Casos clínicos
Tumor trofoblástico del lecho placentario
M. Carmona
F. Araico
A. Rodríguez
V. Maldonado
A. Concha1
F. Ruiz1
Departamento de Obstetricia y Ginecología y
1 Servicio de Anatomía Patológica
Hospital Universitario Virgen de las Nieves
Granada (España)
Correspondencia:
Antonio Rodríguez Oliver
Departamento Obstetricia y Ginecología
Hospital Universitario Virgen de las Nieves
Avda. Fuerzas Armadas, s/n.
18014 Granada (España)
Trophoblastic tumor of the placental bed
Fecha de recepción: 16/11/98
Aceptado para publicación: 31/8/98
INTRODUCCIÓN
En 1976, Kurman et al.(1) acuñaron el término «pseudotumor trofoblástico del útero» para describir una lesión observada en 12 pacientes que mostraron una reacción celular exagerada en el lecho de implantación de la placenta. Posteriormente, se ha visto que tienen potencial maligno, y fueron Scully y Young, en 1981, quienes sugirieron el término «tumor trofoblástico del lecho placentario» para denominar esta lesión maligna(2). Coinciden los autores(3-4) en que se puede esperar un buen pronóstico en pacientes sin metástasis previas sometidas a histerectomía total, aunque el comportamiento de este tumor sigue siendo impredecible. Por otro lado, las pacientes que presentan enfermedad metastática tienen mal pronóstico y aunque pueden presentar una buena respuesta inicial a diversos protocolos de quimioterapia, ésta fracasa debido a la proliferación de clones de células resistentes(3).
Se ha publicado poca información en la literatura médica sobre la historia natural, el tratamiento y el pronóstico del tumor trofobástico del lecho placentario. DiSaia, et al.(5) hablan de 55 casos hasta 1993, 10 de los cuales terminaron con el fallecimiento de las pacientes debido a enfermedad metastásica.
Se presenta un caso de tumor trofoblástico del lecho placentario, confirmado histológicamente, atendido en nuestro departamento.
DESCRIPCIÓN DEL CASO
Gestante de treinta y ocho años, sin antecedentes personales ni familiares de interés, con tres embarazos y tres partos normales anteriores. Ingresó por urgencia por metrorragia del primer trimestre con 12 semanas de amenorrea. Por ecografía se evidenció una gestación no evolutiva y tras la aplicación de prostaglandinas E2 intracervicales en dos ocasiones, se realizó un legrado obstétrico el 11 de junio de 1997. La anatomía patológica informó de restos abortivos con cambios hidrópicos vellositarios atribuibles a retención, con problemas para hacer un diagnóstico diferencial con una mola. Se recomendaba seguimiento de la paciente con extracciones periódicas sanguíneas de ß hCG. El seguimiento con las ß hCG fue el siguiente:
Las tres primeras muestras de ß hCG tomadas al mes del legrado y separadas entre sí por una semana fueron de 6,57 mUI/mL, 4,17 mUI/mL y 2,22 mUI/mL respectivamente. Al ser negativas, (< 10 mU/mL) y según nuestro protocolo, se continuó con seguimiento mensual.
Así, el 25 de agosto de 1997, la ß hCG era de 117,30 mUI/mL, y el 18 de septiembre de 1997 de 215,09 mUI/mL. Se realizó un estudio de extensión, que incluyó radiografía craneal y torácica y ecografía abdómino-pélvica, además del seguimiento con ß hCG. El estudio de extensión fue negativo. El 26 de octubre, la ß hCG era 261,4 mUI/mL y en noviembre, en tres determinaciones separadas entre sí por una semana, los valores fueron 326 mUI/mL, 187 mUI/mL y 242 mUI/mL, respectivamente.
El 22 de octubre de 1997, se realizó una ecografía-doppler que informó de un endometrio con patrón muy vascularizado con velocidades y resistencias sugerentes de tejido trofoblástico residual. La vascularización también estaba aumentada a nivel miometrial. El ovario izquierdo era multifolicular, sin que se pudiera descartar una naturaleza teca-luteínica.
Ante estas evidencias, se indicó histerectopia y legrado endometrial el 17 de noviembre de 1997. Los niveles de ß hCG antes y después del legrado fueron de 960,29 mUI(mL y 666,32 mUI/mL, respectivamente.
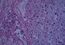
Se hizo una exploración con resonancia magnética nuclear que informó que existía un engrosamiento corporal anterior, con evidente desplazamiento posterior de la línea endometrial. Existía, además, una intensa captación que afectaba al espesor miometrial, sugerente de necrosis tumoral. Los hallazgos sugerían el diagnóstico de posible neoplasia gestacional invasiva. No se apreciaban adenopatías. Existía una pequeña cantidad de líquido libre en el fondo del saco de Douglas. En todo este período, desde el diagnóstico hasta la cirugía, la paciente permaneció sin sintomatología. A continuación se presentó el caso al Comité de Tumores y se decidió realizar histerectomía abdominal total con anexectomía bilateral el 12 de diciembre de 1997. Se obtuvo una pieza de histerectomía que media 7 x 4 x 5 cm. El canal endocervical era permeable y se abría a una cavidad tapizada por mucosa sonrosada de 0,3 cm de espesor. En el lado izquierdo de la cavidad aparecía una formación excrecente rojiza firmemente adherida al endometrio y que también penetraba en el miometrio subyacente de forma expansiva; esta formación medía 4 cm de diámetro y 1,5 cm de altura. Las trompas eran normales y en los ovarios se observaban quistes luteínicos bilaterales, con signos de involución (Fig. 1). La anatomía patológica informó de endometrio con fenómeno de Arias-Stella y decidua con presencia de citotrofoblasto atípico intermedio que se extendía entre los fascículos estromales y sin componente de sincitiotrofoblasto, muy sugestivo de tumor trofoblástico del lecho de implantación (Figs. 2 y 3).
Figura 1.Tumor trofoblástico del lecho placentario: masa polipoide exofítica y hemorrágica que invade la porción superficial del miometrio de forma expansiva.
Figura 2.Elementos de trofoblasto intermedio atípicos englobados en la decidua. Tinción hematosilina-eosina (40X).
Figura 3.Positividad evidente de citoqueratina en el trofoblasto proliferante (16X).
Tras la cirugía, la paciente continuó en seguimiento mediante determinaciones de ßhCG seriadas semanales durante 10 semanas, así como con estudio de extensión mediante radiografías de cráneo y tórax y ecografía abdomino-pélvida. Los valores de la ß hCG durante estas 10 semanas fueron sucesivamente: 458; 389; 160; 69; 40; 25; 8; 3; 1 y 1,8 mUI/mL. Todo el estudio de extensión fue negativo. Se indicó tratamiento hormonal sustitutivo con tibolona.
En la actualidad la paciente está asintomática y continúa con revisiones periódicas.
DISCUSIÓN
Como demuestran Finkler, et al.(8) el tumor trofoblástico del lecho placentario puede ir precedido de cualquier tipo de gestación, (mola, aborto, parto), aunque el episodio anterior de mola hidatiforme es inhabitual, contrariamente a lo que ocurre en la mayoría de los casos de la enfermedad trofoblástica gestacional. El tiempo que puede transcurrir hasta el diagnóstico desde el episodio gestacional previo puede oscilar entre semanas y meses, incluso más de un año, hecho que también lo diferencia de la enfermedad trofoblástica gestacional (tabla 1). Aunque la mayoría de las pacientes muestran sangrado vaginal irregular, pueden aparecer otros síntomas como virilización, síndrome negrótico, amenorrea e incluso signos y síntomas de hipertecosis ovárica(8).
Tabla 1 | ||
| Tumor lechoplacentario | Coriocarcima | |
| Sincitiotrofoblasto | () | (+++) |
| Patrón bifásico | () | (+++) |
| Hemorragia | () | (+++) |
| Necrosis | () | (+++) |
| Agresividad | local | metástasis |
| Sensibilidad QT* | ()** | (+++) |
| ß hCG | < 1000 mU/ml | > 1000 mU/ml |
| Mola previa | raro | frecuente |
| Período latencia | meses-años | persistencia |
| desde gestación | ||
| * QT: Quimioterapia | ||
| ** Control de metástasis | ||
Debido a que este tumor contiene poco sincitiotrofoblasto, se asocia a unos niveles de ß hCG bajos, (2,22 mU/mL a 960,29 mU/mL en nuestro caso); esta elevación leve-moderada, insidiosa y persistente de los niveles de ß hCG debe de poner sobre la pista de este tumor, teniendo en cuenta que puede haber una lesión importante con niveles séricos bajos e incluso indetectables. Generalmente no suelen superarse las 1.000 mU/mL(8).
Como el tumor es habitualmente localizado, el estudio de extensión debe incluir un estudio locorregional con resonancia magnética, tomografía exial computerizada o la ecografía-doppler(6,7).
Se ha comprobado que el tumor trofoblástico del lecho placentario es poco sensible a la quimioterapia, por lo que estaría indicada la cirugía precoz tras el diagnóstico(11). La radioterapia se ha mostrado efectiva en algunos casos para controlar las metástasis ganglionares y para el tratamiento paliativo de los síntomas, aunque según se describe en la literatura, la aparición de metástasis conlleva un pronóstico nefasto(8).
Las metástasis se dan en un 10% de las pacientes(9) y aunque afectan principalmente al pulmón, pueden aparecer en otros lugares como cerebro, riñones, hígado, etc.(10).
Hay controversia actualmente en cuanto a la estrategia idónea en el seguimiento post-tratamiento, debido a la posible aparición de metástasis incluso años después del tratamiento y al valor «relativo» de la ß hCG como marcador predictivo. En nuestro centro se hacen cuantificaciones séricas de ß hCG, sobre todo si han existido elevaciones al inicio, aunque sólo fueran moderadas, y estudios radiológicos pulmonares periódicos.
BIBLIOGRAFIA
01 Kurman RJ, Scully RE, Norris NJ. Trophoblastic pseudotumor of the uterus. An exaggerated form of «syncitial endometritis» simultating a malignant tumor. Cáncer 1976;38:1214-26.
02 Scully Re, Young RH. Trophoblastic pseudotumor. A reappraisal. Am J Surg Pathol 1981;5:75-6.
03 Eckstein RP, Paradinas FJ, Bagshawe. Placental site trophoblastic tumor (trophoblastic pseudotumor). A study of four cases requiring hysterectomy including one fatal case. Histopathology 1982;6:211-6.
04 Gloor E, Dialdas J, Hartimann J, Ribolzi J, Banelet L. Placental site trophoblastic tumor (trophoblastic pseudotumor) of the uterus with metastases and fatal outcome. Clinical and autopsy observations of a case. Am J Surg Pathol 1983;7:483-6.
05 DiSaia PJ, Creasman WT. Neoplasia trofoblástica gestacional. En Oncología Ginecológica Clínica. 4.ª Edición. Madrid. Ed. Mosby/Doyma Libros; 1993. p. 210-37.
06 Sakamoto C, Oikawa K, Kashimura M, Egashirra K. Sonographic appearance of placental site trophoblastic tumor. J Ultrasound Med 1990;9:533-55.
07 Abulafia O, Sherer DM, Fultz PJ, Sternberg LB, Angel C. Unusual endovaginal ultrasonography and magnetic resonance imaging of placental site trophoblastic tumor. Am J Obstet Gynecol 1994;170:750-2.
08 Finkler NJ, Berkowitz RS, Driscoll SG, Goldstein DP, Bernstein MR. Clinical experience with placental site trophoblastic tumors at the New England Trophoblastic Disease Center. Obstet Gynecol 1988;71:854-7.
09 Leiserowitz GS, Webb MJ. Treatment of placental site trophoblastic tumor with hysteretomy and uterine reconstruccion. Obstet Gynecol 1996;88:696-9.
10 Eckstein RP, Russell P, Friedlander ML, Tattersall MGHN, Bradfield A. Metastasizing placental site trophoblastic tumor: A case study. Hum Pathol 1985;16:95-100.
11 Kennedy AW. Persistent nonmetastasic gestacional trophoblastic disease. Seminars in Oncology 1995;22:161-5.




