Introducción
En anomalías asociadas a una relación anterior traumática se plantea a menudo el problema de cómo realizar un tratamiento con aparatos fijos y sin interferencias. El autor entiende por «sin interferencias» mantener libres las superficies oclusales de las zonas de apoyo. Con este procedimiento se pretende prescindir de elementos para el aumento de dimensión vertical que anulen la intercuspidación normal. Sin duda, el aumento de dimensión vertical es una medida razonable desde el punto de vista mecánico, pero no sabemos qué efectos adversos podemos provocar con él7. No es excepcional que algunos pacientes no toleren la separación de las superficies oclusales.
El tratamiento labiolingual es una buena alternativa para evitar estos problemas. Se presentan dos casos clínicos diferentes para explicar este método sencillo y eficaz que permite un tratamiento sin interferencias, es decir, que prescinde de placas de aumento de dimensión vertical y de dispositivos similares. Los sistemas de brackets utilizados son relativamente sencillos. En labial se coloca un sistema arco de canto convencional y en lingual se colocan brackets de técnica bidimensional (Forestadent, Pforzheim). Los resultados presentados se han logrado con un número reducido de arcos por arcada tratada.
Casos
Paciente 1
Se trata de un paciente con clase esquelética III y clase I dental3,5. Presentaba dientes anterosuperiores situados en mordida cruzada, desviación funcional y el apiñamiento correspondiente. La arcada inferior ofrecía una imagen relativamente armoniosa (figs. 1 a 5).
Figura 1. Mordida cruzada anterior.
Figura 2. Oclusión clase I, retrognatismo maxilar.
Figura 3. Apiñamiento en el maxilar, arcada inferior armoniosa.
Figura 4. Estructura facial característica.
Figura 5. Desviación funcional evidente.
Para facilitar a los pacientes la comprensión de los problemas que acarrea la maloclusión que padecen y para mostrar así las ventajas de la técnica labiolingual, el autor utiliza la demostración reflejada en la figura 6.
Figura 6. Demostración de fácil comprensión.
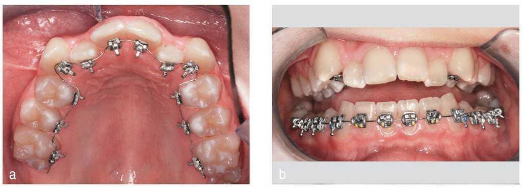
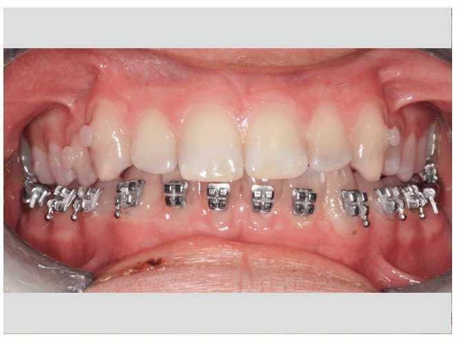
El uso de arcos de níquel-titanio superelásticos en combinación con brackets de técnica bidimensional en el maxilar permitió conseguir la máxima expansión y protrusión sin conflictos con los brackets colocados en la mandíbula (fig. 7). En poco tiempo se corrigió la mordida cruzada y se pudo concluir la armonización y la coordinación de las arcadas (figs. 8 a 10). Las mejoras estéticas y dentales son más que evidentes (figs. 11 y 12). El tratamiento activo finalizó con la retirada de la aparatología multibandas y a continuación se colocaron los dispositivos de retención correspondientes (figs. 13 y 14).
Figura 7. Se consigue la corrección sin contratiempos.
Figura 8. Corrección de la mordida cruzada.
Figura 9. Situación de la oclusión lateral después de corregir la mordida cruzada.
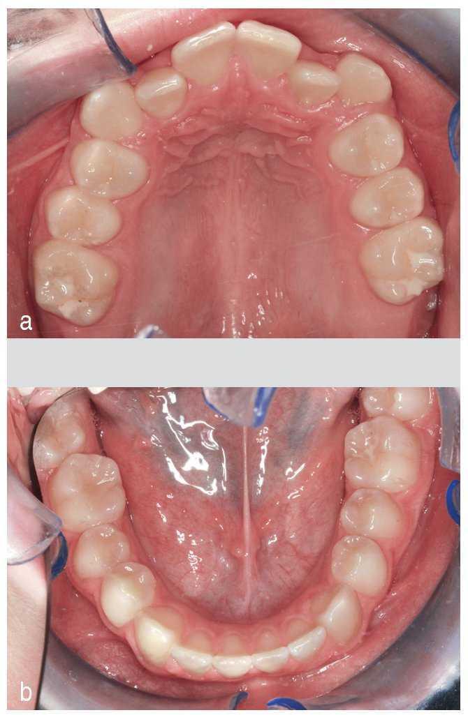
Figura 10. Armonización de las arcadas dentarias.
Figura 11. Mejoría clara del aspecto estético.
Figura 12. Situación esquelética más equilibrada.
Figuras 13 y 14. Situación después de retirar la aparatología multibandas.
Paciente 2
Este paciente presentaba una clase I dental con mordida cubierta. También existían una discrepancia de Bolton y espacios en el sector anterosuperior. Los incisivos centrales superiores estaban retroinclinados1. La arcada inferior estaba bien formada salvo por la presencia de un apiñamiento en el sector anterior (figs. 15 a 18).
Figura 15. Vista lateral del paciente.
Figura 16. Mordida cubierta con signos evidentes de bruxismo.
Figura 17. Inclinación marcada del sector anterosuperior, dientes 11 y 21 retroinclinados.
Figura 18. Apiñamiento en el sector anteroinferior.
A este paciente también se le hizo la demostración antes descrita con objeto de facilitarle la comprensión de su problemática (fig. 19).Figura 19. Demostración ilustrativa.
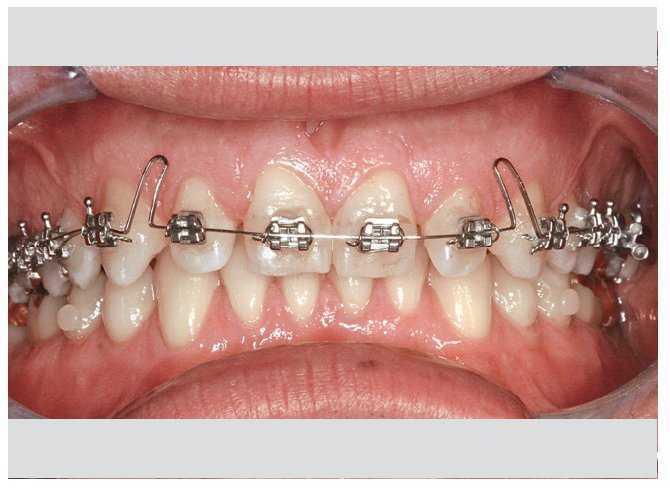
En este caso se utilizó también un sistema de brackets arco de canto labial convencional en el maxilar combinado con los mismos brackets linguales de técnica bidimensional en la mandíbula2 (fig. 20). Hicieron falta sólo dos arcos por arcada para la parte activa del tratamiento8 (fig. 21).
Figura 20. Aparato arco de canto labial en el maxilar, aparato lingual de técnica bidimensional en la mandíbula.
Figura 21. Segundo y último arco.
Puede ser útil inspeccionar la situación de la mordida en los modelos de yeso también desde el interior para poder controlar así los progresos en el levante de la mordida desde la fase inicial, como muestra el ejemplo de la figura 224.
Figura 22. En esta imagen se aprecia claramente el levante de la mordida conseguido.
Una vez finalizada la parte activa del tratamiento, se confeccionó una férula de retención para el maxilar. Está previsto mejorar la estética del sector anterior con carillas. En la mandíbula se colocó un retenedor lingual fijo (fig. 23).
Figura 23. Aparatología retirada, dispositivos de retención en el maxilar y la mandíbula.
Conclusiones
La respuesta del paciente a este tipo de tratamientos siempre es positiva, ya que la tracción suave y el hecho de no ver perturbada la función masticatoria normal durante la fase correctora contribuyen a la aceptación del tratamiento ortodóncico. El tratamiento labiolingual es especialmente eficaz en maloclusiones como las expuestas en el presente artículo. No cabe duda de que la técnica puede ser perfeccionada y podrá ser objeto de nuevos estudios y de nuevas evaluaciones.
Correspondencia: Jakob Karp.
Räterstrabe 20, 85551 Heimstetten, Alemania.
Correo electrónico: info@praxis-dr-karp.de























