INTRODUCCIÓN
Los tumores de los cordones sexuales suponen sólo un 8% de todas las neoplasias ováricas1. Se dividen a su vez en tumores de la granulosa-teca, de Sertoli-Leydig, ginandoblastomas e inclasificados; dentro de estos últimos se incluyen los de diferenciación anular (SCTAT). Aproximadamente, el 35% de los pacientes con SCTAT están asociados al síndrome de Peutz-Jeghers (PJS)2,3. Este síndrome, poco frecuente, es de transmisión autosómica dominante y se caracteriza por la presencia de pólipos hamartomatosos, pigmentación mucocutánea y, ocasionalmente, por la aparición de carcinomas del tracto gastrointestinal, mama o una mínima variante del adenocarcinoma de cérvix (adenoma maligno)4. Los SCTAT asociados a PJS son generalmente microscópicos; dos terceras partes son bilaterales o multicéntricos, y suelen tener un comportamiento benigno. Los SCTAT no asociados al PJS son casi siempre masas sólidas palpables, unilaterales y en un 20% de los casos pueden diseminar por vía linfática5. Presentamos un SCTAT ovárico con metástasis microscópica paraaórtica, libre de enfermedad 3 años después de una cirugía conservadora y ausencia de terapia adyuvante.
CASO CLINICO
En octubre de 2000 atendimos en consulta a una mujer de 15 años, de raza caucasiana, nulípara, que acudía por amenorrea primaria. La exploración física indicaba un estadio II-III de Tanner de desarrollo sexual, y una masa pélvica. Mediante ecografía transvaginal se visualizaba en zona anexial derecha, una masa compleja de 6 x 5 cm, así como un ovario izquierdo y un útero normales, y ausencia de líquido libre intraperitoneal. La gonadotropina coriónica humana en sangre, α fetroproteína, antígeno carcinoembrionario, CA 19.9 y CA 125, estaban todos dentro de los límites de normalidad. Los valores séricos hormonales revelaron una folitropina (FSH) de 0,1 mU/ml, una lutropina (LH) de 0,34 mU/ml y un estradiol de 64 μg/ml. Un mes más tarde realizamos una ooforectomía derecha mediante incisión de Pfannestiel. Encontramos una tumoración ovárica derecha de 6 cm, sólida, blanquecina y bien delimitada, sin otros hallazgos de interés.
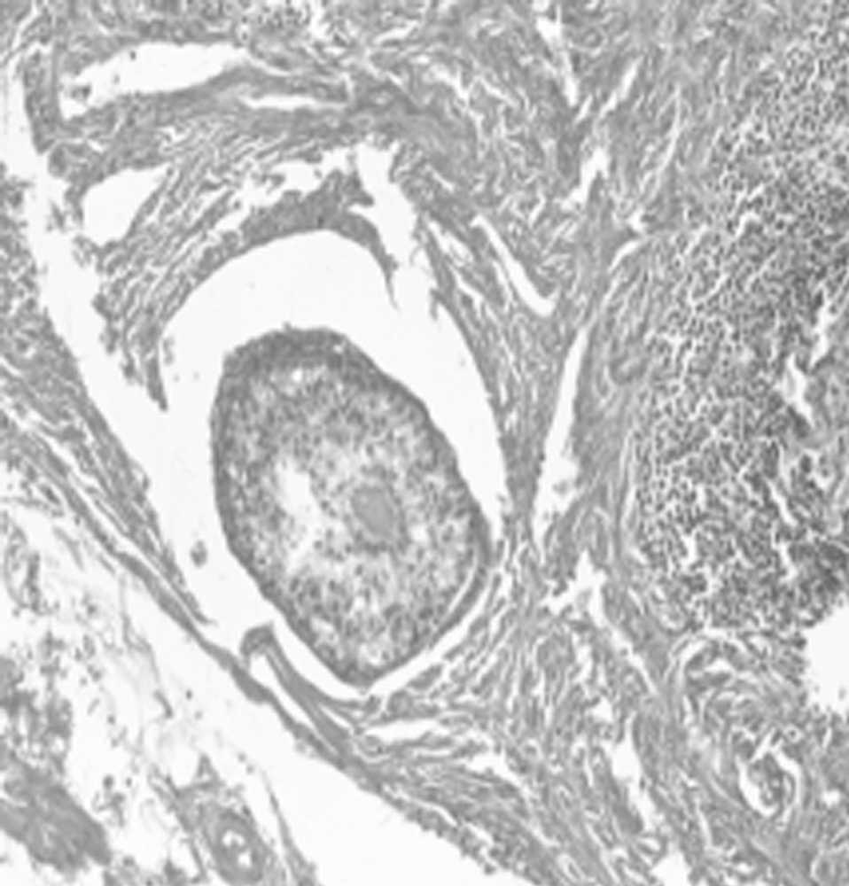
El informe anatomopatológico definitivo informaba de un ovario de 88 g, blanquecino, brillante y de superficie lisa. Al corte se describía como una masa sólida, constituida por tejido pastoso amarillento con áreas de hemorragia, cubierta por una cápsula de 1-2 mm de grosor. El tumor estaba constituido por una proliferación de células de distinto tamaño y citoplasma claro, organizadas en racimos. Dentro de la células se podían ver estructuras anulares con material eosinófilo parecidas a la membrana basal. Estas estructuras a su vez estaban rodeadas de células cilíndricas con núcleo pálido. Los nidos neoplásicos celulares estaban claramente diferenciados del estroma ovárico. Sin embargo, pudimos observar células en cadena dentro del mismo estroma. El tumor estaba bien encapsulado dentro de una cápsula fibrótica, en algunas áreas claramente preservado del parénquima ovárico. No se evidenció invasión capsular. Los análisis inmunohistoquímicos revelaron intensa positividad para la α-inhibina (fig. 1), positividad moderada para la vimentina y negativa para la queratina S-2.
Figura 1.A: tumor con hematoxilina-eosina. B: tumor con inhibina.
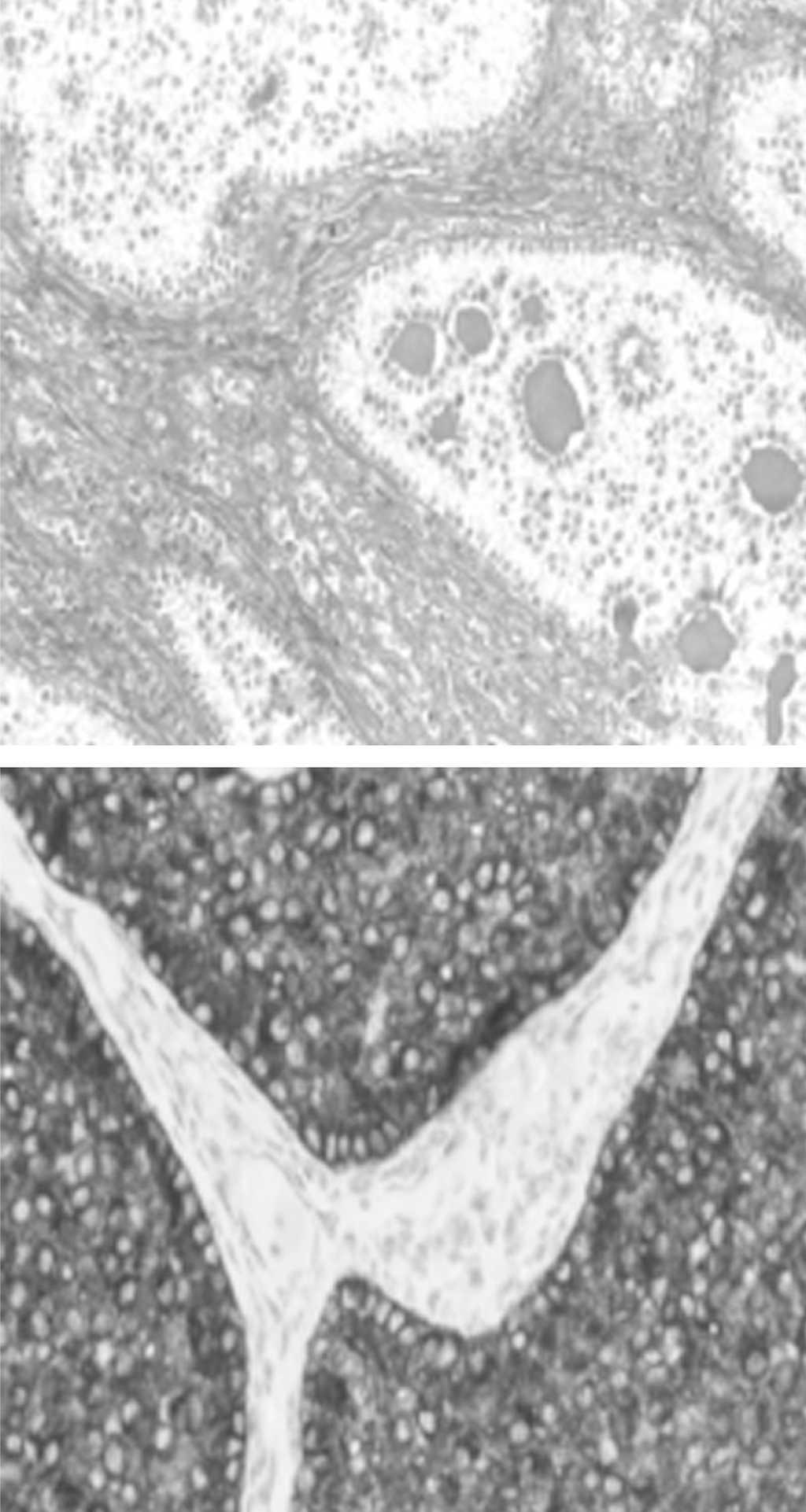
Tres meses después de su presentación se llevó a cabo un estadificación por laparoscopia para obtener el diagnóstico anatomopatológico final, consistente en lavados peritoneales, omentectomía total, y linfadenectomías pélvica y paraaórtica derechas. Se aislaron 7 ganglios obturadores y 6 paraaórticos derechos; todos menos uno resultaron ser reactivos.
En uno de los ganglios paraaórticos se observó una micrometástasis subcapsular menor de 2 mm de células de los cordones sexuales con diferenciación anular (fig. 2). Los lavados y el epiplón fueron ambos negativos.
Figura 2. Metástasis subcapsular de ganglio paraaórtico.
La paciente no recibió terapia adyuvante, y 2 meses más tarde tuvo su primer período menstrual. En el momento actual está viva y sin evidencia de enfermedad. El seguimiento que se llevó a cabo consistió en exploraciones pélvicas y valores séricos de inhibina cada 3-4 meses los primeros dos años, y cada 6 meses desde entonces.
DISCUSION
Éste es un caso de SCTAT no asociado al síndrome de Peutz-Jegher, manifestado clínicamente por amenorrea, masa sólida unilateral y metástasis subcapsular de un ganglio paraaórtico, cuadrando perfectamente dentro del subgrupo de SCAT con potencial maligno. El tratamiento del SCAT es principalmente quirúrgico y cuando se producen recurrencias son a menudo tardías6. El tratamiento de las recidivas sigue siendo quirúrgico y en la mayoría de los casos se sigue por un largo intervalo de remisión.
Nosotros encontramos dos dilemas a la hora de decidir el tratamiento, el primero ante el diagnóstico accidental postoperatorio del SCTAT. En ese momento teníamos que decidir entre reoperar a la paciente y estadiar correctamente el tumor o bien simplemente observar. Dado que se trataba de un SCTAT no asociado al síndrome de Peutz-Jegher, y sabiendo que ese tipo de tumores diseminan por vía linfática en un 20% de los casos, optamos por llevar a cabo una cirugía de estadificación. Nuestro segundo dilema surgió cuando la metástasis subcapsular linfática fue diagnosticada. Dada la edad de la paciente, y sabiendo que este tipo de tumor está muy relacionado con los tumores de las células de la granulosa, y que son poco sensibles a la quimioterapia y a la radioterapia7,8, optamos por la observación. Hay 2 marcadores tumorales para el seguimiento de los tumores de las células de la granulosa, inhibina9,10 y factor inhibidor mülleriano11, que pueden usarse en los STCAT. En nuestro caso no contábamos con información preoperatoria de estos marcadores, pero usamos la inhibina para el seguimiento postoperatorio de la paciente.
Las pacientes con SCTAT del ovario deberían al menos ser estadiadas con linfadenectomía pélvica y paraaórtica unilaterales, y aquellas con metástasis microscópicas ser tratadas con cirugía conservadora y observación posterior.
Correspondencia:
Dr. R. Sáinz de la Cuesta.
Departamento de Obstetricia y Ginecología.
Consulta 33. Fundación Jiménez Díaz.
Avda. de los Reyes Católicos, 2. 28040 Madrid. España.
Correo electrónico: rsainz@fjd.es
Fecha de recepción: 29/11/05.
Aceptado para su publicación: 3/1/06.



