INTRODUCCIÓN
El sarcoma epitelioide es una entidad descrita por Enzinger1 en 1970 como un tumor de adultos jóvenes, localizado principalmente en la superficie flexora de los dedos, las manos, la muñeca y el antebrazo1. Posteriormente, se describió la variante proximal o de tipo células grandes, con peor pronóstico que el sarcoma epitelioide convencional, cuyas lesiones se localizan, fundamentalmente, en la región pélvica y perineal.
El sarcoma epitelioide de vulva es una tumoración de estirpe mesenquimal muy poco frecuente, con sólo 21 casos descritos en la literatura médica (uno de ellos en una gestante de 36 semanas). Aparece en mujeres jóvenes y suele localizarse en los labios mayores. Tiene un comportamiento agresivo local y potencialmente metastásico2. El diagnóstico es anatomopatológico y el diagnóstico diferencial se basa en los hallazgos macroscópicos, histológicos e inmunohistoquímicos de la lesión.
Dada la escasa experiencia existente, el mejor tratamiento está todavía por definir, aunque en los estadios iniciales de la enfermedad la exéresis amplia con márgenes de seguridad parece el enfoque más razonable.
CASO CLÍNICO
Paciente de 30 años de edad, que acude a la consulta de ginecología para el control de folículo hemorrágico.
Como antecedentes personales presenta un parto por cesárea, una intervención por un folículo hemorrágico en el ovario izquierdo y otra por obstrucción intestinal.
En la exploración ginecológica cabe destacar una tumoración bien delimitada, irregular, de consistencia firme, bien epitelializada, de aproximadamente 2 cm, en el vértice superior de labio mayor derecho. En la citología cérvico-vaginal se objetiva SIL de bajo grado.
Se realizan biopsias de cérvix y se extirpa la tumoración descrita en labio mayor derecho.
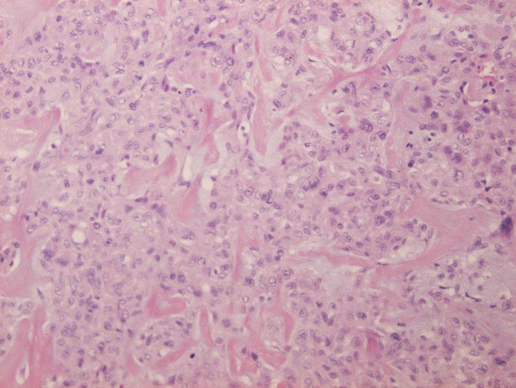
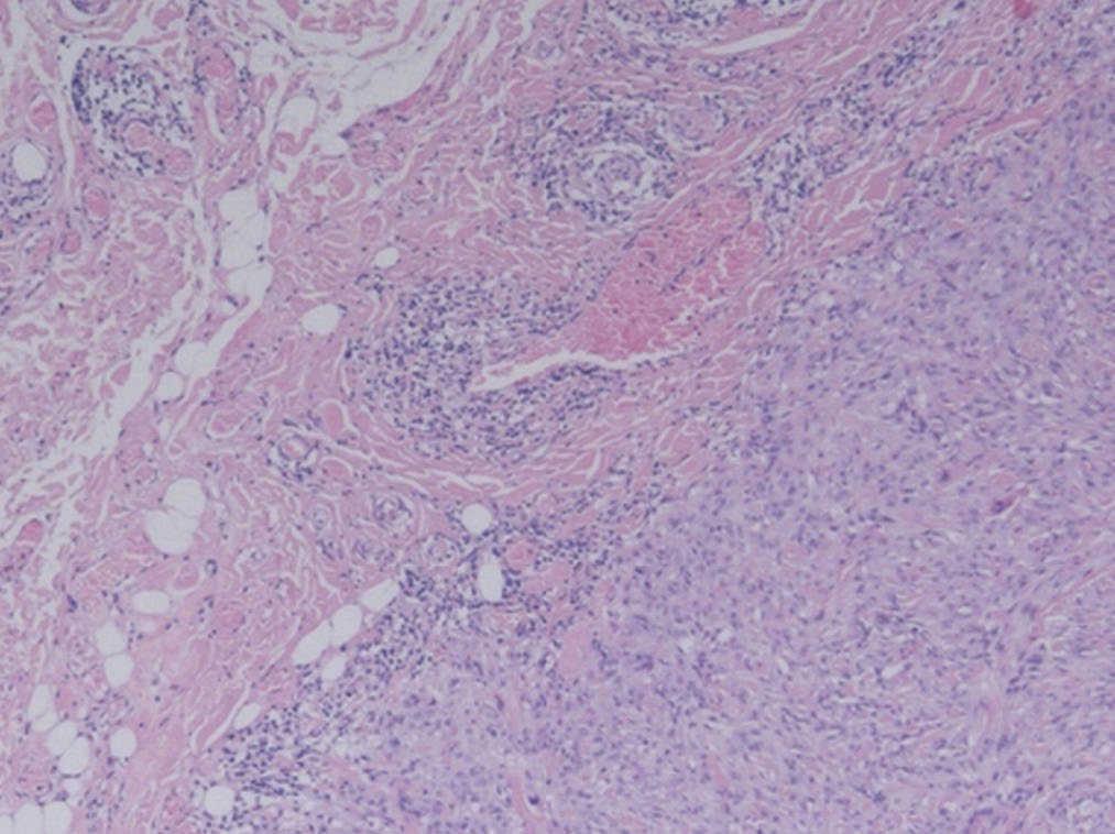
La formación nodular que se envía para estudio anatomopatológico; mide 1,8 x 1,5 cm, es de consistencia firme y coloración amarillenta. Microscópicamente se corresponde con una masa multinodular, localizada en la hipodermis, mal delimitada, que no está encapsulada e infiltra grasa en algunas áreas (fig. 1) Está constituida por células de citoplasma amplio y eosinófilo, con tendencia a formar nódulos con haces gruesos de fibras colágenas. Los núcleos son grandes y redondos u ovalados. Se observan signos de malignidad como atipia, pleomorfismo celular e invasión perineural. Otras zonas muestran un patrón de crecimiento fusiforme y un estroma con cambios mixoides (fig. 2). Con técnicas de inmunohistoquímica, las células tumorales expresan fuerte positividad para vimentina, queratinas AE1/AE3 y EMA, y positividad focal para CD34, actina y citoqueratina 7 (fig. 3). No se observa inmunoexpresión de CK20, CD31 ni S-100. El índice proliferativo (Mib-1) es bajo, del 5%. Con estos datos se establece el diagnóstico de sarcoma epitelioide de tipo proximal de vulva.
Figura 1.En la tinción con hematoxilina-eosina existen criterios de malignidad como la infiltración grasa (HE, x40).
Figura 2.La celularidad predominante es epitelioide con producción de colágeno (HE, x200).
Figura 3. Inmunoexpresión de vimentina, marcadores epiteliales y focalmente de CD34.
Se solicitó una segunda opinión al Dr. Christo-pher D.M. Fletcher, MD, Profesor de Patología en el Department of Pathology Brigham and Women´s Hospital de Boston, que se mostró de acuerdo con el diagnóstico emitido y recomendó la escisión amplia de la lesión.
El resultado de la biopsia de cérvix resultó compatible con una lesión intraepitelial de alto grado.
Presentado el caso en una sesión de ginecología oncológica, se decidió ampliar los bordes de la lesión vulvar y realizar una conización en el mismo acto quirúrgico, con posterior seguimiento clínico estricto de la paciente.
DISCUSIÓN
El sarcoma epitelioide es un tumor maligno agresivo descrito por primera vez en 1970. Hasta entonces había sido confundido repetidamente con procesos inflamatorios crónicos, granuloma necrosante o carcinoma de células escamosas1.
El sarcoma primario de vulva es extremadamente raro, supone del 1 al 3% de las enfermedades malignas de la vulva2,3, con sólo 21 casos de sarcoma epitelioide de vulva descritos en la literatura científica. No se conoce con claridad su comportamiento, que abarca desde tumores altamente agresivos a lesiones que se comportan como tumores de bajo grado2. En general, se comporta de forma más agresiva que el sarcoma epitelioide extragenital2. Chase y Enzinger4 notifican una tasa de recurrencia en torno al 77%, con una incidencia de metástasis de hasta un 45%. La primera ruta de diseminación metastásica son los ganglios linfáticos2. Entre un 21 y un 51% de las pacientes empiezan con metástasis pulmonares, aunque también hay casos descritos en el cuero cabelludo, el cerebro, el hígado, la pleura y óseos5. Esta neoplasia suele aparecer en mujeres jóvenes; la media de edad al diagnóstico es de 35 años. La lesión habitualmente se localiza en los labios mayores y cursa de forma asintomática en la mayoría de las pacientes3. El tumor comienza como una lesión nodular que tiende a ulcerarse. Aunque su crecimiento es lento, tiene una marcada tendencia a la recurrencia local, sobre todo si se trata inadecuadamente. Las metástasis a distancia a menudo ocurren tras recurrencias repetidas de la enfermedad5.
El diagnóstico diferencial se basa en los hallazgos macroscópicos, histológicos e inmunohistoquímicos de la lesión y se hace con: carcinoma indiferenciado de vulva, melanoma, sarcoma del nervio periférico tipo epitelioide, angiomiosarcoma, rabdomiosarcoma epitelioide, leiomiosarcoma, sarcoma epitelioide de la sinovial y tumor rabdoide extrarrenal3.
El sarcoma de nervio periférico (tumor maligno de la vaina nerviosa periférica) es reactivo a la proteína S-100 y negativo para citoqueratina y EMA. Debe emerger de un nervio periférico, de un neurofibroma o tener características de diferenciación neural6-9.
El hemangioendotelioma epitelioide es una lesión de bajo grado caracterizada por una morfología epitelioide endotelial y un patrón lineal o unicelular de diferenciación vascular. Se asocia a un vaso, con presencia de espacios vacuolados con eritrocitos. Presenta positividad para CD-31 y es negativo para proteína S-100 y EMA10,11.
El rabdomiosarcoma es un tumor de alto grado de malignidad, caracterizado por un crecimiento alveolar de las células con diferenciación al músculo esquelético. Es positivo para desmina, actina, vimentina y S-10012-15.
El leiomiosarcoma es un tumor maligno compuesto, al menos focalmente, de células de músculo liso, con patrón de crecimiento fascicular y generalmente en relación con una pared vascular. Citológicamente suelen tener vacuolas citoplásmicas a ambos lados del núcleo. Al diferenciarse hacia el músculo liso, es positivo para desmina, actina, y puede ser focalmente positivo para S-100 y CD-34, con poblaciones celulares también positivas para antígenos epiteliales (queratinas)16-18.
El sarcoma sinovial tipo monofásico tiene un crecimiento «en sábana», densamente celular, con gruesos agregados colágenos, focos de calcificación y una rica trama vascular tipo hemangiopericitoma. Es positivo para citoqueratina, EMA y vimentina. Se diferencia del sarcoma epitelioide de vulva en que carece de agregados intracitoplasmáticos de filamentos intermedios, tiene microvellosidades y membrana basal bien desarrollada19,20.
El tumor rabdoide extrarrenal es una neoplasia altamente maligna constituida enteramente por células discohesivas, con núcleos vesiculosos con nucléolo, en las que al menos algunas células deben contener inclusiones paranucleares positivas para queratinas. Se ha planteado la posibilidad de que este tumor corresponda a un sarcoma epitelioide en su variante de células grandes21,22.
El tratamiento de estos tumores está hoy en discusión. La cirugía con exéresis amplia de la lesión proporciona un excelente control local y una buena supervivencia en los tumores menos agresivos, por tanto, es muy importante la escisión inicial completa de la lesión2. De acuerdo con los datos del Memorial Sloan- Kettering, el tamaño y el grado del tumor primario son los factores pronósticos más importantes en los sarcomas de tejidos blandos de la pelvis. Son factores favorables: un diámetro tumoral inferior a 5 cm, un bajo grado tumoral y una resección completa. Todas las pacientes con recurrencia local fallecieron con metástasis a distancia. La invasión vascular indica un pobre pronóstico23.
Algunos autores atribuyen el riesgo de recurrencia local a una inadecuada resección de los márgenes24. Sin embargo, muchos autores prefieren la escisión local amplia de la lesión a la vulvectomía23,24, aunque en ocasiones aquélla implica la realización de una hemivulvectomía. La medida de los márgenes no está bien definida, pero 2 cm se ha considerado suficiente, basado en datos de localizaciones extragenitales3,23.
De los casos descritos en la literatura médica, en 5 se realizó vulvectomía radical con linfadenectomía inguinofemoral bilateral, en 5 hemivulvectomía con o sin linfadenectomía uni o bilateral, y en el resto escisión amplia de la lesión, en algunos casos acompañada de linfadenectomía unilateral, como en el publicado por Hall et al25. En 1980, Aarsten y Albus-Lutte24 sugirieron que una escisión agresiva previene la recurrencia local de la afección. Curtin et al26 aportan 24 casos de mujeres con sarcomas ginecológicos; en todos realizan resección sin terapia adyuvante y sólo 7 recurren tras el tratamiento. Otros autores como Kasamatsu et al5 consideran la vulvectomía radical con linfadenectomía la mejor opción de tratamiento para este tipo de pacientes, ya que en el caso que presentan aparecieron múltiples recurrencias y la última localización de la enfermedad fue un ganglio linfático.
En ocasiones, incluso la escisión amplia de la lesión o la hemivulvectomía son cirugías muy rutilantes, que ocasionan una importante morbilidad psicosexual a las pacientes que, generalmente, son mujeres jóvenes. Por ello, autores como Tjalma3 hablan de realizar reconstrucciones con colgajos miocutáneos de diferentes músculos, como el gracilis, el recto abdominal, el tensor de la fascia lata, el glúteo mayor o el llatissimus dorsi.
El papel de la linfadenectomía tampoco está claro. Algunos autores, como Kasamatsu et al5, recomiendan la linfadenectomía; otros, como Aartsen y Albus-Lutte24, consideran que la linfadenectomía regional era poco beneficiosa en los casos que publicaron. Tjalma et al3 o Ulutin et al23 sólo consideran la linfadenectomía si existe una sospecha clínica o por métodos de imagen de afectación ganglionar. Aunque no existe evidencia de que la resección de ganglios regionales tenga algún beneficio sobre la tasa de recurrencia local o a distancia de la enfermedad, la linfadenectomía se debe tener en cuenta en pacientes con adenopatías clínicas3,23. Se necesitan más estudios para establecer el papel exacto de las pruebas de imagen, la biopsia del ganglio centinela o la linfadenectomía en el manejo y el tratamiento de pacientes con sarcoma de vulva.
De la misma forma, el papel del tratamiento adyuvante está aún por determinar. Tanto la radioterapia como la quimioterapia son tratamientos limitados para el control del sarcoma epitelioide de vulva. Autores como Ulutin et al23 recomiendan radioterapia para casos con tumores de alto grado o márgenes afectados. Los casos tratados con quimioterapia presentaron diseminación a distancia de la enfermedad, todos ellos con malos resultados (tabla 1).
En nuestro caso, estábamos ante un tumor epitelioide de vulva menor de 5 cm, sin áreas de necrosis ni células rabdoides y con un índice de proliferación bajo; todos eran factores histológicos favorables. Además, el estudio de extensión fue normal. Todo ello, unido a la edad de la mujer, nos llevó a ofrecer una exéresis amplia de la lesión y un seguimiento estrecho. Tras recibir toda la información al respecto, la paciente aceptó el tratamiento propuesto y, en la actualidad, se encuentra libre de enfermedad a los 13 meses de seguimiento y sin ninguna alteración estética.
Correspondencia:
Dra. N. Rodríguez Martín.
Brive, 2 5.o A. 45005 Toledo. España.
Correo electrónico: nievesrodmar@hotma
Fecha de recepción: 27/7/06.
Aceptado para su publicación: 15/11/06.





