INTRODUCCIÓN
La rotura espontánea del bazo es una complicación altamente infrecuente como consecuencia de un parto.
Ante una puérpera que presenta un abdomen agudo, con hipotensión arterial progresiva y descenso del hematocrito, se debería contemplar como posibilidad diagnóstica una lesión esplénica.
Ante esta situación, muchos autores destacan la importancia de una rápida actuación. En este sentido la práctica de una tomografía computarizada (TC) abdominal puede ayudar a localizar el origen del sangrado, siempre que el estado materno lo permita y no suponga un retraso importante en el tratamiento.
CASO CLÍNICO
Paciente secundípara de 33 años de edad. Destacan, como antecedentes, la resección parcial de ovario derecho por ovario poliquístico, y una laparoscopia de urgencias en 1997, a los 27 años de edad, por hemoperitoneo secundario a la rotura de un quiste folicular hemorrágico.
Gestación actual sin incidencias, salvo la existencia de una diabetes gestacional controlada con dieta.
La paciente presenta en el curso de la semana 41 de gestación inicio espontáneo de dinámica uterina; se decide su ingreso para asistencia al parto. Se practica anestesia peridural. Se asiste a un parto espontáneo, expulsión fetal mediante el pujo de la madre, sin realizarse maniobras de Kristeller por parte de la comadrona. El período de expulsivo duró aproximadamente unos 10 min. Nació un varón de 3.470 g a las 2h y 10 min del ingreso. No fue necesaria la práctica de episiotomía.
Aproximadamente a las 3 h del parto la paciente presentó hipotensión arterial, sin objetivarse aumento de la pérdida hemática vaginal y con la presencia de un útero correctamente contraído. Esta hipotensión presentó una buena respuesta a la expansión de volumen. Posteriormente, la paciente toleró la bipedestación, la deambulación, y realizó micción espontánea e ingirió dieta bien tolerada.
A las 7 h del parto la paciente presentó un cuadro de distensión abdominal, dolor epigástrico en puñalada y empeoramiento del estado general. Ante dicha situación, y con el objetivo de realizar una correcta revisión del canal blando del parto, se decidió llevar a la paciente a quirófano para exploración del mismo. Se constató una pérdida hemática vaginal fisiológica así como integridad de todo el canal blando del parto. Se practicó una ecografía ginecológica que evidenció un útero correctamente involucionado y vacuo. Dicha ecografía fue transvaginal y sólo exploró útero y anejos, sin llegar a visualizar cavidad abdominal más allá de la baja pelvis, en la cual había escasa cantidad de líquido libre (fig. 1), que podía ser compatible con la normalidad, dado que en este momento la cantidad de hemoperitoneo sería pequeña (fig. 2).
Figura 1. Líquido libre en goteras paracólicas.
Figura 2. Hemoperitoneo en flancos derecho e izquierdo.
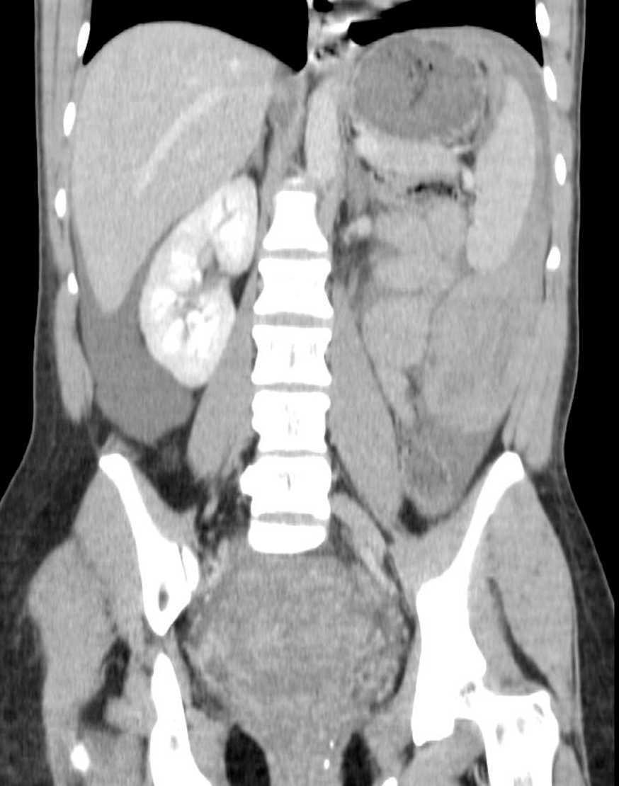
Ante la sospecha de una posible complicación abdominal se realizó interconsulta con cirugía general. Se indicó la práctica de una ecografía abdominal que constató la existencia de una colección líquida con ecos y tramas en su interior sugestiva de hemoperitoneo, con un volumen aproximado de 700 ml. Como el estado general de la paciente no requería una intervención activa urgente, se decidió realizar una TC abdominal (con y sin contraste) (figs. 3 y 4) para intentar visualizar el posible origen del sangrado. Dicha TC informó de abundante líquido libre intraabdominal diseminado, más abundante en zona parietocólica izquierda y celda esplénica, por lo que en un primer momento se contempló la posibilidad de una lesión esplénica, pero como no se pudo objetivar de una forma clara, se aconsejó valorar probable sangrado de vasos parauterinos izquierdos, dado el antecedente de un parto reciente.
Figura 3.TC. Líquido libre en cavidad abdominal.
Figura 4.TC. Colección hemática yustaexplénica.
Ante tales datos y el empeoramiento del estado general de la paciente (distensión abdominal, dolor en hemiabdomen superior, hipotensión y bajada del hematocrito [de 28,5 a 21,30]), se decidió laparotomía exploradora, conjunta con el cirujano. Se realizó laparotomía media infraumbilical que se amplió cranealmente después de constatar que la integridad e involución uterinas eran normales. En la celda esplénica se identificó un gran coágulo de sangrado reciente, y después de su evacuación se apreció un descapsulamiento del polo inferior del bazo de aproximadamente 3 cm. Se realizaron maniobras de hemostasia que no resultaron efectivas, por lo que se realizó una esplenectomía que cursó sin incidencias (anatomía patológica: laceración en superficie esplénica con hematoma coagulado de 3 x 3 cm, sin apreciarse en esta zona el tejido fibroso capsular; hematoma subcapsular). La paciente requirió la transfusión de 4 concentrados de hematíes. Se realizó profilaxis antibiótica y tromboembólica habituales; así como la administración de la vacuna antineumocócica, como es habitual en los casos de esplenectomía. En el postoperatorio presentó un íleo paralítico que se solucionó con sonda nasogástrica y dieta absoluta.
La paciente se dio de alta en buen estado general a los 10 días del parto.
DISCUSIÓN
Las roturas subcapsulares esplénicas en relación con el parto son un hecho muy infrecuente, si bien al revisar la bibliografía se han encontrado referencias al respecto. McNab y Beattie1 describen un caso de rotura subcapsular del bazo en el segundo período del parto sin que encontraran ningún factor predisponente. Estos mismos autores referencian la existencia en la bibliografía de roturas en el período antenatal (De Graaff y Pijpers2; Fletcher et al3) y otro en el puerperio inmediato (Bhagrath et al4).
En 1995, McCormick y Young5 reportan una rotura del bazo en el posparto inmediato, la causa del cual no se pudo determinar y se consideró una rotura espontánea. Estos autores, en su artículo, hacen constar la existencia de 76 casos identificados a lo largo de 190 años.
Thakkar6 relata una rotura espontánea de un bazo normal durante el período del parto y destaca la importancia de un diagnóstico rápido, así como de la reposición del hematocrito perdido para asegurar una buena evolución de la paciente.
Henderson y Keeping7 describen también 2 casos de rotura espontánea del bazo en la gestación avanzada y el parto.
La rotura del bazo normalmente es secundaria a un traumatismo o bien puede presentarse de una manera espontánea en bazos afectados de enfermedades infecciosas, hematológicas, colagenosis, tumores, etc.
Presiones abdominales de gran intensidad se han relacionado con roturas espontáneas y hematomas del bazo. Arnold y Van Vooren8, y Wergowske y Carmody9 relatan sendos casos en pacientes afectados de grandes accesos de tos. Lennard y Burgess10 lo hacen en relación con un acceso de vómito.
Moran et al11 describen una entidad clínica asociada a una rotura espontánea del bazo denominada "wandering spleen", en que el bazo presenta una extrema laxitud de sus ligamentos que lo fijan al cuadrante superoizquierdo. Se especula que factores hormonales e incluso el embarazo podrían predisponer a esta laxitud. Denehy et al12, en 1988, describen un caso de torsión parcial y traumatismo interno de un "bazo flotante". Estos autores en su artículo revisan el período de 1967 a 1986, en que encuentran 90 casos de rotura esplénica en el embarazo y puerperio.
Sam et al13, en 2000, describen el caso de una rotura de un aneurisma de la arteria esplénica en una gestante de 39 semanas. Dichos autores plantean que el aumento de flujo sanguíneo y los cambios vasculares que se presentan durante el embarazo representan un riesgo de rotura de estos aneurismas. Algo parecido publican Bronstein y Morin14.
En nuestro caso nos planteamos como hipótesis la existencia de posibles adherencias provocadas por el hemoperitoneo que la paciente había presentado en 1997; y a raíz de los importantes movimientos abdominales que tienen lugar durante el pujo, éstos podrían haber provocado el desgarro de la cápsula esplénica. En cuanto al diagnóstico por imagen, no se identificó una rotura del bazo, ya que realmente no existía tal rotura, sino simplemente una laceración, aun cuando por la disposición del hemoperitoneo, en hipocondrio y flanco izquierdos, en un principio sugirieron una lesión esplénica. El empeoramiento clínico de la paciente obligó a realizar una laparotomía exploradora que reveló el verdadero origen del sangrado.
Tras esta revisión bibliográfica, una vez presentada esta rara complicación, lo fundamental es su diagnóstico precoz, así como su manejo y solución, que en la mayoría de las veces consiste en una esplenectomía porque es muy difícil cohibir la hemorragia esplénica.





