Introducción
Que la fluorización es el pilar básico sobre el que se asienta la prevención de la caries moderna es un hecho indiscutible. No obstante, sigue existiendo diferencia de opiniones en relación con el mecanismo de acción y el de reacción. A partir de los primeros estudios sobre la fluorización del agua potable7,16, se creyó durante mucho tiempo que el fluoruro se debía ingerir para incorporarse a los cristales de esmalte y ejercer de ese modo un efecto preventivo durante la fase de desarrollo de los dientes. La menor prevalencia de lesiones de caries activas en los dientes temporales y permanentes de la población de zonas con agua fluorurada respaldaba esta tesis3,21,27. Además, según los resultados de diversos análisis de laboratorio, la concentración de fluoruro en el esmalte superficial de los dientes que habían estado expuestos al agua fluorurada durante la fase de desarrollo era notablemente mayor que en los dientes que no lo habían estado6,24.
En 1955 Bibby et al4 compararon la eficacia en la prevención de la caries de los comprimidos fluorados para ser disueltos en boca y de los comprimidos fluorados para ingerir. Pudieron mostrar que, en el grupo que utilizó los comprimidos para ser disueltos en boca, se produjeron menos lesiones de caries que en el grupo que había ingerido los comprimidos fluorados, con los que los iones fluoruro no entran en contacto con los dientes. Ya entonces los autores concluyeron a partir de sus investigaciones que el efecto reductor de la caries es el resultado de una medida tópica. Lemke et al13 demostraron que el efecto inhibidor de la caries que se logra con la fluorización del agua potable solo perdura mientras la persona vive en la zona donde se suministra agua con fluoruro. Según los resultados de numerosos estudios posteriores llevados a cabo entre los años 1970 y 1990, para la eficacia en la prevención de la caries, no es tan importante la incorporación estable de fluoruro en forma de fluorapatita como la presencia permanente de iones fluoruro en la superficie del diente durante los procesos de desmineralización y remineralización que se producen en la cavidad oral17,19.
Por lo que se conoce actualmente sobre el mecanismo de reacción del fluoruro, parece que este consiste principalmente en la formación de una capa de fluoruro de calcio más o menos espesa sobre el esmalte dentario tras la aplicación tópica. Acto seguido, dicha capa hace las veces de reservorio de fluoruro, que libera iones fluoruro cada vez que el pH de la superficie dentaria desciende. Los iones fluoruro reducen la desmineralización de las superficies dentarias intactas y consiguen una remineralización mejor y más rápida de las lesiones de caries incipiente existentes8,25. El efecto antibacteriano de los iones fluoruro descrito en muchas ocasiones por la influencia que ejercen en el metabolismo bacteriano28 y por impedir la adhesión de las bacterias parece no desempeñar un papel decisivo en la cavidad oral humana, dado que la concentración de fluoruro es a todas luces insuficiente. No obstante, algunos cationes (como estaño o aminas) pueden ejercer un efecto antibacteriano.
Eficacia de los fluoruros para prevenir la caries
En odontología los fluoruros se aplican por medio de productos de baja concentración (dentífrico, comprimidos, sal) o, con menor frecuencia, de alta concentración (barnices, geles, soluciones). Debido a la disparidad de opiniones existente acerca de la eficacia de las distintas medidas de fluorización, en muchos países se han elaborado unas guías de práctica clínica que incluyen recomendaciones para la fluorización basadas en la evidencia a partir de revisiones sistemáticas de la bibliografía. En Alemania la Agencia de Calidad en Odontología (Zahnärztlichen Zentralstelle für Qualitätssicherung, ZZQ) publicó asimismo la versión abreviada de una guía de práctica clínica en el año 2006 (disponible en Internet, en la dirección www.zzq-koeln.de/leit.htm). Dicha publicación se basaba en la evidencia clínica disponible hasta ese momento, que incluía la bibliografía existente hasta el año 2004. Los esquemas de las figuras 1a y 1b incluyen las recomendaciones basadas en dicha guía. Durante la preparación de la guía de práctica clínica y tras la publicación de las recomendaciones, no obstante, surgieron debates en torno a la eficacia de las pastas dentífricas infantiles con fluoruro y a la conveniencia de aplicar preparados de fluoruro de alta concentración. Después del año 2004 se han publicado lógicamente nuevos estudios clínicos que ponen de manifiesto la necesidad de actualizar dicha guía. Por consiguiente, se abordan a continuación solo tres aspectos importantes:
Figuras 1a y 1b. Recomendaciones sobre la aplicación de fluoruro basadas en la guía de práctica clínica «Medidas de fluorización».
1. Las pastas dentífricas infantiles, ¿protegen contra la caries?
2. ¿Pueden los preparados de fluoruro de alta concentración reforzar la remineralización de lesiones de caries incipiente?
3. ¿Se debe recomendar el uso de colutorios con fluoruro también en niños y adolescentes?
Las pastas dentífricas infantiles, ¿protegen contra la caries?
El estudio bibliográfico durante la elaboración de la guía de práctica clínica puso de manifiesto una escasa evidencia clínica sobre la eficacia de pastas dentífricas con un contenido de fluoruro de 500 ppm. Este hecho fue confirmado asimismo por la Revisión Cochrane15 sobre la eficacia de diferentes medidas de fluorización. No obstante, en ese momento existían ya estudios in vitro e in situ que demostraban que, mediante la aplicación de este tipo de pastas dentífricas con fluoruro, se pueden evitar las lesiones de caries incipiente o incluso favorecer una remineralización, como en el caso de los dentífricos para adultos.
En el año 2008 Lima et al14 publicaron un estudio clínico aleatorizado, simple ciego, que incluyó a 180 pacientes pediátricos brasileños de entre 2 y 4 años de edad. Identificaron un grupo de niños que no presentaban lesiones de caries (grupo sin actividad de caries, n = 60) y otro grupo de niños que presentaban al menos una lesión de caries (grupo con actividad de caries, n = 60). Se asignaron treinta niños de cada grupo de forma aleatoria a dos subgrupos. A uno de los subgrupos le fue asignada una pasta dentífrica con fluoruro con una concentración de 500 ppm y, al otro, un dentífrico con fluoruro con una concentración de 1.100 ppm. Los niños se cepillaron los dientes después de la comida del mediodía con 0,5 g de pasta dentífrica y bajo supervisión; se dieron instrucciones a los padres para que cepillaran los dientes a sus hijos al menos dos veces al día en el hogar con un dentífrico adecuado. Los autores descubrieron que en el grupo con actividad de caries la utilización de pasta dentífrica con una concentración de fluoruro inferior no fue suficiente para frenar la aparición de nuevas lesiones de caries. En los niños con actividad de caries eran necesarias medidas de prevención complementarias. En el grupo de niños con una actividad de caries baja fue suficiente con utilizar la pasta dentífrica con menor cantidad de fluoruro.
También Stookey et al23 demostraron, en un estudio clínico realizado con 955 niños, que una pasta dentífrica con 500 ppm de fluoruro tiene un efecto reductor de la caries similar al observado con una pasta dentífrica común con 1.100 ppm. Biesbrock et al5 confirmaron en un estudio aleatorizado de doble ciego controlado con un placebo que una pasta dentífrica infantil con 500 ppm de fluoruro sódico era igual de eficaz que una pasta dentífrica con 1.450 ppm. Por consiguiente, se puede afirmar que hoy día existen pruebas suficientes de la eficacia de las pastas dentífricas infantiles y que, desde el punto de vista toxicológico, es razonable utilizar un dentífrico con fluoruro a baja concentración.
¿Pueden los preparados de fluoruro de alta concentración reforzar la remineralización de lesiones de caries incipiente?
Numerosos estudios in vitro2,26 proclamaban que, con la aplicación frecuente de preparados con bajo contenido de fluoruro, se lograba una remineralización más adecuada que con la aplicación menos frecuente de productos con una alta concentración de fluoruro. Sin embargo, los geles y barnices con alta concentración de fluoruro tienen un efecto clínico de prevención de la caries independientemente de si los pacientes se cepillan o no los dientes con un dentífrico con fluoruro. En un trabajo de revisión del año 2001, Hellwig y Lussi10 constataron que no existe ninguna concentración de fluoruro óptima y universalmente válida que permite lograr la remineralización. Llegaron a la conclusión de que, clínicamente, lo que se consigue en cualquier caso con la acción del fluoruro es una estabilización de la zona externa de la lesión de caries incipiente más que una curación completa y real (fig. 2). En un nuevo estudio in situ de Altenburger et al1 se demostró con contundencia que, mediante la aplicación de preparados de fluoruro de alta concentración, se consigue una remineralización. Este estudio in situ aleatorizado de doble ciego, controlado con un placebo y de diseño cruzado, mostró que, mediante una sola aplicación de una solución con una alta concentración de fluoruro (Elmex fluid, Gaba, Lörrach: fluoruro al 1,0%), se lograba una mineralización notablemente mayor de las lesiones de caries incipiente en un periodo de 4 semanas en comparación con una solución con fluoruro al 0,5% y con una solución placebo (figs. 3a y 3b).
Figura 2. Por medio de la fluorización se puede detener la progresión de una lesión de caries incipiente. La tinción oscura de la cara mesial del molar denota la inactivación de una lesión de caries incipiente anteriormente activa. Este tipo de lesiones de caries no deben recibir un tratamiento invasivo.
Figura 3a. Lesión de caries incipiente en microrradiografía transversal. El área gris oscuro está desmineralizada.
Figura 3b. Mineralización en este tipo de lesiones de caries incipiente después de una aplicación única de soluciones de fluoruro de diversa concentración. Se puede apreciar claramente que, cuanto mayor es la concentración de fluoruro, más intensa es la mineralización.
También Lagerweij y Ten Cate11 demostraron que se produce una remineralización incluso del cuerpo de la lesión en lesiones de caries incipiente cuando se utiliza el gel Elmex (Gaba) junto con una pasta dentífrica con fluoruro. En este sentido, está justificada científicamente la recomendación derivada de la guía de práctica clínica de utilizar geles o barnices para fluorización junto con pasta dentífrica con fluoruro y, sobre todo en pacientes con una alta actividad de caries, de establecer una frecuencia determinada (al menos cuatro veces al año en caso de aplicación profesional).
¿Se debe recomendar el uso de colutorios con fluoruro también en niños y adolescentes?
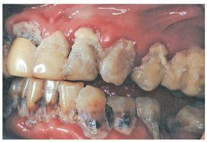
En un trabajo de revisión del año 2001, Zimmer29 concluyó que los colutorios con fluoruro no tienen ningún efecto en pacientes que ya utilizan con regularidad pasta dentífrica con fluoruro. Una gran cantidad de autores compartían esta opinión, puesto que la bibliografía disponible hasta el año 2004 no mostró evidencias de que se puede lograr un efecto preventivo adicional contra la caries. No obstante, Zimmer afirmó que la utilización complementaria de colutorios con fluoruro lleva a una reducción de la caries de entre el 10% y el 20% en pacientes cuya higiene oral no es supervisada y es poco adecuada en parte por esa razón. Los resultados de estudios más recientes18 muestran sin lugar a dudas que la combinación de una pasta dentífrica con fluoruro de estaño y con fluoruro de aminas y de un colutorio adecuado en pacientes portadores de brackets disminuye la aparición de lesiones en mancha blanca (fig. 4). En un estudio realizado en 622 adolescentes de entre 13 y 16 años de edad durante 3 años, aleatorizado y controlado con un placebo, Sköld et al22 mostraron que la aplicación bajo supervisión de colutorios fluorurados (fluoruro sódico al 0,2%) en el centro escolar disminuía significativamente la incidencia de caries interproximales en comparación con el grupo control, que no utilizaba ninguna solución de fluoruro. Se trataba de personas jóvenes con una prevalencia de caries baja o moderada. En este sentido puede ser conveniente recomendar en el caso concreto de los adolescentes púberes el uso diario de colutorios con fluoruro.
Figura 4. Lesiones de caries incipiente activas después de retirar los brackets. Con una higiene oral adecuada y la aplicación de preparados con fluoruro (como colutorios) se pueden disminuir tanto el número como la gravedad de las lesiones.
¿Tienen los fluoruros un efecto cariostático también en los adultos?
Curiosamente, existe una gran cantidad de estudios sobre el efecto de las medidas de fluorización en niños y en adolescentes, pero la información disponible sobre la eficacia de la fluorización en adultos es muy escasa.
Griffin et al9 concluyeron, tras un metaanálisis de 20 estudios clínicos, que el efecto reductor de la caries (caries coronal) de diferentes medidas de fluorización en adultos se encuentra en aproximadamente el 25%. Leake12 publicó en el año 2001 una serie de recomendaciones basadas en la evidencia para la prevención de la caries radicular y para frenar la progresión de lesiones de caries radicular existentes. Dichas recomendaciones se corresponden con las de los pacientes jóvenes e incluyen el uso de colutorios con fluoruro, la aplicación de un barniz de fluoruro cada tres meses y la aplicación de geles de fluoruro en el hogar, combinada con la aplicación profesional cada tres meses por parte del odontólogo, además de la utilización de pastas dentífricas con fluoruro. Hoy día también sabemos que, con las medidas de fluorización tópicas, se puede detener la progresión de la caries incipiente o evitar la aparición de lesiones de caries. No obstante, también está claro que, en presencia de una alta actividad de caries (falta de higiene oral, consumo muy elevado de azúcar), disminuye la eficacia profiláctica de los fluoruros contra la caries (fig. 5). La caries no es una enfermedad causada por una carencia de fluoruro, sino la consecuencia de un desequilibrio entre los factores preventivos y los factores favorecedores de la caries.
Figura 5. En presencia de unas condiciones altamente cariogénicas en la cavidad oral, ni la aparición ni la progresión de lesiones de caries se pueden evitar solo con medidas de fluorización. La caries no es una enfermedad causada por una carencia de fluoruro.
¿Deberían utilizarse también compuestos de calcio para remineralizar lesiones de caries?
Además de con la aplicación de fluoruros, con frecuencia se intenta acelerar la remineralización de lesiones de caries incipiente existentes utilizando productos que contienen calcio. Entre ellos, los más utilizados son productos que contienen el complejo caseinfosfopéptido-fosfato cálcico amorfo (CPP-ACP) (Recaldent). Al parecer, los productos como Tooth Mousse (GC Germany, Múnich) incrementan el transporte de los complejos de proteína y fosfato cálcico amorfo al tejido duro del diente20; de hecho, existen algunas evidencias de que se puede conseguir complementar el efecto al menos en lesiones de caries incipiente sin placa. Nosotros mismos pudimos demostrar en un estudio combinado in vitro e in vivo que, en lesiones de caries incipiente de fisuras, se puede acelerar la remineralización utilizando al mismo tiempo una pasta dentífrica con fluoruro. Sin embargo, sigue sin aclararse la cuestión de si la aplicación de Tooth Mousse permite lograr una remineralización más eficaz en comparación con la utilización de preparados con fluoruro de alta concentración. Tampoco se ha estudiado si el uso de Tooth Mousse puede frenar la progresión de lesiones de caries incipiente también cuando no están totalmente libres de placa, como suele ser el caso en las zonas proximales. Otro problema de este preparado es su baja sustantividad, esto es, la rapidez con la que es eliminado por la saliva tras su aplicación. En este contexto hacen falta más estudios clínicos para determinar si la complementación de la fluorización con la aplicación del complejo caseinfosfopéptido-fosfato cálcico amorfo contribuye de forma notable a mejorar la remineralización.
Correspondencia: E. Hellwig.
Hugstetter Straße 55, 79106 Friburgo.
Correo electrónico: elmar.hellwig@uniklinik-freiburg.de







