Introducción
En los últimos años la fotografía dental ha ido ganando terreno hasta convertirse en parte integrante del ejercicio profesional de la odontología, y no solo en el ámbito universitario. Se utiliza en la producción de material gráfico para publicaciones de todo tipo, para la documentación gráfica, para ilustrar la información ofrecida al paciente y a colegas de profesión o para controlar la calidad del propio trabajo. La introducción de cámaras réflex digitales de alta calidad ha facilitado enormemente todo el proceso de revelado y edición de fotografías y lo ha hecho más asequible. Si se analiza esta tecnología todavía joven con más detenimiento, se abren nuevas e insospechadas posibilidades de diagnóstico y, por consiguiente, de indicación terapéutica en la zona estética4.
Dentro de la profesión dental la estética de la mitad inferior de la cara desempeña un papel esencial. El tejido dental duro y la morfología de los tejidos duros y blandos adyacentes son la clave que determina la belleza de la sonrisa. Por otro lado, es evidente que los gustos difieren y que cada persona percibe la estética de forma algo distinta. Por esa razón, la cuestión de si la estética se rige por cánones comúnmente aceptados, es decir, si existen formas proporcionadas que agradan a todos los observadores (o, al menos, a la mayoría), es un tema recurrente. Los sabios de la edad antigua ya trataron de asignar un orden matemático a la naturaleza y a las formas armoniosas de las creaciones humanas. En el ámbito de la arquitectura los esquemas de proporciones propuestos por Vitruvio y Le Corbusier se basaban en una relación específica entre dos medidas que se percibe como especialmente armoniosa5. Se trata de la proporción áurea, que se remonta a la época de la Grecia clásica y que fue descrita por el escultor griego Fidias8 (460-430 a. C.). La proporción áurea es una razón entre dos números, uno mayor que otro, que guardan una relación específica entre sí. Dicha relación existe cuando en la división de una recta, por ejemplo, el valor que se obtiene al dividir el segmento menor entre el segmento mayor es ≈ 0,618 y el segmento mayor es ≈ 1,618 veces el segmento menor7. Leonardo da Vinci (1452-1519) trasladó esta razón al cuerpo humano en su estudio de las proporciones realizado a partir de los textos de Vitruvio. En dicho estudio determinó numerosas proporciones de la anatomía humana divididas de acuerdo con la proporción áurea5.
Algunas publicaciones recientes han abordado este tema en relación con las técnicas para conferir a los dientes anteriores unas proporciones armoniosas. En este sector de gran relevancia estética una de las proporciones más importantes es la relación de anchuras entre el incisivo central y lateral en la vista anterior. Durante mucho tiempo se consideró que dicha relación era óptima cuando se correspondía con la proporción áurea11,14. No obstante, se ha demostrado que dicha referencia estética trasladada al cien por cien no siempre es la óptima2,7 y que la relación percibida como armoniosa se mueve dentro de un margen de tolerancia16. Rosenstiel et al13 cifran dicha relación en 0,62 a 0,80 y Wolfart et al19 hablan de valores entre 0,56 y 0,68.
La certeza de este hecho y la posibilidad de retocar las proporciones gracias a la fotografía dental digital y a programas de edición de imágenes permiten llevar a cabo lo que se ha dado en llamar edición gráfica («imaging») digital. Las proporciones diseñadas se pueden valorar tanto matemática como subjetivamente en la pantalla del ordenador antes de enviar los modelos al laboratorio dental. Sin embargo, hay que tener en cuenta que, a diferencia de un encerado, que es tridimensional, la edición gráfica digital es un método que trabaja solo con dos dimensiones. La edición digital no debe ser un sustituto del encerado, dado que este está plenamente justificado cuando se desea realizar una simulación o un provisional. Sin embargo, el método presentado en este artículo permite en determinados casos establecer una indicación individualizada y basada en la evidencia9,13,17-19 sobre la envergadura de las medidas terapéuticas que tomar.
El objetivo de este artículo es presentar, a partir de dos casos clínicos, un método para analizar en el ordenador las proporciones de los dientes anteriores y armonizarlas con ayuda de la fotografía dental y de un programa de edición digital.
Pacientes, material y método
Los casos presentados se refieren a dos pacientes de sexo femenino. En ambos el primer paso consistió en documentar gráficamente la situación inicial con fotografías del sector anterior (con un ángulo de 90º respecto de las superficies labiales) a una escala de 1:1 (distancia focal fija) con una cámara réflex digital (Canon 30D), un objetivo macro (Canon 2,8 USM, 100 mm) y un flash anular (Canon MR-14EX). Para la toma de las fotografías posteriores se utilizó exactamente la misma técnica con el fin de poder utilizar distancias y ángulos focales reproducibles. La realización de fotografías siguiendo un método estandarizado ya ha sido descrito y aplicado con buenos resultados12. A continuación se midieron las proporciones de la anchura de los incisivos anterosuperiores centrales y laterales en un «análisis estético preprotésico digital». Como punto de referencia se tomó en cada caso la mayor extensión de los dientes en la vista anterior (bidimensional). El análisis y la medición se realizaron con ayuda de un programa de edición digital profesional (Adobe Photoshop CS3, Adobe Systems, San José, EE. UU.), pero también se pueden realizar con otros programas de edición más económicos. A la anchura del diente 11 se le asignó siempre el valor 1, lo que permitió llegar a conclusiones sobre la simetría de los valores. Seguidamente se crearon las proporciones ideales de la anchura de los dientes anteriores utilizando el mismo programa de edición digital. El espacio disponible entre los caninos se distribuyó utilizando la proporción áurea y, para comprobar de forma subjetiva estos valores se «montaron» fotografías de dientes artificiales aislados (dientes protésicos prefabricados). Además de la anchura dentaria se modificaron otros parámetros, como las papilas o la trayectoria de la encía marginal, de la forma deseada dentro de los límites biológicos con objeto de lograr un resultado armonioso. El diseño de la anchura dentaria se rigió por los valores establecidos. Se elaboró un plan de tratamiento a medio camino entre la situación inicial, las expectativas de las pacientes y el trabajo de edición digital resultante. Después del tratamiento de las pacientes según el plan previsto se llevó a cabo un nuevo «análisis estético digital posprotésico» y una comparación de los valores con los valores iniciales.
Procedimiento clínico
Paciente 1
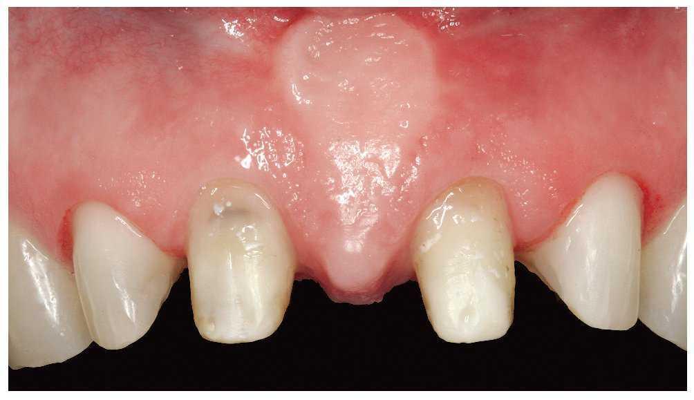
La paciente, de 50 años de edad, se presentó en la Clínica de Prostodoncia del Hospital Universitario de Aachen con el deseo de recibir un tratamiento que mejorara la estética del sector anterosuperior. En ese momento presentaba una estética deficiente en dicha zona debido a un diastema de 2 mm en la línea media y una anchura excesiva de las coronas de los dientes 11 y 21, realizadas en otro centro para cerrar los espacios (fig. 1a). En la inspección clínica se pudo constatar que la causa del diastema era un frenillo tectolabial persistente cuyas fibras conjuntivas se extendían hasta la papila interincisiva. Los dientes 11 y 21 presentaban una movilidad prácticamente de grado II. Después de llevar a cabo una frenectomía con un injerto gingival libre para prevenir una recidiva, la movilidad de los dientes descendió hasta un grado I a las seis semanas de la operación. El tejido blando periodontal dejó de moverse al levantar el labio.
Figura 1a. Imagen extraoral de la situación inicial. Se observa un diastema recidivante causado por un frenillo con una inserción muy alta con fibras conjuntivas que se extienden hacia palatino. El diastema de la línea media ya se había cerrado hacía 10 años recubriendo los incisivos con coronas.
Después de llevar a cabo un análisis de proporciones de la anchura de los dientes anterosuperiores (fig. 1b), se registró que la relación entre los incisivos centrales y laterales era asimétrica y que amenazaba con salirse de los límites de la «proporción áurea». Esta amenaza se habría intensificado de haber ensanchado más los dientes 11 y 21, puesto que habrían adquirido una apariencia demasiado prominente. Para crear unas proporciones armoniosas de los dientes anteriores era necesario incluir los incisivos laterales en el tratamiento restaurador y darles una anchura mayor.
Figura 1b. Análisis estético preprotésico digital con líneas de referencia para determinar la relación de anchuras. El diastema existente tiene una anchura de 2,5 mm.
Con el fin de verificar dicha idea se realizó una simulación digital incluyendo los cuatro incisivos (fig. 1c). Con ella se obtuvieron unas proporciones armoniosas tanto subjetiva como matemáticamente. En el laboratorio se confeccionó un encerado convencional para que durante la fase provisional la paciente aprobara las proporciones de la futura restauración definitiva. Dado que los incisivos laterales solo presentaban obturaciones mínimas, se tomó la decisión de realizar una restauración con carillas de cerámica vítrea. Los incisivos centrales recibieron coronas de cerámica sin metal sobre cofias de óxido de zirconio convexas en su porción interdental (half pontic design) con el fin de cerrar el amplio espacio interproximal (figs. 1d y 1e). La forma convexa y sobresaliente de las porciones interproximales ayuda a conformar las papilas interdentales1 (fig. 1f).
Figura 1c. Edición gráfica digital con ayuda de fotografías de dientes prefabricados.
Figura 1d. Vista anterior de la preparación. La diferencia de color denota que la preparación de las coronas 11 y 21 abarca el tejido dentinario, mientras que la preparación de las coronas 12 y 22, que van a recibir carillas, queda limitada al esmalte.
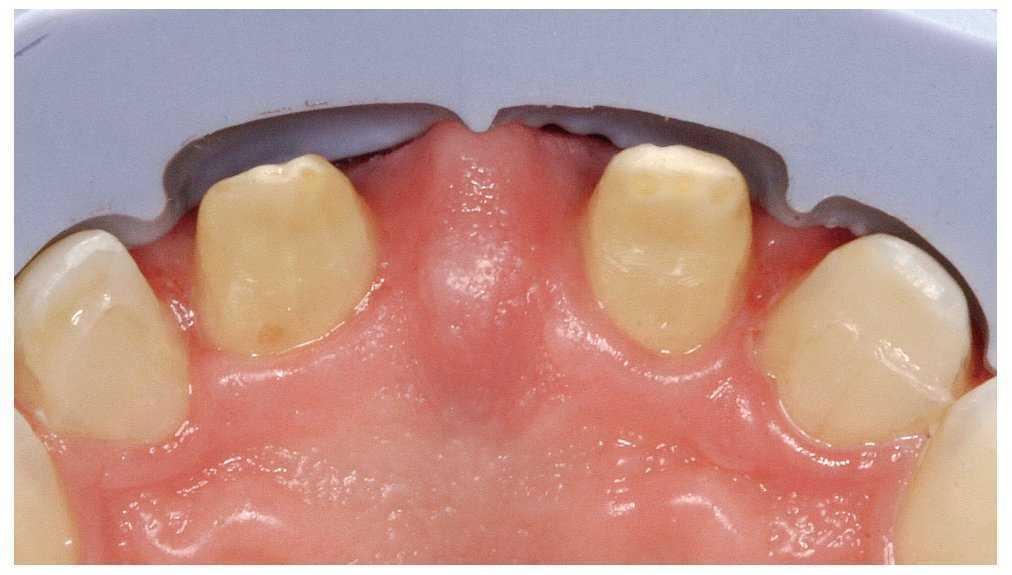
Figura 1e. Comprobación de la preparación con ayuda de una llave de silicona confeccionada a partir de un encerado (vista oclusal).
Figura 1f. Vista basal de las restauraciones. Se aprecia claramente el diseño convexo (half pontic) de las porciones mesiales de las coronas de cerámica de óxido de zirconio 11 y 21 para conformar la papila mesial.
Las coronas de cerámica de óxido de zirconio 11 y 21 se cementaron con técnica adhesiva utilizando un cemento transparente de polimerización dual (Panavia F 2.0TC, Kuraray Europe, Fráncfort del Meno). Después de limpiar y desengrasar las superficies de las cofias de óxido de zirconio, estas fueron acondicionadas con un primer (Metal/Zirconia Primer, Ivoclar Vivadent, Ellwangen). A continuación se hizo lo propio con los muñones dentarios utilizando el ED primer (Kuraray Europe) correspondiente. Después de la fijación exclusivamente adhesiva de las carillas de cerámica vítrea con Tetric Flow (Ivoclar Vivadent), las superficies adhesivas se limpiaron, se desengrasaron con acetona, se grabaron con ácido fluorhídrico al 4,5% (IPS Ceramic Etching Gel, Ivoclar Vivadent) y se acondicionaron con Monobond-S (Ivoclar Vivadent). Se realizó el grabado ácido de las caras adhesivas de los dientes 12 y 22 con ácido fosfórico al 37% (Total Etch, Ivoclar Vivadent) durante 1 min y se acondicionaron únicamente con un adhesivo (Syntac Classic, Ivoclar Vivadent), dado que la preparación se había limitado al esmalte. Se aplicó una capa fina de Tetric Flow a las superficies adhesivas de las carillas y estas se colocaron en los dientes. Después de retirar con cuidado el exceso de material con bolitas de es puma se inició la fotopolimerización con una lámpara de luz ultravioleta.
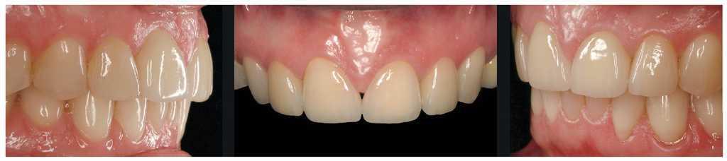
Una vez colocadas las restauraciones se reconstruyeron mediante técnica directa las cúspides de los caninos con un composite (Tetric Ceram, Ivoclar Vivadent) y un método mínimamente invasivo. Por último, se llevó a cabo otro análisis de proporciones (fig. 1g). Las fotografías realizadas al término del tratamiento ofrecen una imagen armoniosa tanto intraoral como extraoral. Un indicador de que solo se puede trabajar dentro de los límites biológicos lo constituye la ausencia (aunque poco llamativa) de la papila interdental entre los dientes 11 y 21. Las últimas fotografías se tomaron una semana después del cementado, momento en el que se observó una leve retracción de la papila 11/21 (figs. 1h y 1i).
Figura 1g. Análisis estético digital posprotésico.
Figura 1h. Imágenes intraorales del resultado del tratamiento.
Figura 1i. Resultado extraoral del tratamiento.
Paciente 2
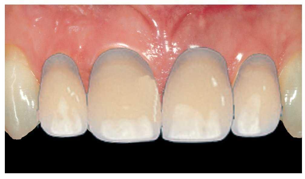
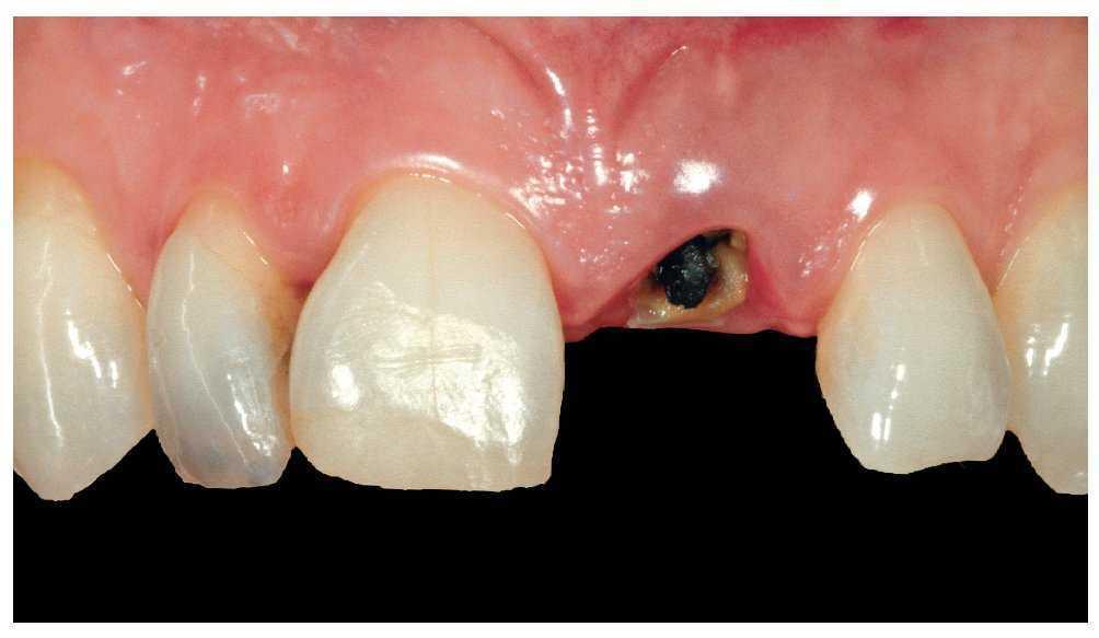
Una paciente de 34 años de edad acudió al centro con la siguiente situación (fig. 2a): el diente 21 se había reconstruido con una corona de metal cerámica sobre un perno-muñón. En el momento de la consulta la corona clínica y el perno-muñón presentaban una fractura subgingival. El diente 21 era irrecuperable. Después de realizar el «análisis estético digital preprotésico» se constató que no existía una relación proporcionada entre los dientes anterosuperiores y que el diente 12 era demasiado estrecho (fig. 2b). Después de finalizar la edición digital se decidió restaurar los dientes 12, 11 y 22, y colocar un implante en la región del diente 21 (fig. 2c). El diente 21 fue reemplazado con un implante, y los dientes 12 y 11 fueron reconstruidos con técnica directa mediante pernos de fibra de vidrio y composite.
Figura 2a. Vista anterior de la situación inicial.
Figura 2b. Análisis estético preprotésico digital con líneas de referencia para determinar la relación de anchuras.
Figura 2c. Edición gráfica digital con recortes de dientes prefabricados.
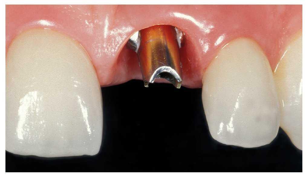
Para crear unas proporciones óptimas se decidió colocar un implante inmediato de diseño «festoneado» (Nobel Perfect, Nobel Biocare Deutschland, Colonia) (fig. 2d). Al mismo tiempo se cerró el espacio alveolar sobrante con virutas de hueso autólogo. Dado que este sistema no admite restauraciones de cerámica sin metal, no se pudo dotar al implante de una subestructura de óxido de zirconio. Por esa razón se utilizaron coronas de metal cerámica. El diente 22 solo presentaba obturaciones en las caras proximal y palatina, de modo que se podría haber restaurado con una carilla. Sin embargo, puesto que los dientes anteriores restantes iban a recibir coronas de metal cerámica, bajo determinadas condiciones lumínicas se habrían producido diferencias de color (como en la vista de perfil con luz solar directa).
Figura 2d. Implante Nobel Perfect con pilar protésico.
Una vez terminadas las coronas, se cementaron con Ketac Cem Plus (3M Espe, Seefeld). También en este caso se llevó a cabo un análisis de las proporciones al término del tratamiento (fig. 2e). Tal y como muestra el resultado extraoral, fue posible realizar una restauración de proporciones armoniosas con la que la paciente se mostró muy satisfecha (fig. 2f).
Figura 2e. Análisis estético digital posprotésico.
Figura 2f. Resultado final extraoral.
Resultados
Tal y como se deriva de la comparación de los valores relacionados en las tablas 1 y 2, después del tratamiento las anchuras son mucho más proporcionadas y simétricas y se encuentran dentro de los márgenes de la proporción áurea, o dentro del «margen áureo». La relación de anchuras, la simetría y la armonía (subjetiva) de los dientes anterosuperiores han mejorado notablemente.
Discusión
La proporción áurea desempeña un papel importante en la naturaleza, pero también la técnica y la arquitectura la utilizan para crear proporciones que ofrecen una imagen armoniosa. No obstante, los resultados de los estudios fundamentales llevados a cabo en odontología sobre este tema indican que se debe hablar más de un margen de proporciones que de una proporción exacta. Ha quedado claramente demostrado que también son muy importantes el eje dentario y, sobre todo, la simetría6,17. Afirmar que una sonrisa armoniosa se reduce a que la anchura de los incisivos sea proporcionada es tener un concepto muy limitado de lo que supone restaurar los dientes anteriores con proporciones estéticas. Kokich et al9,10 realizaron varios estudios sobre la estética del sector anterior en los que pidieron a odontólogos, ortodoncistas y personas ajenas a la profesión dental que indicaran a partir de qué momento advertían diferencias en imágenes de sectores anterosuperiores con parámetros cambiados. De acuerdo con los resultados, los tres grupos de evaluadores percibieron diferencias en la relación de anchuras solo cuando existían discrepancias notables. Los autores indican asimismo que las asimetrías se percibían con mayor rapidez como elemento perturbador de la estética. En un estudio similar, Ward16 llegó a la conclusión de que una relación proporcional regida exclusivamente por la proporción áurea solo ofrece un aspecto armonioso cuando los dientes anteriores son muy largos.
Las fotografías mostradas confirman que una relación proporcional ofrece una imagen armoniosa cuando se mueve dentro del «margen áureo» definido por Rosenstiel et al13 y Wolfart et al19. No obstante, no hay que trasladar forzosamente sin más el resultado planificado en el ordenador y diseñado matemáticamente a los pacientes que requieren una restauración, dado que es necesario tener en cuenta otros factores importantes, como los tejidos blandos15. En caso de que la situación de los tejidos blandos sea desfavorable, es posible que sea necesario realizar una intervención periodontal quirúrgica o remodelar la encía con un provisional.
La fotografía dental digital combinada con programas de edición gráfica profesionales como herramienta de diagnóstico e instrumento útil para la toma de decisiones sobre la planificación posterior del tratamiento se puede integrar en la práctica diaria con relativa facilidad. Este método permite discutir con el paciente las distintas fases del tratamiento y evaluar los resultados que se desean lograr. Además, el odontólogo obtiene una herramienta de decisión a la hora de optar por medidas conservadoras, protésicas o quirúrgicas, o por una combinación de todas ellas, para solucionar un caso determinado con un tratamiento que colme las expectativas del paciente. La inversión económica que supone este método es relativamente baja, dado que la mayoría de las consultas y clínicas modernas ya disponen de parte de los equipos necesarios. No obstante, la inversión en tiempo no se debe subestimar, aunque va disminuyendo a medida que se adquiere experiencia. Los casos clínicos presentados muestran que un tratamiento protésico restaurador planificado con este procedimiento se puede llevar a cabo con un alto grado de predecibilidad.
Perspectiva
El éxito de la rehabilitación estética en casos clínicos complejos pasa por una planificación exhaustiva y por un conocimiento profundo de las proporciones que se perciben como estéticas. Teniendo esto en cuenta, el procedimiento aquí descrito puede complementar razonablemente la planificación del odontólogo. Asimismo, mejora la comunicación entre este y el paciente, dado que en las primeras entrevistas ya se le puede mostrar el resultado final que él puede llegar a imaginar3. Además, el paciente puede imprimir y llevarse la imagen digital para mostrarla a las personas de su entorno, que a menudo ejercen una fuerte influencia sobre la satisfacción del paciente. Sin embargo, una relación proporcional situada dentro de los márgenes descritos de la proporción áurea solo se puede tomar como valor de referencia para la relación de anchuras de los incisivos superiores. En una planificación exhaustiva se deben tomar en consideración otros factores, como la longitud y los ejes dentarios, la situación gingival y, sobre todo, la simetría, con el fin de crear unas proporciones armoniosas. La fotografía dental, con ayuda de la edición digital, amplía las posibilidades de diagnóstico y de autocontrol dentro del proceso de gestión de la calidad del odontólogo.
Agradecimientos
Los autores desean agradecer el excelente trabajo realizado y la ayuda prestada a los maestros en prótesis dental Volker Weber, de Labor Impladent, Aachen, Alemania, y Wolfgang Sieben, de Sieben Dental, en Eschweiler, Alemania.
Correspondencia: B. Wessing.
Boxgraben 99, 52064 Aachen, Alemania.
Correo electrónico: bastian.wessing@googlemail.com
M. Yildirim.
Pauwelsstrabe 30, 52074 Aachen, Alemania.


















