Introducción
Las complicaciones relacionadas con el uso de instrumentos para tratamientos dentales son acontecimientos relativamente raros en odontología, pero que no se deben subestimar. En el pasado, la rotura de una aguja para inyección era una complicación conocida7. La Organización Internacional para la Estandarización introdujo en la década de los sesenta una aguja desechable de acero fino normalizada que permitió disminuir la incidencia de la rotura de agujas2. Otro tipo de acontecimientos, como la rotura de una punta de fresa, tampoco son hechos excepcionales. En la bibliografía se siguen comunicando casos en relación con estas complicaciones. Entre las causas posibles se barajan la inexperiencia del facultativo, un movimiento inesperado del paciente o un defecto de fabricación11. Las roturas de aguja se producen sobre todo en la región pterigomandibular durante la anestesia de conducción del nervio dentario inferior11.
El tratamiento de estas complicaciones iatrogénicas es objeto de debate en la bibliografía3,6,15. No obstante, la mayoría de los autores insisten en la necesidad de extraer la aguja rota debido al riesgo de migración y a la posible lesión de estructuras vitales.
A continuación, recordaremos este tipo de complicación iatrogénica sobre la base de un caso clínico actual. Se comentan las posibles causas y se explica el procedimiento terapéutico óptimo de presentarse este desagradable acontecimiento en la consulta dental.
Caso clínico
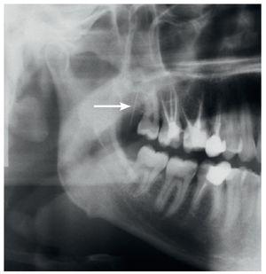
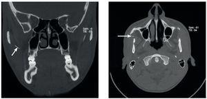
Un paciente de 35 años de edad acudió a la consulta de su odontólogo de cabecera por un cuadro de dolor agudo en el lado derecho de la mandíbula. La punta de la aguja se rompió durante la anestesia de conducción del nervio dentario inferior. No fue posible localizarla desde la cavidad oral. El paciente fue remitido para su diagnóstico y tratamiento urgente a la Clínica de Cirugía Maxilofacial de la Clínica Universitaria de Zúrich. Una ortopantomografía obtenida por el odontólogo de cabecera evidenciaba claramente la punta rota en proyección sobre la tuberosidad maxilar derecha (fig. 1). A su llegada a la clínica el paciente estaba asintomático. En la exploración clínica no se logró localizar con precisión la aguja. Se practicó una tomografía computarizada para una evaluación exacta. En la TC se observó la aguja rota en la zona del tejido adiposo y la cara inferior del músculo masetero directamente en medial del arco cigomático y en la parte anterior de la rama ascendente de la mandíbula (fig. 2).
Figura 1. En la ortopantomografía realizada por el odontólogo de cabecera se observa una imagen radioopaca de densidad metálica de 20 mm de largo que se proyecta sobre la tuberosidad maxilar derecha.
Figura 2. La tomografía computarizada craneal muestra una imagen radioopaca de densidad metálica de aproximadamente 20 mm de largo en la zona del músculo masetero derecho.
Se informó al paciente del diagnóstico y de la intervención prevista con anestesia general para la extracción de la aguja. Se practicó una incisión intraoral (fig. 3a) sobre la rama ascendente que no planteó problemas. Con ayuda de la fluoroscopia dinámica y una pinza mosquito como referencia se consiguió localizar rápidamente la punta de la aguja rota. A continuación, se consiguió sujetarla y extraerla sin contratiempos (fig. 3b). Se trataba de una aguja para inyección de calibre 30 y de 25 mm de largo (fig. 3c). El periodo postoperatorio transcurrió sin complicaciones.
Figura 3a. Incisión intraoral en la región de la rama ascendente.
Figura 3b. Fragmento de aguja visible durante la intervención. Retirada del fragmento con una pinza arterial fina.
Figura 3c. Punta de aguja rota comparada con una aguja para inyección de dimensiones idénticas y con una aguja adecuada para la anestesia de conducción del nervio dentario inferior (35 mm, calibre 27).
Discusión
En la bibliografía se describen diversas causas para las complicaciones iatrogénicas relacionadas con instrumental odontológico. Las causas principales de rotura de instrumentos, como agujas para inyección y fresas, incluyen, además de los movimientos bruscos inesperados de la cabeza hacia el lado opuesto, el precurvado de la aguja y el intento de vencer la resistencia tisular aplicando mucha fuerza sobre la aguja o modificando la posición de la punta insertada en el tejido11.
Los estudios llevados a cabo en cadáver han mostrado que, para obtener una anestesia eficaz del nervio dentario inferior, la aguja ha de penetrar en el tejido hasta una profundidad de 21,96 mm9 (desviación estándar 1,81 mm). Esto significa que, si se utiliza una aguja fina y corta como la del presente caso (p. ej. calibre 30, 25 mm) para la anestesia de conducción en la mandíbula, la aguja tendría que penetrar totalmente en el tejido. El cubo de la aguja es rígido y tiene una flexibilidad limitada. Es la parte más débil de la aguja, por lo que representa el punto de máximo riesgo de rotura11. Con un diámetro reducido, la flexión es considerablemente mayor que en el caso de diámetros más gruesos1.
Muchos odontólogos utilizan agujas de calibre 30 de 20 a 25 mm de longitud para la anestesia de conducción en la mandíbula con el argumento de que permite una inyección lenta del anestésico, el tejido está expuesto a una menor tensión y, por lo tanto, el paciente percibe menos dolor11,14. Sin embargo, la percepción del dolor varía de individuo a individuo. Fuller et al8 pudieron demostrar que la percepción del dolor no varía con el uso de agujas de calibre 25, 27 o 30. Una ley física afirma que la presión es inversamente proporcional al diámetro. Referido a la anestesia local esto significa que, cuanto menor es el calibre de la aguja, mayor es la presión de inyección y mayor es el estímulo doloroso provocado por la presión de inyección. Junto con la velocidad y la presión de inyección, la escarificación del periostio también constituye una fuente de dolor. Además, las agujas de menor calibre tienen una mayor tendencia a la rotura18.
Para evitar a odontólogos y a pacientes acontecimientos inesperados desagradables de este tipo se debe prestar atención a las medidas siguientes. Hay que explicar al paciente, antes de la inyección, dónde y en qué momento puede sentir un dolor breve pasajero, lo que puede evitar en un momento determinado que el paciente mueva bruscamente la cabeza. No se debe doblar la aguja antes de la inyección. Se aconseja utilizar una aguja de calibre 25 o 27 de 35 mm de longitud y no introducir toda la aguja en el tejido. Dojcinovic et al4 recomiendan dejar al menos un fragmento de 5 mm fuera del tejido para poder retirar sin problemas el fragmento sobresaliente con una pinza en caso de rotura. En cuanto la aguja se encuentra en la profundidad del tejido, una palpación puede provocar la migración del fragmento roto10.
Para cambiar la aguja de posición se debe retirar la aguja del tejido hasta que la punta quede situada justo debajo de la mucosa. Se evitará el contacto con tejido resistente (músculo, periostio) para impedir una deflexión submucosa de la aguja12,13.Después de una fractura de la aguja para inyección, habrá que esforzarse al máximo para extraer con delicadeza el fragmento sobresaliente. El uso de una pinza arterial fina permite sujetar el fragmento y extraerlo sin dañar los tejidos. En caso de localización submucosa del fragmento roto es mejor desistir de la extracción debido al riesgo de infección o de migración de la aguja al espacio faríngeo lateral3,11,15. La migración se asocia a síntomas como disfagia o trismo. Otra posibilidad es la migración del cuerpo extraño hacia los grandes vasos del cuello (arteria carótida externa, arteria faríngea ascendente), donde puede provocar una hemorragia potencialmente fatal5-7,12,17,19. En caso de situación submucosa del fragmento, recomendamos, coincidiendo con otros autores, no intentar extraer el fragmento en la consulta dental bajo anestesia local5,10,16,19. En su lugar se recomendará al paciente evitar o al menos disminuir al mínimo imprescindible los movimientos masticatorios y los movimientos de deglución para evitar la migración secundaria del fragmento como resultado de la contracción de la musculatura masticatoria. Además, debe acudir a una clínica de cirugía maxilofacial con el fragmento residual del instrumento roto y las radiografías practicadas para la extracción quirúrgica del fragmento con anestesia general guiada por técnicas de imagen, si procede (tabla 1).
En las radiografías simples se puede visualizar el cuerpo extraño radioopaco, pero las radiografías no aportan información sobre la localización exacta en el espacio ni sobre las estructuras anatómicas. Recomendamos realizar una tomografía computarizada para la localización precisa del fragmento con visualización de las estructuras blandas. Durante la intervención utilizamos la fluoroscopia con arco C para la navegación, una técnica ampliamente difundida en la ortopedia. Este método permite localizar con precisión cuerpos extraños radioopacos con dosis de radiación bajas. Con ello nos ahorramos un abordaje amplio.
El caso presentado demuestra que el acontecimiento desagradable de una rotura de aguja para inyección no puede considerarse un hecho excepcional.
Correspondencia: Marcello Augello.
Plattenstrasse 15, CH-8032 Zúrich, Suiza.
Correo electrónico: augello@gmx.ch







