Caso 636, mujer, 61 años
Osteólisis apicales en el diente 27
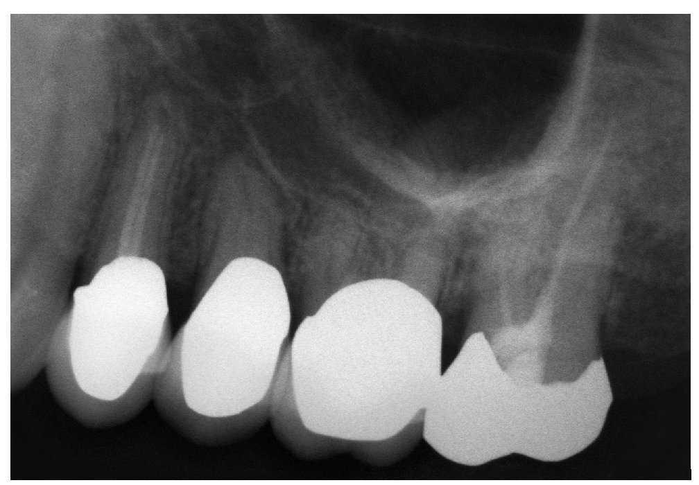
La paciente acudió a la clínica para el estudio de un dolor en la zona de la apófisis alveolar izquierda del maxilar. En la exploración física destacó la presencia de dolor a la palpación en palatino de los dientes 26 y 27. En la radiografía panorámica practicada se observó una obturación radicular parcial del diente 27 y se identificaron imágenes radiolúcidas en los dos ápices vestibulares del diente 26 (fig. 1). La radiografía intraoral de esta región no aportó información adicional sobre la envergadura de las alteraciones apicales (fig. 2), que sí se apreciaron en la tomografía volumétrica digital (TVD) realizada posteriormente (figs. 3 a 5). Además de una osteólisis extensa con origen en ambos ápices vestibulares del diente 27, se aprecia también la presencia de material de obturación extruido en el ápice radicular palatino del mismo diente. En el mismo lugar se observa también una osteólisis apical. Además, en la porción adyacente del receso alveolar del seno maxilar izquierdo se observan engrosamientos almohadillados de la mucosa que sugieren una sinusitis maxilar crónica. Es posible que las osteólisis apicales sean el factor causal de esta infección lo que, sin embargo, no se ha conseguido demostrar con la TVD.
Figura 1. Radiografía panorámica.
Figura 2. Radiografía intraoral de las regiones 25 a 27.
Figura 3. Tomografía volumétrica digital dental: plano axial.
Figura 4. Tomografía volumétrica digital dental: plano transversal (coronal).
Figura 5. Tomografía volumétrica digital dental: plano sagital.
Desde el punto de vista radiográfico, el sector posterior del maxilar es una «zona problemática», dado que en la radiografía panorámica y, sobre todo, en las radiografías intraorales pueden aparecer superpuestos numerosos puntos de referencia anatómicos de esta zona. Esto dificulta en muchos casos el diagnóstico de certeza y puede hacer que se pasen por alto hallazgos relevantes o que se interprete mal su envergadura. En el caso expuesto, el rendimiento diagnóstico de la TVD es claramente superior al de las radiografías de proyección. En este sentido, si se observan en las radiografías convencionales alteraciones que despiertan dudas, puede estar indicada la realización de una TVD.
Correspondencia: Dirk Schulze.
Hugstetter Straße 55, 79106 Friburgo de Brisgovia, Alemania.
Correo electrónico: dirk.schulze@uniklinik-freiburg.de






