Desde mediados del siglo xix han aparecido artículos en la literatura médica científica de pacientes con alteraciones comportamentales causadas por lesiones traumáticas en la región prefrontal o tumores localizados en esta área del cerebro. El primero y más famoso caso de cambios en el comportamiento social después de un daño frontal fue Phineas Gage descrito en 1868.
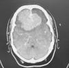
Caso clínicoAnalizamos las alteraciones de conducta causadas por un meningioma orbitofrontal en una mujer de 36 años. Las características clínicas y psicológicas del cuadro son reflejadas.
ConclusionesLa corteza cerebral frontal está considerada como el órgano de la civilización; es la parte más característicamente humana e importante del cerebro, jugando un gran papel en el comportamiento. En este caso comprobamos la constante asociación entre alteraciones comportamentales y lesiones prefrontales.
Since the middle of the 19th century, several reports have appeared in the scientific literature of patients with behavioral disorders caused by traumatic injuries to the prefrontal region or frontal lobe tumours. The first and most famous case of antisocial behavior after frontal lobe injury was a man named Phineas Gage, described at 1868.
Case reportWe analyzed the behavioral disturbances caused by an orbitofrontal meningioma in a 36-years-old female. The clinical and psychological features are appointed.
ConclusionThe frontal cortex can be considered as the essence of what makes us human, the civilization organ; that is, the most characteristically human and important brain area, playing a significant behavioral role. In this case report we proved a closely relation between behavioral disorders and prefrontal lesions.




