Caso 639, varón, 49 años
Cementoblastoma en la mandíbula derecha
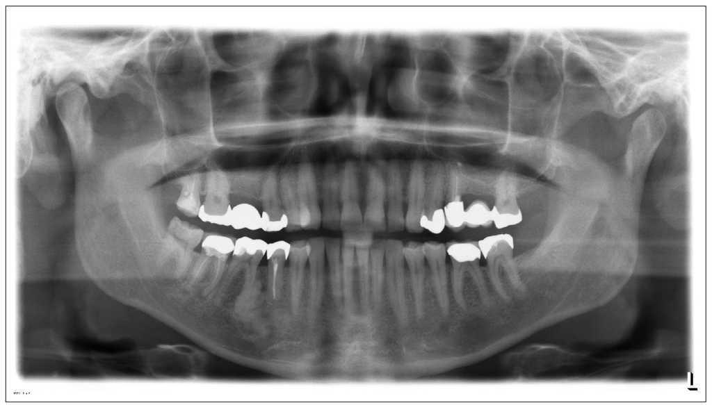
La radiografía panorámica obtenida en la visita del paciente mostró una alteración radioopaca, dismórfica y relativamente bien delimitada en la raíz mesial del diente 46 (fig. 1). La alteración se encuentra rodeada por un borde hipodenso delgado, sobre todo en las porciones superior y mesial. Se observan además osteólisis periapicales en las raíces mesial y distal del diente 47. Se practicó una tomografía volumétrica digital (TVD) dental preoperatoria para la planificación de la intervención quirúrgica y para localizar el conducto dentario inferior del lado derecho.
Figura 1. Radiografía panorámica.
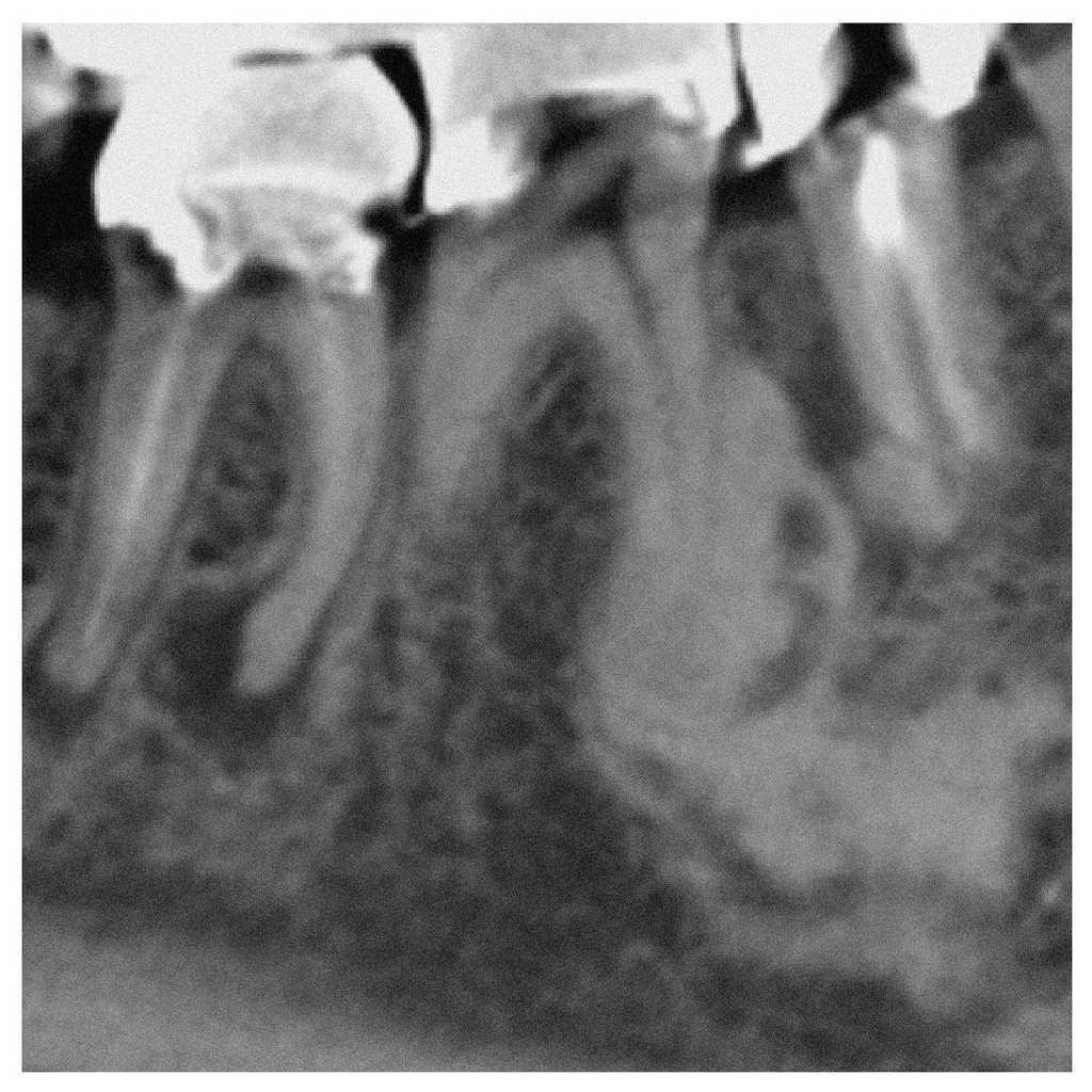
En el plano axial de la TVD se observa una masa hiperdensa y homogénea que ocupa casi toda la anchura de la porción alveolar. Dicha masa está rodeada por un borde hipodenso (figs. 2 y 3). En el plano vertical, se constata que la masa no está en contacto con el conducto dentario inferior del lado derecho (fig. 4).
Figura 2. Tomografía volumétrica digital dental: plano axial.
Figura 3. Tomografía volumétrica digital dental: plano coronal.
Figura 4. Tomografía volumétrica digital dental: plano sagital.
Los cementoblastomas son alteraciones benignas del cemento que se caracterizan histológicamente por una acumulación de cementoblastos. Esto se manifiesta en la radiografía por una especie de halo. Algunos autores consideran que hay que hacer el diagnóstico diferencial con la hipercementosis primaria, una enfermedad que también puede estar asociada a la enfermedad de Paget.
Correspondencia: Hugstetter Straße 55, 79106 Friburgo de Brisgovia, Alemania.
Correo electrónico: dirk.schulze@uniklinik-freiburg.de





