INTRODUCCION
La mastopatía diabética es una complicación poco frecuente y conocida de la diabetes mellitus (DM) que se desarrolla principalmente en pacientes con DM tipo 1 de larga evolución (alrededor de 20 años), aunque también hay casos descritos en pacientes con DM tipo 2 en tratamiento con insulina1. Por norma general, suelen aparecer en pacientes entre 30 y 60 años de edad, aunque hay casos publicados de pacientes mayores de 80 años2,3.
Fue descrita por primera vez por Soler, quien publicó en 1984 12 casos de mujeres con nódulos mamarios fibróticos y DM tipo 12.
Es más frecuente que aparezca en pacientes que presentan otras complicaciones típicas de la DM, como nefropatía o neuropatía y, principalmente, retinopatía3. Hay descritos casos de nódulos de mastopatía diabética bilaterales y múltiples, y casos de recurrencia de éstos tras la exéresis quirúrgica, aunque en la mayoría de las pacientes son lesiones retroareolares, únicas, unilaterales, de consistencia dura, mal delimitadas, móviles, en ocasiones dolorosas y sin signos de inflamación. Por todas estas características, son difícilmente distinguibles de los nódulos malignos.
La mamografía y la ecografía mamaria son inespecíficas sin encontrar signos característicos de lesión maligna. En la ecografía suelen apreciarse sombras acústicas y en la mamografía un aumento de la densidad del parénquima, sin discernir claramente el nódulo palpable. La punción aspirada con aguja fina (PAAF) suele resultar como muestra insuficiente, no valorable por el alto grado de fibrosis, por lo que se recomienda core-biopsia para el diagnóstico6.
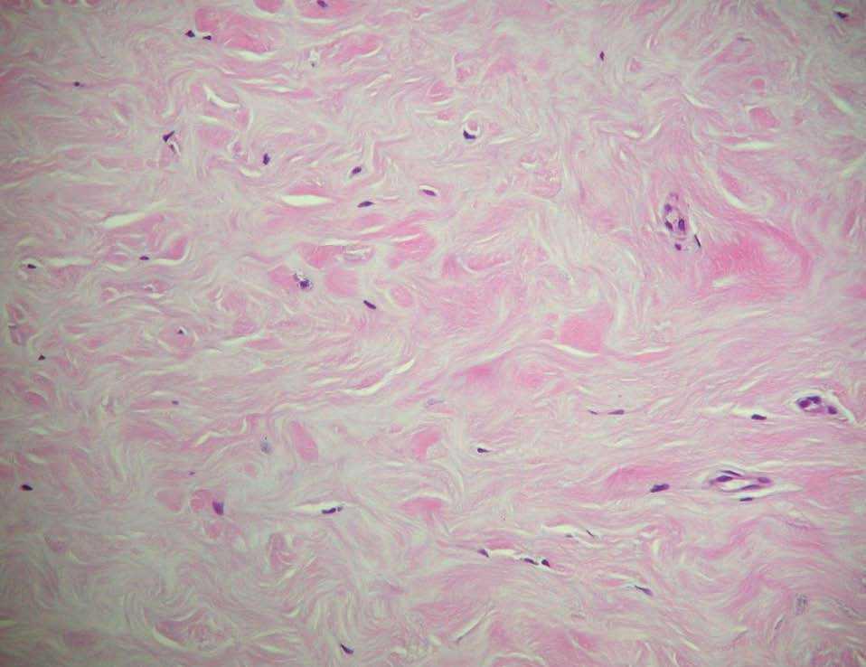
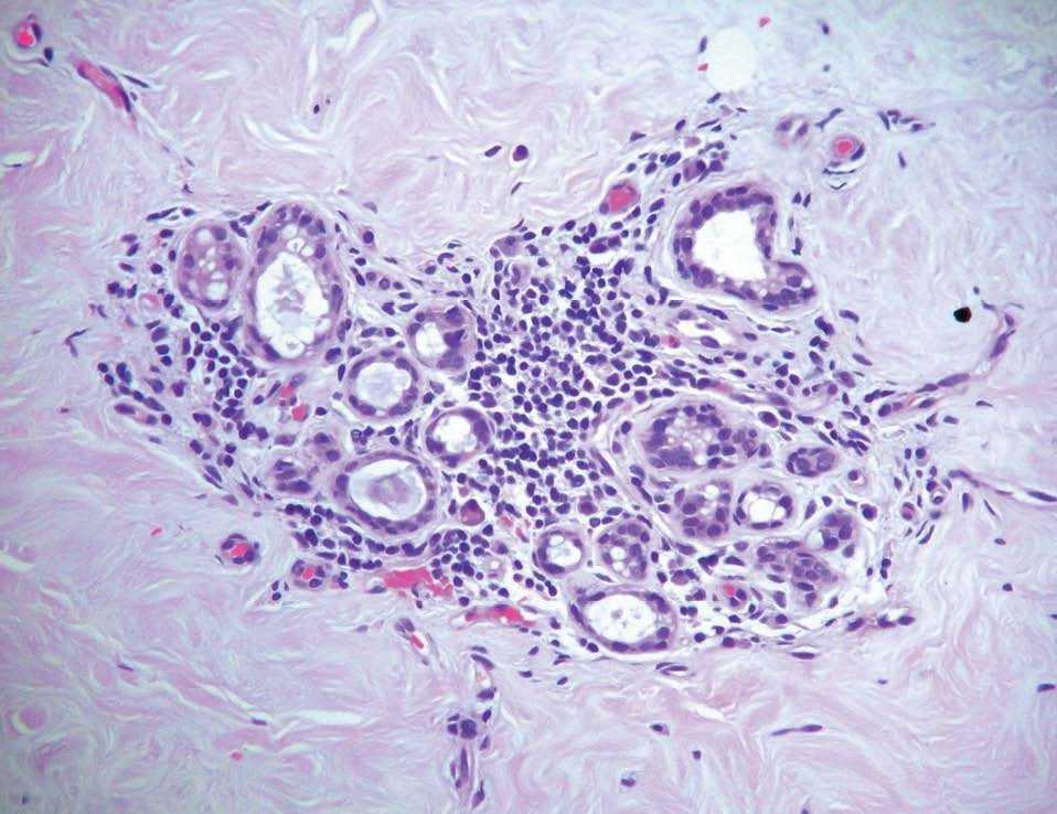
Histológicamente, se trata de una fibrosis densa de la estroma y una infiltración linfocitaria (principalmente de linfocitos B) alrededor de los vasos sanguíneos, ductus y lóbulos mamarios (figs. 1 y 2).
Figura 1. Mastopatía diabética.
Figura 2. Mastopatía diabética.
La mastopatía diabética no es una lesión premaligna ni las pacientes con mastopatía diabética tienen mayor predisposición al desarrollo de lesiones malignas7 de mama, por lo que es importante realizar un control mediante core-biopsia de las lesiones nueva aparición; no es necesario ni recomendable la exéresis de los nódulos8.
CASO CLINICO
Presentamos el caso de una mujer de 32 años, que consultó en el servicio de urgencias por notar un nódulo doloroso en la mama izquierda desde hacía una semana.
Como antecendentes destacaba únicamente una DM tipo 1 diagnosticada a los 15 años en el contexto de una cetoacidosis diabética, con retinopatía diabética no proliferativa leve, sin nefropatía ni neuropatía; apendicectomizada y amigdalectomizada; nuligesta.
A la exploración se palpaba en la mama izquierda un nódulo retroareolar de 4 cm, móvil, mal delimitado, duro e irregular, sin signos inflamatorios ni telorrea. El resto de la exploración mamaria sin hallazgos significativos.
En la ecografía y la mamografía se detectaron mamas muy densas sin signos de malignidad.
Ante la discordancia entre la exploración y las pruebas de imagen se realizó PAAF, cuyo resultado mostró una inflamación crónica inespecífica, negativa para células malignas. Se realizó posteriormente una biopsia percutánea que encontró una notable fibrosis colágena de la estroma, con ocasionales fibroblastos prominentes y un infiltrado inflamatorio crónico, en algunas casos de localización perivascular y fundamentalmente de localización periductal. Los ductus mostraban una hialinización de la estroma. No se observaban signos de malignidad. Todos estos hallazgos eran compatibles con una mastopatía diabética.
Se informó a la paciente del proceso; no parecía indicado realizar una exéresis de la tumoración, y se le recomendó que efectuara seguimientos periódicos.
Hemos mantenido el seguimiento de la paciente durante 3 años, en cuyo período la mujer ha presentado 2 gestaciones. Realizamos una biopsia al inicio de la primera gestación y no encontramos cambios histológicos. Clínicamente, el nódulo permaneció estable durante las gestaciones, aunque más difícilmente palpable por la hipertrofia mamaria fisiológica asociada con el embarazo.
DISCUSION
La verdadera incidencia de la mastopatía diabética es desconocida, aunque supone menos de un 1% de las lesiones benignas de mama.
Destacamos, en primer lugar, que se trata de un proceso benigno, sin importancia en sí mismo, salvo la ansiedad que puede despertar en la mujer que la padece por la rápida aparición de los nódulos y su crecimiento, lo que le lleva a pensar que se trata de un proceso maligno.
Por otro lado, la exploración mamaria difícilmente difiere de los nódulos malignos, por lo que la anamnesis y la edad de la paciente pueden ser determinantes, ya que pueden orientar el diagnóstico.
Las pruebas de imagen (mamografía y ecografía mamaria) son inespecíficas, no encuentran signos de malignidad, lo que podría considerarse como un criterio de benignidad, aunque sin excluir en ningún caso la necesidad de realizar una biopsia.
Apenas se han publicado poco más de un centenar de casos y en ninguno se ha descrito malignización del proceso. Así, dado que no parece aumentada la incidencia de cáncer y las lesiones de mastopatía diabética no son consideradas lesiones premalignas, el seguimiento mediante exploración y pruebas de imagen parece ser suficiente para el control de las pacientes, evitando la exéresis quirúrgica.
No encontramos en la bibliografía ningún caso documentado de mastopatía diabética y gestación.
Fecha de recepción: 23/8/05
Aceptado para su publicación: 28/9/05
Correspondencia:
Dr. P.A. Rodríguez-Miñón.
Fundación Hospital Alcorcón.
Budapest, 1. 28922 Alarcón. Madrid. España.



