figura 2. Aspecto inicial del caso 2.
Procedimiento de tratamiento
En ambos casos se empleó la técnica de colgajo de desplazamiento lateral pediculado unilateral para asegurar el cierre primario con la encía atravesando el ángulo línea distal del incisivo lateral. Antes de la cirugía, se suavizó la convexidad prominente de la raíz mediante fresas de diamante. Se realizó una incisión en forma de V alrededor de la raíz denudada para eliminar el epitelio y tejido conectivo adyacentes. En la zona opuesta al área donante se biseló la incisión en V para permitir el solapamiento y aumentar la vascularidad del tejido donante en la zona (fig. 3). Las incisiones intrasulculares se extendieron distalmente a la recesión, a dos dientes. Se realizó una incisión de descarga hacia la mucosa, en correspondencia con el ángulo línea del segundo premolar (fig. 4).
Figura 3. Biselado de la incisión en forma de V.
Figura 4. Incisión vertical de descarga hacia la mucosa.
En la porción coronal se elevó un colgajo mucoperióstico de espesor total, que en su extremo apical resultó más que un colgajo de espesor parcial por disección parcial de la mucosa, para movilizar el colgajo, asegurando un posicionamiento lateral pasivo. La disección parcial se extendió apicalmente en el tejido mucoso lo suficiente como para permitir una adecuada movilidad del colgajo.
El colgajo quedaba lo suficientemente libre como para permitir su movimiento hacia la zona receptora, sin tensión (fig. 5). Mediante el empleo de instrumentos manuales, se alisó a continuación suavemente la porción expuesta de las raíces para disminuir el riesgo de eliminación de fibras periodontales intactas en las superficies radiculares. El área quirúrgica se lavó con suero salino estéril, y las superficies radiculares expuestas de todos los dientes se acondicionaron durante 2 min con ácido etilendiaminotetracético (EDTA) en gel (pH 6,7) (PrefGel, Straumann). En este punto, se lavaron de nuevo las superficies radiculares de forma profusa con suero salino. A continuación se aplicó un gel de DME, como Emdogain (Straumann), sobre las superficies radiculares (fig. 6).
Figura 5. Posicionamiento lateral pasivo.
Figura 6. Aplicación de DME.
Después se reposicionó lateralmente el colgajo pediculado y se solapó con la porción biselada externamente de la incisión en V en el ángulo línea distal del incisivo lateral. El colgajo se aseguró mediante sutura. Se realizó una sutura simple a las regiones de papila para traccionar de la papila interproximalmente y mantener el tejido bien ajustado contra los cuellos de los dientes (fig. 7). Después del reposicionamiento lateral del colgajo, se procedió a la colocación de un injerto gingival libre sobre el hueso expuesto (ver fig. 7). No se aplicó ningún apósito periodontal en el área quirúrgica. Después de un periodo de curación de 2 semanas, se retiraron las suturas.
Figura 7. Sutura y colocación de un injerto gingival libre.
El cuidado postquirúrgico se dirigió a mantener una buena estabilidad en la curación y un buen control de la infección. Las pacientes recibieron antibiótico por vía sistémica durante 2 semanas del postoperatorio. El régimen consistió en la administración oral de doxiciclina 200 mg el primer día y 100 mg los días posteriores. Además, se advirtió a las pacientes que evitaran masticar chicle en el área quirúrgica y que se enjuagaran dos veces al día con una solución de digluconato de clorhexidina al 0,2% durante 4 semanas. Después de 4 semanas, reasumieron un cepillado dental suave en el área quirúrgica. Se citaron visitas de control cada segunda semana durante los primeros dos meses después del procedimiento quirúrgico, y una vez al mes durante el restante periodo de observación. Durante el periodo de seguimiento de 12 meses, no se realizó instrumentación subgingival ni sondaje de las áreas intervenidas. A los 12 meses, se reevaluaron los casos y se repitieron todas las mediciones (fig. 8).
Figura 8. Aspecto clínico postoperatorio a los doce meses del caso 1.
Resultados de tratamiento
La curación postoperatoria se produjo sin contratiempos, y sin complicaciones (reacciones alérgicas, abscesos, infecciones, o dehiscencias de los colgajos). Al inicio del tratamiento, las recesiones gingivales eran de 4,0 mm cada una en ambos casos, con una profundidad de sondaje de 1,0 mm. El nivel de inserción clínica en cada caso era de 5,0 mm. La cantidad de encía queratinizada en los casos 1 y 2 era de 2,0 mm y 0,5 mm respectivamente.
Inmediatamente después de la cirugía, sólo el caso 2 mostró algo de recesión (1,0 mm); a los 3 meses, la recesión era de 0,5 mm y 1,5 mm para los casos 1 y 2, respectivamente.
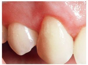
En el curso de la curación, el margen de tejidos blandos sobre los dientes tratados mostró cierto grado de contracción en los primeros meses (fig. 9). En el control de 1 año, se observó una cobertura radicular completa en ambos casos (100% de cobertura radicular) (figs. 8 y 10) con profundidades de sondaje de 0,5 mm y una ganancia de inserción clínica de 5,0 mm en cada caso, indicando una reducción de 0,5 mm en la profundidad de sondaje y un tejido de cobertura de 0,5 mm de altura (encía por encima de la UAC). En ambos casos aumentó la cantidad de encía queratinizada, revelando una ganancia de 4,0 mm y 6,5 mm respectivamente. En los dientes donantes no se produjo ninguna recesión.
Figura 9. Aspecto clínico postoperatorio a los tres meses del caso 2.
Figura 10. Aspecto clínico postoperatorio a los doce meses del caso 2.
Discusión
Este trabajo presenta los resultados a un año de la técnica de colgajo de desplazamiento lateral pediculado unilateral auxiliada por el uso de un material bioactivo derivado de la proteína de la matriz del esmalte para el tratamiento de recesiones de tejido marginal en dos caninos superiores de dos pacientes. El procedimiento quirúrgico empleado en estos dos casos clínicos produjo la cobertura completa de las recesiones gingivales. Se consiguieron buenos resultados clínicos con cobertura radicular del 100%. No se produjeron recesiones gingivales en los dientes donantes.
El seguimiento a un año demostró cambios en el grado de los resultados postoperatorios obtenidos inmediatamente después de la operación y a los tres meses. En el segundo caso el colgajo pediculado sobre la superficie del canino expuesto sólo se pudo reposicionar 1,0 mm más allá de la UAC en el momento de la cirugía, y en ambos casos, a los 3 meses de la intervención, todavía podían observarse recesiones en los dientes receptores. Sin embargo, tras la maduración tisular, en los dos casos se obtuvo cobertura radicular completa, con una profundidad de sondaje de 0,5 mm y un total de 5,0 mm de ganancia de inserción clínica, indicando una reducción de 0,5 mm en la profundidad de sondaje y un tejido de cobertura de 0,5 mm de altura (encía por encima de la UAC). Este fenómeno ya había sido observado previamente por Matter y Cimasoni34. En los procedimientos mucogingivales convencionales, se observa habitualmente tejido de cobertura, aunque la cobertura completa de los defectos residuales no es predecible a largo plazo35,36.
Los objetivos más importantes de la cirugía plástica periodontal son la obtención de una cobertura de las superficies radiculares expuestas óptima y predecible con surcos sin sangrado al sondaje y profundidades de 2 mm o menos junto con la corrección de las recesiones gingivales correspondientes. Para estos objetivos se han empleado ampliamente las técnicas quirúrgicas mucogingivales convencionales y sus variantes, como los injertos pediculados de tejidos blandos de los dientes adyacentes3-5,37. El colgajo de desplazamiento lateral es uno de los procedimientos quirúrgicos convencionales para cubrir los defectos de recesión. Puede usarse siempre que existe tejido donante disponible adyacente a la recesión gingival, por su diseño pediculado permite mantener el aporte sanguíneo del injerto, y presenta las ventajas de una excelente imitación del color y la textura. Sin embargo, la curación contra la superficie radicular, tras el tratamiento, se caracteriza por una inserción parcialmente epitelial y parcialmente conectiva, mientras que rara vez puede observarse la formación de cemento38. Como los fibroblastos gingivales tienden a repoblar la superficie radicular de forma más rápida que las células del ligamento periodontal, la curación no suele conducir a la formación de un ligamento periodontal funcional. Por otra parte, durante la curación existe cierto riesgo de reabsorción radicular en las raíces directamente expuestas a los fibroblastos gingivales39.
Recientemente, se ha intentado conseguir una cobertura óptima empleando técnicas quirúrgicas combinadas basadas en los principios del tratamiento periodontal regenerativo. Los procedimientos regenerativos inducen una mayor cementogénesis y la consiguiente generación de una inserción de tejido conectivo nueva con fibras de colágeno orientadas funcionalmente, lo cual resulta deseable para el éxito de la cobertura radicular. Uno de los procedimientos de tratamiento para maximizar el potencial regenerativo es la combinación de los colgajos convencionales pediculados con membranas de barrera siguiendo los principios de la regeneración tisular guiada6,7 (RTG). Sin embargo, en una revisión reciente, Danesh-Meyer y Wikesjo40 mencionaron que la RTG no siempre consigue beneficios clínicos adicionales sobre las técnicas mucogingivales convencionales. Las dificultades técnicas de la RTG resultan embarazosas para el clínico en aspectos como el control del cierre primario de las heridas, exposición de las membranas, mantenimiento del espacio, y reacciones indeseables a cuerpos extraños. Como, para el éxito de la cobertura radicular, es importante la curación del tejido en contacto directo con la superficie radicular, el empleo de DME puede representar un tratamiento alternativo de considerable valor en este proceso. Por otro lado el DME es fácil de usar en clínica y presenta una baja morbilidad para el paciente41. También es de destacar que el DME obvia el problema de la exposición de la membrana de barrera. Además, siguiendo los fundamentos de la ingeniería de tejidos, en los casos presentados este biomaterial regenerativo se combinó con una técnica quirúrgica mucogingival para maximizar el éxito de la cobertura de tejidos blandos.
Uno de los factores más importantes en la consecución del éxito en cualquier tipo de procedimiento quirúrgico mucogingival es la preservación de un adecuado aporte sanguíneo. El colgajo de desplazamiento lateral pediculado empleado en estos casos se diseñó para permanecer estable y viable, y se tuvo especial cuidado en asegurar una adecuada revascularización. El pedículo aseguró un aporte abundante de sangre y permitió el desplazamiento lateral del colgajo sin tensión, evitando así problemas en la vascularización. En la literatura, los estudios clínicos que han empleado colgajos rotacionales han revelado distintos porcentajes de cobertura radicular3,42-44. A pesar de ello, con estas técnicas la cobertura radicular completa parece un resultado infrecuente, obteniéndose resultados de tratamiento menos favorables en las zonas con grandes recesiones (> 3,0 mm). En los estudios que han reseñado datos describiendo las dimensiones gingivales3,42,43, se han evidenciado aumentos de la altura gingival de 2,8 a 3,2 mm en los exámenes de seguimiento. El porcentaje de cobertura radicular en los dos casos presentados aquí fue del 100% con ganancias de 4,0 mm y 6,5 mm de tejido queratinizado, respectivamente. Aunque con sólo dos casos y sin controles no pueden obtenerse conclusiones sólidas respecto a los posibles efectos aditivos del DME, el enfoque de tratamiento combinado empleado en estos dos casos reveló un cierre completo de las superficies radiculares con un importante aumento de tejido queratinizado.
Las reducciones de las recesiones en los casos presentados se correspondieron con la ganancia media de inserción, mientras que la profundidad de bolsa al sondaje permaneció esencialmente sin cambios. Esta observación debería en realidad ser confirmada mediante análisis histológico para poder sugerir que la cobertura radicular se consiguió mediante generación periodontal. Las consideraciones éticas hicieron imposible sustanciar la hipótesis de regeneración periodontal mediante histología. Los casos presentados han sido reseñados tan sólo para mostrar los resultados clínicos de un procedimiento de cobertura radicular empleando DME, y no para analizar la curación de las heridas histológicamente. Sin embargo, el uso de DME parece suficiente para la promoción de la regeneración periodontal. La posibilidad de favorecer una pronta curación de las heridas de los tejidos blandos periodontales y de obtener una nueva inserción de tejido conectivo ya han sido demostradas en estudios animales y humanos tanto a nivel clínico como histológico11,12,21,45,46.
En un reciente estudio, se ha visto que el colgajo de avance coronal con DME dispone a nivel histológico de todos los tejidos necesarios para la regeneración: cemento nuevo, fibras de ligamento periodontal organizándose, e islotes de hueso condensante. Los cortes histológicos sugieren insistentemente que el DME trabaja de manera biomimética imitando el proceso natural de desarrollo dentario21-23. Además puede resultar beneficioso emplear DME con colgajo de desplazamiento lateral para evitar el riesgo de crear recesiones en los dientes adyacentes. El diseño convencional del colgajo de desplazamiento lateral se basa en el transporte de encía de las superficies radiculares de los dientes adyacentes, por lo que siempre existe el riesgo de originar una recesión en los dientes donantes debido a la denudación de la tabla ósea3,4,37. En un estudio previo de este mismo autor y otros colaboradores que evaluaba el efecto del DME sobre tipos horizontales de defectos, no se midió ninguna reabsorción de hueso marginal postoperatoria en comparación con la técnica convencional de colgajo sin DME19. Creemos que el DME permite mantener la reabsorción ósea marginal a niveles mínimos.
Existen datos limitados en la literatura sobre empleo de DME como ayuda a la cirugía mucogingival. Modica et al24, en un estudio que combinaba el colgajo de avance coronal con la aplicación de DME para el tratamiento de las recesiones gingivales vestibulares, sugirieron que el DME no pareció aumentar de forma significativa los resultados clínicos de la recesión gingival. En un estudio correspondiente, Hagewald et al26 determinaron que con la excepción de la ganancia de tejido queratinizado, que fue significativamente más elevada en el grupo en el que se empleó DME, todas las demás variables clínicas no fueron diferentes entre los grupos. Rasperini et al25, por otro lado, estudiaron el injerto de tejido conectivo subepitelial en el tratamiento de las recesiones gingivales humanas tanto desde el punto de vista clínico como histológico y reseñaron resultados satisfactorios comparables a los de membranas de barrera periodontales. Carnio et al28, en un diseño de estudio similar al de Rasperini et al, presentaron 4 casos con signos clínicos e histológicos de cobertura radicular satisfactoria. Berlucchi et al27 reseñaron buenos resultados clínicos con un porcentaje de cobertura radicular comparable o superior al de otras técnicas cuando se combinó DME con colgajo de avance coronal o colgajo de avance coronal con injerto de tejido conectivo para el tratamiento de recesiones gingivales. Según los resultados de un reciente estudio de Cueva et al30, la aplicación de DME a superficies radiculares denudadas tratadas con colgajos de avance coronal aumentó significativamente el porcentaje de cobertura radicular comparado con el de colgajos de avance coronal sin DME. Además, la aplicación de DME se acompañó de un importante aumento de tejido queratinizado después de 6 meses tras la cirugía.
Nemcovsky et al31, en otro estudio sobre tratamiento de recesiones gingivales, compararon la eficacia clínica del procedimiento de colgajo de avance coronal combinado con DME con la del injerto de tejido conectivo subpediculado. Encontraron que el injerto de tejido conectivo era superior al colgajo posicionado coronalmente combinado con DME en porcentaje de cobertura y en aumento de anchura del tejido queratinizado. Además señalaron que el procedimiento DME es un tratamiento predecible para la cobertura radicular que es relativamente fácil de acometer y que resulta especialmente adecuado cuando no es de vital importancia un aumento sustancial de anchura del tejido queratinizado.
La diferencia de resultados y conclusiones de estos estudios puede explicarse en parte por la naturaleza de las lesiones tratadas y en parte por la selección de casos, técnica quirúrgica, acondicionamiento radicular, diseños de los estudios, y métodos de evaluación. Sin embargo, en la literatura no existe ningún estudio que combine DME con el colgajo de reposicionamiento lateral.
Los resultados obtenidos bien en forma de cobertura radicular o en forma de resultado estético pueden considerarse positivos en los casos presentados aquí. La mejora de la estética es una de las principales indicaciones de la cirugía mucogingival y representa un parámetro subjetivo, que puede ser determinado también por el paciente. Nuestras pacientes declararon estar felices y encontraron que los resultados satisfacían suficientemente sus requerimientos personales. Esta técnica quirúrgica nos permitió cubrir las recesiones gingivales con un procedimiento en un solo paso y además presenta la ventaja de ocasionar una sola herida quirúrgica, evitando molestias palatinas al paciente, y permitiendo conseguir una buena compatibilidad del color con los tejidos adyacentes.
Los resultados a un año de estos dos casos son muy alentadores. Se requieren más estudios controlados para poder juzgar adecuadamente los beneficios clínicos del DME empleado como ayuda a los colgajos de reposicionamiento lateral.
Correspondencia: Dr. Bahar Eren Kuru.
Marmara University Dental Faculty, Department of Periodontology, Büyükciftlik sok. No: 6 Nisantasi, 80200, Estambul, Turquía.
Correo electrónico: btkuru@superonline.com











