Infecciones víricas
Virus del herpes humano (VHH)
Las infecciones herpéticas forman parte del grupo de enfermedades infecciosas más frecuentes de la mucosa oral. Las enfermedades de la mucosa oral pueden ser causadas por distintos serotipos del virus del herpes humano (VHH) (tabla 1). Los VHH son virus ADN bicatenarios. Se replican en la célula huésped y provocan en ella efectos citopáticos directos así como daños celulares por la inflamación inducida3.
VHH 1 y VHH 2 (virus del herpes simple, VHS 1 y VHS 2)
El VHS 1 es el responsable de más del 90% de las enfermedades de la mucosa oral causadas por el VHS. Un porcentaje superior al 85% de la población mundial es seropositivo para el VHS 1. La primoinfección suele producirse durante la infancia, dando lugar a un cuadro clínico que muchas veces pasa desapercibido. Sin embargo, en otros casos, tras un período de latencia de 3 a 10 días después del contagio se desarrolla un cuadro sistémico grave con fiebre alta, dolor de garganta, adenopatías cervicales y gingivoestomatitis herpética aguda. En los labios, alrededor de la boca, en la mucosa bucal y gingival y también en la orofaringe aparecen numerosas vesículas que se transforman en erosiones extensas y úlceras superficiales asociadas a dolor intenso al comer y al hablar. Estas vesículas pueden aparecer en la mucosa queratinizada y también en la mucosa no queratinizada (fig. 1). La enfermedad tiene una duración aproximada de 2 a 3 semanas, lo que en determinados casos provoca una pérdida de peso importante, dado que durante este período los pacientes a menudo sólo pueden ingerir líquidos. El tratamiento es sintomático. Además de analgésicos sistémicos y de un colutorio bucal con acción desinfectante y acción anestésica local, a menudo se prescribe un antibiótico si existe una sobreinfección. En pacientes inmunodeprimidos está indicado un tratamiento antiviral sistémico con aciclovir. Por lo demás, se trata de una enfermedad autolimitada.
Figura 1. Gingivoestomatitis herpética como primera manifestación de una infección por el virus del herpes simple tipo 1.
Después de la primoinfección, el virus llega por vía retrógrada a través de los axones a los ganglios nerviosos regionales y permanece allí en estado latente. La reactivación puede ser espontánea o ser el resultado de una diversidad de factores (tensión psíquica, fiebre, alteraciones hormonales, inmunosupresión, luz UV) y se observa en alrededor de un 40% de los infectados por el VHS. La recidiva se puede manifestar en todo el territorio de inervación del nervio trigémino, pero las localizaciones más frecuentes son el margen labial (herpes simple labial) o la zona perioral, y con menor frecuencia la mucosa nasal o el resto del rostro. Las lesiones intraorales aparecen sobre todo en pacientes inmunodeprimidos y se localizan habitualmente en las encías y también en el paladar duro. Los pródromos de las lesiones clínicas visibles consisten en prurito, hormigueo y sensación de quemazón. A continuación se desarrollan pápulas rojizas agrupadas que se transforman en vesículas con un borde rojizo y que, por último, se ulceran y cicatrizan formando una costra.
Se prescindirá de todo tipo de intervención odontológica hasta que la enfermedad no haya avanzado a la fase de costras debido al riesgo de provocar una sepsis por virus del herpes. El dolor suele persistir durante aproximadamente 4 a 5 días y la curación en el paladar duro requiere unos 8 a 10 días. En pacientes inmunodeprimidos a consecuencia de cánceres o tratamientos inmunosupresores, en pacientes sometidos a radioterapia, a trasplantes o con infección por el VIH pueden observarse evoluciones clínicas anormalmente graves. El diagnóstico clínico se puede confirmar mediante el test de Tzanck o la identificación del virus (cultivo, inmunofluorescencia directa, hibridación in situ o PCR). Desde el punto de vista terapéutico, el tratamiento de elección son los virostáticos por vía tópica. En infecciones graves y en pacientes inmunodeprimidos se debe considerar la posibilidad de administrar un tratamiento antiviral sistémico con aciclovir, valaciclovir o famciclovir3. Se recomienda proteger los labios contra la luz UV para prevenir las recidivas. Se debe hacer el diagnóstico diferencial con aftas orales benignas de tipo herpetiforme que, a diferencia del herpes simple recidivante, se localizan en la mucosa no queratinizada, con la gingivitis ulcerosa necrosante (GUN) o con el herpes zóster9.
VHH 3 (virus varicela zóster, VVZ)
El VVZ puede dar lugar a dos cuadros clínicos diferentes. La primoinfección da lugar a la varicela. Esta enfermedad se transmite por contacto directo con las vesículas o por transmisión aérea de microgotitas. En más del 90% de los casos los afectados son niños menores de 10 años. Después de un período de incubación de aproximadamente 14 días aparece un exantema generalizado con máculas, pápulas, vesículas, pústulas y, por último, lesiones costrosas, localizadas inicialmente en la cara y que después se propagan rápidamente al tronco respetando habitualmente las partes distales de las extremidades. Este cuadro polimórfico caracterizado por la aparición simultánea de lesiones cutáneas en diversos estadios se denomina «carta astral de Heubner» (fig. 2a). En la mucosa oral, en el paladar, la faringe, la lengua y, con menor frecuencia, también en las encías y en el límite del prolabio aparecen vesículas amarillentas, dolorosas, del tamaño de un grano de arroz que estallan rápidamente, se ulceran y quedan rodeadas de un halo rojizo (fig. 2b). En general, el diagnóstico es clínico y se establece en base a la anamnesis y a los signos y síntomas característicos. La varicela es una enfermedad autolimitada en niños inmunocompetentes y no requiere tratamiento. En los adultos, la evolución suele ser más grave y puede asociarse a complicaciones, por lo que deberían ser tratados con aciclovir, valaciclovir o famciclovir por vía oral. En niños y adultos inmunodeprimidos, se administra aciclovir por vía intravenosa.
Figura 2a. Varicela. carta astral de Heubner en la espalda.
Figura 2b. Varicela: lesiones orales y lesiones periorales.
Como el VHS, el VVZ persiste en los ganglios sensitivos. La existencia de una inmunidad celular disminuida favorece su reactivación y la aparición de un herpes zóster en el dermatoma inervado por el ganglio sensitivo correspondiente. Este es el motivo por el que el herpes zóster se presenta sobre todo en pacientes de edad avanzada y con una inmunidad disminuida. Antes de la erupción de las lesiones cutáneas, el paciente presenta de forma característica neuralgias segmentarias y prurito. En la piel aparece un exantema vesicular, limitado al dermatoma afectado, sobre un fondo eritematoso que evoluciona primero a pústulas y finalmente a costras. La afectación de la segunda y de la tercera ramas del trigémino puede dar lugar a alteraciones de la mucosa oral. Las vesículas intraorales estallan rápidamente y confluyen, lo que da lugar a erosiones. Las localizaciones más habituales son la mucosa de los labios, de la lengua, del paladar blando y del paladar duro así como la mucosa yugal, si bien las lesiones intraorales suelen ser estrictamente unilaterales (fig. 3).
Figura 3. Herpes zóster de la mucosa oral con afectación de la rama II del trigémino en el lado izquierdo.
Después de la cicatrización de las vesículas en un plazo de 2-3 semanas puede persistir un dolor intenso que se denomina neuralgia postherpética. En algunas ocasiones, este dolor puede simular una pulpitis. Antes de la aparición de las vesículas debe hacerse el diagnóstico diferencial con una neuralgia. El diagnóstico puede ser clínico o establecerse, como en la infección por el VHS, mediante el test de Tzanck, la inmunofluorescencia directa, la hibridación in situ, la PCR o un cultivo vírico. El herpes zóster se trata con antivirales sistémicos en pacientes mayores de 50 años, en caso de neuralgias intensas antes de la erupción cutánea o en cuanto aparece ésta, en el herpes oftálmico y en pacientes inmunodeprimidos. Las lesiones orales dolorosas se tratan con colutorios con efecto anestésico local y analgésicos sistémicos4.
VHH 4 (virus de Epstein-Barr, VEB)
El VEB puede provocar varias enfermedades orales entre las que se encuentran la mononucleosis infecciosa, la leucoplasia pilosa oral, el linfoma de Burkitt y el carcinoma nasofaríngeo.
La mononucleosis infecciosa afecta sobre todo a jóvenes de edades comprendidas entre 17 y 25 años. Después de un período de incubación que varía entre 30 y 50 días, la enfermedad se manifiesta por la tríada de faringitis, fiebre y adenopatías cervicales. Pueden aparecer además un exantema micropapuloso y petequias palatinas sobre todo en la zona de transición entre el paladar blando y el paladar duro, una amigdalitis exudativa, hepatosplenomegalia y artralgias. La enfermedad es autolimitada. Debería descartarse una infección concomitante por estreptococos -hemolíticos mediante un frotis6.
La leucoplasia pilosa oral (LPO) se caracteriza por alteraciones estriadas verticales blanquecinas localizadas predominantemente en los bordes laterales de la lengua, las cuales no se eliminan pasando una gasa (fig. 4). La alteración suele ser asintomática, pero puede producir parestesias si se sobreinfecta con alguna especie de Candida10.
Figura 4. Leucoplasia pilosa oral en el borde lingual izquierdo en una infección por el VIH.
La LPO es provocada por el VEB. En muchos casos es un signo precoz de una infección por el VIH y tiempo atrás se consideró un signo patognomónico de esta infección. Actualmente se cree que la LPO es un indicador de la disminución de linfocitos CD4+ y se ha descrito también en relación con otros estados de inmunodepresión, sobre todo en receptores de trasplantes. La LPO concomitante a una infección por el VIH puede desaparecer con un tratamiento antirretroviral de gran actividad (TARGA). Desde el punto de vista del diagnóstico diferencial, la diferenciación con la leucoplasia no homogénea, una reacción liquenoide o una candidiasis no siempre es clara.
El linfoma de Burkitt tiene una relación etiológica clara con la infección por el VEB, sobre todo su forma endémica en el África tropical. Afecta principalmente a los ganglios linfáticos. En la zona oral y maxilofacial son característicos la invasión de la mandíbula o del maxilar, las linfadenopatías cervicales, el dolor de garganta, la movilidad dentaria y la odontalgia. Desde el punto de vista epidemiológico, parece existir también una relación estrecha entre la infección por el VEB y el carcinoma nasofaríngeo3.
VHH 5 (citomegalovirus, CMV)
La primoinfección por el CMV suele ser asintomática, pero en casos aislados puede dar lugar a un cuadro clínico parecido al de la mononucleosis. El CMV permanece latente después de la primoinfección. La reactivación en pacientes inmunodeprimidos puede dar lugar a úlceras orofaríngeas3.
VHH 6 y VHH 7
El VHH 6 es el virus causante del exantema súbito. A nivel intraoral, se pueden observar manchas eritematosas en el paladar blando antes de la erupción del exantema cutáneo. La infección se produce habitualmente en lactantes y en niños pequeños y se transmite por vía aérea a través de microgotitas. Muchas veces pasa desapercibida clínicamente. La infección sintomática se manifiesta en general por un cuadro denominado fiebre de los 3 días.
Las infecciones por el VHH 6 y el VHH 7 se presentan fundamentalmente durante los primeros dos años de vida. Se observan reactivaciones del VHH 6 y del VHH 7 en relación con la pitiriasis rosada.
VHH 8
Se identifica el VHH 8 en todas las variantes del sarcoma de Kaposi, es decir, en la forma clásica, la forma africana endémica, la asociada a la inmunosupresión iatrogénica y la forma epidémica asociada al VIH. El sarcoma de Kaposi es una neoplasia vascular. Las lesiones orales del sarcoma de Kaposi se manifiestan principalmente en el paladar, las encías y la lengua. Aparecen inicialmente como manchas rojizas a violeta azuladas que se pueden transformar en placas, nódulos y tumores a medida que evoluciona la enfermedad (fig. 5). Las lesiones orales son asintomáticas en la mayoría de los casos, pero se pueden manifestar clínicamente por hemorragias, dolor y úlceras durante el curso evolutivo de la enfermedad3.
Figura 5. Sarcoma de Kaposi oral en el paladar de un paciente con infección por el VIH.
Virus del papiloma humano (VPH)
Los VPH constituyen un grupo de virus ADN bicatenarios sin cubierta. Actualmente hay descritos más de 100 tipos distintos. Los VPH infectan las células epiteliales de la piel y de las mucosas y pueden desencadenar un crecimiento de tipo tumoral descontrolado en las células infectadas. Algunos tipos de VPH de alto riesgo están relacionados claramente con carcinomas, especialmente con los carcinomas de cuello uterino (VPH 16 y 18 y también VPH 31 y 33). En las biopsias realizadas en la zona oronasofaríngea se detectan virus de alto riesgo en hasta el 20% de los casos. Se estima que aproximadamente el 10% de todos los tumores malignos registrados en todo el mundo podría estar relacionado con infecciones por el VPH. En la mucosa oral, el VPH da lugar a cuadros como el papiloma escamoso, verrugas vulgares, condilomas acuminados y la hiperplasia epitelial focal (enfermedad de Heck). Las verrugas vulgares son causadas por el VPH 1, 2 y 4 y se localizan en la mucosa oral, mucosa gingival y mucosa labial, en el paladar y en los labios. Las verrugas víricas tienen un crecimiento exofítico y muestran una superficie papilomatosa de color blanquecino (fig. 6). A diferencia de los papilomas escamosos, habitualmente pediculados, la base de implantación de las verrugas vulgares es más amplia.
Figura 6. Verrugas vulgares en el lado derecho del paladar.
El tratamiento consiste normalmente en la escisión quirúrgica (bisturí, láser de CO2). Las recidivas son especialmente frecuentes en pacientes inmunodeprimidos. El condiloma acuminado se transmite por vía digital u orogenital y se manifiesta inicialmente por un nodulillo blando de tipo verrugoso, que confluye con otros nodulillos para formar una estructura parecida a una coliflor. Se asienta con un pedículo en la encía, la lengua, el labio superior, el suelo de la boca o las comisuras labiales. Los condilomas acuminados se asocian a infecciones por el VPH 6 y 11, y se observan frecuentemente en pacientes VIH positivos. Tienden a recidivar después de su exéresis quirúrgica con el bisturí o el láser de CO2. Se debe hacer el diagnóstico diferencial con papilomas, verrugas vulgares o con el carcinoma verrugoso6.
Enfermedad de mano-boca-pie
La enfermedad de mano-boca-pie se debe a una infección por el virus Coxsackie-A16 o el enterovirus 71. Después de una fase prodrómica corta con síntomas constitucionales leves y febrícula se desarrollan vesículas de erosión rápida en la cavidad oral, localizadas sobre todo en la faringe y el paladar, pero también en la lengua, las encías y la mucosa oral. Las erosiones son muy dolorosas. En la mayoría de los casos, se desarrollan simultáneamente vesículas blanquecinas sobre un fondo rojizo en manos y pies, a nivel dorsal pero también palmoplantar. El tratamiento es sintomático11.
Herpangina
La herpangina Zahorsky también es provocada por virus Coxsackie. La enfermedad se manifiesta por fiebre alta de inicio repentino. En seguida se añaden una faringitis muy dolorosa y una disfagia. A diferencia de la gingivoestomatitis herpética debida al VHS 1, en la herpangina se desarrollan vesículas pequeñas, de un tamaño aproximado de 2-4 mm, parecidas a granos de tapioca, con un borde inflamatorio, que se erosionan rápidamente y provocan úlceras recubiertas de un material amarillento. Estas lesiones se localizan exclusivamente en el paladar blando, en la úvula, la faringe y las amígdalas. Curan espontáneamente al cabo de pocos días11.
VIH
La transmisión del VIH se produce fundamentalmente por vía sexual, a través del contacto con sangre y de madre a hijo durante el parto (transmisión vertical). El riesgo de contagio del personal sanitario por medio de una punción accidental es de un 0,3%.
La infección del VIH evoluciona en tres estadios clínicos. Entre 2 y 8 semanas después del contagio alrededor de un 70% de los afectados sufre una infección aguda por el VIH con un cuadro clínico parecido a una mononucleosis. Este cuadro se caracteriza por la presencia de adenopatías, fiebre, cansancio, dolor articular y muscular, diarrea, exantema cutáneo y, ocasionalmente, caída del pelo y úlceras orales. Debido a la similitud con un cuadro gripal, la infección aguda por el VIH pasa a menudo desapercibida. La seroconversión (aparición de anticuerpos IgG anti-VIH) se produce habitualmente entre 4 y 12 semanas después del contagio. En la fase de latencia posterior, que suele durar varios años en la mayoría de los casos, la enfermedad evoluciona de forma asintomática. Durante la fase de latencia posterior que puede durar varios años se produce una disminución de los linfocitos T CD4+ y aparecen las primeras enfermedades atribuibles a una afectación leve a moderada de la inmunidad, pero que no se consideran todavía definitorias del SIDA. A medida que progresa la disminución de los linfocitos CD4+ hasta cifras inferiores a 200 células/ml empiezan a aparecer infecciones oportunistas y distintos tipos de cáncer, a menudo en la cavidad oral como primera manifestación. Por este motivo, el odontólogo desempeña un papel clave. Las enfermedades definitorias de SIDA incluyen la encefalopatía por VIH, cánceres e infecciones oportonistas6.
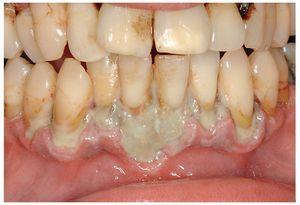
Una de las alteraciones características de la mucosa oral claramente asociada a una infección por el VIH es el eritema gingival lineal que se manifiesta por una línea roja marcada de 1-3 mm de ancho en la zona marginal (fig. 7). Otra alteración típicamente asociada al VIH es la gingivitis/periodontitis ulcerosa necrosante (GUN/PUN) que provoca úlceras sobre todo en el sector anterior generalmente con presencia de una pseudomembrana y que lleva a una pérdida de papilas acompañada de un aliento característico7 (fig. 8).
Figura 7. Eritema gingival lineal en la infección por el VIH.
Figura 8. GUN/PUN en la infección por el VIH.
En la mayoría de los casos, el SIDA se manifiesta por infecciones oportunistas que, en la mucosa oral, dan lugar a cuadros como candidiasis orofaríngeas, leucoplasia pilosa oral, herpes simple, herpes zóster, infecciones por virus del papiloma humano y, más rara vez, infecciones por micobacterias. Forman parte de los cánceres definitorios de SIDA los linfomas malignos (linfoma de Burkitt, linfoma inmunoblástico o linfoma cerebral primario) y el sarcoma de Kaposi. Los tratamientos con antimicóticos, antibióticos y virustáticos deben administrarse a menudo a largo plazo debido a la inmunidad alterada, lo que incrementa el riesgo de aparición de resistencias. Un estilo de vida saludable y el tratamiento antirretroviral de gran actividad (TARGA) exigen a los pacientes elevadas dosis de disciplina y una buena disposición al cumplimiento 6.Infecciones bacterianas
A pesar de que en la vida diaria estemos rodeados de bacterias y entremos en contacto con ellas a través del aire que inhalamos, de los alimentos o de las bebidas que ingerimos, no desarrollamos forzosamente enfermedades infecciosas. Los microorganismos se diseminan por el huésped a partir de la puerta de entrada, lo colonizan y se multiplican, sobre todo en personas con inmunidad disminuida. A continuación, se describen tres infecciones específicas de origen bacteriano.
Actinomicosis
La actinomicosis es una enfermedad infecciosa rara, no contagiosa y de evolución crónica, provocada por bacterias grampositivas microaerófilas o anaerobias (actinomicetos). Estas bacterias penetran a través de una lesión de la mucosa, como la debida a una intervención odontológica (exodoncia/extracción quirúrgica de un diente), primero en el tejido subcutáneo y de allí se propagan al hueso. Después de un período de varias semanas aparece una tumefacción lívida en la piel, que ofrece un tacto muy duro a la palpación (fig. 9). De evolucionar a la cronicidad, pueden aparecer fístulas que dan salida a una secreción amarilla.
Figura 9. Aspecto extraoral de una actinomicosis con una tumefacción grosera y lívida en la mejilla derecha.
El tratamiento ha de ser lo más precoz posible y consiste en una combinación de escisión quirúrgica del tejido afectado con lavado diario posterior con H2O2 (3%) y drenaje con una gasa de yodoformo así como la administración a largo plazo de ampicilina o penicilina a dosis altas por vía intravenosa. El diagnóstico clínico es complicado. Los 'granos de azufre' (conglomerados de colonias de actinomices) se ven a simple vista en el pus y bajo el microscopio óptico se observa su estructura estelar radiada típica. El examen histológico de las zonas extirpadas o un examen microbiológico no siempre proporcionan un diagnóstico de certeza, por lo que se recomienda utilizar ambos métodos diagnósticos. Una actinomicosis cervicofacial no tratada puede propagarse hacia el interior del organismo y afectar a huesos, llevando en ocasiones a un desenlace fatal si atraviesa el hueso occipital o provoca una sepsis8.
Tuberculosis
Aunque la tuberculosis de la mucosa oral es una entidad rara, el número de casos está aumentando progresivamente con los movimientos migratorios recientes desde África. El patógeno causal es una micobacteria aerobia, el Mycobacterium tuberculosis. La tuberculosis oral se produce habitualmente como manifestación secundaria a través del esputo infectado de una tuberculosis pulmonar. Las localizaciones más frecuentes son el dorso de la lengua y el paladar, seguido de los labios. La lesión característica es una úlcera dolorosa, indurada, irregular, socavada, crónica, de evolución tórpida y recubierta de fibrina. La afectación ósea del maxilar y de la mandíbula provoca una osteomielitis tuberculosa5. Para confirmar el diagnóstico nada mejor que la identificación directa bajo el microscopio de las micobacterias con la tinción de Ziehl-Neelsen o mediante técnica de PCR de muestras de tejido obtenidas por biopsia. La tuberculosis es una enfermedad de declaración obligatoria6.
Sífilis
La sífilis (lúes), causada por una espiroqueta denominada Treponema pallidum, provoca numerosos síntomas orales. La infección se transmite por vía sexual o a través de la placenta. Después de un período de incubación medio de 3 semanas (3 días a 3 meses) aparecen los signos de la primoinfección (chancro duro) en la puerta de entrada de la infección. La mucosa oral resulta afectada en hasta un 5-10% de los casos, siendo la localización más frecuente el prolabio inferior, seguido de la lengua y de las encías (fig. 10a). En primer lugar aparece una pápula grosera que evoluciona a una úlcera indolora con un borde y un fondo igualmente groseros acompañada de una tumefacción indolora, generalmente unilateral, de los ganglios linfáticos regionales.
Figura 10a. Sífilis: primoinfección en la punta de la lengua.
La sífilis secundaria aparece al cabo de un período que puede variar entre 6-8 semanas y 2 años después de la primoinfección. En la mucosa se observan inicialmente manchas eritematosas, que posteriormente aparecen elevadas y erosionadas superficialmente (placas mucosas).
Estas lesiones son recubiertas rápidamente por una capa a modo de velo de un material fibrinoso gris blanquecino (placas opalinas). Estas lesiones altamente contagiosas se localizan en la lengua, el vestíbulo, las encías, la mucosa yugal y en la mucosa del labio inferior (fig. 10b). En el estadio secundario de la sífilis se puede observar además la angina sifilítica o específica. La faringe muestra un eritema inflamatorio difuso y las amígdalas aparecen tumefactas, eritematosas, groseras y recubiertas de un material gris blanquecino.
Figura 10b. Sífilis: placas mucosas en la base de la lengua.
Los gomas (granulomas inflamatorios), patognomónicos de la sífilis terciaria, pueden provocar alteraciones destructivas en la lengua, el paladar y las amígdalas. Los gomas aislados o múltiples se manifiestan como infiltraciones elevadas, duras, gomosas, que se ulceran fácilmente y provocan necrosis óseas o de tejidos blandos. La destrucción del tejido blando y de los huesos se asocia a perforaciones múltiples que remedan a un tumor maligno. La macroqueilia sifilítica con una tumefacción intensa del labio superior es un signo de una inflamación sifilítica esclerosante. La inflamación granulomatosa intersticial difusa de la lengua da lugar a la glositis intersticial asociada a atrofia papilar y a atrofia y esclerosis de la lengua.
Se puede demostrar mediante microscopia de campo oscuro la presencia de Treponema pallidum en el trasudado de lesiones de primoinfección y en lesiones propias del secundarismo sifilítico. A partir de 14 días después de la infección, se detectan anticuerpos IgM antitreponema en suero y, al cabo de 3 a 4 semanas, es decir, simultáneamente o inmediatamente antes de la aparición de la primoinfección, se detectan anticuerpos IgG. Una vez superada la primoinfección, las pruebas serológicas representan la herramienta diagnóstica más importante1. El tratamiento de elección es la penicilina2.
Correspondencia: Irène Hitz Lindenmüller.
Hebelstrasse 3, CH-4056 Basilea, Suiza
Correo electrónico: irene.hitz@unibas.ch














