En general, las reabsorciones se suelen diagnosticar radiográficamente como un hallazgo casual, y muchas veces ya en fases avanzadas. Sin tratamiento, estas reabsorciones inducidas y mantenidas por un estímulo crónico, habitualmente inflamatorio, adoptan un curso progresivo destructivo. Para tratar las reabsorciones internas y externas es necesario endodonciar el diente afectado y obturar la laguna de reabsorción generada. La compactación termoplástica con gutapercha o MTA es el procedimiento de elección para las reabsorciones internas, mientras que para las reabsorciones externas se utilizan MTA, cemento tipo IRM o composite. Las reabsorciones cervicales constituyen una excepción, ya que en el estadio inicial no requieren tratamiento endodóntico debido a la presencia de una capa intacta de predentina que protege las estructuras endodónticas.
Las reabsorciones se caracterizan por la presencia de defectos en el tejido duro dentario localizados típicamente en la zona de la raíz y de gravedad variable. Las reabsorciones internas dan lugar a un ensanchamiento redondo- ovalado de la luz del conducto radicular y pueden aparecer a cualquier nivel a partir del tejido pulpar2,9. Las reabsorciones externas se desarrollan a partir del ligamento periodontal y penetran desde la superficie radicular a las zonas más profundas en forma de lagunas irregulares. Las reabsorciones cervicales4,7,8,19,20 representan una forma especial de reabsorción externa. Penetran desde un defecto localizado en la zona cervical hacia el interior de la dentina donde se extienden de forma errática en sentido vertical.Estos procesos de reabsorción se deben en la mayoría de los casos a un estímulo inflamatorio crónico de origen endodóntico o periodontal. Sin tratamiento, la enfermedad tiene un curso progresivo caracterizado por una pérdida gradual del tejido duro dentario1,7,8,19.
EtiologíaEl hueso está sometido a un proceso de remodelación continuo por acción de los osteoclastos y los osteoblastos que no suele afectar a la sustancia dura dentaria a pesar de ser también un tejido mineralizado y de la proximidad anatómica. Fisiológicamente, la superficie radicular interna y también la externa están protegidas contra los ataques de las células clásticas. El cemento radicular situado en la parte exterior de la raíz está recubierto por una capa de precemento no mineralizado rico en cementocitos, y la cara interna de la dentina radicular está protegida por la predentina y los odontoblastos. Sin embargo, las células multinucleadas requieren una superficie mineralizada para la colonización y para su activación4,8,10,11,20.
La lisis de los tejidos duros dentarios se produce por dos vías. Una vez adheridas a la superficie de los tejidos duros, las células clásticas generan un microambiente con un pH situado entre 3,0 y 4,5. En este medio ácido se produce una disolución de los cristales de hidroxiapatita. Posteriormente, la estructura orgánica empieza a disolverse por acción de enzimas proteolíticas, colagenasas y proteinasas11.
Si como resultado de la presencia de noxas (traumatismos, calor, estímulos químicos) los tejidos protectores sufren daños mecánicos o un proceso de mineralización, se crean las condiciones necesarias para que el área afectada pueda ser atacada y se inicie la reabsorción2,8,20. Los factores intrínsecos presentes en la predentina y en el precemento representan otros mecanismos a los que se atribuye un efecto protector como cofactores10,11. Así y todo, la etiopatogenia de las reabsorciones no está del todo esclarecida.
Para que una reabsorción se mantenga hace falta un estímulo persistente además del daño primario de la superficie radicular interna o externa. En general, se trata de un estímulo inflamatorio crónico de origen endodóntico o periodontal, pero pueden intervenir también otros factores como la presión resultante de movimientos ortodóncicos, quistes o dientes desplazados1,8,9,11,20 (figs. 1 y 2).
- 1.
Lesión primaria de los tejidos protectores (precemento/predentina):
- –
Mecánica: traumatismo, traumatismo oclusal, repercusiones de movimientos ortodóncicos.
- –
Química: material de obturación, blanqueamiento.
- –
Térmica: traumatismo provocado por la preparación, confección de provisionales.
- –
- 2.
Estimulación del proceso patológico a través de:
- –
Estímulo infeccioso (periodontal/endodóntico).
- –
Presión (tratamiento ortodóncico, quiste, diente retenido).
- –
La reabsorción interna, en el pasado denominada también granuloma interno, se origina a partir de una inflamación crónica del tejido pulpar. En la anamnesis existen a menudo antecedentes de traumatismo de los dientes anteriores o traumatismo provocado por la preparación. En conjunto, la prevalencia es baja y se indican cifras de incidencia que varían entre un 0,1 y un 1,64%2,8,9. Para que la reabsorción interna se mantenga hace falta tejido apical vital. En la zona de la laguna de reabsorción, el tejido pulpar se transforma en tejido de granulación y es frecuente hallar una zona necrótica infectada en sentido coronal. La reabsorción interna se detiene una vez se haya necrosado totalmente el tejido pulpar o se elimine todo el tejido vital en el transcurso de un tratamiento endodóntico3,8,9,20.
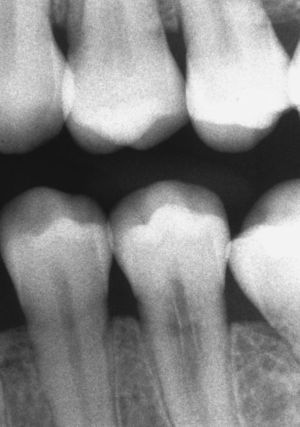
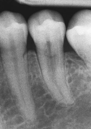
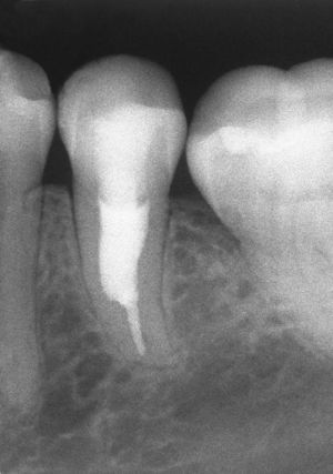
SintomatologíaLos dientes afectados pueden permanecer asintomáticos durante mucho tiempo. La prueba de sensibilidad puede ser positiva o negativa en función de la localización. Las profundidades de sondaje no están alteradas y no se observa movilidad dentaria. El diagnóstico suele ser el resultado de un hallazgo radiográfico casual (figs. 3 y 4) o producirse a raíz de una perforación y de una infección secundaria por la expansión del proceso original. El proceso se puede transparentar en forma de mancha rojiza («pink spot») si la laguna de reabsorción se localiza en la zona de la corona.
Las reabsorciones internas se caracterizan por los signos radiográficos siguientes:
- •
Ensanchamiento oval de la luz del conducto.
- •
Lesión bien delimitada.
- •
Lesión simétrica.
- •
Posición estacionaria incluso en una proyección radiológica excéntrica complementaria.
- •
Espacio periodontal continuo.
El tratamiento consiste en la endodoncia del diente afectado. Para detener el proceso hay que eliminar totalmente el tejido pulpar, incluida la porción apical vital. En función de la extensión y de la ubicación de la laguna de reabsorción se debe considerar la posibilidad de derivar al paciente a un endodoncista.
Acceder a la sección transversal íntegra de la laguna de reabsorción no es posible, dado que haría falta dilatar en exceso la luz del conducto radicular debilitando gravemente la raíz2,3,8. Por lo tanto, la parte más importante de la preparación corresponde a la irrigación ultrasónica de gran volumen con hipoclorito sódico al 2,5%. Dado que en las reabsorciones internas no se puede descartar una posible perforación a los tejidos adyacentes, se considera que el uso de una concentración de hipoclorito sódico al 2,5% representa una buena solución de compromiso, ya que es suficientemente activa, pero no daña los tejidos en caso de perforación. La instrumentación y la obturación de la porción del conducto situada en apical de la laguna de reabsorción y de la laguna de reabsorción propiamente dicha constituyen un auténtico desafío.
El tratamiento se debe efectuar en dos tiempos con la aplicación de hidróxido de calcio para la desinfección y la neutralización del pH en la zona de la reabsorción. El hidróxido de calcio inhibe la diferenciación de los odontoclastos, tiene acción proteolítica y facilita de este modo la eliminación de posibles restos de tejido de granulación2,10,19,20.
Para la obturación del conducto se puede utilizar gutapercha termoplastificada (compactación vertical) o el cemento de reparación endodóntico Agregado trióxido mineral (MTA). Se optará por uno u otro material en función de la ubicación y del diámetro del defecto de los tejidos duros. Las lagunas de pequeño tamaño y situadas más hacia coronal se pueden obturar con un buen control con gutapercha termoplastificada. En cambio, el MTA es el material de elección para sellar defectos de mayor tamaño con áreas intensamente socavadas que además pueden mostrar perforaciones2,3,8,17.
PronósticoLas reabsorciones internas se distinguen por su localización en el tercio coronal, medio o apical de la raíz. Los defectos localizados en la zona coronal se han de evaluar con criterios especialmente estrictos por estar en juego la estabilidad del diente. Dependiendo de la extensión de la lesión, la sección del diente podría debilitarse hasta el punto de existir un riesgo evidente de fractura.
En el caso de lagunas de reabsorción localizadas en los tercios medio o apical el riesgo es menor debido a que el hueso circundante proporciona estabilidad a la raíz. El pronóstico del diente a largo plazo no tiene límite temporal si se logra eliminar la totalidad del tejido y se compacta adecuadamente el material de obturación.
Reabsorción externaLos factores etiológicos de las reabsorciones externas incluyen estímulos inflamatorios crónicos de origen endodóntico o periodontal y traumatismos. Además de los anteriores se barajan otros factores como traumatismos oclusales, traumatismos provocados por la preparación, tratamientos ortodóncicos de blanqueamiento dental e intervenciones quirúrgicas1,8,10,11,19,20.
Las reabsorciones externas se desarrollan después de una alteración inicial desde la superficie radicular hacia zonas profundas. En fases ya muy precoces se perfora la luz del conducto radicular y se desarrolla una necrosis infectada8,10. Para evitar la progresión del proceso destructivo es imprescindible eliminar el estímulo desencadenante, controlar la infección en el sistema de conductos y reparar el defecto del tejido duro dentario.
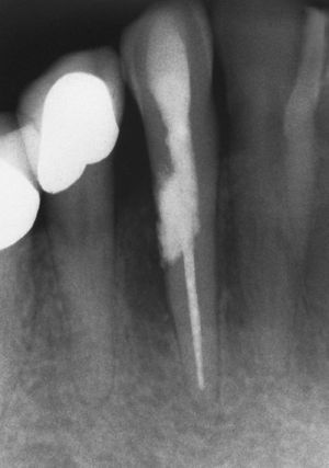
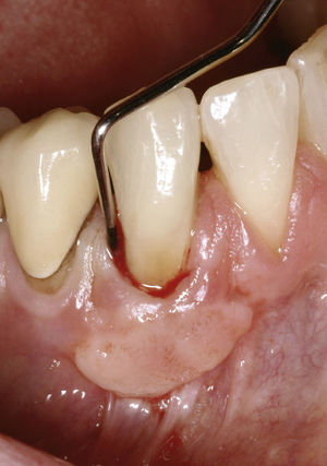
SintomatologíaLas reabsorciones externas cursan de forma asintomática o con molestias leves. El aspecto de los dientes no suele estar alterado y en casos raros se observan signos periodontales locales como una tumefacción o inflamación de la encía. La prueba de sensibilidad suele ser negativa, pero también puede ser positiva sobre todo al principio del proceso, y la prueba de percusión puede arrojar un resultado anómalo en determinadas circunstancias. No se aprecia movilidad elevada del diente afectado. Las profundidades de sondaje determinadas alrededor de todo el perímetro del diente están aumentadas en la zona de la laguna de reabsorción y permiten deducir parámetros como la posición y las dimensiones del defecto (fig. 5). Pueden producirse también exudaciones.
Características radiográficasDesde el punto de vista radiográfico, las reabsorciones externas (fig. 6) se caracterizan por los siguientes signos:
- •
Luz del conducto radicular no dilatada.
- •
Imagen radiolúcida en la zona radicular de límites irregulares.
- •
Localización asimétrica.
- •
La localización cambia con la proyección radiológica excéntrica.
- •
Desaparición localizada del espacio periodontal.
En primer lugar se ha de evaluar la conveniencia de conservar el diente afectado. Con frecuencia el diagnóstico no se establece en el estadio inicial, sino con un retraso considerable, lo que favorece la expansión de la lesión y el debilitamiento de la sección de la raíz. Se ha de determinar la ubicación de la reabsorción en el perímetro del diente y se ha de evaluar la accesibilidad quirúrgica de la lesión8. En caso de duda se puede recurrir a la tomografía volumétrica digital para obtener información sobre la localización y la extensión horizontal del defecto de reabsorción y de la sección residual de la raíz2,15.
TratamientoSi se opta por tratar el diente, se lleva a cabo una endodoncia. Posteriormente se procede a la exposición quirúrgica del defecto y se repara con un material adecuado. La determinación de la longitud de trabajo por medio de una conductometría electrónica es complicada debido a que el tejido de granulación que ha penetrado en el defecto provoca una señal anticipada. Para la preparación conviene utilizar instrumentos manuales, dado que proporcionan una mejor sensación táctil para salvar la laguna de reabsorción. Se recomienda también el uso de una medicación intraconducto con hidróxido de calcio. En una segunda sesión se obtura con gutapercha termoplastificada la porción apical del conducto radicular. Después de la exposición quirúrgica del defecto de reabsorción se lleva a cabo el acabado de los márgenes (fig. 7).
En el momento de elegir el material de obturación conviene tener en cuenta diversos aspectos. El cemento de reparación MTA muestra una compatibilidad óptima con los tejidos y es muy resistente a la humedad, pero su manipulación es difícil en manos inexpertas sobre todo si los defectos son de gran tamaño17,18 (fig. 8). Si después del tratamiento el defecto obturado va a quedar expuesto al medio oral, se debería optar por un cemento de tipo IRM (Dentsply DeTrey, Konstanz), un cemento de vidrio ionómero o un composite. El composite exige mantener el campo de trabajo totalmente seco y se considera el material idóneo para defectos próximos a la zona marginal.
PronósticoLas alternativas de tratamiento de las reabsorciones externas van en función del tamaño y de la posición de la reabsorción. El acceso quirúrgico de los defectos localizados en las caras proximales o linguales es difícil o incluso imposible. Las lagunas de reabsorción extensas son complicadas de tratar de forma adecuada y, además, merman la estabilidad del diente. La biocompatibilidad y la calidad de la superficie de la obturación desempeñan un papel importante en la regeneración de la inserción periodontal en la zona del defecto. En caso de reabsorciones externas hay que evaluar de forma crítica y caso a caso la conveniencia de conservar el diente.
Reabsorción cervical invasivaLas reabsorciones cervicales invasivas son poco frecuentes. Aparecen en dientes permanentes y se incluyen en el grupo de las reabsorciones externas, si bien tienen algunas características clínicas diferenciales8,12,15.
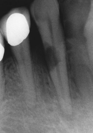
El proceso se inicia a partir de la alteración de la superficie radicular en sentido cervical respecto a la inserción epitelial o a partir de un área que no ha sido recubierta por esmalte o cemento radicular en la germinación del diente13. Posteriormente penetra en la dentina y se extiende hacia apical de forma socavante con una estructura vertical en fase avanzada. La dentina radicular es sustituida por tejido fibroso muy vascularizado y rico en células clásticas. El proceso se desarrolla sin signos evidentes de inflamación. A medida que evoluciona el proceso, se produce una calcificación y un depósito de osteodentina. Hasta el estadio final se conserva una capa fina de dentina y predentina que recubre la cavidad pulpar y aísla al tejido pulpar no inflamatorio del tejido de reabsorción agresivo. Esta capa se observa en la radiografía como una línea radioopaca continua2,4,12,15 (fig. 9).
Los posibles factores predisponentes de la aparición de una reabsorción cervical invasiva incluyen, solos o combinados, traumatismos previos, tratamientos ortodóncicos, blanqueamientos internos e intervenciones quirúrgicas periodontales5.
Heithersay5 clasifica las reabsorciones cervicales en función de la evolución y del pronóstico en las clases siguientes:
- •
Clase 1 = pequeña reabsorción superficial en la zona cervical. Pronóstico: bueno.
- •
Clase 2 = reabsorción penetrante extensa en la zona cérvico-coronal, en ocasiones propagación mínima a la dentina radicular. Pronóstico: bueno.
- •
Clase 3 = reabsorción profunda que penetra hasta el tercio coronal de la raíz con expansión circular. Pronóstico: reservado.
- •
Clase 4 = reabsorción profunda que se extiende más allá del tercio coronal de la raíz con expansión circular. Histológicamente se observan canales de comunicación periodontal con tejido e infiltrantes. Pronóstico: incierto.
Se puede observar una tinción de color rojizo de la corona dentaria en las localizaciones muy hacia coronal y el defecto primario se puede sondar (fig. 10). Con frecuencia, los dientes afectados ofrecen un aspecto externo in- tacto, pero muestran una puerta de entrada situada en la zona proximal-cervical. El proceso evoluciona de forma asintomática y el diagnóstico suele ser un hallazgo radiográfico casual (figs. 9 y 11). La prueba de sensibilidad suele ser positiva y la prueba de percusión es negativa. Hay que hacer el diagnóstico diferencial con reabsorciones internas o externas y, en caso de defectos cervicales localizados, con una caries radicular.
Características radiográficasLas reabsorciones cervicales invasivas se caracterizan por los signos radiográficos siguientes:
- •
Origen en el límite amelocementario.
- •
Línea radioopaca alrededor de la luz del conducto (predentina).
- •
Aspecto marmóreo del defecto.
- •
Forma perimetral errática.
- •
Orientación longitudinal.
- •
Espacio periodontal continuo.
El objetivo del tratamiento es inactivar el proceso por medio de una eliminación lo más radical posible del tejido agresivo y restaurar posteriormente la laguna de reabsorción. El diente no requiere de entrada un tratamiento endodóntico si existe la posibilidad de crear una vía adecuada de acceso al defecto sin necesidad de exponer lasestructuras endodónticas6,8,14,15. En general, este es el caso en las lesiones confinadas a la zona cervical. Los defectos profundos de clase 3 y 4 que llegan a la dentina radicular necesitan un tratamiento más complejo, por lo que se recomienda derivar al paciente a un endodoncista.
Las lesiones localizadas en la zona cervical se abordan desde oclusal o vestibular y el tejido de reabsorción se elimina con fresas redondas y excavadores. Dada la tendencia al sangrado intenso durante esta intervención, se recomienda utilizar compuestos coagulantes como sulfato de hierro (III) y un procedimiento en dos tiempos con aplicación de hidróxido de calcio y una obturación provisional8,14,15. Para la restauración definitiva, en caso de abordaje vestibular, puede ser necesario un alargamiento coronario quirúrgico o una exposición quirúrgica. En caso de abordaje oclusal, se verifica la ubicación de la puerta de entrada de forma secundaria y se procede a su obturación con composite o MTA dependiendo de su posición y tamaño. Por último se restaura el diente con composite aplicando la técnica adhesiva8,14.
Debido a su tamaño, las reabsorciones de clase 3 y 4 requieren un tratamiento endodóntico (fig. 11). Se hallan depósitos de calcificaciones ectópicas sobre la superficie de la dentina y tejido osteofibroso muy vascularizado, los cuales se eliminan con fresas redondas de tallo largo y puntas ultrasónicas7,15. El procedimiento requiere una irrigación continua y varias sesiones de tratamiento con uso de hidróxido de calcio y Ledermix como medicación intraconducto. Se recomienda el uso tópico de ácido tricloroacético para la escarificación del tejido agresivo que infiltra la dentina6. A continuación se obtura la porción apical del conducto bajo el microscopio quirúrgico con gutapercha plastificada y sellador mediante compactación vertical. La laguna de reabsorción propiamente dicha se rellena con MTA. Mediante la transmisión indirecta de ultrasonidos al atacador el material se fluidifica y rellena con precisión toda la luz de la reabsorción15–17 (figs. 12 y 13). Los defectos coronales se pueden tratar directamente en función del grado de destrucción de la sustancia dura mediante la técnica adhesiva con composite o con una restauración prefabricada en el laboratorio (fig. 14).
En un estudio de Heithersay6 se consiguió conservar todos los dientes con defectos de clase 1 y 2 (n = 22) y el 77,8% de los dientes con defectos de clase 3 (n = 63) durante un período de observación de 3 años. En cuanto a los defectos de clase 4 (n = 16), sólo se logró tratar eficazmente el 12,5% de los dientes, es decir, la tasa de éxito disminuye significativamente a medida que el defecto se extiende hacia apical. Las complicaciones principales se derivan de la debilidad de la estructura dentaria y de no saber si se ha logrado o no eliminar o inactivar totalmente el tejido de reabsorción que infiltra la dentina. En caso de duda, se debería contemplar a tiempo la posibilidad de extraer el diente y reemplazarlo por un implante.
ConclusiónLas reabsorciones se pueden manifestar de diversas formas. Si el odontólogo está familiarizado con el cuadro clínico y las características radiográficas podrá detectar los signos en una fase temprana y hacer un diagnóstico precoz. El conocimiento de la patología y de las opciones de tratamiento permite una estimación aproximada del pronóstico. Por principio, las posibilidades de conservar el diente son mejores cuanto antes se diagnostica el proceso de reabsorción. En casos avanzados se trata de reconocer la irreversibilidad del proceso y de crear las mejores condiciones posibles para las alternativas terapéuticas como la colocación de un implante.















