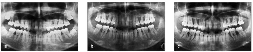
Se presenta el caso de una mujer que presentaba periodontitis agresiva de 14 años de evolución. De 1993 a 2000, no se sometió a ningún tratamiento periodontal pero la progresión de la enfermedad pudo reconstruirse a partir de los registros radiográficos anteriores. Las radiografías de 1993 (fig. 1a), cuando la paciente presentaba 16 años de edad, mostraron pérdida ósea localizada en los premolares superiores de aproximadamente el 50% y defectos intraóseos localizados en los primeros molares inferiores derecho e izquierdo del 30% de longitud de las raíces. Estos defectos aumentaron en 1996 al 70% en los premolares superiores y al 50% en los molares inferiores (fig. 1b), y en 1999 hasta el 90% en los premolares superiores y 75% en los molares inferiores con afectación de furca (fig. 1c). Todo ello indicaba una rápida progresión de la enfermedad con una pérdida anual de hueso de aproximadamente 2 mm.
Figuras 1a a 1c. Radiografías de (a) 1993, (b) 1996 y (c) 1999 que muestran la progresión de la enfermedad.
En la primera visita a nuestra clínica dental en el año 2000, cuando la paciente contaba con 23 años de edad (figs. 2a a 2d), resultaba muy dudosa la posibilidad de preservar los premolares superiores debido a la avanzada destrucción periodontal. Los hallazgos clínicos y radiográficos indicaron una periodontitis agresiva severa1.
Figuras 2a a 2d. Estado radiográfico detallado y situación clínica en el año 2000 antes del tratamiento periodontal quirúrgico y no quirúrgico sistemático.
Una prueba microbiológica de reacción en cadena de la polimerasa (Hain Diagnostika) para patógenos periodontales encontró elevados niveles de Aggregatibacter (antes denominado Actinobacillus) actinomycetemcomitans, Tanerella forsythensis, Treponema denticola, y Fusobacteriumnucleatum, por lo que comenzamos tratamiento de desinfección a boca completa junto con una pauta de antibiótico sistémico siguiendo las recomendaciones de Winkelhoff et al2. Después de tres meses, se revaluó a la paciente, y se realizaron procedimientos quirúrgicos localizados en los primeros molares inferiores empleando proteínas de la matriz del esmalte para regeneración de los defectos intraóseos que afectaban a las tres paredes3.
En los premolares superiores, no se planificó tratamiento quirúrgico porque no podía predecirse una mejoría de la situación periodontal.
Desde entonces, se ha venido realizando tratamiento periodontal de mantenimiento cada tres meses. En 2007, cuando la paciente contaba con 31 años de edad, las radiografías mostraron, en los primeros molares inferiores, una regeneración casi completa de los defectos anteriores hasta un nivel óseo similar al de los dientes adyacentes (figs. 3a a 3c). Los premolares superiores seguían manteniéndose y presentaban un cierto grado de regeneración ósea.
Figuras 3a a 3c. Estado radiográfico detallado y situación clínica en el año 2007 después de tratamiento de desinfección a boca completa y procedimientos de regeneración quirúrgica.
Este caso muestra claramente la eficacia del tratamiento de desinfección a boca completa en el tratamiento de la periodontitis agresiva severa4. A pesar de que la enfermedad había progresado mucho en siete años, el tratamiento detuvo esta progresión, y consiguió la preservación dentaria a largo plazo de los premolares superiores intensamente afectados. Los defectos óseos estrechos y profundos a tres paredes son los que presentan mayor potencial regenerativo5, y la selección de estos puntos para procedimiento quirúrgico pudo representar la causa de las importantes regeneraciones que se consiguieron en los primeros molares inferiores.
Correspondencia: PD Dr. Mathhias Pelka.
Dental Clinic 1. Operative Dentistry and Periodontology. University Erlangen-Nuremberg, Alemania.
Glückstrasse 11, D-91054 Erlangen, Alemania
Correo electrónico: pelka@dent.uni-erlangen.de
Presentado como póster en la reunión de la Sociedad Alemana de Periodoncia (DGP), octubre de 2005, en Berlín, Alemania.




