INTRODUCCIÓN
La existencia de tejido óseo maduro en cavidad uterina fue descrita por primera vez en 1901 por el patólogo alemán Mayer1. Desde entonces y hasta la actualidad, se han descrito unos 150 casos en todo el mundo, lo que corrobora la rareza de esta entidad como causa de esterilidad. En la bibliografía internacional se encuentran pocas citas bibliográficas sobre la incidencia de esta enfermedad, que se estima en 3 de cada 10.000 mujeres (0,03%)2. La clínica que suele acompañarla es variable, y se han descrito alteraciones menstruales, sangrados anormales, dolor pélvico, leucorrea o alteración de la fertilidad2. El legrado uterino o la biopsia a ciegas, hoy técnicas en desuso, eran los medios diagnósticos utilizados en el pasado cuando se sospechaba esta afección. Hoy día, la ecografía vaginal y la histeroscopia permiten una aproximación a su diagnóstico de una forma certera, si bien la confirmación del mismo sólo se obtendrá tras el examen histopatológico. El abordaje terapéutico actualmente se basa en la extracción del material óseo mediante histeroscopia, que a su vez puede realizarse con guía ecográfica o laparoscópica2. Tras el tratamiento quirúrgico la sintomatología acompañante en estos casos desaparece en la mayoría de las pacientes, mejorando notablemente la fertilidad3.
CASO CLÍNICO
Paciente de 31 años que acudió a nuestra consulta de reproducción humana en junio de 1997 por esterilidad secundaria de 2 años de evolución. Los antecedentes familiares no eran de interés. Entre los antecedentes personales tan sólo cabría destacar varios episodios de cólicos nefríticos en la segunda década de su vida. Estos episodios se resolvieron con tratamiento sintomático y no volvieron a suceder posteriormente. Fumadora de 15 cigarrillos/día. En cuanto a los antecedentes ginecoobstétricos, sus ciclos menstruales eran irregulares (tipo menstrual: 5-6/28-40 días) y había tenido dos gestaciones previas que terminaron en aborto en la semana 9 y 11 de amenorrea. En ambas ocasiones se realizó un legrado uterino, sin complicaciones y sin presentar cambios posteriores en el patrón menstrual.
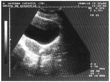
Se le realizó estudio protocolizado de esterilidad, destacando el hallazgo al realizar una ecografía ginecológica, de una formación hiperecogénica compatible con calcificación grosera en el istmo uterino que parecía infiltrar el miometrio (fig. 1). Se solicitó una histerosalpingografía que no reveló enfermedad en la cavidad uterina ni en las trompas de Falopio. Se le realizó una histeroscopia diagnóstica con anestesia local, visualizándose durante la misma placas calcificadas en la región del istmo uterino que impedían acceder a la cavidad uterina (fig. 2).
Figura 1. Imagen ecográfica.
Figura 2. Imagen histeroscópica.
Se programó una histeroscopia quirúrgica que se realizó en noviembre de 1998 bajo anestesia locorregional. Se utilizó un resectoscopio de Storz de 8 mm de diámetro, con una lente Hopkins II de 12o, un electrodo de gancho con corriente monopolar pura a 100 W de potencia, y el medio de distensión empleado fue glicina al 1,5%. El procedimiento quirúrgico de extirpación de las placas óseas situadas en el istmo uterino se llevó a cabo bajo control ecográfico (ecógrafo Kranzbühler Sonofritz, sonda abdominal 35C60 de 3,5 MHz). Tras la extirpación del tejido ectópico se consiguió acceder a la cavidad uterina y comprobar su normalidad. Durante la intervención no hubo complicaciones, y tras ésta, se colocó en la cavidad uterina una sonda de Foley para evitar sinequias posquirúrgicas y se administraron antibióticos profilácticos.
A las 48 h de la intervención la paciente fue dada de alta en estado satisfactorio, con tratamiento de reposición hormonal con estrógenos conjugados equinos (1,2 g/día por vía oral) durante 60 días, asociándosele acetato de medroxiprogesterona (10 mg/día por vía oral) los últimos 10 días.
Se obtuvieron fragmentos de diferentes tamaños, blanquecinos, de consistencia dura, que fueron remitidos para estudio anatomopatológico, que confirmó la presencia de trabéculas óseas neoformadas, actividad osteoblástica y fibrosis.
A los 3 meses de la intervención se le realizó ecografía de control que fue normal. Se indicó una histeroscopia diagnóstica que no se llegó a realizar porque la paciente quedó gestante de forma espontánea. Esta gestación terminó en aborto diferido en la semana 11, realizándose legrado evacuador aspirativo. No hubo complicaciones posteriores, y en noviembre de 1999, a los 4 meses del último legrado la paciente acudió a nuestra consulta por estar nuevamente embarazada de forma espontánea. Esta gestación tuvo un curso normal y finalizó con parto eutócico de inicio espontáneo a las 41 semanas de gestación, naciendo una niña de 3.425 g con test de Apgar a los 5 min de 10, y pH en arteria umbilical de 7,27 y en vena umbilical de 7,36. El alumbramiento fue espontáneo y completo, y no presentó complicaciones en el puerperio.
DISCUSIÓN
La metaplasia ósea de endometrio es un hallazgo extremadamente raro, y su origen es desconocido. Se trata de la presencia de tejido óseo maduro en una localización anormal, en este caso en el endometrio. Muchas teorías intentan aclarar su etiopatogenia: en 1884 Virchow atribuyó su origen a la diferenciación de fibroblastos en osteoblastos2, y Brocq y Sluczewski1 propusieron el estímulo estrogénico continuado como el factor patogénico más importante. En relación con esta teoría, podemos argumentar que no se ha visto un incremento de los casos de metaplasia ósea publicados a pesar de la amplia extensión del uso de los anticonceptivos orales4,5 y otros tratamientos de reposición hormonal en los que predominen los estrógenos. No hemos encontrado referencias bibliográficas acerca de una mayor incidencia en pacientes con patrón menstrual de oligomenorrea, como el síndrome de ovarios poliquísticos, sino que la mayoría de los casos se describen en mujeres en edad reproductiva con el antecedente de una o más pérdidas gestacionales. También se ha relacionado con alteraciones en el metabolismo del calcio y del fósforo, o con el síndrome de leche y alcalinos. En nuestro caso, ante la ausencia de nuevos episodios de litiasis renal y a que en la anamnesis no se evidenciaron datos que sugirieran la posibilidad de alteraciones en el metabolismo del calcio y del fósforo, estos cuadros no fueron investigados.
La implantación directa de tejido fetal y su posterior calcificación también se ha propuesto como mecanismo etiopatogénico3,5. Al revisar los casos publicados con presencia de tejido óseo ectópico en endometrio, más del 80% de las pacientes tienen como antecedente al menos una gestación previa (generalmente abortos o partos inmaduros). Es raro encontrar esta enfermedad en mujeres nuligrávidas6. La mayoría de los casos publicados sitúan el origen del tejido óseo ectópico en la retención de huesos fetales tras un aborto6-8. Por lo general, se trata de gestaciones que al menos alcanzaron las 12 semanas, pues antes no se inicia la osificación endocondral, y en los casos en que el aborto ocurrió de forma temprana o no hay antecedente de pérdida gestacional previa, la teoría etiopatogénica que más se acepta, ya que sitúa el origen del tejido óseo ectópico en la metaplasia de las células maduras del estroma endometrial en tejido óseo como respuesta a la destrucción tisular y la inflamación crónica prolongada6,9. Se definiría, por tanto, la metaplasia como una adaptación frente a nuevas condiciones ambientales, y se podría considerar un mecanismo de defensa. Un argumento en contra de esta teoría es que no se aprecia mayor incidencia de esta enfermedad en mujeres usuarias de dispositivo intrauterino (DIU), en las que el cambio de las condiciones del ambiente endocavitario debería inducir una respuesta inflamatoria en el endometrio que podría ocasionar la metaplasia. En el caso presentado encontramos el antecedente de dos abortos previos tempranos, en las 9 y 11 semanas de gestación, en los que no se encontró evidencia de formación ósea fetal. La teoría de la calcificación anómala y la osificación del tejido fetal retenido3 es rara como patogenia de este caso; si así fuera, se podría haber encontrado tejido de estas características también en el fundus uterino y probablemente el patrón menstrual se hubiera visto alterado. Nos inclinamos a pensar que el origen del tejido óseo ectópico encontrado en el útero de esta paciente podría ser secundario a la reparación del tejido asociada con cambios metaplásicos ocurrida tras la destrucción tisular y el proceso inflamatorio que supone un aborto seguido de legrado. La presencia de tejido óseo exclusivamente en el istmo uterino, sin llegar a obliterar el canal cervical, podría explicar la ausencia de alteraciones menstruales y de dolor pélvico en esta paciente. Sin embargo, sí encontramos un factor que explique la alteración de la fertilidad, demostrado por su recuperación inmediata tras la resolución histeroscópica del proceso. El mecanismo patogénico para la esterilidad secundaria asociada en esta paciente podría haber sido el siguiente: los fragmentos óseos habrían estado actuando como un cuerpo extraño en el útero, alterando el ambiente endometrial, incrementando la producción de prostaglandinas, provocando una endometritis secundaria y dificultando la implantación3,10. En nuestra paciente no contamos con biopsia endometrial específica de la zona del fondo uterino, que nos podría haber ilustrado esta hipótesis.
La revisión de este caso permite concluir que ante el hallazgo en una exploración ecográfica de una imagen sugestiva de calcificación en la cavidad uterina, a pesar de un informe de histerosalpingografía normal, no debemos dar por finalizado el estudio sin una histeroscopia diagnóstica, técnica de elección para el diagnóstico de cualquier enfermedad endocavitaria, y en especial de la metaplasia ósea de endometrio, ya que permite visualizar el tejido anómalo implantado en el endometrio y la confirmación histopatológica del proceso, al poder realizar biopsias dirigidas incluso de pequeños implantes de tejido heterotópico.
Una vez más se demuestra que la histeroscopia es un método rápido y seguro para el estudio de la cavidad endometrial, ofreciendo mejor información que la histerosalpingografía11,12. Se podría, por tanto, proponer que no debería darse por concluido un estudio de esterilidad/infertilidad sin una histeroscopia, al menos en pacientes con antecedentes de abortos previos.
Respecto al tratamiento, si bien tradicionalmente se había utilizado el legrado a ciegas e incluso la histerectomía, hoy día las técnicas de histeroscopia quirúrgica permiten realizar un abordaje menos agresivo y más exacto del problema13-15. Por otra parte, creemos que el control ecográfico de la resección histeroscópica es un método poco cruento y bastante preciso que permite la visualización tanto de la cavidad abdominal como de la cavidad uterina, válido como alternativa al control laparoscópico de la resección propuesto por otros autores2.
La rápida restauración de la fertilidad en esta paciente confirma el buen pronóstico de esta enfermedad como factor causal de esterilidad, una vez realizado un correcto diagnóstico y tratamiento. Creemos importante complementar el tratamiento quirúrgico con un tratamiento hormonal de choque que favorezca la reepitelización de la cavidad uterina, para así evitar la aparición de sinequias y conseguir la total recuperación funcional del endometrio16.



