INTRODUCCIÓN
La aparición de múltiples tumores en una misma persona es un hecho bien conocido. Pero la aparición de 2 neoplasias sincrónicas (diagnosticadas en un período de 6 meses) es bastante infrecuente1.
En la bibliografía se han descrito casos de carcinoma de mama y una neoplasia hematológica sincrónica. Las más frecuentes son: leucemia linfoide crónica, linfoma linfocítico de células pequeñas. También se ha descrito un caso de linfoma del manto2 y un linfoma del centro folicular3. En la bibliografía consultada no se ha descrito ningún caso como el que se comunica, en el que se asocie simultáneamente un carcinoma de mama y un linfoma no hodgkiniano T periférico.
CASO CLÍNICO
Paciente de 59 años de edad, con antecedentes personales de hipertensión arterial e hipotiroidismo en tratamiento sustitutivo, y antecedente ginecológico de menarquia a los 14 años, 5 partos eutócicos, primer hijo a los 21 años, menopausia quirúrgica a los 52 años (HTDA por útero polimiomatoso). Remitida a nuestro servicio desde el programa de detección precoz del cáncer de mama por presentar mamografía sospechosa de malignidad en mama derecha para completar estudio y tratamiento.
Exploración clínica: mama izquierda normal; mama derecha con pezón y areola normales; no se palparon nódulos definidos; adenopatías móviles entre 1 y 2 cm en el nivel I axilar; no se palpaban adenopatías supraclaviculares ni laterocervicales.
Como exploraciones complementarias se practicaron:
Mamografía de cribado: imagen estelar en cuadrante superior izquierdo (CSI) de mama derecha (fig. 1).
Figura 1. Mamografía de mama derecha. Imagen estelar en CSI de mama derecha.
Ecografía de mama derecha: en CSI se observa una imagen nodular heterogénea, de bordes irregulares de 12 mm de diámetro, con atenuación posterior. En la axila se observan 3 imágenes nodulares hipoecoicas compatibles con adenopatías axilares.
Citología PAAF ecoguiada de mama derecha: positiva para células tumorales malignas.
Marcadores tumorales: CEA, 16,4 ng/ml (1-5); CA 15.3, 53,3 U/ml (0-35).
Estudio de extensión para el carcinoma de mama: negativo.
Se practicó tumorectomía oncológica previa localización radiológica de mama derecha con estudio intraoperatorio, encontrándose múltiples adenopatías axilares de 1,5-2 cm de diámetro. Se envía una adenopatía para estudio intraoperatorio difiriéndose el diagnóstico hasta inclusión en parafina para descartar linfoma u otra etiología. Con el diagnóstico histológico intraoperatorio, de carcinoma ductal infiltrante y tumorectomía con márgenes libres, se practica linfadenectomía axilar completa.
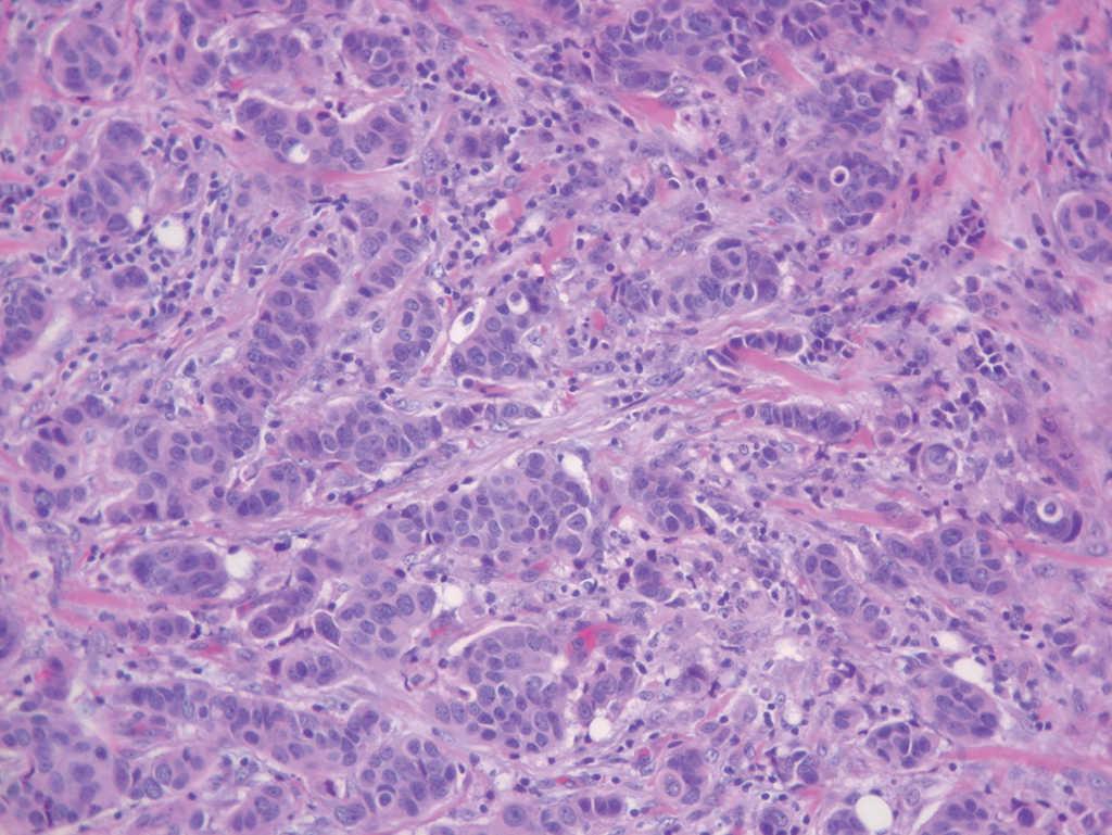
Informe anatomopatológico definitivo: macroscópicamente se observaba una tumoración espiculada de 0,8 cm, de consistencia dura y color blanquecino; microscópicamente se correspondía con una proliferación neoplásica de estirpe epitelial que se dispone formando nidos de pequeño tamaño infiltrando la estroma mamaria subyacente (fig. 2). En relación con el tumor, se ha observado componente intraductal de tipo comedocarcinoma, de alto grado citológico.
Figura 2. Microfotografía de un corte histológico de la pieza quirúrgica. Carcinoma ductal infiltrante.
Inmunohistoquímica:
Receptores de estrógenos: positivo (+).
Receptores de progesterona: negativo.
P-53: positivo (sobreexpresión en el 30% de las células tumorales).
C-erb-2: positivo (+++).
Ki-67: 20%.
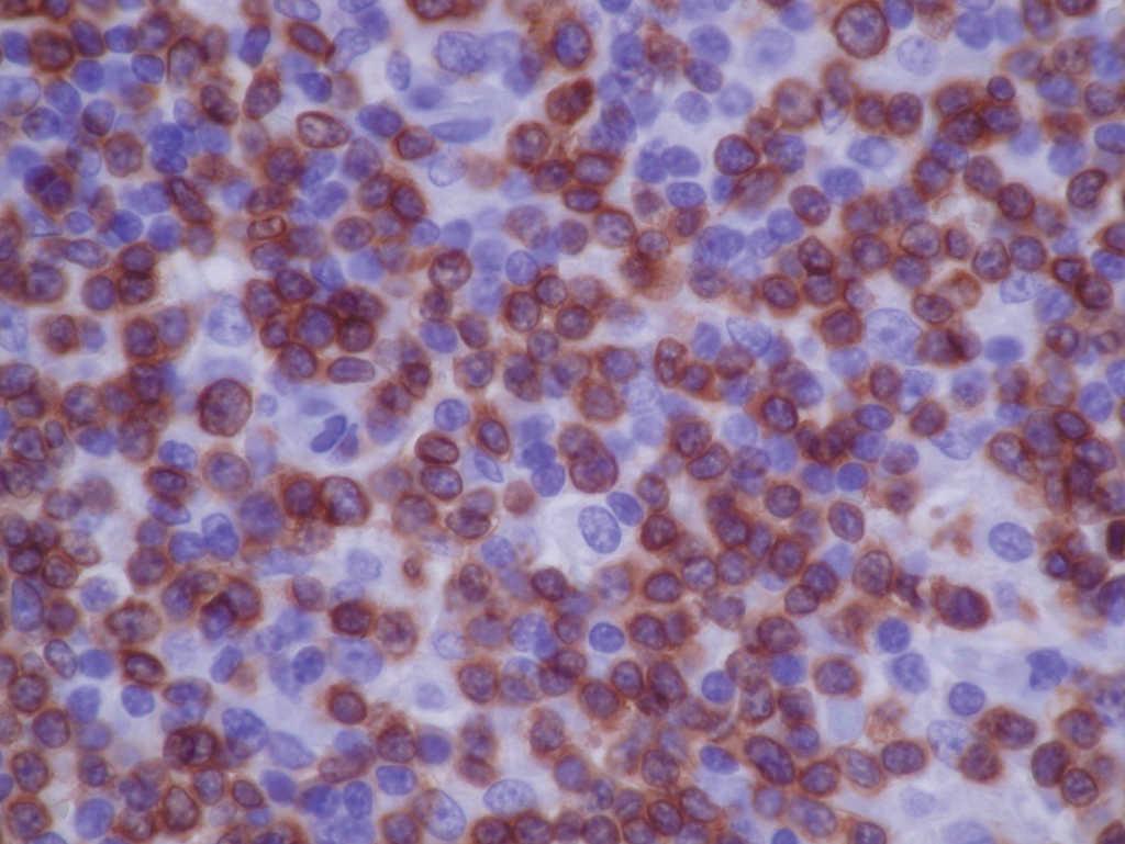
Macroscópicamente, los ganglios axilares estaban aumentados de tamaño. Microscópicamente, la arquitectura ganglionar se encontraba totalmente borrada a expensas de una proliferación monomorfa de células de estirpe linfoide. Se observaban abundantes figuras de mitosis. Destacaba la presencia de abundantes vasos con endotelios muy prominentes (fig. 3). Con técnicas de inmunohistoquímica las células neoplásicas expresaban CD3 y PAN T (fig. 4) siendo negativas para CD20, CD15, CD30 y CD10. El índice de proliferación tumoral medido con Ki-67 fue de aproximadamente el 30%. Posteriormente, se demostró reordenamiento TCR gamma mediante técnica de PCR, confirmando el diagnóstico de linfoma no hodgkiniano T periférico.
Figura 3. Microfotografía de un corte histológico con tinción hematoxilina-eosina. Proliferación linfoide atípica monomorfa con red bascular prominente.
Figura 4. Técnica de inmunohistoquímica en un ganglio linfático. Positividad de células linfoides tumorales para CD3, marcador de linfocitos.
El carcinoma ductal descrito se estratifica como pT1bG2, pN0 (0/27) Mo, estadio I de la clasificación TNM.
El postoperatorio cursa con linfocele y dehiscencia de sutura axilar que obliga a resutura quirúrgica.
Se realizó una tomografía axial computarizada (TAC), en la que se observaron adenopatías en cadenas ganglionares retroauriculares e inguinales y nódulos en región posterior de la costilla 12.
Debido a la agresividad de este tipo de linfoma, se ha dado prioridad al tratamiento de la neoplasia hematológica. La paciente fue sometida a 6 ciclos de quimioterapia tipo CHOP (ciclofosfamida, adriamicina, vincristina, prednisona). Este tratamiento se utilizó como tratamiento del linfoma no hodgkiniano y del carcinoma de mama. Se realizó TAC para valorar la respuesta al tratamiento, en la que se evidenció progresión del linfoma no hodgkiniano (aparición de nódulos pulmonares en ambos lóbulos inferiores no existentes en el estudio previo), por lo que la paciente está recibiendo tratamiento quimioterápico de segunda línea con protocolo ESHAP (etopósido, cisplatino, citarabina). Una vez finalizado este tratamiento, recibirá tratamiento para su cáncer de mama con radioterapia y hormonoterapia.
DISCUSIÓN
La aparición de 2 tumores sincrónicos es un hecho relativamente raro. Se han sugerido varios factores que pueden contribuir a que aparezcan tumores sincrónicos1:
Susceptibilidad genética.
Edad avanzada de los pacientes.
Alteración en la inmunidad celular.
Exposición a agentes cancerígenos4.
Es importante que el patólogo conozca la posibilidad de que existan simultáneamente 2 neoplasias en el mismo acto quirúrgico, para no retrasar el diagnóstico, y por las implicaciones terapéuticas que puedan derivarse por la naturaleza de la segunda neoplasia.
La rareza de este caso reside en la aparición de 2 tumores sincrónicos (carcinoma ductal infiltrante de mama y un linfoma no hodgkiniano T periférico en los ganglios axilares ipsilaterales), asociación extremadamente infrecuente, y más aún si se añade el hecho de que la paciente no tiene antecedente de ningún tratamiento antineoplásico previo.
Los linfomas T son neoplasias infrecuentes, que suponen el 12% de los linfomas no hodgkinianos. Se han relacionado con inmunodepresión, retrovirus (HTLV-1) y virus de Epstein Barr entre otras etiologías5.
El linfoma T periférico no tiene prevalencia de sexos. Clínicamente se manifiestan con afectación ganglionar y generalmente existen síntomas (fiebre tumoral, sudación nocturna y pérdida de peso superior al 10% del peso previo en los últimos 6 meses) y mal estado general. En nuestro caso, la paciente se encontraba asintomática y el diagnóstico fue fortuito en los ganglios axilares de la linfadenectomía por un carcinoma ductal infiltrante de mama.
Las metástasis de un carcinoma en un ganglio afectado por un linfoma son muy raras. Se han postulado varias hipótesis1,3:
Existencia de una obliteración de los senos linfáticos por las células linfoides.
Producción por parte de las células linfoides de agentes que inhiben la proliferación de las células del carcinoma.
En nuestro caso, no se evidenciaron metástasis del carcinoma de mama en ninguno de los ganglios extirpados.
Los linfomas no hodgkinianos tipo T periféricos están dentro de los linfomas no hodgkinianos más agresivos. Los pacientes con frecuencia tienen escasa respuesta a la quimioterapia, con muchas recidivas y una supervivencia libre de enfermedad a los 5 años muy baja.
Ante esta situación, en nuestra paciente se ha dado prioridad al tratamiento de la neoplasia hematológica. En la TAC realizada para valorar la respuesta al tratamiento se objetivó una respuesta parcial a los 6 ciclos de quimioterapia tipo CHOP. Este tratamiento se utilizó para el tratamiento del linfoma y, asimismo, la ciclofosfamida y la adriamicina son fármacos de comprobada eficacia en el cáncer de mama. Actualmente, la paciente está siendo sometida a quimioterapia de segunda línea con protocolo ESHP.
Recientemente se ha implicado al virus de Epstein Barr como responsable de la diseminación de los carcinomas infiltrantes de mama y los linfomas a través de un antígeno latente EBNA-3C que interacciona con la proteína humana supresora de metástasis Nm23-H1 e invierte su capacidad de frenar la migración de las células de los linfomas y de los carcinomas de mama6.
A pesar de que son necesarios más estudios para llegar a una conclusión definitiva, parece interesante investigar si existe alguna alteración común que afecte a los linfomas y a los carcinomas de mama.





