Con una serie de férulas removibles transparentes (alineadores), Invisalign resulta un sistema muy cómodo para el paciente, permite una higiene bucal óptima y ofrece una estética satisfactoria. En el pasado las indicaciones principales del tratamiento eran los apiñamientos leves a moderados, espacios en el sector anterior y dientes inclinados, pero desde hace algún tiempo Invisalign ofrece también la posibilidad de llevar a cabo los movimientos dentales más complejos si se combina con ataches, elementos de anclaje complementarios o aparatología parcial con brackets. Este artículo revisa las posibilidades y las limitaciones de este sistema.
IntroducciónSin la ortodoncia no se pueden concebir los conceptos terapéuticos más exigentes de la odontología estética y funcional. Gracias a los nuevos métodos y aparatologías es posible corregir incluso malposiciones dentarias de gran complejidad. Sin embargo, con frecuencia los pacientes adolescentes y adultos son reticentes a recibir tratamientos ortodóncicos por razones estéticas, y una gran parte de ellos percibe la aparatología multibracket como sistemas inaceptables y en absoluto atractivos11.
Hoy por hoy el ortodoncista tiene varias opciones de tratamiento «invisibles» a su disposición. Una de ellas es el sistema Invisalign (Align Technology, Santa Clara, EE. UU.). Fue lanzado al mercado estadounidense en 1999 y en Alemania se utiliza desde el año 2001. En estos momentos es un método de tratamiento ortodóncico con una gran difusión y con el que se ha tratado a más de 1 millón de pacientes. Con ayuda de un programa informático gráfico especial, llamado ClinCheck, se representa en 3D un objetivo terapéutico predeterminado por el ortodoncista y se fracciona en varias fases de tratamiento partiendo de la situación real de las arcadas, que se establecen en modelos de arcadas virtuales. De ese modo ClinCheck muestra paso a paso el movimiento dentario previsto en el curso del tratamiento. Para cada una de estas fases se fabrican las férulas individuales (alineadores) que el paciente debe llevar respectivamente 22h al día durante dos semanas (fig. 1). El profesional define de forma exacta el plan de tratamiento y los procedimientos llevados a cabo con ClinCheck.
Una gran ventaja de esta representación tridimensional por ordenador es la posibilidad de discutir previamente el resultado del tratamiento simulado por ordenador tanto con el paciente como con los colegas odontólogos. Esto permite llevar a cabo un proceso terapéutico interdisciplinario perfectamente sincronizado en el que el paciente recibe un tratamiento ortodóncico inicial y a continuación puede recibir el tratamiento protésico, conservador, de cirugía ortognática o de implantes que precise. También se pueden corregir malposiciones dentarias en situaciones con lesiones periodontales profundas incluso en pacientes de edad avanzada colaborando estrechamente con el odontólogo.
Los distintos alineadores removibles transparentes son muy cómodos para el paciente, le permiten realizar una buena higiene bucal y ofrecen una apariencia estética satisfactoria, de modo que presentan bastantes menos inconvenientes que la aparatología fija convencional1,2,10,14. Con Invisalign se minimizan o incluso se descartan por completo los posibles efectos adversos de la aparatología multibracket, como las lesiones de manchas blancas o las descalcificaciones, caries, abrasiones del esmalte por contacto con los brackets, lesiones del esmalte al retirar estos y riesgos periodontales.
Ventajas del tratamiento con InvisalignEl tratamiento con Invisalign ofrece las ventajas siguientes:
- •
Posibilidad de llevar a cabo la higiene bucal sin limitaciones, lo que favorece la situación periodontal.
- •
Conocimiento y cálculo exacto del grado de reducción de esmalte interproximal previo al inicio del tratamiento.
- •
Revisiones periodontales sencillas sin la presencia de brackets, bandas, arcos ni alambres.
- •
Reducción drástica del riesgo de descalcificación.
- •
Minimización o ausencia de situaciones de urgencia, sin lesiones ni inflamaciones de la mucosa.
- •
El paciente siente menos dolor en el cambio de alineador que en el cambio de arco.
- •
Se elimina el riesgo de abrasiones en el esmalte por contacto con los brackets.
- •
Retirada sin riesgo de causar lesiones en el esmalte.
- •
Objetivo terapéutico calculado por ordenador y, por consiguiente, predecible y planificable.
- •
Fuerzas leves e intermitentes.
- •
Ausencia de movimientos de vaivén o «jiggling» y, por consiguiente, de reabsorciones radiculares.
- •
No afecta a la práctica de deportes ni al tocar instrumentos de viento.
- •
Se elimina el riesgo de alergias a metales.
- •
No se bloquea la arcada superior.
Pero este sistema tampoco está exento de inconvenientes. Dado que las férulas son removibles, el éxito del tratamiento depende directamente de la colaboración del paciente. Por otro lado al inicio del tratamiento el habla se puede ver levemente afectada, pero al cabo de unos días dicha afectación desaparece. Algunos movimientos dentales no se pueden llevar a cabo aplicando únicamente esta técnica.
Opciones terapéuticasTras varios años de experiencia con esta técnica, el sistema Invisalign ha mostrado ser un método de tratamiento eficaz para corregir no sólo apiñamientos leves a moderados, espacios en el sector anterior y dientes inclinados, sino también para tratar casos más complejos como extracciones7, mordidas abiertas y profundas, clases II12 y III dentales e incluso para el tratamiento complejo de disfunciones craneomandibulares9 o como componente ortodóncico de un tratamiento combinado ortodóncico-quirúrgico15. La expansión de la arcada dentaria, la intrusión y extrusión de dientes unitarios o de grupos de dientes como en el caso de la mordida profunda5, movimientos de torque relativos y la corrección de ejes dentarios forman parte del espectro de indicaciones del tratamiento con Invisalign3. También se pueden tratar con esta técnica ortodóncica los triángulos negros en el sector anterior que pueden aparecer por la pérdida de inserción periodontal, por una posición divergente de las raíces o debido a una forma triangular poco favorable de las coronas13. El sistema cuenta con una versión para niños y adolescentes denominada Invisalign-Teen. El tratamiento ortodóncico previo permite con frecuencia reunir las condiciones necesarias para instaurar de forma óptima el ulterior tratamiento conservador, quirúrgico o protésico4,8.
Prácticamente en todos los tratamientos con Invisalign se utilizan elementos de anclaje o ataches cuyo diseño, tamaño y posición puede variar y se pueden planificar por medio de la aplicación ClinCheck. Los ataches permiten realizar el anclaje necesario para conseguir movimientos de dientes unitarios, como rotaciones y extrusiones, o para mover grupos dentarios, como en la intrusión del sector anterior en presencia de mordida profunda. En nuestro centro los ataches se colocan sobre los dientes antes de la toma de impresiones, de modo que no sólo es posible prescindir de la técnica de grabado ácido del esmalte, sino que los ataches se pueden colocar exactamente en función de los movimientos dentales necesarios.
Align Technology clasifica los movimientos dentales necesarios en tres grupos: movimientos sencillos, que se pueden obtener sólo con alineadores, movimientos de dificultad media, que se pueden conseguir con alineadores y medios de anclaje complementarios como botones y elásticos y movimientos de mayor dificultad, que deben reservarse a los «expertos en Invisalign»: en este caso es necesaria la combinación con aparatología parcial fija y, por consiguiente, se precisa una experiencia suficiente tanto con Invisalign como con las técnicas multibracket habituales. Göz escribe lo siguiente en relación con la declaración de consenso de la Sociedad Alemana de Ortodoncia (DGKFO) sobre el tratamiento con alineadores6: «Por esa razón los métodos con alineadores sólo se recomiendan para profesionales con una formación sólida que dominen todo el espectro ortodóncico tanto diagnóstico como terapéutico».
Según nuestra experiencia los movimientos dentales con Invisalign se pueden clasificar en los grupos siguientes:
- 1.
Movimientos sencillos que sólo se pueden tratar con alineadores y ataches:
- –
Conformación de sectores anteriores con dientes en giroversión y apiñamientos leves.
- –
Cierre de espacios en el sector anterior.
- –
Rotación leve de incisivos, caninos y premolares.
- –
Expansión de arcada transversal.
- –
Intrusiones y extrusiones (en el movimiento de extrusión el propio diente necesita un atache y en movimientos de intrusión el atache se precisa en dientes adyacentes).
- –
Corrección de una mordida cruzada anterior.
- –
- 2.
Movimientos que precisan un anclaje complementario:
- –
Distalización (con elásticos clase II).
- –
- 3.
Movimientos que precisan un tratamiento ortodóncico complementario previo:
- –
Desrotación de premolares y caninos en giroversión grave.
- –
Corrección de mordida cruzada posterior (si es necesario, tratamiento previo con botones y elásticos entrecruzados «crisscross»).
- –
Cierre de espacios tras la extracción de premolares (si es necesario, tratamiento previo con bandas parciales).
- –
Existen movimientos dentales que no se pueden realizar solo con alineadores y que precisan además el uso de una aparatología multibraket parcial. Algunos de ellos son:
- •
Mesialización de molares superior a 1,5mm.
- •
Enderezamiento de molares inclinados.
- •
Torque absoluto.
En los movimientos mencionados se precisa debido al anclaje especial al menos un sistema fijo de tratamiento combinado a menudo con métodos de anclaje esquelético como minitornillos.
Movimientos dentales con el sistema Invisalign: descripción generalA continuación se describen en base a ejemplos clínicos los tratamientos posibles con el sistema Invisalign sin otros medios auxiliares.
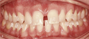
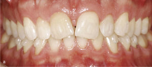
Corrección de la angulaciónCon el sistema Invisalign se puede corregir la angulación de dientes anteriores inclinados. Con dicho fin en los dientes movidos deberían utilizarse ataches que ofrecen un mayor anclaje. El caso de la figura 2 presenta los dientes 11 y 21 en mesioversión con un diastema y un gran triángulo negro interdental. Por medio de los ataches se corrigió la angulación de las coronas 11 y 21 y se cerraron el diastema y el triángulo negro con el sistema Invisalign (fig. 2b).
Sector anterosuperior con dientes 11 y 21 en mesioversión y triángulo negro interdental (a). Se colocaron ataches rectangulares verticales en los dientes 11 y 21 y en los anteriores adyacentes. Resultado del tratamiento después de enderezar los dientes 11 y 21 y de cerrar el triángulo negro (b).
Con el sistema Invisalign se pueden tratar de forma muy eficaz las giroversiones y los apiñamientos del sector anterior. También permite realizar el enderezamiento de dientes en linguoversión. La figura 3a muestra un apiñamiento y dientes rotados en el sector anterior de la mandíbula, además de linguoversión de los premolares 34 y 35. Estos se pudieron enderezar con ayuda de un anclaje con ataches en los dientes 36 y 34. La conformación del sector anterior se llevó a cabo sin elementos de anclaje adicionales y con una reducción del esmalte interproximal. La figura 3b muestra el resultado una vez finalizado el tratamiento con Invisalign. A continuación se llevó a cabo un tratamiento conservador del margen de esmalte desgastado del diente 31.
Sector anterosuperior con dientes 11 y 21 en mesioversión y triángulo negro interdental (a). Se colocaron ataches rectangulares verticales en los dientes 11 y 21 y en los anteriores adyacentes. Resultado del tratamiento después de enderezar los dientes 11 y 21 y de cerrar el triángulo negro (b).
La expansión transversal constituye una alternativa a la reducción de esmalte interproximal para corregir apiñamientos y para dotar a las arcadas de un aspecto armonioso. La figura 4a muestra un maxilar estrecho en el plano transversal y dientes muy rotados y apiñados en el sector anterior. En este caso fue posible lograr una arcada armoniosa utilizando anclajes en los dientes 14, 13, 23 y 24 con ataches verticales, expansión transversal, protrusión del diente 21 y reducción del esmalte interproximal (fig. 4b).
Sector anterosuperior con dientes 11 y 21 en mesioversión y triángulo negro interdental (a). Se colocaron ataches rectangulares verticales en los dientes 11 y 21 y en los anteriores adyacentes. Resultado del tratamiento después de enderezar los dientes 11 y 21 y de cerrar el triángulo negro (b).
Con frecuencia los corredores vestibulares perjudican la apariencia estética al sonreír. Los dientes posteriores inclinados hacia palatino y hacia lingual «desaparecen» detrás de los dientes anteriores, de modo que la sonrisa se muestra acortada e incompleta (fig. 5a). Con el enderezamiento de los dientes posteriores combinado con una expansión se rellenan los corredores vestibulares y se completa la sonrisa (fig. 5b).
EspaciosEl cierre de espacios en el sector anterior se clasifica dentro de los movimientos dentales sencillos con el sistema Invisalign. En la vista intraoral de la figura 6a se observan sendos sectores anteriores con espacios en maxilar y mandíbula. Se realizó el cierre de los espacios y también la intrusión de los dientes 11 y 21. Con dicho fin fueron adheridos ataches rectangulares en los dientes 13, 23, 11 y 21. La imagen intraoral de la figura 6b muestra el resultado del tratamiento después de cerrar los espacios y de reducir la sobremordida vertical.
Vista intraoral de los dientes anteriores separados entre sí y de los ataches en los dientes 13, 11, 21 y 23 para el cierre de los espacios y también en los dientes inferiores 33, 34, 35, 43, 44 y 45 para obtener el anclaje necesario para la intrusión de los dientes anteroinferiores (a). Vista intraoral del resultado después del cierre de espacios y de la creación de una sobremordida horizontal y vertical fisiológica (b).
La sobremordida vertical aumentada con curva de Spee marcada y prematuridad en el sector anterior de la mandíbula se cuenta entre las malposiciones que vemos con más frecuencia en la práctica clínica diaria. La creación de un anclaje complementario con ataches permitió ajustar una sobremordida vertical y horizontal funcional en los dientes extrudidos inferiores y superiores del sector anterior de la paciente mostrada en la figura 7a (fig. 7b). En el sector anterior de la mandíbula se debe realizar una intrusión por separado de los dientes anteroinferiores 32 a 42 y a continuación de los dientes 33 y 43.
Situación intraoral con curva de Spee marcada y extrusión del sector anterior de ambas arcadas (a). «Direct Bonded Attachments» en los dientes 34, 35, 44 y 45 y en los dientes anterosuperiores para obtener un mayor anclaje. El movimiento a realizar exigía la intrusión por separado de los dientes 32 a 42 y de los dientes 33 y 43. Vista intraoral del resultado final con sobremordida horizontal y vertical fisiológica (b).
Las extrusiones relativas son movimientos que se pueden realizar con el sistema Invisalign de forma predecible. Por su parte, la extrusión absoluta es mucho más compleja y precisa un anclaje extenso y movimientos de extrusión más lentos. La figura 8a muestra la mordida abierta anterior de una paciente de 30 años. El tratamiento se acompañó de una terapia miofuncional para tratar la disfunción lingual e incluyó la colocación de ataches en todos los dientes anteriores y en todos los premolares para el anclaje durante el movimiento extrusivo sobre los dientes citados. La figura 8b muestra el resultado del tratamiento tras la creación de una sobremordida horizontal y vertical fisiológicas con guía canina funcional.
Vista intraoral de la situación con mordida abierta anterior y contactos oclusales únicamente en los dientes 14 a 47 y 27 a 37. Ausencia de guía canina (a). Ataches en los dientes 15 a 25 y 35 a 45 para el movimiento extrusivo. Resultado final con sobremordida horizontal y vertical fisiológicas y guía canina (b).
Por medio de la intrusión y de la extrusión se puede lograr no sólo una sobremordida horizontal y vertical fisiológica, sino también la nivelación de la altura gingival. En el paciente de la figura 9a existe una gran discrepancia de la línea gingival entre los dientes 13 y 23, más elevados, los dientes extrudidos 11 y 21 y los dientes conoides 12 y 22. Lo mismo sucede con la línea gingival de los incisivos en relación con los caninos en la mandíbula (fig. 9a). Las situaciones de apiñamiento y giroversión dentarias marcadas en el maxilar y en la mandíbula se pudieron solucionar mediante una expansión y una reducción del esmalte interproximal. La nivelación de los dientes anteriores y, por consiguiente, de la altura gingival se llevó a cabo por medio de la intrusión de los dientes 11, 21 y 32 a 42 y de la extrusión de los dientes 13 y 23. La imagen 9b muestra la nivelación lograda de la línea gingival una vez finalizado el tratamiento con el sistema Invisalign. Después de las medidas ortodóncicas se llevó a cabo un tratamiento conservador en los dientes 12 y 22 con carillas.
Desrotación de caninosLos caninos presentan una raíz larga y por consiguiente una mayor resistencia al movimiento, lo que dificulta su movilización. Por ello los caninos rotados, como los que se observan en la figura 10a, precisan para la corrección de la angulación y también para la desrotación un anclaje adicional por medio de ataches y un procedimiento de movilización independiente. En el paciente presentado como ejemplo fueron desrotados en primer lugar los inferiores y a continuación y, por separado, los caninos inferiores (fig. 10b).
Corrección de mordida cruzadaLas mordidas cruzadas se pueden tratar con el sistema Invisalign de forma muy predecible. La corrección de la mordida cruzada posterior se puede llevar a cabo con el sistema Invisalign exclusivamente o bien combinándolo con un tratamiento previo con botones y elásticos entrecruzados. La figura 11a muestra una oclusión clase II con mordida cruzada de los dientes 16 y 46. El tratamiento con Invisalign incluyó la distalización en la arcada superior derecha con corrección de la mordida cruzada mediante expansión transversal en la región del 16. La figura 11b muestra la situación intraoral a la finalización del tratamiento con configuración de una relación clase I y de una oclusión funcional de la región molar.
Extracción de dientes anterioresLa falta grave de espacio en el sector anterior hace que en algunos casos sea necesario extraer un diente anterior con el fin de disponer del espacio suficiente para conformar la arcada dentaria y lograr una sobremordida funcional. En la figura 12a se observa la mandíbula de un paciente con falta de espacio en el sector anterior, dientes anteriores rotados y el diente 43 inclinado hacia vestibular. En extracciones realizadas en el sector anteroinferior se colocan sistemáticamente ataches de anclaje en los dientes adyacentes al futuro espacio de extracción. En este caso se colocaron ataches en los dientes 33, 32 y 44, dado que no sólo se cerró el espacio edéntulo, sino que también se realizó una intrusión del sector anteroinferior. La figura 12b muestra el resultado del tratamiento después de la extracción del diente 42 y del cierre del espacio.
Sector anterior de la arcada inferior con dientes rotados y apiñados (a). La conformación de la arcada se realiza mediante la extracción del diente 42 y la colocación de ataches en los dientes 33 a 44. Vista intraoral de la arcada inferior con un aspecto armonioso y el espacio cerrado (b).
Dado que el tratamiento de una clase II de Angle con Invisalign resulta más complejo, se describe en mayor detalle.
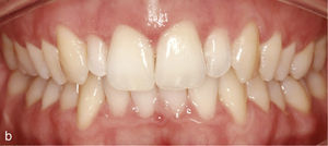
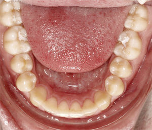
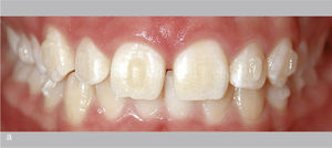
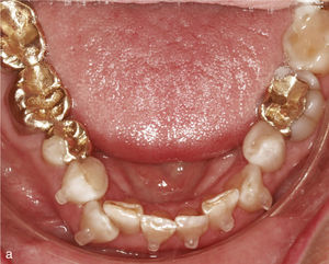
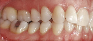
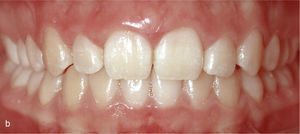
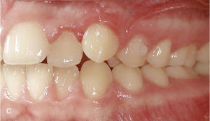
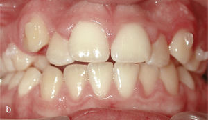
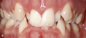
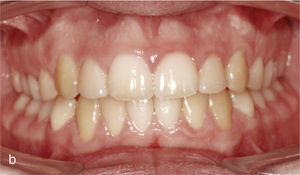
El paciente se presentó en nuestro centro con el siguiente cuadro: dentición permanente con proinclinación de dientes anteriores y desviación de la línea media, diente 53 persistente, dientes 13 y 23 elevados y desplazados hacia vestibular, curva de Spee marcada con extrusión del sector anteroinferior, dientes rotados y apiñados en maxilar y mandíbula, clase II de Angle con un resalte de 4mm y sobremordida de 0mm, además de ausencia de guía canina (figs. 13a a 13c y 14a a 14e).
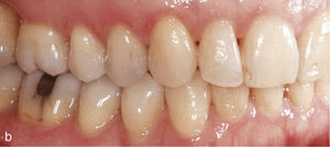
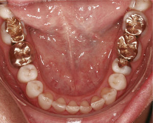
El plan de tratamiento incluyó el establecimiento de una clase I de Angle con sobremordida horizontal y vertical fisiológicas mediante la distalización del sector posterosuperior, con corrección de los caninos superiores y aseguramiento de una guía canina. Las arcadas se dotaron además de una apariencia armoniosa eliminando la giroversión y los apiñamientos mediante la reducción del esmalte interproximal y el ajuste de las líneas medias. El paciente optó por un tratamiento con el sistema Invisalign alternativo a la aparatología fija con brackets. Se colocó un atache rectangular vertical en los dientes 13 y 23 y, en el curso del tratamiento, también en los dientes anterosuperiores y en el diente 43. Además durante todo el tratamiento el paciente llevó elásticos de clase II en ambos lados, del diente 14 al diente 46 y del diente 24 al diente 36 para obtener el anclaje necesario durante la distalización. La figura 15 muestra la situación intraoral de un caso similar con brackets en los dientes 13 y 46. En la zona de los brackets se acortó el alineador. Además de los alineadores se utilizaron elásticos de clase II del diente 13 al diente 46.
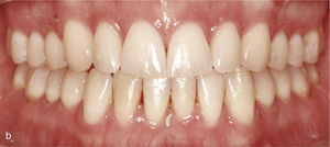
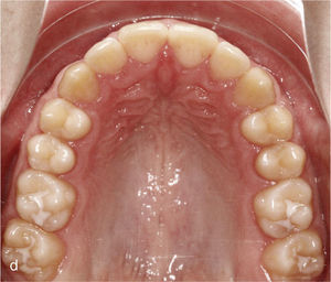
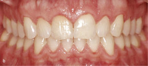
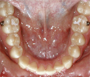
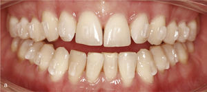
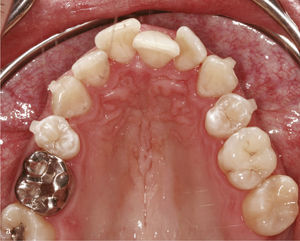
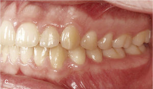
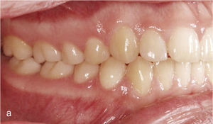
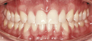
La situación intraoral después de finalizar el tratamiento (figs. 16a a 16e) muestra, como lo hacen los modelos montados en relación céntrica (figs. 17a a 17e), una clase I de Angle con relación intermaxilar anterior fisiológica y una guía canina asegurada. En la radiografía panorámica final no se observan signos patológicos; se indicó la extracción de los terceros molares inferiores (fig. 18). El paciente utilizó férulas de Imprelon durante la noche como sistema de retención (Scheu-Dental, Iserlohn).
El sistema Invisalign se utilizaba en el pasado para el tratamiento de apiñamientos leves a moderados, espacios o dientes inclinados. Después de varios años de experiencia con este sistema la bibliografía describe también el uso de esta técnica para tratar casos complejos como extracciones, mordidas abiertas y situaciones de clase II. El tratamiento ortodóncico previo permite con frecuencia reunir las condiciones necesarias para instaurar de forma óptima el ulterior tratamiento conservador, quirúrgico o protésico.
En pacientes adultos y adolescentes exigentes desde el punto de vista estético el sistema Invisalign, casi «invisible», constituye una excelente alternativa terapéutica ortodóncica y ofrece además la posibilidad de realizar la higiene oral sin limitaciones. En combinación con elásticos y aparatología parcial con brackets se pueden realizar incluso movimientos dentales sumamente difíciles. Con todo, conocer exactamente las posibilidades y las limitaciones de este método es una condición indispensable para el éxito del tratamiento.



















