Pica, a disorder characterized by the ingestion of non-food substances, is typically associated with psychiatric conditions but can also indicate underlying neurological disorders.
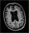
This report, details the case of a 61-year-old woman with a history of histrionic personality disorder and generalized anxiety disorder who developed severe pica, ingesting objects such as screws and jewelry. Initial psychiatric evaluations did not reveal a clear explanation for her behavior. However, further investigation identified significant cognitive decline, gait disturbances, and urinary incontinence—symptoms indicative of adult chronic hydrocephalus (ACH). A cranial CT scan confirmed ventricular dilation, leading to an ACH diagnosis. Pica disorder is often linked to frontal lobe dysfunction, common in ACH.
This case emphasizes the necessity of interdisciplinary collaboration between psychiatry and neurology to ensure accurate diagnosis and effective treatment, improving outcomes for patients whose psychiatric symptoms may mask an underlying neurological condition.
La pica, un trastorno caracterizado por la ingestión de sustancias no alimentarias, se asocia típicamente a patologías psiquiátricas, pero también puede indicar la presencia de trastornos neurológicos subyacentes.
Este estudio describe el caso de una mujer de 61 años con antecedentes de trastorno de personalidad histriónica y trastorno de ansiedad generalizada, que desarrolló conductas severas de pica, mediante la ingesta de objetos como tornillos y joyas. Las evaluaciones psiquiátricas iniciales no revelaron una explicación coherente para su comportamiento. Sin embargo, una investigación más profunda, identificó la presencia de: deterioro cognitivo significativo, trastorno de la marcha e incontinencia urinaria, síntomas clásicos de hidrocefalia crónica del adulto (HCA). Una tomografía axial computarizada craneal confirmó la dilatación ventricular, lo que llevó al diagnóstico de HCA. El trastorno de pica a menudo se vincula con disfunción del lóbulo frontal, común en la HCA.
Este caso subraya la necesidad de una colaboración interdisciplinaria entre psiquiatría y neurología para permitir un diagnóstico preciso y un tratamiento efectivo, mejorando así los resultados en aquellos pacientes cuyos síntomas psiquiátricos pueden enmascarar una condición neurológica subyacente.





