PROGRESOS DE OBSTETRICIA Y GINECOLOGÍA
Volumen 41 Número 7 Septiembre 1998
Tumor de células de la granulosa productor de andrógenos: a propósito de un caso
Androgen-producing tumor of the granulosa cells: a case report
L. Martínez
M.ª P. Carrillo
M. Salmerón
N. Mendoza
I. Maleno*
Departamento de Ginecología y Obstetricia
*Servicio de Anatomía Patológica
Hospital Universitario Virgen de las Nieves
Granada
Correspondencia:
Dr. L. Martínez Navarro
Departamento de Ginecología y Obstetricia
Hospital Universitario Virgen de las Nieves
Avda. Fuerzas Armadas, s/n
18014 Granada
Aceptado para publicación 12/3/98
Martínez L, Carrillo MP, Salmerón M, Mendoza N, Maleno I. Tumor de células de la granulosa productor de andrógenos: a propósito de un caso. Prog Obstet Ginecol 1998;41:423-426.
INTRODUCCIÓN
La aparición súbita de amenorrea en una paciente que hasta el momento ha menstruado normalmente, acompañada de hirsutismo con o sin otros signos de hiperandrogenismo obliga, tras descartar un embarazo, a buscar una fuente productora de andrógeno, debiendo estudiar cuidadosamente los dos órganos donde fundamentalmente se producen: ovario y suprarrenal (1).
Tras un interrogatorio cuidadoso en el que se excluya la toma de fármacos virilizantes, la rapidez en la aparición del cuadro clínico obliga a descartar en primer lugar, debido a su gravedad, la etiología tumoral ovárica o suprarrenal (2). Los tumores suprarrenales son procesos muy raros que habrá que estudiar mediante RMN o cateterismo venoso selectivo en caso de sospecha franca (3).
Los tumores ováricos de cualquier origen pueden aumentar la secreción de andrógenos y causar signos clínicos por exceso, si bien existe un grupo de tumores que se distinguen por sus manifestaciones endocrinas. Dentro de estos tumores productores de hormonas se incluyen los tumores de células de la granulosa, que constituyen el 3-7% de todos los tumores ováricos (4). Además de la sintomatología clínica de cualquier tumor ovárico, se caracterizan por su capacidad de producir hormonas, fundamentalmente estrógenos, que provocan la aparición de patología menstrual, hiperplasia o cáncer endometrial. En raras ocasiones estos tumores producen andrógenos, lo que puede dar lugar a la aparición de trastornos menstruales, hirsutismo y signos de virilización (5).
Se presenta un raro caso de tumor de células de la granulosa del adulto, productor de andrógenos, que inicialmente fue tratado como causado por un déficit tardío de 21. hidroxilasa.
CASO CLÍNICO
Paciente de 26 años, nulípara, sin antecedentes familiares ni personales de interés, que es remitida por endocrinólogo de zona por amenorrea.
La enferma consultó un año antes al endocrinólogo por hirsutismo, realizándose estudio hormonal en el que destaca: testosterona total, 4,16 ng/ml; testosterona libre, 17,9 ng/ml; 17hidroxiprogesterona, 7,22 ng/ml, y DHEAS, 2.585 ng/ml. Dada la sospecha de etiología tumoral se le realizó ecografía abdominal, radiografía de la zona sellar y torácica y TAC adrenal, siendo el estudio normal. Se llevó a cabo prueba de frenación larga con dexametasona que consigue la disminución parcial de los niveles de testosterona, por lo que, pensándose en un posible déficit de 21-hidroxilasa de presentación tardía, se instauró tratamiento con hidrocortisona a dosis de 10 mg/día.
En esta situación acude a nuestra unidad, donde a la exploración se aprecia vello terminal abundante en zona mentoniana, submentoniana, intermamilar, periareolar y en línea alba; no se aprecian signos de virilización como voz ronca, hipertrofia clitoridea o alopecia. A la exploración ginecológica destaca que el ovario derecho está engrosado, por lo que se realiza ecografía transvaginal que informa de la existencia de una formación quística, tabicada, de 8 cm de diámetro máximo. A pesar del tratamiento corticoideo la paciente continuaba en amenorrea y en los análisis hormonales realizados se mantenían niveles de testosterona total de 6,32 ng/ml.
Con la sospecha de tumor ovárico funcionante se realizó laparotomía, apreciándose ovario derecho agrandado con cápsula íntegra, siendo el resto del aparato genital interno normal. Dado que la paciente era nulípara y con deseo de mantener su capacidad reproductora, se realizó lavado peritoneal y ovariectomía derecha con biopsia intraoperatoria, que informó inicialmente de quiste seroso de superficie interna lisa a excepción de pequeños nidos amarillos sólidos dispersos, de aspecto benigno.
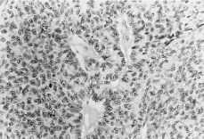
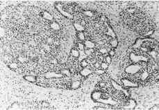
El estudio anatomopatológico definitivo informó de tumor de la granulosa quístico, variante adulta de 7 x 8 cm que no rompe la cápsula en ningún punto. (Figs. 1 y 2).
Figura 1.Tumor de células de la granulosa. En la porción superior se observan áreas microfoliculares típicas y en la parte inferior, zonas sólidas menos diferenciadas.
Figura 2.Se observan áreas microfoliculares y presencia de corpúsculos de Call-Exner.
El comité de tumores del hospital dado el estadio del tumor (IA) indicó seguimiento de la paciente.
Después de la cirugía la paciente evolucionó satisfactoriamente, restaurándose la menstruación a los 50 días. Los análisis hormonales realizados a los siete días postintervención fueron normales: testosterona total < 0,10 ng/ml; testosterona libre, 1,70 pg/ml; DHEAS 530 ng/ml, y 17hidroxiprogesterona, 0,59 ng/ml. El tratamiento corticoideo fue suspendido, siendo los estudios ováricos y suprarrenales posteriores normales.
Actualmente la paciente se encuentra estable, menstrúa normalmente y el exceso de vello ha desaparecido.
DISCUSIÓN
En el estudio de cualquier cuadro de hirsutismo hay que realizar historia clínica detallada, analizando los síntomas y su cronología, exploración física y ginecológica cuidadosa, y estudio de laboratorio en el que se valore inicialmente testosterona sérica total, 17hidroxiprogesterona a las ocho horas en fase folicular, DHEAS y cortisol a las ocho horas. Estos serán los pilares básicos que permitan excluir enfermedades graves como origen del hirsutismo: tumores ováricos o susprarrenales, hiperplasia suprarrenal y síndrome de Cushing.
Los tumores productores de andrógeno tienen incidencia baja y debe sospecharse su existencia cuando los niveles de testosterona total circulante sean muy elevados (> 2 ng/ml) y la aparición de los síntomas androgénicos es súbita, de instauración rápida y seguida de virilización y amenorrea (6). El origen de estos tumores puede ser ovárico o suprarrenal.
En la paciente descrita se presenta un cuadro muy típico de posible etiología tumoral, que es descartada por el endocrinólogo al no encontrar en los estudios de imagen realizados alteración de la suprarrenal o agrandamiento de los ovarios. Erróneamente, al encontrar unos niveles elevados de 17hidroxiprogesterona interpreta y trata el cuadro como si fuese un déficit tardío de 21 hidroxilasa, aunque el diagnóstico de este cuadro viene dado por la prueba de estimulación con ACTH. Como se ha recogido, el tratamiento corticoideo no consiguió mejorar el cuadro clínico ni disminuir los niveles de testosterona sérica. Es importante reseñar que los tumores ováricos pueden ser muy pequeños (1-2 cm), no provocando agrandamiento del ovario por lo que, en ocasiones, sólo se hace el diagnóstico al realizar la ovariectomía (7).
Los tumores de célula de la granulosa son neoplasias poco frecuentes, alcanzando una incidencia de 3-7% de todos los tumores ováricos (4). La forma clínica de presentación más frecuente es la que se deriva de su capacidad endocrina, fundamentalmente produciendo estrógenos, esto es, la aparición de patología menstrual, hiperplasia e incluso cáncer endometrial. En muy raras ocasiones, como el caso que nos ocupa, estos tumores segregan andrógenos. En una revisión de la literatura mundial solamente se describen 25 casos de tumores de la granulosa del adulto productores de andrógenos (8). La clínica que presentan estas pacientes es consecuencia de la existencia de altos niveles de testosterona: hirsutismo, clitoromegalia, acné facial, amenorrea, atrofia de las mamas e incluso enronquecimiento de la voz. Son neoplasias típicas de la edad adulta, presentándose sólo el 5% de ellos antes de la pubertad (9).
Los tumores de células de la granulosa se consideran de baja malignidad y suelen presentar buen pronóstico, siendo los principales factores pronósticos el estadio, edad de la paciente, índice mitótico y el tamaño tumoral. En aquellas pacientes que conserven un deseo generativo y el tumor de células de la granulosa se encuentren en estadio IA, como el caso descrito, el tratamiento recomendado es la ooforectomía homolateral y biopsia en cuña del ovario contralateral (10).
Dada la evolución que han seguido los niveles séricos de testosterona, pensamos que en el seguimiento de los tumores productores de andrógenos deben investigarse los niveles séricos de esta hormona, puesto que podría ser un marcador precoz de recidiva tumoral.
BIBLIOGRAFÍA
1 Scwack M, Schindler AE. Endocrine studies in a case of profound virilization of a woman due an androgen-producing granulosa cell tumor. Zentralbl Gynakol 1993;115:508-10.
2 François Y, Berlier P, Chetelain P, François R. Tumeur virilisante de l''ovarie chez une adolescente. Pédiatrie 1990;45:105-7.
3 Surrey ES, Ziegler D, Gambone JC, Judd HL, Preoperative localization of androgen-secreting tumors: clinical, endocrinologic and radiologic evaluation of ten patients. Am J Obstet Gynecol 1988;158:1313-22.
4 Piura B, Nemet D, Yanai-Inbar I, Cohen Y, Glezerman M. Granulosa cell tumor of the ovary: a study of 18 cases. J Surg Oncol 1994;55:71-7.
5 Jarabak J, Talerman A. Virilization due to a metastasizing granulosa cell tumor. Int J Gynecol Pathol 1983;2:316-24.
6 Dhont M, Duvivier P, Vandekerckhove. A solid virilizing granulosa cell tumour. Europ J Obstet Gynec Reprop Biol 1985;20: 253-6.
7 Young RH, Oliva E, Scully RE. Luteinized adult granulosa cell tumors of the ovary: a report of four cases. Int J Gynecol Pathol 1994;13:302-10.
8 Nakashima N, Young RH, Scully RE. Androgenic granulosa cell tumors of the ovary. Arch Pathol Lab Med 1984;108:786-91.
9 DiSaia PJ, Creasman W. Oncología ginecológica clínica. Cuarta edición. Madrid: editorial Mosby/Doyma libros, 1994, p. 424-64.
10 Malmström H, Högberg T, Risberg B, Simonsen E. Granulosa cell tumors of the ovary: prognostic factors and outcome. Gynecol Oncol 1994;52:50-5.



