Problema: fractura de corona telescópica
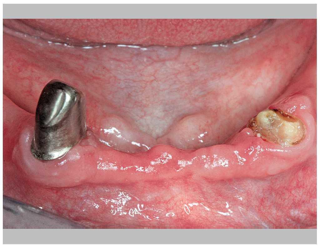
Un paciente de 83 años de edad acudió a la consulta con el siguiente problema: el diente 33, que había recibido una corona telescópica y que, junto con el diente 43, retenía una prótesis telescópica de 15 años de antigüedad, se había fracturado al nivel de la encía (figs. 1 a 4). El paciente no podía masticar correctamente y tenía miedo de que se fracturara también el segundo diente pilar y de que su prótesis inferior se quedara sin retención.
Figura 1. Prótesis telescópica inferior.
Figura 2. Diente pilar 33 fracturado.
Figura 3. La fractura del diente 33 se ha producido al nivel de la encía.
Figura 4. Prótesis telescópica (base).
Ante dicha situación se debían tener presentes los siguientes aspectos:
La avanzada edad del paciente.
Si el diente 33 no se puede rehabilitar para ejercer de pilar de la corona telescópica, es muy probable que se produzca también la fractura del diente pilar 43 debido a la falta de estabilidad del soporte. Dicha imposibilidad generaría fuerzas laterales que incidirían sobre el diente 43 y ocasionaría la rotura y la pérdida del segundo diente pilar (fig. 5).
Figura 5. Distribución de los pilares (coronas telescópicas sobre el 43 y el 33).
La línea de fractura del diente se encontraba muy baja, circunstancia que, según las reglas de la odontología basada en la evidencia, no permitía una reconstrucción sobre un perno radicular (figs. 6a y 6b).
Figura 6a. Control radiográfico tras la fractura (radiografía de medición).
Figura 6b. Radiografía del diente endodonciado.
La extrusión ortodóncica se descartó de entrada, puesto que el diente se encontraba anquilosado (valor Periotest: -4) y además la posibilidad de anclar un elemento extrusor era prácticamente nula.
La edad del paciente y su precario estado de salud hacían así mismo inviable la alternativa de extraer el diente para colocar posteriormente un implante a fin de restablecer la estabilidad de la prótesis.
¿Qué haría usted si su padre o su abuelo se encontraran en esa situación?
La solución probada: tratamiento con una reconstrucción directa de urgencia
Aquí no se trataba de andar a vueltas con la odontología basada en la evidencia, sino de ayudar al paciente. El objetivo consistía en hacer todo lo posible para restablecer al menos a medio plazo la función masticatoria del paciente con la prótesis telescópica existente. El diente 33 recibió un tratamiento endodóntico según las reglas del arte. Se esperó unos días hasta que fue posible evaluar el éxito del tratamiento. A continuación se debía realizar una reconstrucción directa del muñón radicular y una nueva cementación de la corona telescópica primaria (figs. 6a y 6b). Para lograrlo existían las siguientes posibilidades:
Un perno-muñón modelado en la consulta y fabricado en el laboratorio habría supuesto una alternativa excesivamente costosa en relación con la probabilidad de éxito a largo plazo. No se podía contar con un efecto férula, dado que no existía la estructura dental sana necesaria (fig. 7).
Figura 7. Alternativa: perno-muñón colado.
Una alternativa posible habría sido la reconstrucción adhesiva directa con un perno de fibra de vidrio o de zirconio, pero la falta de estructura dentaria sana vertical hacía prever una retención insuficiente (figs. 8 y 9).
Figura 8. Alternativa: reconstrucción adhesiva con perno de fibra de vidrio.
Figura 9. Alternativa: reconstrucción adhesiva con perno de zirconio.
La colocación de un perno roscado en el conducto radicular con tensión, utilizando la técnica convencional, provoca con mucha frecuencia una fractura longitudinal de la raíz al cabo de un tiempo (fig. 10).
Figura 10. Alternativa: reconstrucción adhesiva con perno roscado metálico.
Según mi experiencia, la reconstrucción con un perno roscado prefabricado cementado con medios adhesivos sin tensión es la mejor alternativa para lograr el éxito del tratamiento a más largo plazo.
En el caso que nos ocupa, era necesario ayudar al paciente y restablecer la función masticatoria de su prótesis telescópica. A continuación se describe paso a paso el procedimiento seguido.
Se llevó a cabo la remoción de la caries y se practicó una endodoncia según las reglas del arte (figs. 11 a 13).
Figura 11. Muñón coronario 33 fracturado.
Figura 12. Remoción de la caries.
Figura 13. Situación una vez finalizada la endodoncia.
Se eliminó la parte superior de la gutapercha utilizada para la obturación del conducto después de reblandecerla con una sonda roma caliente. Acto seguido se procedió a ensanchar con cuidado el conducto radicular para el alojamiento del perno roscado utilizando fresas mecánicas normalizadas (figs. 14 y 15).
Figura 14a. Calentamiento con llama de una sonda roma.
Figura 14b. Se funde la gutapercha en el tercio superior.
Figura 15. Ensanchamiento del conducto con fresa normalizada.
Se utilizó el sistema de pernos roscados Vlock (código de tamaño azul) (figs. 16a y 16b).
Figuras 16a y 16b. Componentes del sistema Vlock separados (a) y unidos (b).
Con ayuda de un destornillador adecuado se introdujo el perno en el interior del conducto y se desenroscó varias veces hasta que fue posible enroscarlo en el conducto sin tensión.
Se acondicionó la parte roscada del perno mediante chorreado, grabado y aplicación de un «metal primer». Acto seguido, se secó minuciosamente.
El conducto radicular se lavó, se grabó con gel de ácido fosfórico durante 30 s y se secó con aire (fig. 17).
Figura 17. Grabado de la dentina con gel de ácido fosfórico.
Se aplicó un adhesivo en el interior del conducto con un pincel y técnica húmeda. Después de absorber el exceso de material con puntas de papel se llevó a cabo la fotopolimerización con una lámpara LED de alta potencia durante 10 s (fig. 18).
Figura 18. Aplicación del adhesivo dentinario con un pincel.
El cemento de composite de polimerización dual mezclado mecánicamente se introdujo en el conducto utilizando un léntulo. Acto seguido se atornilló el perno sin tensión y se retiró el exceso de material con un pincel. Se realizó una segunda fotopolimerización, si bien en esta ocasión se esperó 5 min a que el cemento de composite completara la autopolimerización (figs. 19a y 19b).
Figura 19a. Una vez aplicado el cemento de composite se introduce el perno roscado. Figura 19b. Perno atornillado sin tensión.
Mientras tanto se retiró el fragmento de dentina de la corona telescópica primaria y se realizó el chorreado y la limpieza de la corona, se le aplicó un «metal primer» y, por último, se secó (fig. 20).
Figura 20. Corona primaria limpia.
Para la recolocación, la corona primaria se introdujo en la corona secundaria, que había sido aislada previamente con vaselina. Se procedió con mucho cuidado para evitar la introducción de aislante en la corona telescópica primaria (figs. 21a a 21c).
Figura 21a. Introducción de la corona telescópica primaria en la corona secundaria de la prótesis.
Figura 21b. Corona primaria encajada firmemente.
Figura 21c. Aplicación del «metal primer» en la corona primaria con un pincel.
Se mezcló de nuevo una cápsula de cemento de composite en el mezclador, se aplicó el cemento en la corona con un pincel, se revistieron minuciosamente las ranuras del perno y se aplicó una gran cantidad de material (fig. 22).
Figura 22. Inyección del cemento de composite.
Se colocó la prótesis telescópica con la corona primaria y se comprobó que el asiento fuera exacto.
Los excesos se retiraron con un pincel (fig. 23).
Figura 23. Colocación de la prótesis; los excesos se eliminan con un pincel.
El paciente llevó las arcadas a oclusión y las mantuvo en dicha posición presionándolas durante 5 min, el tiempo necesario para completar la polimerización.
A continuación la prótesis se extrajo tirando fuertemente de ella. Se retiró el exceso de cemento de las coronas primaria y secundaria (fig. 24).
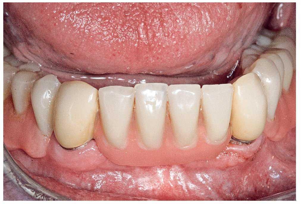
Figura 24. Prótesis telescópica primaria colocada.
Para finalizar el tratamiento se controló la recuperación de la función de la prótesis telescópica inferior, en especial de la base de la prótesis. Siempre que sea necesario se deberá realizar un rebasado oportuno (figs. 25 y 26).
Figura 25. Comprobación del ajuste.
Figura 26. Paciente aliviado.
Conclusión
Se utilizaron métodos de anclaje tanto mecánicos-retentivos como adhesivos en la reconstrucción de un muñón coronario que presentaba un alto grado de destrucción con el fin de garantizar a medio plazo la reparación de la prótesis existente.
Lista de materiales
1. Endodoncia: punta de gutapercha con sellador Apexit (Ivoclar Vivadent, Ellwangen; www.ivoclarvivadent.de) tras la instrumentación con el sistema FlexMaster (VDW, Múnich; www.vdw-dental.com).
2. Pernos roscados para reconstrucción directa: sistema Vlock (Komet, Brasseler, Lemgo; www.brasseler.de).
3. Cemento de composite: Rely X Unicem (3M Espe, Seefeld; www.3mespe.com/de).
4. Adhesivo dentinario: Adhese (Ivoclar Vivadent).
5. Lámpara LED de polimerización: Blue Phase 16i (Fa. Ivoclar Vivadent).
6. Metal primer: Metal Zirconia Primer (Ivoclar Vivadent).
Llamamiento
El autor confía en suscitar un animado debate, así como en recibir noticias sobre fracasos, propuestas de mejora y nuevos consejos y trucos procedentes de la práctica para la consulta. El contacto puede establecerse por fax (0049 75 22/91 22 78) o por correo electrónico
(w.buecking@t-online.de).
Correspondencia:
Wolfram Bücking.
Dr. med. dent.
Buchweg 14, 88239 Wangen/Allgäu, Alemania.































