(Quintessenz Team-Journal. 2011;41:583-90)
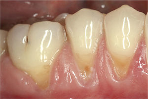
Cuellos dentales hipersensibles, superficies radicula- res sensibles o hipersensibilidad dentinaria cervical son designaciones que se utilizan simultáneamente para un cuadro de molestias que afecta a muchos de nuestros pa- cientes1. Por hipersensibilidad dentinaria se entiende un cuadro doloroso patológico causado por superficies de dentina expuestas con una sensibilidad aumentada ante estímulos intraorales1 (fig. 1). Los estímulos des- encadenantes del dolor suelen ser de índole térmica, mecánica o química. Los pacientes afectados refieren diversas molestias que van desde trastornos sensoria- les leves hasta cuadros dolorosos intensos. De ahí que nuestros pacientes suelan describir sus síntomas en tér- minos muy distintos. Estos dolores o molestias remiten rápida y totalmente una vez concluida la acción del es- tímulo. Esto diferencia claramente la hipersensibilidad dentinaria de las molestias pulpíticas, las cuales en al- gunos casos hacen necesario un tratamiento endodónti- co. El dolor también se diferencia del dolor dentinario o pulpar convencional por el hecho de que el paciente puede localizar con exactitud el punto de aparición del dolor2. La intensidad de los dolores descritos no se ha- lla necesariamente en correlación con los hallazgos clínicos. Además, se debe tener en cuenta que también unas restauraciones insuficientes, obturaciones defectuo- sas o fracturadas, el ajuste deficiente de restauraciones indirectas (inlays, coronas, puentes) y lesiones cariosas pueden manifestar síntomas similares1. Por lo tanto, son imprescindibles la evaluación y el examen exhaustivos de todos los dientes. Asimismo se debería determinar la presencia de fracturas, fisuras y fracturas internas de los dientes. Estos hallazgos también pueden provocar dolores a los pacientes afectados. En caso de que puedan descar- tarse los puntos anteriormente mencionados y se obser- ven superficies de dentina expuestas que reaccionan con sensibilidad únicamente al actuar el estímulo, es probable el diagnóstico de hipersensibilidad dentinaria. Pese a que la etiología, la epidemiología y la terapia de los defectos no cariosos de la sustancia dental dura y de las hiper- sensibilidades a menudo asociadas a estos constituyenun tema muy discutido en la bibliografía, el gran número de propuestas terapéuticas contribuye aún hoy en día a la confusión. Este artículo pretende proporcionar una visión de conjunto del tema de la hipersensibilidad dentinaria, así como presentar y describir las varian- tes de tratamiento existentes para la práctica cotidiana.
Si bien son numerosos los estudios dedicados al trata- miento y la etiología de la hipersensibilidad dentinaria, en la bibliografía internacional existe un número compa- rativamente escaso de estudios de alto valor que extraigan conclusiones sobre la prevalencia y la aparición de este cuadro clínico de la hipersensibilidad dentinaria cervical. En un estudio que incluyó a un total de 635 pacientes, el 25% de los pacientes afirmaron padecer hipersensibili- dad dentinaria. Sin embargo, dentro del estudio clínico se diagnosticaron síntomas de hipersensibilidad dentina- ria tan sólo en el 17% de los pacientes. Otros investiga- dores han descrito que el 52-57% de los pacientes mani- fiestan sufrir trastornos sensoriales como consecuencia de hipersensibilidad dentinaria3. Pero también se des- criben prevalencias claramente inferiores. Estudios rea- lizados con los pacientes de una consulta odontológica general arrojaron la aparición de hipersensibilidad den- tinaria tan solo en aproximadamente el 3% de los casos. En cambio, observaciones en pacientes sometidos a tra- tamiento periodontal demostraron una prevalencia clara- mente mayor de la hipersensibilidad dentinaria4 (67,7-98%). Las mujeres parecen verse afectadas con mayor frecuencia que los hombres, en una proporción situada en torno a 60:40. En principio, todos los grupos de eda-des pueden verse afectado en el rango de dos dígitos. No obstante, parece dar- se una concentración entre los 20 y los 40 años.
La etiología de la hipersensibilidad dentinariaComo ya se ha explicado, la hipersen- sibilidad dentinaria se define como un dolor que parte de la dentina expuesta, que aparece como reacción a estímulos químicos, térmicos, táctiles y osmóti- cos y no puede explicarse por otros de- fectos dentales.
Por un lado, los defectos no cariosos de la sustancia dental dura, como por ejemplo abrasiones, atriciones o erosio-nes, pueden conducir a la exposición de superficies de la dentina, y por otro lado las superficies de la dentina pue- den quedar expuestas debido a la pérdida de inserción (fig. 2). Sin embargo, a menudo se plantea el problema de la multicausalidad, lo cual dificulta en la práctica la bús- queda de la causa y de las medidas terapéuticas pertinen- tes.
Se denomina defectos no cariosos de la sustancia den- tal dura a aquellos procesos destructivos que no se ca- racterizan por la aparición de una lesión cariosa.
Este concepto genérico engloba la abrasión (fig. 1), la erosión, la abfracción o la atrición5. Las atriciones, las cuales son provocadas por el contacto directo entre los dientes, sobre todo en caso de rechinamiento y apriete de los dientes (bruxismo), no pueden observarse en la zona del cuello dental. En cambio, los cuellos dentales expuestos son a menudo la consecuencia de abrasiones. Se denomina abrasiones a las pérdidas de sustancia den- tal dura provocadas por causas mecánicas. Los resultados de estudios se basan tanto en hallazgos clínicos como en exámenes in vitro, los cuales han demostrado que el cepi- llo dental constituye un importante factor etiológico para la aparición de superficies de dentina expuestas. Sin em- bargo, estudios in vitro en los que se trataron los dientes en una máquina de limpieza de dientes han demostrado que el cepillado por sí solo no provoca la eliminación de esmalte. Si bien el uso exclusivamente del cepillo dental y agua bastaría para la eliminación basta de la placa, de esta manera no se elimina ni la cutícula dental exógena, la cual se sabe que constituye el requisito para la adhe- sión de la placa, ni las tinciones extrínsecas. Para la eli- minación de estas es necesaria la adición de sustancias abrasivas.
La abrasividad de estas sustancias abrasivas determi- na en gran medida el efecto alcanzable y las abrasiones que pudieran producirse y que pueden conducir a la pér- dida de sustancia dental dura y a la exposición de super- ficies de dentina y eventuales hipersensibilidades.
Las pastas dentífricas habituales hoy en día poseen en general valores de abrasión que no superan el valor límite crítico establecido por la «British Spezification for Toothpastes» (especificaciones británicas para dentífri- cos), pero una limpieza intensiva de los dientes aplicando una presión excesiva con un cepillo dental duro en com- binación con una pasta dentífrica abrasiva puede condu- cir a la eliminación de esmalte incluso en la zona cervi- cal. Sobre todo los movimientos horizontales del cepillo ejerciendo una presión elevada en la región cervical pue- den causar defectos de la sustancia dental dura.
Desde el punto de vista clínico, las abrasiones denta- les suelen presentarse como una depresión cóncava lisa. Se presume una influencia adicional de alimentos y be- bidas, en su mayoría con contenido en ácidos, sobre la apariencia de las abrasiones por cepillado. Los ácidos o los alimentos con contenido en ácidos pueden conducir a otra forma de pérdidas no cariosas de sustancia dental dura6. Estos ácidos, que pueden tener un origen extrínse- co (por ejemplo, zumos) o intrínseco (por ejemplo, ácido gástrico), son responsables de la aparición de las denomi- nada erosiones. Dependiendo de la forma de acción, las lesiones surgen en las superficies del esmalte vestibulares u orales, y se manifiestan clínicamente como depresión poco profunda y no tincionada. Si el tiempo de acción de los factores etiológicos es lo suficientemente prolongado, puede eliminarse por completo el esmalte dental, resul- tando en la exposición de superficies de dentina.
Otro hallazgo clínico frecuentemente observado en la zona cervical es el defecto cuneiforme, también de- nominado abfracción. Hasta ahora no se han esclarecido por completo los factores etiológicos que conducen a la formación del defecto cuneiforme. Se presume que de- bido a sobrecargas oclusales se producen microfracturas en la zona cervical, las cuales a su vez, en combinación con el efecto del cepillado dental, conducen al despren- dimiento de sustancia dental dura. La prevalencia de los defectos cuneiformes se sitúa en un 5-50%, observándo- se un aumento del número a medida que se incrementa la edad. Clínicamente, el defecto cuneiforme suele estar localizado en las superficies vestibulares y se caracteriza por una delimitación con bordes afilados.
Todos los defectos no cariosos de la sustancia dental dura descritos pueden conducir a una hipersensibilidad en caso de eliminación completa de la capa de esmalte protectora.
Las superficies de dentina expuestas en la zona del cue- llo dental pueden aparecer no solo como consecuencia de los defectos de la sustancia dental dura descritos, sino también como resultado de una pérdida de inserción.
Dado que la capa de cemento radicular expuesta se pierde rápidamente, la dentina situada debajo queda li- bre y por consiguiente sometida a los agentes nocivos desencadenantes del dolor. Junto a los defectos debidos a la limpieza dental ya descritos, las intervenciones qui- rúrgicas periodontales o las consecuencias de un trata- miento ortodóncico o protésico constituyen causas posi- bles de los cuellos dentales expuestos. Los estudios en pacientes sometidos a tratamiento periodontal han po- dido demostrar una correlación positiva entre la hiper- sensibilidad dentinaria y la realización de un tratamiento periodontal. La prevalencia de la hipersensibilidad den- tinaria es considerablemente mayor en pacientes con problemas periodontales que en pacientes promedio7.
El tratamiento de la hipersensibilidad dentinariaEl objetivo de todas las medidas terapéuticas consiste en prevenir la aparición de dolores o eliminar trastornos sensoriales en la zona de los cuellos dentales expuestos. En este contexto, la elección del tratamiento adecuado depende sobre todo de la situación clínica (fig. 3). La existencia y la extensión de defectos de la sustancia den- tal dura desempeñan un papel esencial en el tratamien- to. Mientras que, dejando aparte las medidas quirúrgicas periodontales, los cuellos dentales expuestos sin defec- tos de la sustancia dental dura pueden tratarse por regla general de forma no invasiva, los defectos de la sustan- cia dental dura extendidos requieren habitualmente un procedimiento restaurador invasivo (fig. 3).
El tratamiento de los cuellos dentales hipersensibles puede dividirse en tres áreas principales: medidas pre- ventivas, no invasivas e invasivas. En caso de que los síntomas persistan, puede aplicarse este plan por etapas conforme a la recomendación de la OMS8. Las medidas no invasivas pueden dividirse a su vez en medidas do- mésticas y medidas adoptadas en la consulta odontoló- gica. Sin embargo, en todos aquellos pacientes que ya se quejan de cuellos dentales hipersensibles, debería evitar- se mediante medidas profilácticas el aumento de las su- perficies dentales afectadas.
Posibilidades preventivasDado que la aparición de cuellos dentales hipersensibles está ligada a la exposición de superficies de dentina, la evitación de tales zonas problemáticas brinda la mejor protección posible. Sobre todo una higiene oral domés- tica adecuada y correctamente practicada reviste gran importancia no solo para la prevención de dolencias ca- riosas y periodontales, sino también para la prevención de cuellos dentales expuestos. Mediante el uso de pas- tas dentífricas no abrasivas o escasamente abrasivas en combinación con un cepillo dental más blando pueden prevenirse lesiones causadas por la limpieza y, por con- siguiente, la pérdida de sustancia dental dura. Además, el aprendizaje de una técnica de limpieza adecuada permite prevenir el retroceso de la encía marginal, el cual asimismo puede conducir a superficies de dentina expuestas. Mediante la utilización de pastas dentífricas especiales (Sensodyne, Elmex Sensitive, etc.) y colu- torios bucales (Listerine Total Care Sensitive, Elmex Sensitive, etc.), pueden mitigarse síntomas ya existen- tes. Además de compuestos de fluoruro, nitrato de po- tasio y cloruro de estroncio, estas pastas y colutorios contienen oxalato de potasio y otras sustancias capaces de obturar los túbulos dentinarios.
Otro objetivo debería ser la prevención de erosiones mediante la información y la impartición de instrucciones al paciente. En este contexto debe prestarse especial atención a la prevención de posibles factores etiológicos, como el consumo excesivo de alimentos con contenido en ácidos. La evitación de estos alimentos no solo previene el progreso o la aparición de erosiones, sino que además puede evitar la aparición de los dolores, dado que el contacto de la superficie de dentina con ácidos provoca la eliminación del barrillo dentinario y por consiguiente la exposición y la apertura de los túbulos dentinarios.
Medidas terapéuticas no invasivasEntre las posibilidades terapéuticas no invasivas de las que dispone el odontó- logo para el tratamiento de cuellos den- tales hipersensibles se cuentan un gran número de barnices, soluciones y geles, todos los cuales provocan el sellado de los túbulos dentinarios para inhibir así la aparición del dolor. Muchos de estos preparados están disponibles no solo para su aplicación en la consulta, sino también en forma modificada para su aplicación doméstica. Además de la uti-lización de agentes con contenido en fluoruro, se consi-deran también la combinación iónica inorgánica y orgá- nica, así como sistemas adhesivos para la dentina.
El uso del láser constituye otra posibilidad para pro- vocar el sellado de los túbulos dentinarios9.
Preparados con contenido en fluoruroEn forma de geles, soluciones y barnices, para el trata- miento de la hipersensibilidad dentinaria se utilizan so- bre todo el fluoruro de sodio, el fluoruro de estaño, el monofluorofosfato de sodio y los aminofluoruros, o bien combinaciones de distintas formas de fluoruro10. Los preparados de fluoruro (Fluorprotector, Profluord Var- nish, Bifluorid 12, etc.) aplicados sobre las superficies de dentina expuestas refuerzan por un lado los proce- sos de remineralización y sellan los túbulos dentinarios mediante la precipitación de cristales de fluoruro de calcio difícilmente solubles sobre la superficie9. Dado que este sellado indirecto de los túbulos dentinarios po- see un carácter tan solo temporal, es necesaria su apli- cación repetida. Los pronósticos de éxito tras la aplica-ción odontológica repetida de fluoruro de sodio durante un periodo de un año se situaron en el 41% de todos los pacientes tratados11. La posibilidad de tratar cuellos den- tales hipersensibles con ayuda de preparados de fluoruro altamente concentrados constituye una opción de trata- miento sencilla y respetuosa. Cabe calificar como incon- venientes la necesidad de aplicaciones múltiples y el re- sultado inestable del tratamiento10.
Combinaciones iónicas de bajo peso molecularTambién están disponibles para el tratamiento de la hi- persensibilidad dentinaria numerosas combinaciones iónicas de bajo peso molecular, sales orgánicas e inor- gánicas. Se trata de soluciones con contenido en cloruro de estroncio, nitrato de potasio, oxalato de hierro o de aluminio, citrato de sodio, sulfato de magnesio, oxalato de potasio y lactato de aluminio12. El efecto desensibili- zador de estos agentes se basa esencialmente en dos me- canismos fundamentales. Por una parte, la precipitación de cristales de sal difícilmente provoca una obliteración artificial de los túbulos dentinarios. Esto puede evitar la aparición del dolor de acuerdo con la teoría hidrodiná- mica. Por otra parte, los cationes libres en la zona de las membranas nerviosas provocan la elevación del valor umbral que debe alcanzarse para desencadenar el poten- cial de la membrana, y dificultan así la percepción y la transmisión del dolor por las fibras A-delta sensibles13. Los estudios han arrojado buenos resultados tras la apli- cación diaria de pastas dentífricas con contenido en clo- ruro de estroncio durante un periodo prolongado14. La aplicación de un preparado con contenido en cloruro de estroncio para la consulta arrojó, en un estudio clínico doble ciego prospectivo aleatorizado durante 24 sema- nas, unos resultados significativamente mejores en com- paración con la aplicación sin efecto de un placebo15.
La utilización de nitrato de potasio condujo a resul- tados similarmente buenos. Tarbet et al. (1980) ob- servaron una mejora de las molestias en el 65% de los pacientes tratados. Los pacientes del grupo de placebo correspondiente manifestaron experimentar un alivio en el 20% de los casos16.
Otra posibilidad terapéutica la constituyen los oxala-tos de hierro y de aluminio, los cuales provocan el se- llado de los túbulos dentinarios abiertos mediante la precipitación de oxalato de calcio difícilmente soluble. Estudios clínicos han demostrado en pacientes someti- dos a tratamiento periodontal una mejora significati- va de los trastornos sensoriales en comparación con el grupo de placebo. Mc Fall y Hamrick (1987) observaron perspectivas de éxito similares mediante la administra-
ción de pasta dentífrica con contenido en citrato de so- dio y nitrato de potasio17.
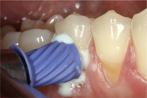
Tratamiento basado en aminoácidosEste novedoso concepto es atribuible a avances de la Universidad de Nueva York, Stony Brook del año 2002. Kleinberg et al. describieron por primera vez una nue- va técnica para eliminar las hipersensibilidades sobre la base de sus conocimientos sobre los componentes natu- rales de la saliva. Los componentes principales de esta tecnología son la arginina, un aminoácido y carbonato de calcio. Esta tecnología se ha bautizado como ProAr- gin y puede sellar los túbulos dentinarios expuestos mediante una capa rica en calcio, y de este modo posi- blemente eliminar eficazmente la hipersensibilidad den- tinaria18,19. Una gran ventaja de esta técnica reside en su excelente biocompatibilidad, dado que los preparados consisten exclusivamente en aminoácidos naturales y carbonato de calcio. Los primeros estudios ya han podi- do confirmar clínicamente este efecto positivo y logra- ron en la mayoría de los pacientes una reducción consi- derable de los síntomas dolorosos18.
En el año 2007, Colgate-Palmolive adquirió la patente y en el año 2009 lanzó al mercado la tecnología ProAr- gin como nuevo producto para el tratamiento de la hi- persensibilidad dentinaria (Colgate Sensitive ProRelief), disponible en Alemania desde 2010 (Elmex Sensitive Desensitizing Paste y pasta dentífrica de Gaba; fig. 4). Estudios actuales con este producto han demostrado una reducción significativa de los síntomas a lo largo de un periodo de 4 semanas como mínimo20. Esta reducción ha sido observada también por otros investigadores. Esta tecnología parece ser una nueva alternativa seria a otras variantes terapéuticas no invasivas. Su aplicación es sen- cilla y se ha observado un efecto más rápido (figs. 5-7).
La utilización de adhesivos para la dentina para el tra- tamiento de los cuellos dentales hipersensibles fue es- tudiada por primera vez por Brännström et al. (1979). Otros investigadores observaron asimismo un efecto desensibilizador tras la aplicación de acrilatos sobre la dentina21. Dado que la aplicación de primers provo- ca una reducción de la permeabilidad de la dentina, la utilización de estos agentes se antoja indicada para in- fluir terapéuticamente en la hipersensibilidad dentinaria. Mediante la aplicación del primer para dentina se sellan total o parcialmente los túbulos dentinarios. Esto tiene lugar por un lado mediante el sellado de los túbulos den-tinarios debido a la infiltración de porciones de resina y por otro lado mediante la precipitación y la aglutinación de proteínas procedentes del licor dentinario. De este modo puede evitarse la aparición del dolor de acuerdo con la teoría hidrodinámica. Las propiedades de pene- tración considerablemente mejoradas conseguidas me- diante la utilización de monómeros hidrófilos (por ejem- plo, HEMA) posibilitan el sellado seguro de los túbulos dentinarios abiertos22. Diversos estudios han demostrado clínicamente éxitos notables en el tratamiento de dien- tes hipersensibles con primers para dentina23. Estudios realizados con el Gluma Desensitizer basado en HEMA arrojaron resultados excelentes al cabo de ocho sema- nas22. Sin embargo, al cabo de nueve meses se observó una disminución notable del efecto positivo.Otros inves- tigadores que observaron la eficacia de Seal⪻otect y VivaSens –ambos preparados a base de acrilato– obser- varon una reducción significativa de los síntomas a lo largo de un periodo de cuatro meses21.
Utilización del láser en cuellos dentales hipersensiblesEl tratamiento de cuellos dentales hipersensibles es otro ámbito de indicación de los láseres dentales modernos. El objetivo de su utilización es lograr el sellado de los túbulos dentinarios abiertos, responsables de la apari- ción del dolor. Para ello se emplean, además del láser de CO2 ya conocido de la cirugía, los láseres de Nd:YAG y GaAlAs23. Así, con ayuda del láser se trataron con éxito en estudios en vivo entre el 65 y el 95% de los cuellos dentales hipersensibles. Mediante la combinación del uso del láser con la aplicación local de fluoruro (NaF, SnF2) se logró una mejora considerable de los resulta- dos. La utilización del láser para la desensibilización de cuellos dentales sensibles puede considerarse como una medida adecuada en virtud de las experiencias positivas recogidas en diversos estudios. Sin embargo, cabe eva- luar como inconvenientes los elevados costes de adqui- sición y el espectro de indicación del láser, todavía muy limitado en la actualidad.
ConclusiónLa hipersensibilidad dentinaria constituye un cuadro clínico muy extendido en la práctica odontológica. El conocimiento exacto de las causas y las consecuencias es importante para el éxito del tratamiento. El paciente dispone de numerosos métodos de aplicación doméstica, tales como pastas dentífricas y enjuagues bucales. Si el uso de estos productos no bastara para mitigar las mo- lestias, el equipo de la consulta puede recurrir a un gran número de preparados que poseen distintos mecanismos de acción. Muchos de estos preparados pueden ayudar a los pacientes.
Sin embargo, actualmente todavía no existen en el mercado ningún preparado ni ninguna técnica no inva- siva que liberen al paciente de los síntomas de forma duradera. Además de la acción a largo plazo, es impor- tante sobre todo el efecto inmediato. En el caso de los desensibilizadores aquí presentados, el requisito de una acción rápida se ve satisfecho por muchos preparados. En caso de que no existan motivos justificados (por ejemplo, caries), no deberían contemplarse los méto- dos invasivos hasta haberse agotado sin éxito los no invasivos y si los dolores persisten. Finalmente, pue- de afirmarse que el problema de la hipersensibilidad dentinaria sin duda continuará revistiendo interés en el futuro, y debería seguir impulsándose el desarrollo de una solución duradera.








