PROGRESOS
DE OBSTETRICIA
Y GINECOLOGÍA
Volumen 41
Número 2
Marzo 1998
M. Medina-Pérez 1
E. Varela Cornejo 2
D. Pérez Martín 3
Teratoma quístico maduro del omentum mayor1 F.E.A. Anatomía Patológica
2 F.E.A. Obstetricia y Ginecología
3 F.E. Oncología
Correspondencia:
Manuel Medina Pérez
Servicio de Anatomía Patológica
Hospital de la Merced
Avenida de la Constitución, 2
41640 Osuna (Sevilla)
Mature cystic teratoma of the greater omentumMedina-Pérez M, Varela Cornejo E, Pérez Martín D. Teratoma quístico maduro del omentum mayor. Prog Obstet Ginecol 1998;41:115-117.Aceptado para publicación 11/11/97INTRODUCCIÓN
El peritoneo es una cubierta mesotelial que recubre la cavidad que se extiende desde el abdomen a la pelvis. Los epiplones son, también, repliegues peritoneales. El mayor (omentum mayor) se extiende desde la curvatura mayor gástrica y duodeno proximal hasta emerger con el mesocolon transverso (1). Entre los tumores que se pueden encontrar en él, se citan los leiomiomas, lipomas, neurofibromas, mesoteliomas, etc., pero son muy raros. Los teratomas contienen elementos de las tres capas germinales, habitualmente, apéndices cutáneos, cartílago, dientes, grasa, hueso y, menos frecuentemente, tejido neural (2). Se pueden localizar en los ovarios, testículos, mediastino, retroperitoneo, pared abdominal, cérvix, vagina y también en el omentum. En esta localización, son extremadamente raros. En la literatura reciente, sólo aparecen publicaciones sobre casos aislados y, en todo caso, no superan los 40 los aportados en este siglo. Nosotros presentamos uno.
DESCRIPCIÓN DEL CASO
La historia clínica corresponde a una mujer de 65 años de edad a la que en el transcurso de una revisión médica se le palpa una masa abdominal, dura, por encima de la sínfisis del pubis, a unos cuatro traveses de dedo. La enferma era hipertensa, y su última regla la había tenido a los 50 años. No tenía antecedentes de metrorragias. El estudio analítico fue normal. En la radiografía simple de abdomen se observaban calcificaciones en la zona que debía estar la masa, y el estudio ecográfico mostraba una tumoración con densidad mixta, que incluía zonas calcificadas, de aproximadamente 7 x 5 cm. Los anejos uterinos no se visualizaron bien en esta exploración. El tumor parecía estar en relación con el útero, de manera que fue interpretado como masa parauterina, probablemente un leiomioma.
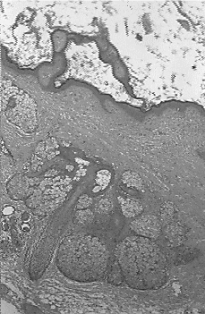
Se le practicó una laparotomía, encontrando un tumor redondeado en el seno de epiplón mayor, totalmente independiente de todas las estructuras vecinas, incluidos el útero y los ovarios, que eran de morfología normal. Se realizó omentectomía parcial, que incluía la masa, y se estudió peroperatoriamente. La pieza (Fig. 1) correspondía a un quiste de paredes calcificadas, de 12 x 7 cm, con abundantes pelos, material queratinoso, fragmentos óseos y dientes. El diagnóstico intraoperatorio fue de teratoma del omentum. En el estudio rutinario en parafina, se comprobó la existencia de epidermis con anejos cutáneos (Fig. 2), hueso y epitelio digestivo. No se identificó tejido neural. Así, el diagnóstico definitivo fue el de teratoma quístico maduro.
La enferma tuvo un postoperatorio excelente, continuando asintomática tres años después de la intervención.
DISCUSIÓN
El número de teratomas del omentum publicados es muy reducido. La mayoría son teratomas maduros, siendo excepcionales los inmaduros (3,4). Algunos casos se presentan asociados a teratomas del ovario. Así, Kearney (5) aporta una asociación de este tipo; él interpreta que a partir de una torsión de un teratoma ovárico, éste se puede implantar en el omentum de forma secundaria, y así explica su caso. Dicha teoría se ve avalada más cuando, además, se encuentra tejido ovárico en el teratoma. Ralls y cols. (6) aportan otro caso de teratomas coexistentes, y apuntan la hipótesis de que el localizado en el epiplón mayor se origine a partir de un ovario ectópico. Smith y cols. (7) aportan un interesante caso de doble teratoma, además con un adenocarcinoma ovárico coexistente. Ellos no encontraron restos ováricos en la cápsula del teratoma. En la revisión que hacen, sólo encontraron siete casos de teratomas coexistentes en ovario y omentum.
Clínicamente, suelen manifestarse como una masa abdominal palpable. En la radiografía de abdomen se ven como masas con calcificaciones globulares (2), y en la ecografía se observa su naturaleza sólido-quística; las calcificaciones también se observan. En la tomografía computerizada los teratomas maduros dan baja densidad (6), y densidad grasa y calcificaciones (8).
Existen varias teorías que intentan explicar cómo se originan los teratomas del omentum. Ya hemos comentado algunas: desprendimientos de un teratoma ovárico, que quedaría adherido al tejido adiposo del epiplón, teratoma sobre ovario ectópico y alteraciones en la emigración embrionaria de las células germinales, que daría lugar al desarrollo de un teratoma maduro en una localización extragonadal (9). En nuestro caso, no encontramos ni tejido ovárico, y la exploración manual de ambos ovarios durante la laparotomía fue absolutamente normal. De esta manera, la hipótesis de un teratoma originado sobre un ovario ectópico o soltado a partir de uno de los ovarios es menos probable, y da más pie a considerar un origen embrionario.
Dada su rareza, el diagnóstico preoperatorio es raro. Y como en nuestro caso, es posible confundirlo con un leiomioma uterino. El tratamiento quirúrgico es curativo para los casos de teratomas maduros. Algunos autores aconsejan el uso rutinario de tratamiento quimioterápico en los teratomas inmaduros, dado que son los que con mayor probabilidad tendrán un comportamiento agresivo (4).
1 Hamrick Turner JE, Chiechi MV, Abbitt PL, Ros PR. Neoplastic and inflammatory processes of the peritoneum, omentum and mesentery: diagnosis with CT. Radiographics 1992;12:1051-68.
2 Whang SH, Lee KS, Kim PN y cols. Omental teratoma in an adult: a case report. Gastrointest Radiol 1990;15:301-2.
3 Spurney RF, McCormack KM. Immature omental teratoma. Arch Pathol Lab Med 1987;111:762-4.
4 Ordóñez NG, Manning JT, Ayala AG. Teratoma of the omentum. Cancer 1983;51:955-58.
5 Kearney MS. Synchronous benign teratomas of the greater omentum and ovary. Br J Obstet Gynaecol 1983;90(7):676-9.
6 Ralls PW, Hartman B, White W et al. Computed tomography of benign cystic teratoma of the omentum. J Comput Assist Tomogr 1987;11(3):548-9.
7 Smith R, Deppe G, Selvaggi S et al. Benign teratoma of the omentum and ovary coexistent with an ovarian neoplasm. Gynecologic Oncology 1990;39:204-7.
8 Stoupis C, Ros PR, Abbitt PL et al. Bubbles in the belly: imaging of cystic mesenteric or omental masses. Radiographics 1994;14:729-37.
9 Drut R, Drut RM: Mature cystic teratoma of the greater omentum. Pediatr Pathol 1990;10(6):1033-5.
| Figura 2.Imagen histológica del mismo. Se observa epidermis con sus anejos. Hematoxilina-Eosina, 100 x. |
| Figura 1.Fotografía macroscópica de la pieza de omentectomía parcial con el teratoma. Observad los pelos y el material queratinoso. |
BIBLIOGRAFÍA


