CASOS CLÍNICOS
Papilomatosis juvenil difusa y bilateral de la mama
Diffuse bilateral juvenile papillomatosis of the breast
P. J. Grases
F. Tesserra
R. Riu1
Servicio de Anatomía Patológica y de Cirugía Estética, Plástica y Reparadora
1 Institut Universitari Dexeus. Barcelona
Correspondencia:
Pedro J. Grases
Institut Universitari Dexeus
Paseo Bonanova, 69
08017 Barcelona
e-mail: anat@idexeus.es
Fecha de recepción: 2/2/99
Aceptado para publicación: 19/4/99
INTRODUCCIÓN
Las lesiones de la mama que se encuentran durante la infancia y adolescencia destacan por ser poco frecuentes y predominantemente son fibroadenomas(1), lesiones epiteliales proliferativas de diverso tipo(2) y excepcionalmente lesiones malignas(3,4). La papilomatosis juvenil constituye una de las modalidades de proliferación epitelial que ha despertado mayor interés por su asociación con cáncer mamario(5,6).
Se presentan los hallazgos clínico-patológicos de una papilomatosis juvenil difusa bilateral en una adolescente de 14 años.
DESCRIPCIÓN DEL CASO
Paciente de 14 años, quien fue referida a nuestro Instituto por presentar un incremento asimétrico del volumen de ambas mamas. En una biopsia incisional realizada en un estudio previo (1994) se interpretaron los hallazgos histopatológicos como compatibles con un angioma. El examen físico reveló un incremento significativo del volumen mamario, siendo el de la mama izquierda el doble del de la derecha (Fig. 1). Se palpaban múltiples nódulos de consistencia semiblanda en ocasiones confluentes e indoloros que llegaban cerca de la piel debajo del complejo areola-pezón. El resto de la exploración no aportó datos de interés. El estudio ecográfico reveló numerosos nódulos con cambios quísticos. En vista de la afectación masiva del parénquima y de la repercusión psicológica que ello ocasionaba a la paciente, se realizó una mastectomía subcutánea bilateral con la colocación de prótesis de silicona. En el curso de la intervención se confirmó la multinodularidad del proceso y se constató la existencia de múltiples cavidades con contenido turbio y de apariencia mucinosa. Al concluir el primer mes del postoperatorio, la cicatrización y resultado estético se consideraron satisfactorios.
Figura 1. Incremento bilateral y asimétrico del volumen mamario.
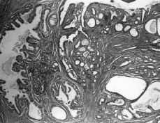
Macroscópicamente, cada una de las mamas era de configuración ovoide, de consistencia semiblanda y multinodular a la palpación. La mama derecha pesó 487 g y midió 16 x 12,5 x 5,2 cm en sus dimensiones máximas. La mama izquierda, de mayor volumen, pesó 848 g y midió 20 x 16 x 6,8 cm. La apariencia macroscópica era similar en uno y otro lado. La superficie externa era lobulada y sin restos aparentes de glándula normal. Al corte, la superficie era multinodular, alternando con cavidades de configuración variable conteniendo líquido turbio de color pardo rojizo con material mucinoso de color pardo grisáceo claro en ocasiones con tinte amarillento (Fig. 2). Los nódulos de forma esferoidal u ovoide median entre 0,3 y 4,5 cm y algunos aparecían como unidades confluentes. Después de fijación formólica se destacaron cavidades limitadas por una pared de grosor variable, repletas de un tejido con inequívoca apariencia papilar (Fig. 3). El tejido internodular era más bien escaso, de aspecto uniforme, de color gris rosado claro o blanquecino, brillante y de consistencia semiblanda. No se apreció ni necrosis, ni hemorragia, ni calcificaciones. Microscópicamente, los cambios estructurales eran similares en ambos lados. Predominaban los conductos galactóforos con grados variables de dilatación, desde la típica apariencia en «queso suizo» hasta macroquistes con más de 2 cm de diámetro (Fig. 4). La luz se encontraba ocupada por multitud de frondas papilares con ejes conjuntivos revestidos por una capa de células epiteliales cúbicas, ovoides o cilíndricas con escasa anisocariosis y mitosis aisladas. También se encontraron conductos con incremento del número de las capas de su revestimiento epitelial dando lugar a la formación de luces secundarias de configuración irregular y de distribución predominantemente periférica. No existían atipias citológicas. En algunos conductos dilatados se apreció metaplasia apocrina con pequeñas proyecciones papilares sin eje conjuntivo. Se visualizaron igualmente campos en los cuales llamó la atención una proliferación bifásica con rasgos similares a los que se aprecian en un fibroadenoma juvenil (Fig. 5). En ninguno de los múltiples planos de sección apreciamos glándula mamaria residual y el estroma entre las estructuras previamente descritas consistió en tejido conjuntivo con cantidades variables de colágeno en la matriz extracelular. El diagnóstico anatomopatológico definitivo fue de papilomatosis juvenil difusa y bilateral.
Figura 2. Superficie de corte de cada una de las piezas de resección. Nótese la ausencia de glándula mamaria indemne.
Figura 3. Detalle de la superficie de corte mostrando quistes y proyecciones papilares.
Figura 4. Aspecto microscópico a menor aumento con cambios parenquimatosos consistentes en quistes y proyecciones papilares (hematoxilina-eosina x 100).
Figura 5. Proliferación bifásica de arquitectura papilar (hematoxilina-eosina x 100).
DISCUSIÓN
Se trata de un caso excepcional de papilomatosis juvenil con rasgos que le confieren un interés especial. En primer lugar la afectación mamaria es masiva, bilateral y asimétrica. El crecimiento progresivo del volumen mamario de tipo multinodular fue interpretado clínicamente como una fibroadenomatosis juvenil y el diagnóstico de una biopsia incisional informada como compatible con angioma, debe atribuirse a un muestreo insuficiente con obtención de tejido en donde ha debido apreciarse abundante vascularización. Por otra parte, en nuestro caso predomina la proliferación papilar, mucho más evidente que los cambios microquísticos. Se trata de una lesión que alterna con cambios fibroadenomatoides de tipo juvenil.
La papilomatosis juvenil fue descrita por Rosen, et al.(5) como una entidad con características macro y microscópicas definidas aunque en la literatura se encuentran descripciones previas pero esporádicas(3,7,8-11). El propio Rosen, et al. dos años más tarde(6) ratificaron los criterios diagnósticos, presentando la casuística recopilada a partir de la creación de un registro en el Memorial Sloan-Kettering Cancer Center. Para esa fecha ya habían logrado recopilar 84 casos y tres años después(12) llegaron a ser 180. Ello les permitió, por una parte, afianzar los criterios anatomopatológicos para el diagnóstico de la entidad y, por la otra, ofrecer información sobre el riesgo de malignización o asociación con cáncer aunado a la importancia de valorar la historia familiar. En ese momento los quistes, la hiperplasia epitelial papilar (ambos con o sin cambios apocrinos), junto con a la papilomatosis esclerosante se consideraron los rasgos más relevantes. Con menos frecuencia encontraron ectasia, adenosis esclerosante, hiperplasia lobulillar o fibroadenomas. En dos tercios de los casos de su casuística existían atipias celulares moderadas o marcadas considerándolas limítrofes con cáncer en un 7%. Desde entonces se han descrito en la literatura casos aislados(13-15), exceptuando la contribución del grupo de Boloña en Italia con los datos de una serie de 29 casos que incluye pacientes de mayor edad(16,17). En la literatura sólo hemos encontrado dos casos con un tamaño similar al de la paciente que describimos, ambos están descritos por Farid, et al.(18) y las lesiones medían 10 y 14 cm de diámetro máximo cada una de ellas. Ambas fueron confundidas clínicamente con un tumor filodes. Cada uno de los casos mostró predominio del patrón quístico.
Hasta la fecha no se conocen los resultados finales del registro de papilomatosis juvenil con sede en el Memorial Sloan-Kettering Cancer Center. El propio Rosen y Oberman, en una monografía sobre tumores en la glándula mamaria no aportan información adicional sobre la materia fuera del seguimiento de 41 pacientes con papilomatosis juvenil durante más de 10 años, cuatro de los cuales desarrollaron cáncer y, un quinto caso, con un carcinoma secretor sincrónico en la mama contralateral(19,20). Pueden encontrarse aportaciones adicionales sobre esta rara entidad a propósito del valor de la aspiración con aguja fina(21), de la ecografía mamaria(22-24), de la mamografía(25), y de la resonancia magnética(26,27).
En el diagnóstico diferencial deben incluirse las hiperplasias papilares del epitelio ductal que tienen lugar en adolescentes o mujeres jóvenes que no cursan con cambios quísticos, así como tampoco se aprecia éstasis de la secreción, adenosis o metaplasia apocrina conspicua(2,19). Deben igualmente excluirse los papilomas únicos en niñas y adolescentes(11), los fibroadenomas juveniles múltiples y el tumor filodes.
Finalmente cabe destacar que el presente caso, por tratarse de un compromiso multinodular masivo de ambas mamas es muy posible que constituya una variante de la papilomatosis juvenil con los criterios establecidos por Rosen, et al.(5,6), máxime si se toma en cuenta lo florido de la proliferación papilar y la coexistencia de cambios fibroadenomatoides de tipo juvenil. El propio Rosen reconoce esta posibilidad al menos en lo que se refiere a la afectación masiva y la bilateralidad(12).
BIBLIOGRAFIA
01 Ashikari R, Farrow JH, O''Hara J. Fibroadenomas in the breast of juveniles. Surg Gynecol Obstet 1971;132:259-62.
02 Rosen PP. Papillary duct hyperplasia of the breast in children and young adults. Cancer 1985;56:1611-7.
03 Farrow JH, Ashikari R. Breast lesions in young girls. Surg Clin North Am 1969;49:261-9.
04 Bässler R. Pathologie der weiblichen Genital und Mammatumoren in Kindesalter un Adolessenz (resumen en inglés). Gynäkologe 1973;6:49-65.
05 Rosen PP, Cantrell B, Mullen DL, DePalo A. Juvenile papillomatosis (Swiss cheese disease) of the breast. Am J Surg Pathol 1980;4:3-12.
06 Rosen PP, Lyngholm B, Kinne DW, Beattie EJ Jr. Juvenile papillomatosis of the breast and family history of breast carcinoma. Cancer 1982;49:2591-5.
07 Diethrich EB, Hammond WW, Holtz F. Intraductal papillomatosis of the breaast. Report of a case in a 10 year old girl. Am J Surg 1966;112:80-2.
08 Sandison AT, Walker JC. Diseases of the adolescent female breast. A clinico-pathological study. Br J Surg 1968;55:443-8.
09 Haagensen CD. Diseases of the breast. 2.ª ed. Philadelphia: WB Saunders; 1971. p. 276-91.
10 Uriburu JV, Mosto AM, Gomez MA. Displasia proliferativa juvenil focalizada. Pren Med Argentina 1975;62:172-6.
11 Kiaer HW, Kiaer WW, Linell F, Jacobsen S. Extreme duct papillomatosis of the juvenile breast. Acta Path Microbiol Scand 1979;87(A):353-9.
12 Rosen PP, Holmes G, Lesser ML, Kinne DW, Beattie EJ. Juvenile papillomatosis and breast carcinoma. Cancer 1985;55: 1345-52.
13 Tokunaga M, Wakimoto J, Muramoto Y, Sato E, Toyohira O, Tsuchimochi A, Funasako S, Tachiwada W. Juvenile secretory carcinoma and juvenile papillomatosis (resumen en inglés). Jpn J Clin Oncol 1985;15:457-65.
14 Dehner LP. Pediatric surgical pathology. 2.ª ed. Baltimore: Williams and Wilkins; 1987. p. 114.
15 Schulz HJ, Guski H, Winzer KJ. Die intraduktale juvenile Papillomatosis der Mamma. Zentralbl Chir 1987;112:622-5.
16 Bazzocchi F, Santini D, Martinelli G, Piccaluga A, Taffurelli M, Grassigli A, Marrano D. Juvenile papillomatosis (epitheliosis) of the breast. A clinical and pathologic study of 13 cases. Am J Clin Pathol 1986;86:745-8.
17 Taffurelli M, Santini D, Martinelli G, Mazzoleni G, Rossati U, Giosa F, Grassigli A, Marrano D. Juvenile papillomatosis of the breast. A multidisciplinary study. Pathol Annu 1991;26(Parte 1):25-35.
18 Farid MK, Sarma HN, Ramesh K, Al Fituri O, Visveswara RN. Giant juvenil papillomatosis of the breast: Report of two cases. East Afr Med J 1997;74:116-7.
19 Rosen PP, Oberman HA. Tumors of the mammary gland. Atlas of tumor pathology. Third Series, Fasc 7. Washington DC.: Armed Forces Institute of Pathology 1993:275-7.
20 Rosen PP, Kimmel M. Juvenile papillomatosis of the breast. A follow-up study of 41 patients having biopsies before 1979. Am J Clin Pathol 1990;93:599-603.
21 Ostrzega N. Fine-needle aspiration cytology of juvenile papillomatosis of breast: A case report. Diagn Cytopathol 1993;9: 457-60.
22 Kersschot EAJ, Hermans ME, Pauwels C, Gildemyn G, Chabeau P, De Vos L, Van Hoorde P. Juvenile papillomatosis of the breast: Sonographic appearence. Radiology 1988;169:631-3.
23 Fontanges M, Barreau B, Dilhuydy MH, De Mascarel E. Aspects ecographiques de la papillomatose juvenile. J Echogr Med Ultrasons 1994;15:348-51.
24 Boisserie Lacroix M, Grelet P. Ecographie mammarire chez l''adolesente. J Ecogr Med Ultrasons 1995;16:254-61.
25 Grosso F, Ghigi G, Mignani S, Ginevri S, Salizzoni E, Canini R, Collina G. Mammographic features of juvenile papillomatosis. Observation on 4 cases (resumen en inglés). Radiol Med 1990;80:355-8.
26 Mussurakis S, Carleton PJ, Turnbull LW. MR imaging of juvenile papillomatosis of the breast. Br J Radiol 1996;69:867-70.
27 Boisserie Lacroix M, Sirben Pascaud C, Gorin G, Reverdy H, Grelet P, Brun G. IRM et pathologie du sein avant l''age de 30 ans. Sein 1996;6:24-32.






