Se presenta un caso de perforación uterina espontánea secundaria a piometra. La perforación uterina es una rara entidad que afecta principalmente a mujeres posmenopáusicas debido a la retención de las secreciones de la cavidad uterina por obstrucción del canal cervical. Su presentación clínica es inespecífica, con dolor abdominal bajo, fiebre, vómitos y datos analíticos de infección, y sus complicaciones potencialmente graves, como peritonitis o shock séptico, de ahí la importancia de su diagnóstico precoz mediante técnicas de imagen.
This paper reports a case of spontaneous perforation due to pyometra. Spontaneous uterine perforation is a rare event that usually affects postmenopausal women. It is secondary to retention of purulent secretions in the uterine cavity caused by obstruction of the cervical canal. The diagnosis is difficult to establish because the clinical presentation is nonspecific and includes abdominal pain, fever, vomiting and laboratory data indicating infection. An early imaging diagnosis is mandatory due to the potentially severe complications of this event such as peritonitis and septic shock.
El piometra es una patología infrecuente caracterizada por la presencia de material purulento dentro de la cavidad uterina secundaria a la retención de las secreciones por obstrucción del canal cervical. Su incidencia varía entre 0,01 y 0,05%1-3, aumentando a un 0,2-1,5% en pacientes sometidas a algún procedimiento ginecológico previo2-5. Los datos publicados sobre las causas de esta entidad son variados. En un estudio retrospectivo realizado por Chang et al., el 74% de los casos eran idiopáticos, mientras que el piometra se asociaba en un 22,2% de los casos a tumores malignos6. Otras publicaciones describen que el piometra se presentaría más frecuentemente en mujeres posmenopáusicas con estenosis del canal cervical, en muchos casos secundaria a patologías malignas tratadas con radioterapia3-5. Así, Babarinsa et al. encontraron una asociación del 0,89% entre el piometra y el cáncer de cérvix7.
La perforación uterina secundaria a piometra es una complicación extremadamente rara, siendo muy difícil su sospecha diagnóstica sobre la base de la clínica, dada la ausencia de signos y síntomas específicos. El diagnóstico precoz de esta patología sería de suma importancia a fin de poder evitar complicaciones graves de la misma, como la peritonitis o el shock séptico. Sin embargo, lamentablemente, en la mayoría de los casos, el diagnóstico se realiza durante la cirugía.
En este artículo presentamos el caso de una mujer con perforación uterina por piometra secundario a estenosis cervical tras tratamiento con radioterapia de un cáncer de cérvix.
Presentación del casoMujer de 60 años, diagnosticada de carcinoma de cérvix estadio iiiB en el año 2009 y tratada con quimioterapia neoadyuvante (6 ciclos) y radioterapia (radioterapia externa combinada con braquiterapia). Las últimas revisiones ginecológicas no mostraron signos de recidiva tumoral ni alteraciones reseñables, salvo una ligera rigidez parametrial, probablemente secundaria al tratamiento radioterápico. Dos años después del diagnóstico inicial y con la enfermedad oncológica en respuesta completa, la paciente acude al Servicio de Urgencias por un cuadro de mal estado general de 3 meses de evolución, que había empeorado en los últimos 3 días, acompañado de sudoraciones, escalofríos y vómitos. La paciente relata molestias inespecíficas en el flanco y fosa la ilíaca derechos, sensación distérmica, polaquiuria y tenesmo. A la exploración abdominal, se palpaba empastamiento y dolor a la palpación profunda en el hemiabdomen inferior pero sin datos definitivos de peritonismo. Analíticamente, destacaba la presencia de mínima leucocitosis (12.320 leucocitos) y neutrofilia (70%).
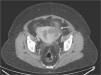
Ante los hallazgos clínicos y analíticos, se decide realizar un estudio de tomografía computarizada (TC) abdominopélvica, que mostró un colección mal delimitada, hipodensa, entre la pared lateral izquierda del útero y el ovario adyacente, con infiltración de los planos grasos adyacentes. Se observa una segunda lesión de las mismas características parauterina derecha y ligera hidronefrosis ipsolateral (fig. 1). Posteriormente, a fin de descartar progresión de la enfermedad oncológica, se realizó un estudio de resonancia magnética (RM) pélvica que mostró la presencia de colecciones a ambos lados del útero, hipointensas en secuencias T1 e hiperintensas en secuencias T2, con una marcada restricción en secuencia de difusión, hallazgo indicativo de corresponder a contenido purulento. En las imágenes potenciadas en T2 se muestra una discontinuidad en la pared uterina izquierda, permitiendo la comunicación de la colección con el interior del útero (figs. 2 y 3).
Imagen de RM obtenida mediante la fusión de las secuencias anatómicas T2 y b=800 (en escala de falso color) que muestra marcada restricción de la difusión tanto del contenido de la cavidad endometrial dilatada (correspondiente al piometra) como de la colección parauterina, y un área de marcado adelgazamiento de la pared uterina, con una pequeña discontinuidad de la misma (flecha).
Tras los hallazgos descritos, se decidió la realización de cirugía urgente con histerectomía con doble anexectomía y limpieza de la cavidad abdominal. La evaluación de la pieza macroscópica confirmó la presencia de una perforación uterina a nivel del fundus de aproximadamente 1,5cm. El estudio patológico posterior de la pieza fue negativo para malignidad.
DiscusiónLa perforación uterina espontánea es una condición poco frecuente secundaria a una debilidad de la pared uterina. Esta entidad muestra 2 picos principales de incidencia: el primero en mujeres fértiles que se encuentran embarazadas, siendo el factor independiente más importante la presencia de una cicatriz uterina previa (perforación, resección cornual, resección de septo uterino, miomectomía, cirugía fetal o cesárea), y el segundo en mujeres posmenopáusicas que presentan piometra3. El piometra se define como la presencia de material purulento en la cavidad uterina. Se trata de una rara entidad secundaria a un compromiso en el drenaje de la misma, que condicionaría un aumento del volumen de la cavidad uterina, con un adelgazamiento progresivo de la pared y su consiguiente rotura, habitualmente a nivel del fundus, evacuándose entonces el material purulento a la cavidad abdominal8. Entre las causas descritas, se incluirían anomalías congénitas, infecciones o tumores benignos (pólipos o miomas de localización cervical) y malignos (de cérvix o de endometrio). En otras ocasiones, esta entidad se presenta tras la realización de cirugía (conizaciones o amputaciones de cérvix) o radioterapia a nivel del cérvix. Sin embargo, en aproximadamente un 50% de los casos no existe enfermedad subyacente ni antecedentes de cirugía o radioterapia, siendo la propia atrofia del canal cervical la causa de la estenosis y denominándose estos casos como piometra senil benigno o idiopático3,5,8.
Hoy en día, la causa más frecuentemente descrita en la literatura de piometra es la estenosis del canal cervical. Esta estenosis puede ser secundaria a la realización de biopsias a dicho nivel, a la presencia de tumor o a su tratamiento, siendo una complicación esperable a partir de los 3-6 meses posradioterapia4,5,8. La perforación uterina espontánea secundaria a piometra es una entidad escasamente descrita en la literatura radiológica. En cuanto al diagnóstico, el 50% de ellas pueden ser asintomática y cuando los síntomas aparecen, además de la tríada característica (fiebre, leucorrea sanguinolenta y dolor pélvico), pueden ser inespecíficos2,3,9,10, siendo frecuentemente confundida con infecciones urinarias de repetición o que no responden al tratamiento, por lo que su incidencia podría infraestimarse. Las pruebas de imagen desempeñan un papel clave en el manejo de esta entidad, dado que un diagnóstico precoz permitiría evitar complicaciones potencialmente graves, como la peritonitis y el shock séptico. Por ello, debe de considerarse siempre en el diagnóstico diferencial del abdomen agudo en pacientes posmenopáusicas, aunque no presenten signos ginecológicos.
Las perforaciones uterinas espontáneas pueden diagnosticarse mediante ecografía, TC o RM, visualizándose una solución de continuidad del miometrio y la existencia de colecciones parauterinas. Podría presentarse también con aire en el interior de la cavidad uterina o el neumoperitoneo1,9,10. El papel de la ecografía en el diagnóstico de la rotura uterina es limitado debido a la dificultad para ver el desgarro uterino y una mala ventana acústica secundaria a la perforación9. En casos equívocos, la RM permite evaluar la integridad de la pared uterina5 y posibilitaría la localización y la caracterización de las colecciones asociadas sobre la de base su comportamiento, mostrando aquellas no complicadas hiposeñal en secuencias potenciadas en T1 e hiperseñal en T2, las hemáticas hiperseñal en secuencias T1 y T2, y las abscesificadas realce periférico tras la administración de contraste y restricción en secuencias de difusión11,12.
La mortalidad secundaria a perforación uterina con piometra supera el 40% y, una vez más, pone de relieve la importancia de un diagnóstico precoz del cuadro3. El tratamiento ideal del piometra con rotura uterina varía dependiendo de la situación clínica de la paciente y del diagnóstico preoperatorio. El manejo médico del piometra se basa en el uso de antibióticos de amplio espectro frente a los microorganismos asociados a esta entidad (Escherichia coli, estreptococos anaerobios y Bacteroides fragilis). Sin embargo, sin el drenaje adecuado del material purulento, el tratamiento antibiótico está condenado a fracasar, con la posibilidad de originar peritonitis, por rotura uterina, y sepsis, circunstancia que puede ocurrir en hasta un 18,5% de los casos. La histerectomía (total o subtotal, dependiendo de la causa subyacente) con/sin salpingooforectomía y el lavado de la cavidad peritoneal son algunas de las opciones terapéuticas. Sin embargo, en aquellos casos con un alto riesgo quirúrgico, el tratamiento de elección sería el drenaje de la cavidad uterina a través del canal cervical con una sonda de tipo «pigtail»2,8-10.
En conclusión, la perforación uterina espontánea secundaria a piometra es una patología extremadamente rara, que ocurre por obstrucción del drenaje cervical secundaria a procesos malignos del cuerpo uterino o de cérvix, tras tratamientos con cirugía o radioterapia y por atrofia senil. Esta entidad afecta de modo principal a mujeres posmenopáusicas con antecedentes de enfermedades malignas del tracto genital y debiera incluirse en el diagnóstico diferencial de una paciente de estas características con abdomen agudo. Dadas las complicaciones potencialmente graves asociadas a esta entidad, resulta importante el papel las técnicas de imagen para su diagnóstico temprano.
Responsabilidades éticasProtección de personas y animalesLos autores declaran que para esta investigación no se han realizado experimentos en seres humanos ni en animales.
Confidencialidad de los datosLos autores declaran que en este artículo no aparecen datos de pacientes.
Derecho a la privacidad y consentimiento informadoLos autores declaran que en este artículo no aparecen datos de pacientes.
Conflicto de interesesLos autores declaran no tener ningún conflicto de intereses.




