La implantología ofrece en la actualidad multitud de op-ciones para la colocación de prótesis fijas. Sin embargo, en la bibliografía sólo se abordan de forma marginal los aspectos estéticos y apenas se hallan referencias relativas a conceptos y soluciones terapéuticas para los posibles fracasos. En el informe del caso se describe el retrata-miento por fracaso estético de una prótesis implantoso-portada con anulación de uno de dos implantes adyacen-tes. La solución se basa en los principios de la cirugía plástica periodontal con aplicación de técnicas resecti-vas y de aumento.
(Quintessenz. 2010;61(12):1523-31)
1IntroducciónLa implantología se ha convertido en las últimas déca-das en una parte imprescindible del espectro terapéutico odontológico. Los implantes permiten en muchos casos prescindir de las prótesis removibles y han demostrado su eficacia en numerosos estudios a largo plazo. La evaluación científica se centra principalmente en los aspectos funcionales de la implantología, entre ellos la osteoin-tegración y la forma y características superficiales de los implantes. Si bien se hace mención ocasional de los aspectos estéticos, en algunas situaciones es difícil apli-carlos debido a diversos factores diferenciales en rela con los dientes naturales. Los fracasos estéticos asociados a un tratamiento con implantes sólo se pue-den subsanar, si es que existe alguna posibilidad, con una gran inversión en tiempo y dinero. Describimos a continuación las medidas terapéuticas periodontales adopta-das en el retratamiento de un fracaso estético implanto.
Presentación del casoSituación inicialLa paciente, comercial de banca de 24 años de edad, acu-dió por primera vez a nuestra consulta en verano de 2007 por recomendación de un compañero de profesión. La pa deseaba eliminar las deficiencias estéticas de los dientes 11 y 12 (fig. 1). La anamnesis general no aportó datos reseñables. La paciente es no fumadora. En la anamnesis específica destacó la agenesia de los incisivos la-terales. Como resultado de un accidente ocurrido en el ámbito escolar a los 11 años de edad se produjo una luxa completa del diente 11, el cual fue reimplantado sin haber sido endodonciado. Después de diversas complica-ciones, se optó finalmente por extraer el diente. Se llevó a cabo una expansión ortodóncica en la zona de los inci laterales y a los 16 años de edad fueron rehabilita-dos en otro centro los espacios edéntulos del 12,11 y 22 con implantes y coronas unitarias (fig. 2). Con el paso del tiempo la paciente estaba cada vez menos satisfecha con el resultado estético, por lo que consultó con diver odontólogos generales y cirujanos dentales. Las propuestas de tratamiento incluyeron desde la confección de nuevas prótesis hasta una explantación del 11 y del 12 para colocar posteriormente dos implantes nuevos.
La paciente mostraba una línea de sonrisa alta con un perfil labial atractivo. Desde el punto de vista conser-vador no se hallaron anomalías salvo unas profundida-des de sondaje ligeramente aumentadas en la zona de los implantes (fig. 3). Los dientes anteriores naturales te-nían una forma casi cuadrada y el segmento de los dientes 11 y 12 mostraba un déficit incisal de 2mm. La di-ferencia de altura de la punta de la papila de los dientes 21/22 fue de 7mm respecto a la contralateral, lo que provocaba una asimetría considerable del festón gingival. Se había intentado compensar en lo posible la pérdida completa de la papila con cerámica rosa. En la zona de los implantes (11 y 12: 3,75 3 13mm, 22: 3,3 3 13mm; Mk III, Nobel Biocare, Göteborg, Sue-cia) se habían formado cicatrices verticales. El examen radiográfico no aportó datos reseñables. Los implan 11/12 se localizaban 3mm más apical que el implan-te 22. El hueso entre los dos implantes se situaba a la al del hombro de los implantes (figs. 4 y 5).
Planificación del tratamientoLa paciente, que contaba con un seguro obligatorio de en-fermedad, no quiso superar un límite presupuestario de 8.000 euros y expresó su deseo de excluir a los caninos del tratamiento. Después de considerar diversas alterna-tivas de tratamiento, se decidió colocar un puente del 12 al 21 y una corona unitaria en la región del 22. Se deci anular funcionalmente el implante 11 y cubrirlo con mucosa para recuperar la altura papilar.
Secuencia de tratamientoEn otoño de 2007 se retiraron las coronas implantosopor-tadas cementadas con cemento provisional y los pilares 11 y 12 y, después de una limpieza minuciosa, se cerraron los implantes con tornillos de cierre. Se obtuvieron dos injertos de tejido conjuntivo de la zona de la tuberosidad maxilar y se colocaron bajo un colgajo de espesor par-cial y desplazamiento coronal. Se confeccionó una pró provisional de acrílico con refuerzo metálico y se cementó por medios adhesivos (figs. 6 y 7).
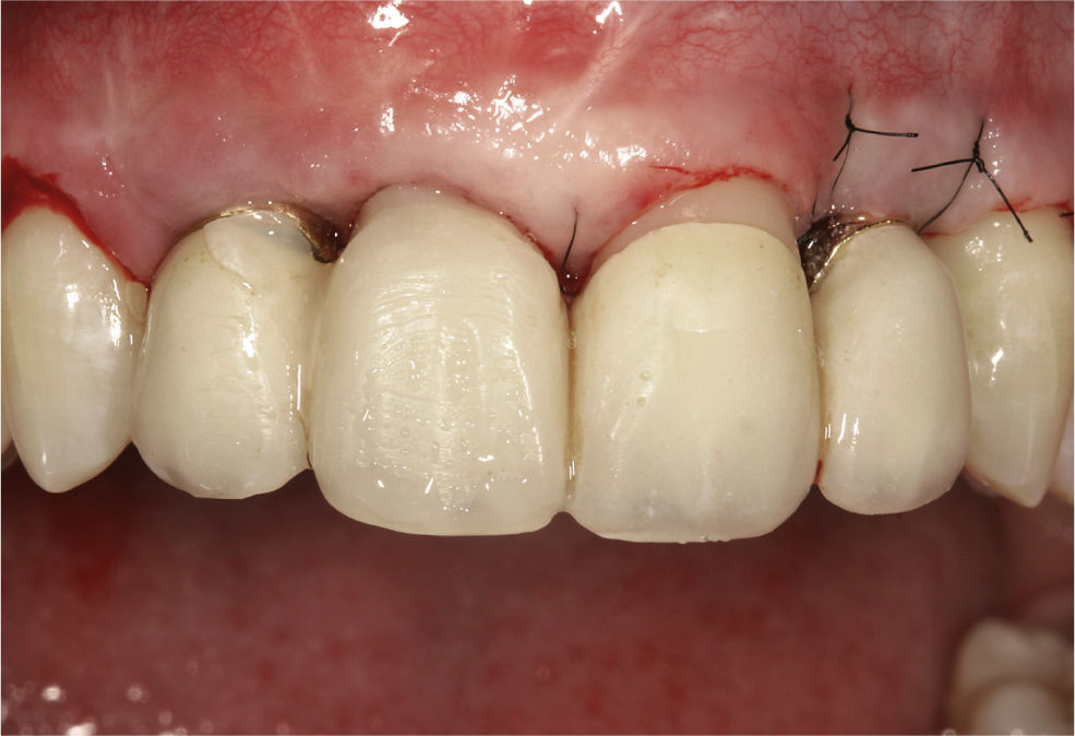
Con objeto de cubrir la dehiscencia residual e incre-mentar el volumen del tejido se practicó al cabo de 3 me-ses otro aumento con dos injertos de tejido conjuntivo procedentes del lado derecho e izquierdo del paladar (figs. 7 a 9). Transcurridos otros 3 meses se expuso el implante 12 mediante un colgajo de desplazamiento y se realizó un nuevo aumento de tejido blando. Se preparó el diente 21 para la colocación de una prótesis provisional y se retiró el pilar antiguo del implante 22 (figs. 10 a 12). Se colocaron pilares nuevos individualizados y angula-dos, fabricados con una aleación de alto contenido en oro. También se colocó el puente provisional 12-22 fabrica-do en el laboratorio. Aunque se había logrado mejorar considerablemente el volumen del tejido blando y con-formar el asiento del póntico 11, persistió un déficit de la papila de los dientes 11-12 que no se logró corregir de forma notoria ni siquiera con un nuevo aumento local en esta zona.
En el marco de la reevaluación estética llevada a cabo en junio de 2008 se recortaron los bordes incisales de los incisivos centrales que, en relación con el labio infe, eran excesivamente largos (fig. 13). Con este proce-dimiento se allanó el camino para dar a los dientes ante-rosuperiores cuadrados una forma rectangular mediante técnicas resectivas. Se aprovechó el alargamiento coronario quirúrgico para armonizar el festón de tejido blan y duro en las regiones del 14 al 24 y para aplanar li-geramente las papilas (figs. 14 a 16).
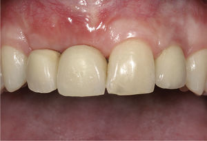
Cinco meses después de la última intervención y de un período postoperatorio sin contratiempos, se reali-zó la preparación definitiva de los dientes pilares. Para cubrir de forma segura los pilares dorados se fresaron sendas estructuras para la corona y el puente en cerá-mica de óxido de zirconio (figs. 17 y 18). A finales de 2008, un año y medio después de iniciar el trata-miento, se pudo conectar la prótesis definitiva y dar el alta a una paciente feliz que mostró con una sonrisa na su gran satisfacción por los resultados consegui-dos (figs. 19 y 20). La figura 21 muestra la sonrisa de la paciente un año después de la finalización del trata-miento.
Las situaciones con dos espacios edéntulos adyacentes en la zona anterior de la arcada superior y en presen-cia de una línea de sonrisa alta revisten el máximo grado de dificultad en implantología4. En el análisis del riesgo estético numerosos factores hablaban a fa de un riesgo terapéutico alto del caso tanto en el primer abordaje como en el momento del retratamien-to. Las expectativas de la paciente eran elevadas, al igual que la trayectoria labial, el festón de los dientes adyacentes era pronunciado y los dientes adoptaban una forma triangular en la zona cervical. La anatomía de la cresta ósea alveolar mostraba un déficit conside tanto en su dimensión horizontal como vertical. La situación del tejido blando era similar. El espacio edéntulo abarcaba dos anchuras dentarias en una he-micara.
La situación precaria que se halló en el momento de iniciar el retratamiento se debía en parte al implante co-locado a la paciente a los 16 años de edad. Aparentemen-te el desarrollo dentario no había concluido todavía. Esto llevó a la detención del crecimiento de todo el segmento óseo que circundaba los incisivos central y lateral dere-chos. A pesar de que la distancia entre los implantes era de aproximadamente 3 mm5, la papila estaba aplanada y mostraba una diferencia de altura respecto a la contrala-teral de 7mm.
La reabsorción del hueso vestibular secundaria a la ex y la poca distancia que suele existir entre los cuerpos de los implantes, además de otros factores, ha-cen que en general sea muy difícil evitar la pérdida de la papila entre dos implantes adyacentes2. Por consiguien-te, desde una perspectiva estética es preferible utilizar un puente a extensión o un puente combinado diente/im-plante en los dos lados de un espacio edéntulo1.
Antes de iniciar el retratamiento se hizo una evaluación comparativa crítica de varias propuestas de tratamien-to basada en los riesgos, la inversión y la capacidad para predecir el resultado estético del tratamiento. La alternati-va exclusivamente protésica hubiera proporcionado una armonización de los bordes incisales, pero habría dejado una transición visible en el complejo de tejidos blandos, razón por la que se desestimó.
La segunda opción consistía en la explantación de los implantes 11 y 12, un injerto en bloque y diversos aumen-tos de tejido blando. La remoción de implantes osteoin-tegrados incrementa forzosamente el defecto existente en la cresta ósea alveolar, ya que se eliminan también can-tidades importantes de hueso sano. El aumento vertical de la cresta alveolar mediante hueso particulado y espe-cialmente con un injerto en bloque se asocia a riesgos quirúrgicos y estéticos considerables. Los casos descri-tos en la bibliografía proporcionaron resultados estéticos satisfactorios sólo excepcionalmente. La formación de ci y una restitución de eficacia dudosa de las papilas son factores contrarios a este procedimiento. Si se opta por una nueva implantación, ésta debe ser de un solo implante.
La tercera alternativa terapéutica es el desplazamiento segmentario mediante distracción osteogénica3. Esta al interesante en sí requiere muchísima experien-cia para seccionar correctamente el segmento y mo-vilizarlo dándole una orientación perfecta. Además, la ausencia de fibras elásticas en el paladar puede dar lugar a complicaciones durante la distracción del maxilar. Esta opción tampoco ofrece una solución para recuperar la pa-pila, por lo que también queda descartada.
El tratamiento realizado se basaba en primer lugar en la consideración de que no se tenía que conectar una próte-sis a cada implante. Los injertos de tejido conjuntivo tie-nen una gran probabilidad de éxito en el aumento de la cresta alveolar. En caso de fracaso de los injertos, no exis-te un riesgo de empeoramiento estético y la morbili-dad es mínima. Con la alternativa elegida se pudo respe-tar el deseo de la paciente de excluir de la planificación los caninos adyacentes sanos. Sin embargo, se ha de evaluar de forma crítica el hecho de no haber llevado a cabo el alargamiento coronario quirúrgico ya durante la reexposición del implante 12. La atención centrada en el defecto de grandes dimensiones hizo perder de vista momentáneamente la situación global en la sonrisa máxima.
La anulación total de los implantes 11 y 12 habría sido otra alternativa que también hubiera proporcionado el resultado deseado. Esto habría exigido, sin embargo, la inclusión del diente 13 en un puente. Por otra parte, tam habría sido razonable optimizar estéticamente la re longitud-anchura de los dientes con un alargamien coronario quirúrgico. Además, la anulación completa de varios implantes puede perjudicar la relación con el paciente y el odontólogo que lo ha remitido, aunque se trata a menudo de la mejor opción estética disponible en la zona visible. La reproducción perfecta de los incisivos centrales y el reequilibrado de situaciones asimétricas su-ponen por otro lado un auténtico reto para el técnico de laboratorio.
Conclusiones para la consultaSe recomienda que el odontólogo adopte una postura autocrítica si ha de enfrentarse a un tratamiento implan-tológico en la zona estética. En ninguna otra especiali-dad odontológica se alejan tanto el deseo y la realidad de la estética como en implantología. Los fracasos mu-chas veces son irreparables y, en caso de admitir un re-tratamiento, éste exige un gran esfuerzo en términos de tiempo y dinero. Se recomienda que para la toma de deci el odontólogo se oriente, por ejemplo, por la clasifi-cación SAC que agrupa las situaciones clínicas en senci-llas (straightforward = S), avanzadas (advanced = A) y complejas (complex = C).
Para las implantaciones en la zona estética rige la re-gla de no llevar a cabo este tipo de tratamientos en pa-cientes menores de 20 años para descartar con certeza la posibilidad de que se produzcan cambios, aunque sean mínimos, por efecto del crecimiento. Siempre que sea posible se evitará la colocación de dos implantes adya en esta zona. En ausencia de dos dientes se obten-drá un mejor resultado estético sin implantes si los dientes adyacentes ya han sido tratados con coronas. A diferen-cia de las dificultades que se plantean para solucionar la ausencia de papila entre dos implantes, en general se pue-den conseguir resultados estéticamente más que acep-tables con pónticos y, si procede, con injertos de tejido conjuntivo sencillos. Los implantes se deben posicionar exclusivamente en la pared palatina del antiguo alvéolo para evitar dehiscencias vestibulares. Normalmente, se han de llevar a cabo aumentos de tejido duro y de tejido blando, dado que en todos los casos se produce una reab-sorción del tejido óseo compacto vestibular. Por esta ra-zón los implantes inmediatos y especialmente las próte-sis inmediatas en la zona estética se asocian a un riesgo de fracaso importante.
En caso de fracaso estético en implantología destaca por su eficacia la inactivación de los implantes mediante cober-tura con tejido blando como alternativa a la explantación.
Mi agradecimiento especial a Dietmar Meyer, jefe del laboratorio dental, y a su equipo del laboratorio dental H.J. Borchard por su dedicación y es-mero en la confección de las prótesis, a la Dra. Simone Stake y al Dr. Pe Durynek por su confianza y a la paciente por su paciencia ejemplar.





















